Διδάκτωρ Παν/μίου Ανόβερου Γερμανίας
Ειδικευθείσα στην Ενδοδοντία στο Παν/μιο Ανόβερου
Μετεκπαιδευθείσα στην Παιδοδοντία στο Βερολίνο
ΑΡΧΙΚΗ
ΒΙΟΓΡΑΦΙΚΟ
ΙΑΤΡΕΙΟ
ΥΠΗΡΕΣΙΕΣ
ΓΕΝΙΚΗ ΟΔΟΝΤΙΑΤΡΙΚΗ
Συχνές Ερωτήσεις για Ενήλικες
Σφράγισμα δοντιού
Αλλαγή μαύρου σφραγίσματος αμαλγάματος
Βιοοδοντιατρική / Oλιστική Οδοντιατρική
Σπασμένο δόντι
Καθαρισμός δοντιών
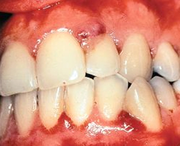
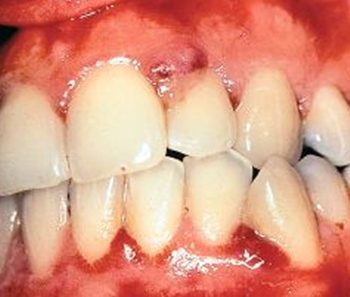
Ουλίτιδα
Περιοδοντίτιδα – Αίτια & Θεραπεία
Γέφυρα & στεφάνη δοντιού
Μασέλα δοντιών
Μασελάκια (για τρίξιμο δοντιών,
λεύκανσης κ.α.)
Εξαγωγή δοντιού
Λεύκανση δοντιών
Αισθητική οδοντιατρική
Προληπτική Οδοντιατρική
Κάλυψη Οπών και Σχισμών
Φθορίωση δοντιών
ΕΝΔΟΔΟΝΤΙΑ – ΑΠΟΝΕΥΡΩΣΗ
Τι είναι ενδοδοντία
Τι είναι απονεύρωση
Σκοπός απονεύρωσης
Διαδικασία απονεύρωσης
Συμπτώματα απονεύρωσης
Επανάληψη απονεύρωσης
Απόστημα δοντιού
Ακρορριζεκτομή δοντιού
ΠΑΙΔΟΔΟΝΤΙΑ
Συχνές ερωτήσεις για παιδιά
Τι είναι ο παιδοδοντίατρος
Σφράγισμα δοντιού σε παιδιά
Sealants σε παιδιά
Απονεύρωση (πολφοτομή) δοντιού σε παιδιά
Απόστημα παιδικού δοντιού
Εξαγωγή δοντιού σε παιδιά
Φθορίωση δοντιών σε παιδιά
Προληπτική οδοντιατρική σε παιδιά
ΠΕΡΙΣΤΑΤΙΚΑ
ΠΕΡΙΣΤΑΤΙΚΑ ΑΠΟΝΕΥΡΩΣΗΣ
Απονεύρωση δοντιού
Επανάληψη απονεύρωσης δοντιού
ΣΦΡΑΓΙΣΜΑ ΔΟΝΤΙΟΥ
Λευκό σφράγισμα δοντιού
Αλλαγή μαύρου σφραγίσματος
Σφράγισμα πρόσθιου δοντιού
Αυχενικό σφράγισμα δοντιού
Σφράγισμα ρίζας δοντιού
ΠΕΡΙΣΤΑΤΙΚΑ ΠΑΙΔΟΔΟΝΤΙΑΣ
Μαύρα στίγματα σε παιδικά δόντια
Εξαγωγή παιδικού δοντιού
/ διπλό δόντι
Sealant προληπτική κάλυψη οπών και σχισμών
Απόστημα παιδικού δοντιού
Σφράγισμα παιδικού δοντιού
Πολφοτομή παιδικού δοντιού
Διάφορα περιστατικά παιδοδοντίας
ΟΛΙΚΗ ΑΠΟΚΑΤΑΣΤΑΣΗ ΣΤΟΜΑΤΟΣ
Ολική αποκατάσταση στόματος ενηλίκων
Ολική αποκατάσταση παιδικού στόματος
ΔΙΑΦΟΡΑ ΠΕΡΙΣΤΑΤΙΚΑ
Περιστατικά προσθετικής
Περιστατικά αισθητικής
Θεραπεία ουλίτιδα – περιοδοντίτιδα
Καθαρισμός δοντιών
Bonding δοντιών
Μασελάκια τρυγμού
Απόστημα δοντιού
Διάφορα περιστατικά δοντιών
BLOG
ΕΠΙΚΟΙΝΩΝΙΑ
Για Ραντεβού
2310 46 10 44
ΑΡΧΙΚΗ
ΒΙΟΓΡΑΦΙΚΟ
ΙΑΤΡΕΙΟ
ΥΠΗΡΕΣΙΕΣ
ΓΕΝΙΚΗ ΟΔΟΝΤΙΑΤΡΙΚΗ
Συχνές Ερωτήσεις για Ενήλικες
Σφράγισμα δοντιού
Αλλαγή μαύρου σφραγίσματος αμαλγάματος
Βιοοδοντιατρική / Oλιστική Οδοντιατρική
Σπασμένο δόντι
Καθαρισμός δοντιών
Ουλίτιδα
Περιοδοντίτιδα – Αίτια & Θεραπεία
Γέφυρα & στεφάνη δοντιού
Μασέλα δοντιών
Μασελάκια (για τρίξιμο δοντιών,
λεύκανσης κ.α.)
