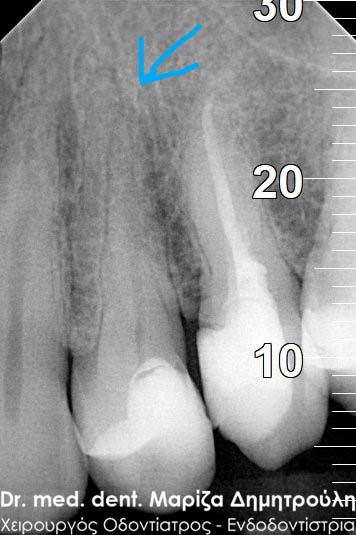
Περιστατικό – Aπονεύρωση δοντιού
Η ασθενής περιγράφει έναν έντονο συνεχόμενο πόνο στη δεξιά πλευρά της άνω γνάθου που δεν την αφήνει τις τελευταίες μέρες μα εργαστεί. Μετά την κλινική και ακτινογραφική εξέταση της περιοχής διαπιστώθηκε οτι το υπαίτιο δόντι για την πρόκληση των έντονων συμπτωμάτων ήταν ο δεύτερος δεξιός άνω γομφίος, ο οποίος διέθετε ένα παλιό βαθύ σφράγισμα που πίεζε το νεύρο του δοντιού.
Μετά τη χορήγηση τοπικής αναισθησίας αφαιρέθηκε το παλιό σφράγισμα και εντοπίστηκαν οι ριζικοί σωλήνες του δοντιού (βλέπε φωτογραφία). Μετά την κατάλληλη επεξεργασία των ριζικών σωλήνων και εφόσον το δόντι ήταν ασυμπτωματικό η απονεύρωση ολοκληρώθηκε με την έμφραξη των ριζικών σωλήνων με ειδικό εμφρακτικό υλικό.

ΠΡΙΝ

ΜΕΤΑ

ΠΡΙΝ

ΜΕΤΑ
Περιστατικό – Aπονεύρωση δοντιού
Η ασθενής προσήλθε με έντονο πόνο στο ιατρείο και είχε λάβει τις προηγούμενες μέρες αντιβίωση, εφόσον στην άνω αριστερή πλευρά της είχε οίδημα. Μετά την κλινική εξέταση διαπιστώθηκε η ύπαρξη ενός συριγγίου υπερώια μεταξύ των δύο άνω αριστερών γομφίων. Πραγματοποιήθηκε ακτινογραφία με την τοποθέτηση ενός κώνου γουταπέρκας για τη διάγνωση του υπαίτιου δοντιού, που είχε προκαλέσει την εμφάνιση του συριγγίου. Σύμφωνα με όσα αποκάλυψαν η κλινική και ακτινογραφική εξέταση ακολούθησε η έναρξη απονεύρωσης στο δεύτερο άνω αριστερό γομφίο, δεδομένου οτι είχε ένα βαθύ λευκό σφράγισμα ρητίνης που εκτεινόταν στο ύψος του νεύρου του δοντιού. Το δόντι είχε έντονα συμπτώματα πόνου κατά την επίκρουσή του.
Μετά την ολοκλήρωση της απονεύρωσης στο δεύτερο άνω αριστερό γομφίο το δόντι είναι ασυμπτωματικό. Η αποκατάσταση του δοντιού πραγματοποιήθηκε με λευκό σφράγισμα ρητίνης, εφόσον το έλλειμμα των οδοντικών ιστών ήταν μικρό και δε χρειαζόταν η προστασία του δοντιού με θήκη / στεφάνη δοντιού.
Σε δεύτερη φάση θα ακολουθήσει η επανάληψη απονεύρωσης στον πρώτο άνω αριστερό γομφίο, καθώς η απονεύρωση του δεν καλύπτει όλο το μήκος των ριζών του δοντιού και το δόντι μετά το πέρας της ενδοδοντικής θεραπείας συνεχίζει να πονά.

ΠΡΙΝ

ΠΡΙΝ

ΜΕΤΑ

Εικόνα του δοντιού μετά τη διάνοιξή του και την επεξεργασία των ριζικών σωλήνων του δοντιού

Κλινική εικόνα του δοντιού με το υλικό έμφραξης στους ριζικούς σωλήνες του

Αποκατάσταση του δοντιού με λευκό σφράγισμα ρητίνης
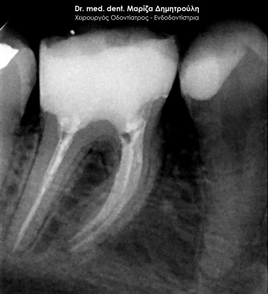
Περιστατικό – Aπονεύρωση δοντιού
Στο συγκεκριμένο περιστατικό η μορφολογία της ρίζας παρουσιάζει ιδιαίτερο ενδιαφέρον, καθώς η ρίζα έχει τη μορφή τελικού “S”. Απουσιάζει η αρχική ακτινογραφία του δοντιού. Η απονεύρωση διεκπεραιώθηκε χωρίς να θιγεί η ανατομία της ρίζας του δοντιού.

Περιστατικό – Aπονεύρωση δοντιού
Στο συγκεκριμένο περιστατικό απουσιάζει η αρχική ακτινογραφία. Στην τελική ακτινογραφία φαίνεται η ομοιόμορφη συμπαγής έμφραξη των ριζικών σωλήνων των δοντιών. Επίσης το υλικό απονεύρωσης καλύπτει όλο το μήκος των ριζών του δοντιού, κάτι που είναι σημαντικό για την πρόγνωση του δοντιού.

