Περιστατικό – Ολική αποκατάσταση εφηβικού στόματος
Η μικρή ασθενής επισκέφτηκε το ιατρείο με σκοπό την αποκατάσταση του στόματος της, το οποίο είχε πολλές τερηδονικές αλλοιώσεις. Ένα πίσω δόντι της στην αριστερή πλευρά της άνω γνάθου ήταν τόσο κατεστραμμένο, ώστε στο στόμα της είχαν απομείνει μόνο οι σάπιες ρίζες του δοντιού.
Αξίζει να σημειωθεί οτι τα περισσότερα σφραγίσματα στην ασθενή πραγματοποιήθηκαν με τη μέθοδο stamp technique, ώστε η μορφολογία ων τελικών σφραγισμάτων να μοιάζει όσο το δυνατόν περισσότερο με τα φυσικά δόντια της ασθενούς.
Μετά την εξαγωγή του δοντιού, την απονεύρωση στον κεντρικό τομέα της και τα λευκά σφραγίσματα που πραγματοποιήθηκαν στο στόμα της η ασθενής κατέχει ένα υγιές και λαμπερό όμορφο χαμόγελο.

Αρχική κλινική εικόνα της δεξιάς πλευράς της άνω γνάθου

Εικόνα μετά το τρόχισμα των δοντιών

Εικόνα των δοντιών αμέσως μετά το καθάρισμα της τερηδόνας

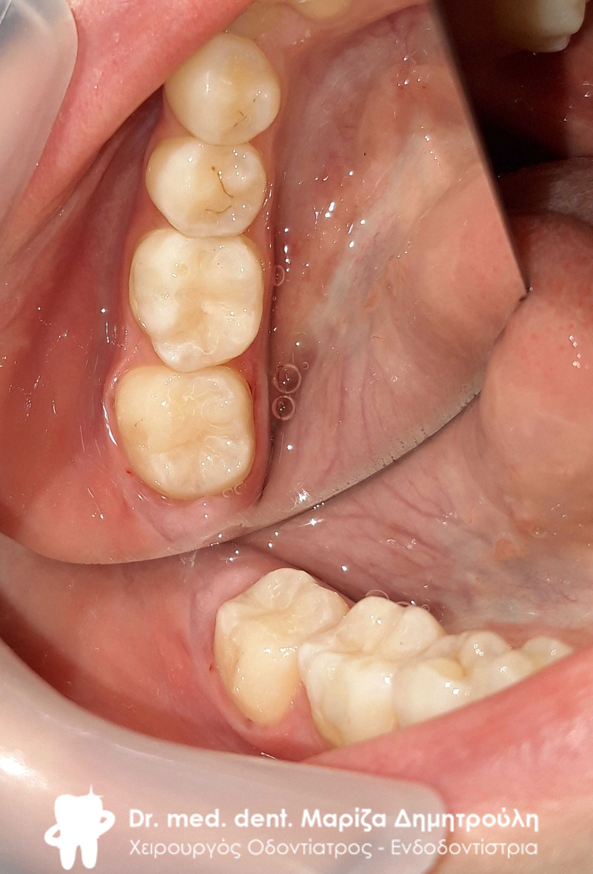
Λευκά σφραγίσματα στη δεξιά πλευρά της άνω γνάθου με τη μέθοδο stamp technique

