Bonding- Συγκόλληση εξαχθέντος δοντιού

 

Ο ασθενής πονούσε στην κάτω γνάθο, καθώς ο κεντρικός τομέας του είχε μεγάλη φλεγμονή και κινητικότητα. Η εξαγωγή του δοντιού έπρεπε να γίνει άμεσα. Ο ασθενής όμως δεν ήθελε να τοποθετήσει εμφύτευμα και επιθυμούσε μία άμεση λύση. Αποφασίστηκε, λοιπόν, η εξαγωγή του δοντιού και η άμεση συγκόλλησή του, εφόσον βέβαια επεξεργάστηκε κατάλληλα.

Το αποτέλεσμα είναι τόσο λειτουργικό όσο και αισθητικό. Ο ασθενής είναι πολύ ευχαριστημένος.

ΠΡΙΝ

Εικόνα αμέσως μετά την εξαγωγή

Το εξαχθέν δόντι

ΜΕΤΑ

ΜΕΤΑ

Bonding των 6 άνω πρόσθιων δοντιών

 

Ο ασθενής επιθυμούσε να διορθώσει το σχήμα των 6 άνω πρόσθιων δοντιών του. Σε πρώτη φάση επιλέχθηκε τo bonding δοντιών ώστε να θυσιαστεί όσο το δυνατόν λιγότερη οδοντική ουσία. Ο ασθενής είναι ευχαριστημένος τόσο με το χρώμα όσο και με το νέο σχήμα των δοντιών του.

ΠΡΙΝ

Ενδιάμεση φωτογραφία κατά τη διαδικασία του bonding

ΜΕΤΑ

ΠΡΙΝ- Υπερώια λήψη

ΜΕΤΑ – Υπερώια λήψη

Bonding των 6 άνω πρόσθιων δοντιών

 

Στη συγκεκριμένη ασθενή πραγματοποιήθηκε λεύκανση δοντιών. Στη συνέχεια η ασθενής επιθυμούσε τη διόρθωση του σχήματος των δοντιών της άνω γνάθου. Η βελτίωση του σχήματος πραγματοποιήθηκε με τον λιγότερο επεμβατικό τρόπο μέσω του BONDING δοντιών. Το αποτέλεσμα είναι εντυπωσιακό και η ασθενής είναι ικανοποιημένη τόσο με το αισθητικό όσο και με το λειτουργικό αποτέλεσμα του νέου φωτεινού και λευκού χαμόγελού της. this text.

ΠΡΙΝ

ΜΕΤΑ 

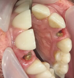
Ανασύσταση σπασμένου δοντιού σε μία συνεδρία

 

Ο ασθενής έσπασε το άνω δεξιό πλάγιο τομέα στη διάρκεια των διακοπών του. Το δόντι παλιά είχε ανασυσταθεί με έναν άξονα αγνώστου κατασκευαστή και σύστασης. Εφόσον ο ασθενής ήταν σε διακοπές αποφασίστηκε η ανασύσταση του υπολείμματος ρίζας με άξονα υαλονημάτων. Αρχικά ελέγχθηκε ακτινογραφικά αν η απονεύρωση του δοντιού πληρούσε όλες τις απαραίτητες προϋποθέσεις, ώστε να προχωρήσουμε στην προσθετική αποκατάσταση του δοντιού. Εφόσον επιβεβαιώθηκε οτι η ενδοδοντική θεραπεία ήταν άρτια, ακολούθησε η ανασύσταση του δοντιού με άξονα υαλονημάτων στη διάρκεια μιας συνεδρίας.  

Ο ασθενής ενθουσιάστηκε με το αποτέλεσμα και μπόρεσε να συνεχίσει χαρούμενος τις διακοπές του.

ΠΡΙΝ

ΠΡΙΝ

Ο παλιός άξονας και η παλιά θήκη του ασθενή 

ΜΕΤΑ 

Κλείσιμο διαστήματος με BONDING δοντιών

Η ασθενής εδώ και πάρα πολλά χρόνια επιθυμούσε να κλείσει το μεσοδιάστημα που υπάρχει ανάμεσα στους δύο άνω κεντρικούς τομείς. Το διάστημα αυτό δεν έκλεισε ούτε με την ορθοδοντική θεραπεία που ακολούθησε η ασθενής. Σύμφωνα με τα λεγόμενά της μειώθηκε το διάστημα, αλλά δεν εξαλείφθηκε τελείως. Αποφασίστηκε λοιπόν αρχικά η λεύκανση όλων των δοντιών της και στη συνέχεια το κλείσιμο του μεσοδιαστήματος με bonding δοντιών, χωρίς να τροχιστούν καθόλου οι κεντρικοί τομείς. Η ασθενής είναι πλήρως ευχαριστημένη με το αισθητικό αποτέλεσμα.

ΠΡΙΝ

ΜΕΤΑ

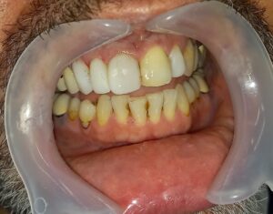
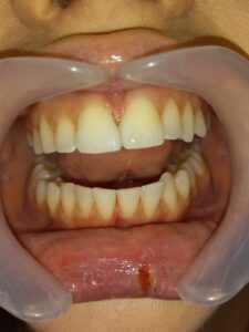
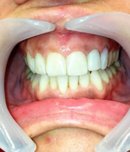
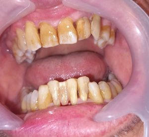
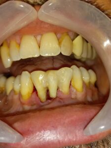
Διατήρηση δοντιού με BONDING δοντιών

Ο ασθενής υποφέρει από χρόνια περιοδοντίτιδα, με αποτέλεσμα να χαθεί αιφνιδίως ο κάτω τομέας την ώρα που δάγκωσε κάτι σκληρό. Επιθυμία του ασθενή ήταν η άμεση αποκατάσταση της βλάβης, καθώς όταν ήρθε στο ιατρείο το δόντι κρεμόταν προς τα εμπρός. Αποφασίστηκε η εξαγωγή του δοντιού, η κατάλληλη επεξεργασία του και η επανασυγκόλληση του στη θέση του. Η όλη θεραπεία πραγματοποιήθηκε σε ένα ραντεβού. Ο ασθενής είναι ευχαριστημένος με το προσωρινό αποτέλεσμα, καθώς απαιτείται η ολοκληρωτική προσθετική αποκατάσταση του οδοντικού ελλείμματος.

ΠΡΙΝ

Το εξαχθέν δόντι

ΜΕΤΑ

Widget After Content

Dr. Med. Dent. Μαρίζα Δημητρούλη

Η Dr. med. dent. Μαρίζα Δημητρούλη είναι ειδικευμένη στο Πανεπιστήμιο Ανοβέρου Γερμανίας (ΜΗΗ) και παράλληλα Διδάκτωρ του ίδιου πανεπιστημίου. Επιπρόσθετα εργάστηκε σε οδοντιατρείο στο Βερολίνο. Ο τίτλος Ενδοδοντολόγου που κατέχει η Dr. Μ. Δημητρούλη ανανεώνεται κάθε εξαετία από την γερμανική εταιρεία Ενδοδοντίας. Διατηρεί ιδιωτικό ιατρείο στη Θεσσαλονίκη, Θέρμη.