Διατήρηση ρίζας δοντιού με ολοκεραμικές θήκες δοντιών

Η ασθενής επιθυμούσε την αντικατάσταση μιας παλιάς θήκης που κάλυπτε τον άνω δεξιό δεύτερο προγόμφιο με νέα. Μετα την κλινική και ακτινογραφική εξέταση διαπιστώθηκε οτι ο προγόμφιος ήταν απονευρωμένος και είχε αποκατασταθεί στο παρελθόν με χυτό άξονα. Σύμφωνα με το σχέδιο θεραπείας αποφασίστηκε η απομάκρυνση του μεταλλικού άξονα, η επανάληψη απονεύρωσης και η κατασκευή νέας ολοκεραμικής θήκης. Επειδή μετά την αφαίρεση όλων των προσθετικών δουλειών φάνηκε οτι από το δόντι έλλειπε όλη του η οδοντική μύλη και είχε απομείνει μόνο η ρίζα του, αποφασίστηκε να κατασκευαστούν 2 θήκες (σε συνδυασμό με τον παρακείμενο γομφίο), ώστε το δόντι να έχει καλύτερη στήριξη και η νέα προσθετική δουλειά να έχει μεγαλύτερη αντοχή στις μασητικές δυνάμεις και άρα μεγαλύτερη διάρκεια στον χρόνο.

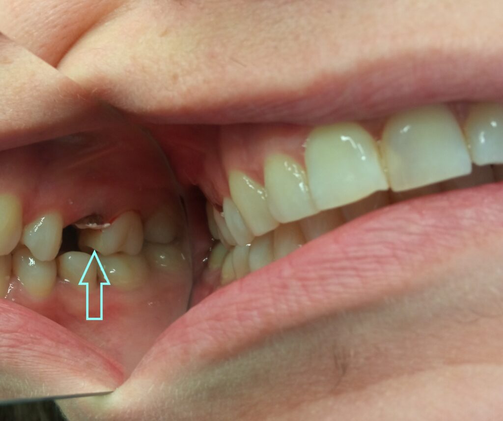
Υπόλειμμα του προγομφίου αφού αφαιρέθηκε η παλιά θήκη και ο παλιός μεταλλικός άξονας μέσα από το δόντι

Υπόλειμμα του προγομφίου αφού αφαιρέθηκε η παλιά θήκη και ο παλιός μεταλλικός άξονας μέσα από το δόντι

Ο μεταλλικός άξονας που αφαιρέθηκε μέσα από το δόντι

Προσωρινή θήκη του προγομφίου που κατασκευάστηκε στο ιατρείο

Προσωρινή θήκη του προγομφίου που κατασκευάστηκε στο ιατρείο

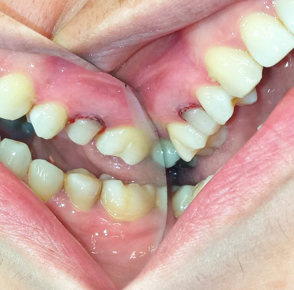
Τα δύο δόντια τροχισμένα πριν δεχτούν τις θήκες

Τελική εικόνα των δύο ολοκεραμικών θηκών 

Τελική εικόνα των δύο ολοκεραμικών θηκών 

Widget After Content

Dr. Med. Dent. Μαρίζα Δημητρούλη

Η Dr. med. dent. Μαρίζα Δημητρούλη είναι ειδικευμένη στο Πανεπιστήμιο Ανοβέρου Γερμανίας (ΜΗΗ) και παράλληλα Διδάκτωρ του ίδιου πανεπιστημίου. Επιπρόσθετα εργάστηκε σε οδοντιατρείο στο Βερολίνο. Ο τίτλος Ενδοδοντολόγου που κατέχει η Dr. Μ. Δημητρούλη ανανεώνεται κάθε εξαετία από την γερμανική εταιρεία Ενδοδοντίας. Διατηρεί ιδιωτικό ιατρείο στη Θεσσαλονίκη, Θέρμη.