Διδάκτωρ Παν/μίου Ανόβερου Γερμανίας
Ειδικευθείσα στην Ενδοδοντία στο Παν/μιο Ανόβερου
Μετεκπαιδευθείσα στην Παιδοδοντία στο Βερολίνο
  • ΑΡΧΙΚΗ
  • ΒΙΟΓΡΑΦΙΚΟ
  • ΙΑΤΡΕΙΟ
  • ΥΠΗΡΕΣΙΕΣ
    • ΓΕΝΙΚΗ ΟΔΟΝΤΙΑΤΡΙΚΗ
      • Συχνές Ερωτήσεις για Ενήλικες
      • Σφράγισμα δοντιού
      • Αλλαγή μαύρου σφραγίσματος αμαλγάματος
      • Βιοοδοντιατρική / Oλιστική Οδοντιατρική
      • Σπασμένο δόντι
      • Καθαρισμός δοντιών
      • Ουλίτιδα
      • Περιοδοντίτιδα – Αίτια & Θεραπεία
      • Γέφυρα & στεφάνη δοντιού
      • Μασέλα δοντιών
      • Μασελάκια (για τρίξιμο δοντιών,
        λεύκανσης κ.α.)
      • Εξαγωγή δοντιού
      • Λεύκανση δοντιών
      • Αισθητική οδοντιατρική
      • Προληπτική Οδοντιατρική
      • Κάλυψη Οπών και Σχισμών
      • Φθορίωση δοντιών
    • ΕΝΔΟΔΟΝΤΙΑ – ΑΠΟΝΕΥΡΩΣΗ
      • Τι είναι ενδοδοντία
      • Τι είναι απονεύρωση
      • Σκοπός απονεύρωσης
      • Διαδικασία απονεύρωσης
      • Συμπτώματα απονεύρωσης
      • Επανάληψη απονεύρωσης
      • Απόστημα δοντιού
      • Ακρορριζεκτομή δοντιού
    • ΠΑΙΔΟΔΟΝΤΙΑ
      • Συχνές ερωτήσεις για παιδιά
      • Τι είναι ο παιδοδοντίατρος
      • Σφράγισμα δοντιού σε παιδιά
      • Sealants σε παιδιά
      • Απονεύρωση (πολφοτομή) δοντιού σε παιδιά
      • Απόστημα παιδικού δοντιού
      • Εξαγωγή δοντιού σε παιδιά
      • Φθορίωση δοντιών σε παιδιά
      • Προληπτική οδοντιατρική σε παιδιά
  • ΠΕΡΙΣΤΑΤΙΚΑ
    • ΠΕΡΙΣΤΑΤΙΚΑ ΑΠΟΝΕΥΡΩΣΗΣ
      • Απονεύρωση δοντιού
      • Επανάληψη απονεύρωσης δοντιού
    • ΣΦΡΑΓΙΣΜΑ ΔΟΝΤΙΟΥ
      • Λευκό σφράγισμα δοντιού
      • Αλλαγή μαύρου σφραγίσματος
      • Σφράγισμα πρόσθιου δοντιού
      • Αυχενικό σφράγισμα δοντιού
      • Σφράγισμα ρίζας δοντιού
    • ΠΕΡΙΣΤΑΤΙΚΑ ΠΑΙΔΟΔΟΝΤΙΑΣ
      • Μαύρα στίγματα σε παιδικά δόντια
      • Εξαγωγή παιδικού δοντιού
        / διπλό δόντι
      • Sealant προληπτική κάλυψη οπών και σχισμών
      • Απόστημα παιδικού δοντιού
      • Σφράγισμα παιδικού δοντιού
      • Πολφοτομή παιδικού δοντιού
      • Διάφορα περιστατικά παιδοδοντίας
    • ΟΛΙΚΗ ΑΠΟΚΑΤΑΣΤΑΣΗ ΣΤΟΜΑΤΟΣ
      • Ολική αποκατάσταση στόματος ενηλίκων
      • Ολική αποκατάσταση παιδικού στόματος
    • ΔΙΑΦΟΡΑ ΠΕΡΙΣΤΑΤΙΚΑ
      • Περιστατικά προσθετικής
      • Περιστατικά αισθητικής
      • Θεραπεία ουλίτιδα – περιοδοντίτιδα
      • Καθαρισμός δοντιών
      • Bonding δοντιών
      • Μασελάκια τρυγμού
      • Απόστημα δοντιού
      • Διάφορα περιστατικά δοντιών
  • BLOG
