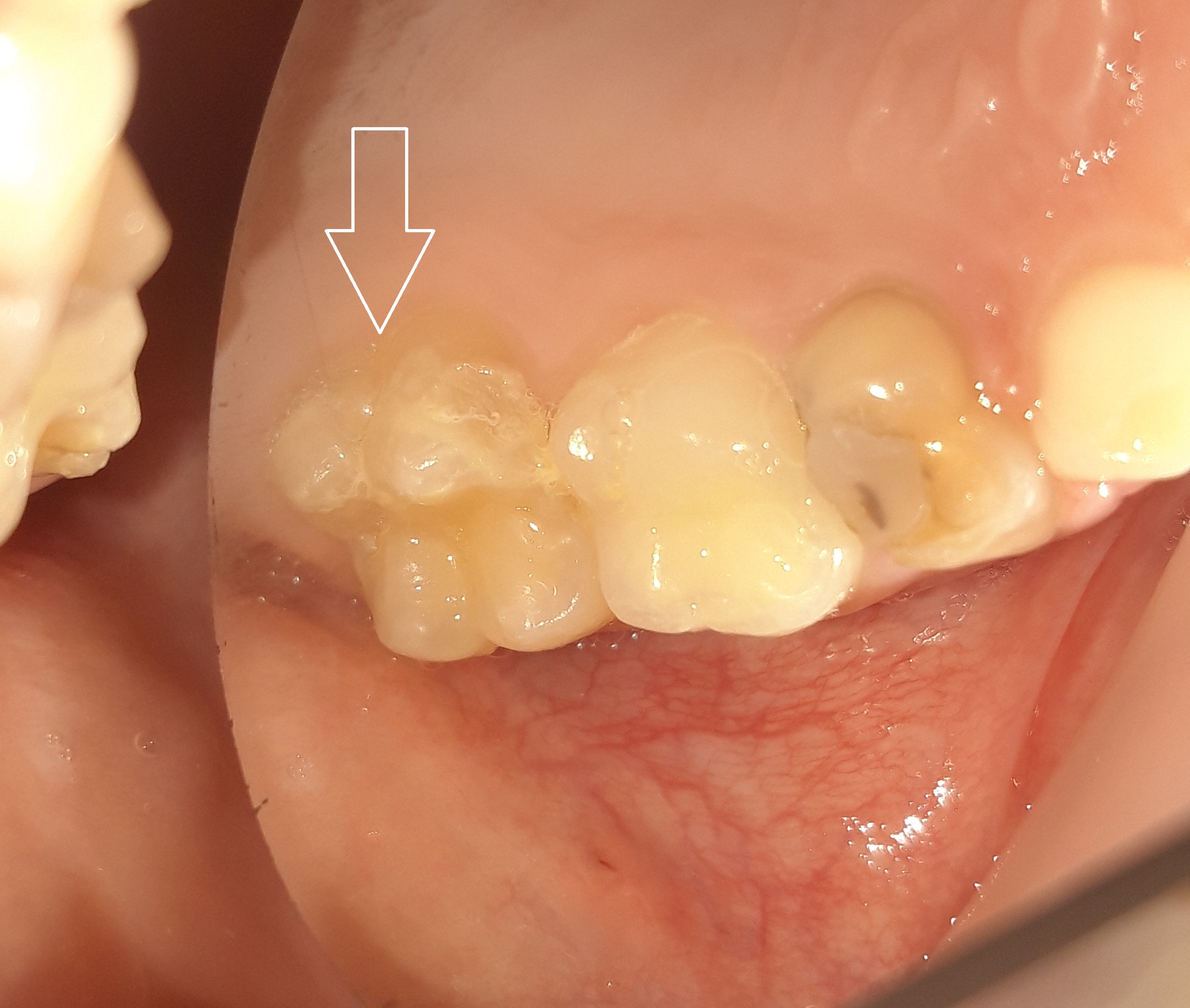
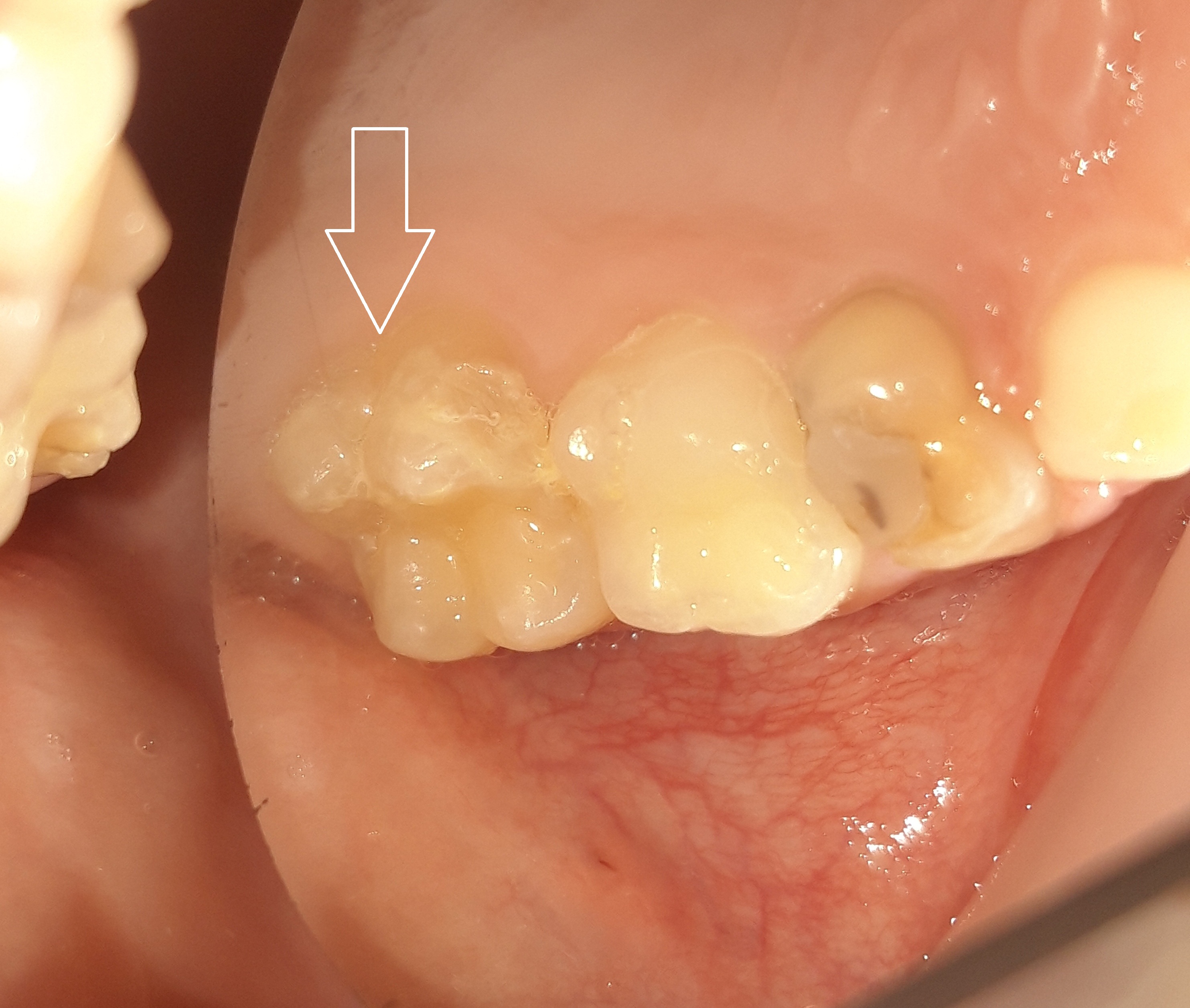
Περιστατικό – Sealant / προληπτική κάλυψη οπών και σχισμών
Παρακάτω παρουσιάζονται διάφορα περιστατικά σε διαφορετικά παιδάκια, στα οποία πραγματοποιήθηκε προληπτική κάλυψη της μασητικής επιφάνειας των μόνιμων δοντιών τους.

