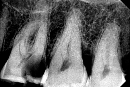
Ο ασθενής είχε καιρό ένα δόντι (άνω αριστερός γομφίος) που τον πονάει. Μετά την κλινική και ακτινογραφική εξέταση προέκυψε οτι το δόντι χρειαζόταν απονεύρωση και στη συνέχεια θα έπρεπε να καλυφθεί με θήκη γιατι είχε μεγάλο οδοντικό έλλειμμα.

ΠΡΙΝ

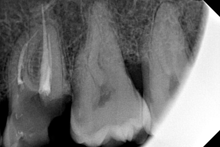
ΜΕΤΑ

ΠΡΙΝ

ΜΕΤΑ

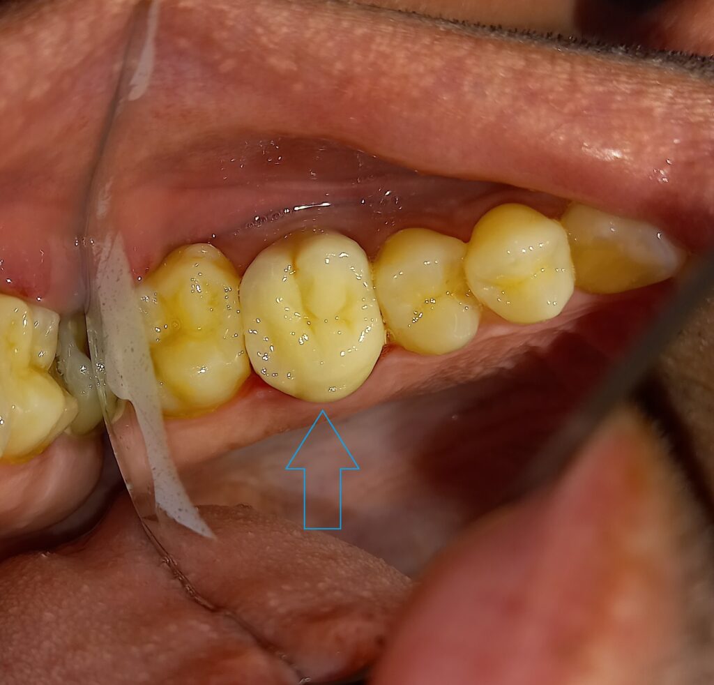
ΜΕΤΑ