  • ΕΠΙΚΟΙΝΩΝΙΑ
  • Ελληνικά
  • English
  • Deutsch
Για Ραντεβού 2310 46 10 44
  • ΑΡΧΙΚΗ
  • ΒΙΟΓΡΑΦΙΚΟ
  • ΙΑΤΡΕΙΟ
  • ΥΠΗΡΕΣΙΕΣ
    • ΓΕΝΙΚΗ ΟΔΟΝΤΙΑΤΡΙΚΗ
      • Συχνές Ερωτήσεις για Ενήλικες
      • Σφράγισμα δοντιού
      • Αλλαγή μαύρου σφραγίσματος αμαλγάματος
      • Βιοοδοντιατρική / Oλιστική Οδοντιατρική
      • Σπασμένο δόντι
      • Καθαρισμός δοντιών
      • Ουλίτιδα
      • Περιοδοντίτιδα – Αίτια & Θεραπεία
      • Γέφυρα & στεφάνη δοντιού
      • Μασέλα δοντιών
      • Μασελάκια (για τρίξιμο δοντιών,
        λεύκανσης κ.α.)
      • Εξαγωγή δοντιού
      • Λεύκανση δοντιών
      • Αισθητική οδοντιατρική
      • Προληπτική Οδοντιατρική
      • Κάλυψη Οπών και Σχισμών
      • Φθορίωση δοντιών
    • ΕΝΔΟΔΟΝΤΙΑ – ΑΠΟΝΕΥΡΩΣΗ
      • Τι είναι ενδοδοντία
      • Τι είναι απονεύρωση
      • Σκοπός απονεύρωσης
      • Διαδικασία απονεύρωσης
      • Συμπτώματα απονεύρωσης
      • Επανάληψη απονεύρωσης
      • Απόστημα δοντιού
      • Ακρορριζεκτομή δοντιού
    • ΠΑΙΔΟΔΟΝΤΙΑ
      • Συχνές ερωτήσεις για παιδιά
      • Τι είναι ο παιδοδοντίατρος
      • Σφράγισμα δοντιού σε παιδιά
      • Sealants σε παιδιά
      • Απονεύρωση (πολφοτομή) δοντιού σε παιδιά
      • Απόστημα παιδικού δοντιού
      • Εξαγωγή δοντιού σε παιδιά
      • Φθορίωση δοντιών σε παιδιά
      • Προληπτική οδοντιατρική σε παιδιά
  • ΠΕΡΙΣΤΑΤΙΚΑ
    • ΠΕΡΙΣΤΑΤΙΚΑ ΑΠΟΝΕΥΡΩΣΗΣ
      • Απονεύρωση δοντιού
      • Επανάληψη απονεύρωσης δοντιού
    • ΣΦΡΑΓΙΣΜΑ ΔΟΝΤΙΟΥ
      • Λευκό σφράγισμα δοντιού
      • Αλλαγή μαύρου σφραγίσματος
      • Σφράγισμα πρόσθιου δοντιού
      • Αυχενικό σφράγισμα δοντιού
      • Σφράγισμα ρίζας δοντιού
    • ΠΕΡΙΣΤΑΤΙΚΑ ΠΑΙΔΟΔΟΝΤΙΑΣ
      • Μαύρα στίγματα σε παιδικά δόντια
      • Εξαγωγή παιδικού δοντιού
        / διπλό δόντι
      • Sealant προληπτική κάλυψη οπών και σχισμών
      • Απόστημα παιδικού δοντιού
      • Σφράγισμα παιδικού δοντιού
      • Πολφοτομή παιδικού δοντιού
      • Διάφορα περιστατικά παιδοδοντίας
    • ΟΛΙΚΗ ΑΠΟΚΑΤΑΣΤΑΣΗ ΣΤΟΜΑΤΟΣ
      • Ολική αποκατάσταση στόματος ενηλίκων
      • Ολική αποκατάσταση παιδικού στόματος
    • ΔΙΑΦΟΡΑ ΠΕΡΙΣΤΑΤΙΚΑ
      • Περιστατικά προσθετικής
      • Περιστατικά αισθητικής
      • Θεραπεία ουλίτιδα – περιοδοντίτιδα
      • Καθαρισμός δοντιών
      • Bonding δοντιών
      • Μασελάκια τρυγμού
      • Απόστημα δοντιού
      • Διάφορα περιστατικά δοντιών
  • BLOG
  • ΕΠΙΚΟΙΝΩΝΙΑ
  • Ελληνικά
  • English
  • Deutsch

