Εσωτερική λεύκανση απονευρωμένου δοντιού

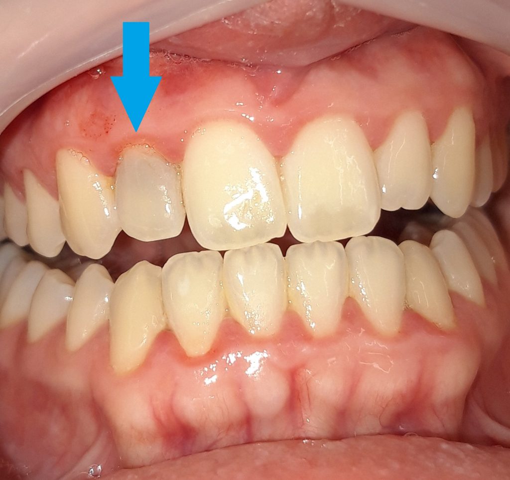
Η ασθενής προσήλθε στο ιατρείο γιατί επιθυμούσε να επαναφέρει το φυσιολογικό χρώμα στο δεξιό άνω πλάγιο τομέα. Το συγκεκριμένο δόντι είχε απονευρωθεί πριν χρόνια και σταδιακά άρχισε να μαυρίζει. Η χρωματική διαφορά του πλάγιου τομέα από τα διπλανά δόντια είναι εμφανής.

Η θεραπεία επιλογής ήταν η εσωτερική λεύκανση του δοντιού. Σε χρονικό διάστημα λίγων ημερών το δόντι επανήλθε στο φυσιολογικό αρχικό του χρώμα.

ΠΡΙΝ
ΜΕΤΑ

Widget After Content

Dr. Med. Dent. Μαρίζα Δημητρούλη

Η Dr. med. dent. Μαρίζα Δημητρούλη είναι ειδικευμένη στο Πανεπιστήμιο Ανοβέρου Γερμανίας (ΜΗΗ) και παράλληλα Διδάκτωρ του ίδιου πανεπιστημίου. Επιπρόσθετα εργάστηκε σε οδοντιατρείο στο Βερολίνο. Ο τίτλος Ενδοδοντολόγου που κατέχει η Dr. Μ. Δημητρούλη ανανεώνεται κάθε εξαετία από την γερμανική εταιρεία Ενδοδοντίας. Διατηρεί ιδιωτικό ιατρείο στη Θεσσαλονίκη, Θέρμη.