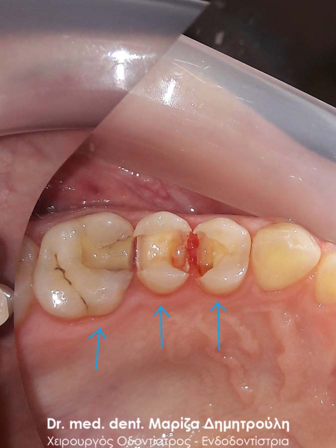
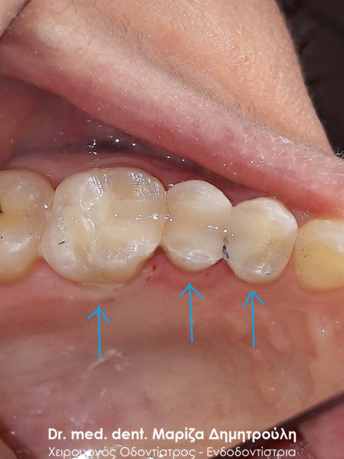
Hochwetige Kunstofffüllungen

BEFORE

AFTER
White Dental Filling

BEFORE

AFTER
White Dental Filling

BEFORE

AFTER
White Dental Filling

BEFORE

AFTER
Whie Dental Filling

BEFORE

AFTER
White Dental Filling

BEFORE – Photo of the tooth immediately after thw cavity was open

AFTER

AFTER
White Dental Filling

BEFORE

AFTER

AFTER
White Dental Filling

BEFORE

AFTER
AFTER
White Dental Filling

Photo of the root canals of the tooth after the end of the root canal preparation

Photo of the root canals of the tooth after the root canal filling

X- ray of the root before the root canal treatment

X- ray of the root after the root canal treatment

Final photo of the tooth with white dental filling
White Dental Filling

BEFORE

AFTER

BEFORE

AFTER
White Dental Filling

BEFORE

AFTER
White Dental Filling

BEFORE

AFTER
White Dental Filling

BEFORE

AFTER
White Dental Filling

BEFORE

AFTER
White Dental Filling

BEFORE

Photo of the deep carious cavity

AFTER
White Dental Filling

BEFORE

AFTER
White Dental Filling

BEFORE

AFTER
White Dental Filling

BEFORE

AFTER
White Dental Filling

BEFORE

Photo of the tooth after the opened cavity

AFTER
White Dental Filling

BEFORE

Caries of the tooth

AFTER
White Dental Filling

BEFORE

AFTER
White Dental Filling

BEFORE

AFTER
2 White Dental Fillings

BEFORE

AFTER
White Dental Filling

BEFORE

AFTER
White Dental Filling

BEFORE

AFTER
White Dental Filling

BEFORE
AFTER
White Dental Filling

BEFORE

AFTER
White Dental Filling

BEFORE

AFTER

AFTER
White Dental Filling

BEFORE

AFTER

AFTER
White Dental Filling

BEFORE

AFTER
Root canal Treatment and White Dental Filling

BEFORE

Root canal treatment of the tooth

Temporary Dental Filling

Final white dental filling
White Dental Filling

BEFORE

AFTER

AFTER
White Dental Filling

BEFORE

AFTER
White Dental Fillings

BEFORE

Cavities of the teeth

AFTER
White Dental Filling

BEFORE

AFTER
White Dental Filling

BEFORE

Extension of the caries after the opened cavity

AFTER
White Dental Filling

BEFORE

Extension of the caries after the opened cavity

AFTER
White Dental Filling

BEFORE

AFTER
White Dental Filling

BEFORE

BEFORE

Deep caries after the opened cavity

AFTER

AFTER

AFTER