Εξαγωγή δοντιού
Λεύκανση δοντιών
Αισθητική οδοντιατρική
Προληπτική Οδοντιατρική
Κάλυψη Οπών και Σχισμών
Φθορίωση δοντιών
ΕΝΔΟΔΟΝΤΙΑ – ΑΠΟΝΕΥΡΩΣΗ
Τι είναι ενδοδοντία
Τι είναι απονεύρωση
Σκοπός απονεύρωσης
Διαδικασία απονεύρωσης
Συμπτώματα απονεύρωσης
Επανάληψη απονεύρωσης
Απόστημα δοντιού
Ακρορριζεκτομή δοντιού
ΠΑΙΔΟΔΟΝΤΙΑ
Συχνές ερωτήσεις για παιδιά
Τι είναι ο παιδοδοντίατρος
Σφράγισμα δοντιού σε παιδιά
Sealants σε παιδιά
Απονεύρωση (πολφοτομή) δοντιού σε παιδιά
Απόστημα παιδικού δοντιού
Εξαγωγή δοντιού σε παιδιά
Φθορίωση δοντιών σε παιδιά
Προληπτική οδοντιατρική σε παιδιά
ΠΕΡΙΣΤΑΤΙΚΑ
ΠΕΡΙΣΤΑΤΙΚΑ ΑΠΟΝΕΥΡΩΣΗΣ
Απονεύρωση δοντιού
Επανάληψη απονεύρωσης δοντιού
ΣΦΡΑΓΙΣΜΑ ΔΟΝΤΙΟΥ
Λευκό σφράγισμα δοντιού
Αλλαγή μαύρου σφραγίσματος
Σφράγισμα πρόσθιου δοντιού
Αυχενικό σφράγισμα δοντιού
Σφράγισμα ρίζας δοντιού
ΠΕΡΙΣΤΑΤΙΚΑ ΠΑΙΔΟΔΟΝΤΙΑΣ
Μαύρα στίγματα σε παιδικά δόντια
Εξαγωγή παιδικού δοντιού
/ διπλό δόντι
Sealant προληπτική κάλυψη οπών και σχισμών
Απόστημα παιδικού δοντιού
Σφράγισμα παιδικού δοντιού
Πολφοτομή παιδικού δοντιού
Διάφορα περιστατικά παιδοδοντίας
ΟΛΙΚΗ ΑΠΟΚΑΤΑΣΤΑΣΗ ΣΤΟΜΑΤΟΣ
Ολική αποκατάσταση στόματος ενηλίκων
Ολική αποκατάσταση παιδικού στόματος
ΔΙΑΦΟΡΑ ΠΕΡΙΣΤΑΤΙΚΑ
Περιστατικά προσθετικής
Περιστατικά αισθητικής
Θεραπεία ουλίτιδα – περιοδοντίτιδα
Καθαρισμός δοντιών
Bonding δοντιών
Μασελάκια τρυγμού
Απόστημα δοντιού
Διάφορα περιστατικά δοντιών
BLOG
ΕΠΙΚΟΙΝΩΝΙΑ
Κακοσμία στόματος
Piercing και περιοδοντίτιδα
Ποια είναι η καλύτερη οδοντόβουρτσα ;
Ποιά οδοντόπαστα πρέπει να χρησιμοποιώ ;
Γιατί πρέπει να βουρτσίζω τα δόντια μου το βράδυ ;
Πόσες φορές τη μέρα πρέπει να βουρτσίζω τα δόντια μου ;
Ελκονεκρωτική ουλίτιδα. Αίτια και θεραπεία.
Πως συνδέεται η εμμηνόπαυση με την ουλίτιδα / περιοδοντίτιδα ;
Στοματική υγιεινή κατά τη διάρκεια της εγκυμοσύνης
Ουλίτιδα εγκυμοσύνης
Bonding δοντιών. Τι είναι και πως γίνεται
Γιατί φτύνω αίμα όταν βουρτσίζω τα δόντια μου ;
Προηγούμενα
1
…
4
5
6
7
8
9
10
Επόμενο
Μενού