ΠΡΙΝ

ΜΕΤΑ

ΠΡΙΝ

ΜΕΤΑ

ΠΡΙΝ

ΜΕΤΑ

ΠΡΙΝ

ΜΕΤΑ

ΠΡΙΝ

ΜΕΤΑ

ΠΡΙΝ

ΜΕΤΑ
Περιστατικό – Sealant / προληπτική κάλυψη οπών και σχισμών
Ο μικρός ασθενής πραγματοποίησε sealant σε όλους τους πρώτους μόνιμους γομφίους για την ολοκληρωμένη προστασία των δοντιών από τερηδονική προσβολή.

ΜΕΤΑ

ΜΕΤΑ

ΜΕΤΑ

ΜΕΤΑ
Περιστατικό – Sealant / προληπτική κάλυψη οπών και σχισμών
Ο μικρός ασθενής είχε πραγματοποιήσει sealants πριν 2 χρόνια. Ένα μέρος του υλικού προληπτικής κάλυψης “έπεσε” με αποτέλεσμα να πρέπει να διορθωθεί. Η διαδικασία είναι πολύ απλή, καθώς χωρίς τρόχισμα ανανεώθηκε το υλικό στο σημείο που είχε “φύγει”. Είναι γεγονός οτι τα sealants έχουν μια διάρκεια ζωής 2 – 3 χρόνια ανάλογα με το βαθμό που το κάθε παιδάκι τρίζει τα δόντια του. Αυτό βέβαια δεν είναι πρόβλημα καθώς η διαδικασία ανανέωσης sealants είναι γρήγορη και ανώδυνη.

ΠΡΙΝ

ΜΕΤΑ
Περιστατικό – Sealant / προληπτική κάλυψη οπών και σχισμών
Στο συγκεκριμένο αγόρι πραγματοποιήθηκε προληπτιή κάλυψη οπών και σχισμών στους πρώτους γομφίους της άνω γνάθου.

ΜΕΤΑ

ΜΕΤΑ
Περιστατικό – Sealant / προληπτική κάλυψη οπών και σχισμών
Στο αγόρι αυτό τοποθετήθηκε προληπτική κάλυψη στη μασητική επιφάνεια του μόνιμου κάτω πρώτου γομφίου, ώστε το δόντι να είναι προστατευμένο από την τερηδόνα. Η κάλυψη της μασητικής επιφάνειας ενός δοντιού με sealant μειώνει την κατακράτηση υπολειμμάτων τροφών στις σχισμές και τις αύλακες του δοντιού αυτού με αποτέλεσμα να συγκεντρώνονται και λιγότερα μικρόβια στο δόντι. Παράλληλα το παιδί μπορεί να βουρτσίζει πιο αποτελεσματικά και εύκολα τα πίσω δόντια καθώς μειώνονται οι πτυχές του δοντιού, όπου παγιδεύονται συνήθως τροφές.
Ο χρόνος ζωής ενός sealant κυμαίνεται από 2 – 5 χρόνια.
Περιστατικό – Sealant / προληπτική κάλυψη οπών και σχισμών
Στο αγόρι αυτό τοποθετήθηκε προληπτική κάλυψη στη μασητική επιφάνεια του μόνιμου κάτω πρώτου γομφίου, ώστε το δόντι να είναι προστατευμένο από την τερηδόνα. Η κάλυψη της μασητικής επιφάνειας ενός δοντιού με sealant μειώνει την κατακράτηση υπολειμμάτων τροφών στις σχισμές και τις αύλακες του δοντιού αυτού με αποτέλεσμα να συγκεντρώνονται και λιγότερα μικρόβια στο δόντι. Παράλληλα το παιδί μπορεί να βουρτσίζει πιο αποτελεσματικά και εύκολα τα πίσω δόντια καθώς μειώνονται οι πτυχές του δοντιού, όπου παγιδεύονται συνήθως τροφές.
Ο χρόνος ζωής ενός sealant κυμαίνεται από 2 – 5 χρόνια.

ΠΡΙΝ

ΜΕΤΑ
Περιστατικό – Sealant / προληπτική κάλυψη οπών και σχισμών
Στην έφηβη αυτή μικρή κυρία πραγματοποιήθηκε προληπτική κάλυψη της μασητικής επιφάνειας του μόνιμου άνω πρώτου γομφίου, για την προστασία του δοντιού από την τερηδόνα. Εφόσον η μασητική επιφάνεια ενός δοντιού καλύπτεται με υλικό sealant μειώνεται ο κίνδυνος προσβολής από τερηδονογόνα μικρόβια, καθώς συγκεντρώνονται λιγότερα μικρόβια και υπολείμματα τροφών στη μασητική επιφάνεια ενώ παράλληλα το παιδί μπορεί να βουρτσίζει πιο αποτελεσματικά και εύκολα. Ο χρόνος ζωής ενός sealant κυμαίνεται από 2 – 5 χρόνια.

ΠΡΙΝ

ΜΕΤΑ
Περιστατικό – Sealant / προληπτική κάλυψη οπών και σχισμών
Στο συγκεκριμένο κοριτσάκι στα πλαίσια του ετήσιου καθαρισμού δοντιών διαπιστώθηκε η ύπαρξη μιας μικρής αρχόμενης τερηδόνας στον πρώτο αριστερό γομφίο της άνω γνάθου. Αποφασίστηκε η προληπτική κάλυψη της μασητικής επιφάνειας του συγκεκριμένου δοντιού, εφόσον προηγουμένως στην άπω επιφάνεια της μασητικής επιφάνειας καθαρίστηκε κατάλληλα η τερηδόνα, που βρισκόταν σε αρχικό στάδιο.