Αρχική κλινική εικόνα της αριστερής πλευράς της άνω γνάθου

Εξαγωγή του σαπισμένου δοντιού

Λευκά σφραγίσματα στους άνω προγομφίους

Πλήρης αποκατάσταση της άνω αριστερής πλευράς με λευκά σφραγίσματα

Αρχική κλινική εικόνα της δεξιάς πλευράς της κάτω γνάθου

Λευκά σφραγίσματα στη δεξιά πλευρά της κάτω γνάθου με τη μέθοδο stamp technique

Λευκά σφραγίσματα στους άνω προγομφίους
Περιστατικό – Ολική αποκατάσταση παιδικού στόματος
Ο μικρός ασθενής είχε αρκετές τερηδόνες στο στόμα του όταν επισκέφτηκε πρώτη φορά το ιατρείο. Σε όλα τα τεταρτημόρια του παιδικού στόματος πραγματοποιήθηκαν κάποια σφραγίσματα λευκής ρητίνης, όπως δείχνουν οι φωτογραφίες. Το ευχάριστο είναι οτι το παιδί διατηρεί σε πολύ καλή κατάσταση τις αποκαταστάσεις, γιατί πλέον είναι τακτικός και τυπικός με την καθημερινή στοματική υγιεινή. Εξαίρεση αποτελούν δύο δοντάκια που παρουσίασαν μία πολύ μικρή νέα τερηδόνα. Συγκριτικά όμως με την εικόνα του στόματος του παιδιού όταν πρωτοήλθε στο ιατρείο το αποτέλεσμα είναι εξαιρετικό.

Λευκό σφράγισμα στη δεξιά πλευρά της κάτω γνάθου

Λευκά σφραγίσματα στην αριστερή πλευρά της κάτω γνάθου

Λευκό σφράγισμα στην αριστερή πλευρά της άνω γνάθου

Λευκά σφραγίσματα στην δεξιά πλευρά της άνω γνάθου
Περιστατικό – Ολική αποκατάσταση παιδικού στόματος
Το μικρό αγόρι επισκέφτηκε για πρώτη φορά οδοντίατρο. Η οδοντίατρος που εξέτασε τα παιδιά στο σχολείο σημείωσε οτι υπήρχαν κάποιες τερηδονικές κοιλότητες, οι οποίες θα έπρεπε να αποκατασταθούν. Στο συγκεκριμένο ασθενή πραγματοποιήθηκαν τόσο λευκά σφραγίσματα στα δόντια που ήταν τερηδονισμένα όσο και προληπτικές καλύψεις στις μασητικές επιφάνειες των μόνιμων γομφίων για την προστασία τους από τυχόν μελλοντική τερηδονική δραστηριότητα. Τα sealants στην προκειμένη περίπτωση ήταν για έναν παραπάνω λόγο αναγκαία, εφόσον το παιδί είχε ήδη μεσαίου βαθμού τερηδονική δραστηριότητα.
Επίσης στην πρόσθια περιοχή της άνω γνάθου παρατηρήθηκε ένα μικρό συρίγγιο στην περιοχή του πρώτου αριστερού νεογιλού γομφίου, ο οποίος είχε έντονη κινητικότητα χωρίς όμως να “πέφτει”. Στην περίπτωση αυτή ήταν απαραίτητη η εξαγωγή του νεογιλού δοντιού, γιατί το παιδί είχε το συρίγγιο τουλάχιστον τις τελευταίες 3 εβδομάδες (σύμφωνα πάντα με τα λεγόμενα της μητέρας). Με την εξαγωγή του δοντιού το συρίγγιο υποχώρησε τις επόμενες μέρες και το παιδί ανακουφίστηκε.