Επανάληψη απονεύρωσης σε τρία άνω πρόσθια δόντια

Διατήρηση ρίζας δοντιού με ολοκεραμικές θήκες δοντιών

Ολοκεραμικό ένθετο σε απονευρωμένο προγόμφιο

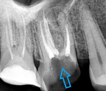
Επανάληψη απονεύρωσης σε άνω γομφίο

Στοματική υγιεινή των παιδικών δοντιών

Η σημασία της προσωρινής αποκατάστασης κατά τη διάρκεια προσθετικής εργασίας

Ολοκεραμική θήκη στον άνω αριστερό γομφίο

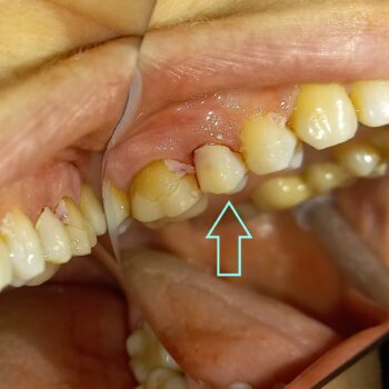
Αποκατάσταση σπασμένων άνω πρόσθιων δοντιών

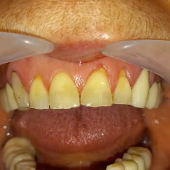
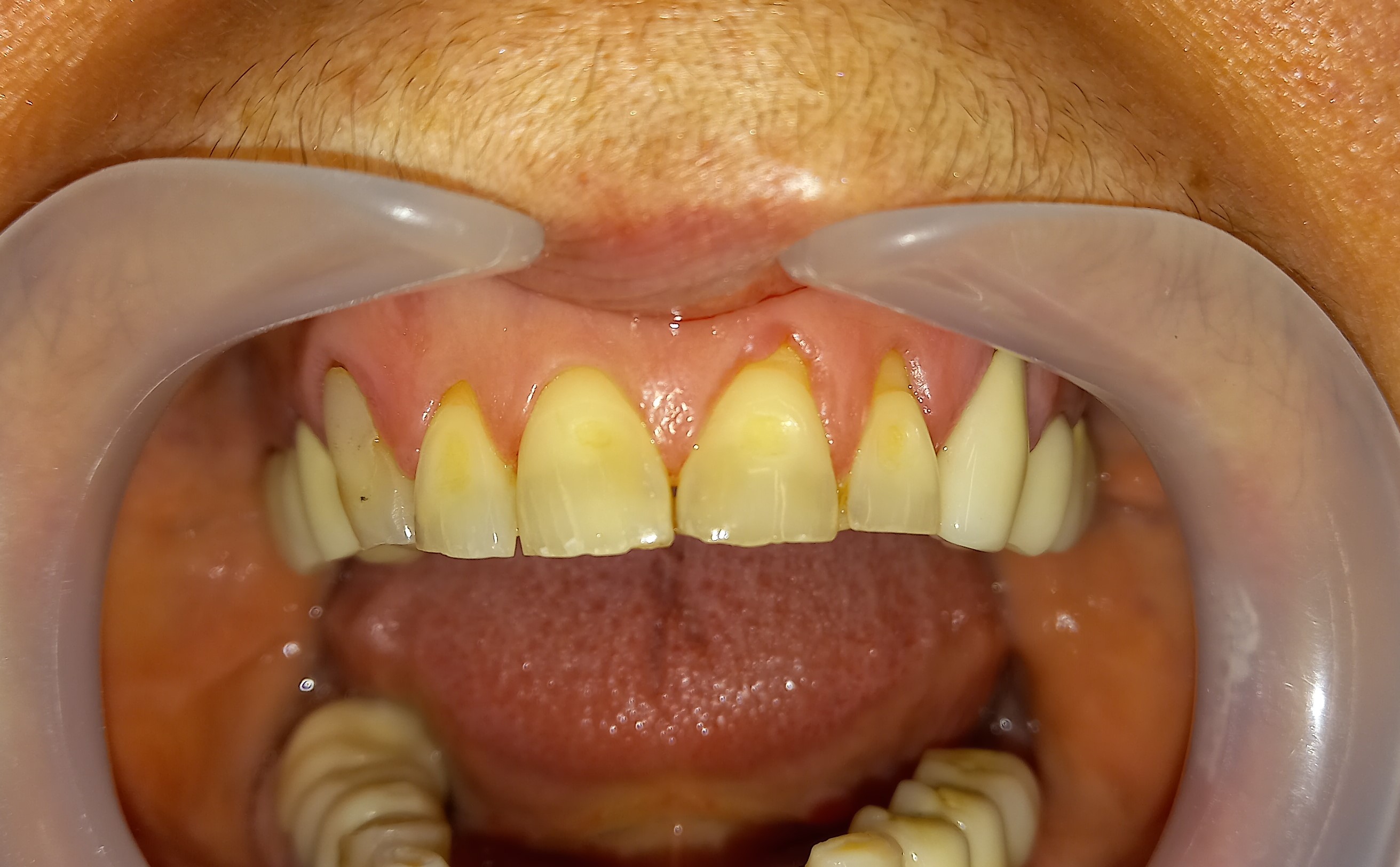
Αλλοιώσεις σε πρόσθια δόντια από λάθος τρόπο βουρτσίσματος

Ολοκεραμική γέφυρα στα άνω πρόσθια δόντια

Αποκατάσταση πρόσθιου σπασμένου δοντιού

Αποκατάσταση επανατερηδονισμένου δοντιού με κεραμικό ένθετο

Προηγούμενα 1 2 3 4 5 … 10 Επόμενο

Οδοντίατρος Θέρμη (Ανατολική Θεσσαλονίκη)
Όροι χρήσης προσωπικών δεδομένων

Υπηρεσίες

Γενική οδοντιατρική
Ενδοδοντία / Απονεύρωση
Παιδοδοντία

Περιοχές εύκολης πρόσβασης

Πυλαία
Τριάδι
Νέο Ρύσιο
Επανομή
Περαία
Καλαμαριά
Πανόραμα
Χαριλάου

Ιατρείο

Ταβάκη – Θ. Λίτσα 10 (γωνία),
Θέρμη – Θεσσαλονίκη
T.K 57001

Τηλ. 2310 46 10 44

info@stage.dimitrouli.gr

Copyright © 2016 | Dr. med. dent. Mαρίζα Δημητρούλη