ΠΡΙΝ

ΜΕΤΑ
Περιστατικό – Sealant / προληπτική κάλυψη οπών και σχισμών
Η μικρή ασθενής προσήλθε για τον τυπικό ετήσιο έλεγχο. Συστήθηκε η προληπτική κάλυψη των δεύτερων μόνιμων γομφίων (sealant), δεδομένου οτι το κορίτσι είχε ήδη 4 σφραγισμένα δόντια και επομένως υπάρχει τερηδονική δραστηριότητα στο στόμα της. Με την προληπτική κάλυψη των δοντιών προστατεύονται οι μασητικές επιφάνειες αυτών από πιθανό τερηδονισμό τους.Τα sealants είναι καλό να γίνονται σε όλους τους μόνιμους γομφίους των δοντιών. Η πρόληψη είναι η καλύτερη θεραπεία.

ΠΡΙΝ

ΜΕΤΑ

ΠΡΙΝ

ΜΕΤΑ
Περιστατικά – Sealant / προληπτική κάλυψη οπών και σχισμών
Στα πλαίσια του ετήσιου προληπτικού οδοντιατρικού ελέγχου πραγματοποιήθηκε στο μικρό ασθενή προληπτική κάλυψη οπών και σχισμών (sealant) στον πρώτο αριστερό μόνιμο γομφίο της κάτω γνάθου.

ΠΡΙΝ

ΜΕΤΑ
Περιστατικά – Sealant / προληπτική κάλυψη οπών και σχισμών
Παρουσιάζονται διάφορες περιπτώσεις περιστατικών, στα οποία πραγματοποιήθηκε προληπτική κάλυψη των οπών και σχισμών ( sealant) στη μασητική επιφάνεια των μόνιμων γομφίων.


Περιστατικά – Sealant / προληπτική κάλυψη οπών και σχισμών
Στα πλαίσια του τυπικού οδοντιατρικού ελέγχου διαπιστώθηκε η ύπαρξη μιας μικρής τερηδονικής κοιλότητας στον πρώτο αριστερό μόνιμο γομφίο. Αποφασίστηκε η αφαίρεση της επιφανειακής αρχόμενης τερηδόνας και προληπτική κάλυψη οπών και σχισμών (sealant) στη μασητική επιφάνεια του μόνιμου άνω αριστερού πρώτου γομφίου.


Περιστατικά – Sealant / προληπτική κάλυψη οπών και σχισμών
Στο συγκεκριμένο ασθενή πραγματοποιήθηκε ταυτόχρονα αφαίρεση της επιφανειακής αρχόμενης τερηδόνας και προληπτική κάλυψη οπών και σχισμών (sealant) στη μασητική επιφάνεια του άνω αριστερού πρώτου γομφίου.


Περιστατικό – Σφράγισμα νεογιλού δοντιού και sealant / προληπτική κάλυψη οπών και σχισμών
Κατά την κλινική εξέταση του μικρού αυτού αγοριού διαπιστώθηκε μία μικρή αρχόμενη τερηδόνα στον πρώτο αριστερό μόνιμο γομφίο της άνω γνάθου ενώ από στο δεύτερο νεογιλό γομφίο υπήρχε μία μικρή κοιλότητα που δε φαίνεται ευκρινώς στη συγκεκριμένη φωτογραφία. Το περιστατικό αντιμετωπίστηκε με την προληπτική κάλυψη οπών και σχισμών (sealant) στη μασητική επιφάνεια του πρώτου μόνιμου γομφίου και τη δημιουργία λευκού σφραγίσματος στο δεύτερο νεογιλό γομφίο.


Περιστατικό – Σφραγίσματα νεογιλών δοντιών και sealant / προληπτική κάλυψη οπών και σχισμών
Στο συγκεκριμένο περιστατικό πραγματοποιήθηκαν 2 λευκά σφραγίσματα στα 2 τελευταία οπίσθια νεογιλά και συγχρόνως προληπτική κάλυψη οπών και σχισμών (sealant) στη μασητική επιφάνεια του πρώτου μόνιμου γομφίου. Απουσιάζει η φωτογραφία της αρχικής κατάστασης των δοντιών.