Συρίγγιο στην περιοχή του πρώτου νεογιλού τομέα

ΠΡΙΝ

ΜΕΤΑ – Sealant μόνιμου δοντιού

ΠΡΙΝ

ΜΕΤΑ – Σφράγισμα νεογιλού δοντιού και sealant μόνιμου δοντιού

ΠΡΙΝ

ΜΕΤΑ – Σφράγισμα νεογιλού δοντιού και sealant μόνιμου δοντιού

ΠΡΙΝ

ΜΕΤΑ – Σφράγισμα νεογιλού δοντιού και sealant μόνιμου δοντιού
Περιστατικό – Ολική αποκατάσταση παιδικού στόματος
Η μικρή ασθενής προσήλθε στο ιατρείο παρουσιάζοντας εκτεταμένες τερηδονικές βλάβες σε όλα τα πίσω δόντια. Η μητέρα επιθυμούσε τη διατήρηση των παιδικών δοντιών στο στόμα του κοριτσιού και ήθελε να αποφύγουμε την εξαγωγή τους. Ξεκίνησε η θεραπεία των δοντιών ανά τεταρτημόριο. Σε κάποια δόντια λόγω της βαθιάς και εκτεταμένης τερηδόνας (που έφτανε στο ύψος του πολφού) πραγματοποιήθηκε πολφοτομή. Όλα τα δόντια αποκταταστάθηκαν με λευκά σφραγίσματα σύνθετης ρητίνης.
Αξίζει να σημειωθεί οτι η μητέρα στα πρώτα χρόνια της ζωής του παιδιού βούρτσιζε τα δόντια με οδοντόπαστα που δεν περιείχε καθόλου φθόριο. Το φθόριο αποτελεί την ασπίδα των δοντιών ενάντια στην τερηδόνα, εφόσον τα δόντια θωρακίζονται με ιόντα φθορίου και γίνονται πιο ισχυρά σε τυχόν τερηδονογόνα μικρόβια. Επιστημονικές μελέτες αποδεικνύουν οτι το φθόριο δεν μπορεί να είναι επιζήμιο για τη γενική υγεία τόσο ενός παιδιού όσο και ενός ενήλικα, εφόσον χρησιμοποιείται πάντα η προτεινόμενη ποσότητα οδοντόπαστας χωρίς υπερβολές.

ΠΡΙΝ

ΜΕΤΑ

ΠΡΙΝ

ΜΕΤΑ

ΠΡΙΝ

ΜΕΤΑ
Περιστατικό – Ολική αποκατάσταση παιδικού στόματος
Η μικρή ασθενής προσήλθε στο ιατρείο παρουσιάζοντας εκτεταμένες τερηδονικές βλάβες σε όλα σχεδόν τα δόντια της. Το κορίτσι ήταν πολύ φοβισμένο από προηγούμενη αρνητική εμπειρία σε οδοντίατρο για αυτό και ο βαθμός συνεργασία της ήταν χαμηλός. Στην πρώτη επίσκεψη αρνήθηκε να συνεργαστεί. Οι γονείς ενημερώθηκαν οτι ένα τέτοιο περιστατικό με τόσο εκτεταμένες τερηδονικές βλάβες είναι απαραίτητο και αναγκαίο να θεραπευτεί για αυτό το λόγο ίσως οι γονείς θα έπρεπε να καταφύγουν στη λύση της οδοντιατρικής θεραπείας υπό γενική αναισθησία. Οι γονείς ήταν πολύ αρνητικοί στην ιδέα της γενικής αναισθησίας καθώς φοβόταν. Αποφάσισαν να ξαναπροσπαθήσουν τη θεραπεία του παιδιού στο οδοντιατρείο. Σιγά – σιγά η μικ΄ρη ασθενής ξεπέρασε τυς φόβους της και συνεργάστηκε άψογα.
Μετά την ολοκλήρωση της θεραπείας η ασθενής βρίσκεται σε έλεγχο κάθε 4 μήνες ώστε να μην επαναεμφανιστεί τερηδονική δραστηριότητα. Η καλή στοματική υγιεινή παίζει πολύ σημαντικό ρόλο στη διατήρηση ενός υγιούς στόματος είτε πρόκειται για παιδί είτε για ενήλικα.

ΠΡΙΝ

ΜΕΤΑ

ΠΡΙΝ

ΜΕΤΑ

ΠΡΙΝ- Το δόντι με τον αριθμό 1 εξάχθηκε για αυτό το λόγο δε θεραπεύτηκε

ΜΕΤΑ

ΠΡΙΝ

ΜΕΤΑ – Στο δόντι με τον αριθμό 1 πραγματοποιήθηκε πολφοτομή. Σε δεύτερη συνεδρία θα πραγματοποιηθεί λευκό σφράγισμα.