Περιστατικό – Aπονεύρωση δοντιού
Στον ασθενή είχε πραγματοποιηθεί σε συνάδελφο ένα λευκό σφράγισμα στο αριστερό δεύτερο γομφίο της άνω γνάθου. Από τότε το δόντι εμφανίζει μέτρια (κατά διαστήματα έντονα) συμπτώματα πόνου, σε βαθμό που να μην επιτρέπει στον ασθενή να φάει με άνεση. Στην κλινική εξέταση το δόντι έδινε έντονα και ξεκάθαρα συμπτώματα πόνου στην επίκρουση. Η ακτινογραφία αποκάλυψε οτι το σφράγισμα ίσως να είχε τοποθετηθεί κοντά στο νεύρο του δοντιού, γεγονός που μπορεί να ερέθισε τον πολφό του δοντιού γι αυτό και πονούσε.
Η θεραπεία επιλογής στο συγκεκριμένο περιστατικό ήταν η απονεύρωση δοντιού. Η ενδοδοντική θεραπεία ολοκληρώθηκε σε δύο ραντεβού και το δόντι είναι πλέον ασυμπτωματικό. Η αποκατάσταση του δοντιού πραγματοποιήθηκε με λευκό σφράγισμα, εφόσον το έλλειμμα των οδοντικών ιστών δεν ήταν μεγάλο για να απαιτείται η προστασία του δοντιού με θήκη / στεφάνη.

ΠΡΙΝ

ΜΕΤΑ
Περιστατικό – Aπονεύρωση δοντιού
Ο ασθενής τον τελευταίο μήνα υποφέρει από ένα οίδημα στην αριστερή πλευρά της κάτω γνάθου. Του προτάθηκε η εξαγωγή του δοντιού, όμως ο ασθενής δεν ήθελε να προχωρήσει στην αφαίρεση του δοντιού και ήθελε να προσπαθήσει να το κρατήσει στο στόμα του. Κλινικά διαπιστώθηκε ένα διάχυτο οίδημα στην περιοχή του αριστερού κάτω δεύτερου γομφίου, ο οποίος ήταν καλυμμένος με μεταλλοκεραμική θήκη δοντιού. Η ακτινογραφία έδειξε την ύπαρξη ακρορριζικής αλλοίωσης και στις δύο ρίζες του δοντιού.
Σε συνεννόηση με τον ασθενή αποφασίστηκε η απονεύρωση του δοντιού.
Αρχικά αφαιρέθηκε η θήκη που κάλυπτε το δόντι για την καλύτερη δυνατή πρόσβαση στους ριζικούς σωλήνες κατά τη διάρκεια της απονεύρωσης. Στη συνέχεια τοποθετήθηκε ελαστικός απομονωτήρας για την προστασία τόσο του δοντιού όσο και του ασθενή. Κατόπιν εντοπίστηκαν οι ριζικοί σωλήνες και ξεκίνησε η χημικομηχανική επεξεργασία του δοντιού.
Επειδή ο ασθενής επισκέφτηκε το ιατρείο έχοντας ήδη ένα μεγάλο οίδημα στην περιοχή χρειάστηκαν 3 ραντεβού ώστε το δόντι να είναι ασυμπτωματικό και να μπορέσει να γίνει η έμφραξη των ριζικών σωλήνων του δοντιού. Η αποκατάσταση του δοντιού ολοκληρώθηκε με την κατασκευή νέας μεταλλοκεραμικής θήκης.

ΠΡΙΝ

ΜΕΤΑ
Περιστατικό – Επανάληψη απονεύρωσης δοντιού
Η ασθενής προσήλθε στο ιατρείο με την επιθυμία να διατηρήσει το δεύτερο κάτω αριστερό γομφίο, καθώς της είχε προταθεί να εξαχθεί το δόντι. Σκοπός της ασθενούς ήταν να πραγματοποιηθεί επανάληψη στο ήδη απονευρωμένο δόντι της και στη συνέχεια να αποκατασταθεί με τον καλύτερο δυνατό τρόπο ώστε να κρατήσει το δόντι στο στόμα της όσο το δυνατόν περισσότερα χρόνια.
Αρχικά αφαιρέθηκε από το δόντι το παλιό λευκό σφράγισμα (βλέπε φωτογραφία) που διέθετε και απομακρύνθηκε ο μεταλλικός άξονας (βλέπε φωτογραφία) που είχε τοποθετηθεί παλαιότερα. Στη συνέχεια ξεκίνησε η επανάληψη της απονεύρωσης του δοντιού η οποία ήταν απόλυτα επιτυχής. Το δόντι για την πλήρη προστασία του θα αποκατασταθεί με στεφάνη / θήκη δοντιού.

ΠΡΙΝ

Αρχική εικόνα του δοντιού με λευκό σφράγισμα και μεταλλικό άξονα

Ο μεταλλικός άξονας μετά την αφαίρεση του από το δόντι

ΜΕΤΑ
Περιστατικό – Επανάληψη απονεύρωσης δοντιού
Ο ασθενής τον τελευταίο καιρό ταλαιπωρείται από έντονα συμπτώματα πόνου στη δεξιά μεριά της κάτω γνάθου. Σύμφωνα με τα λεγόμενα του στο δόντι είχε πραγματοποιηθεί απονεύρωση και στη συνέχεια τοποθετήθηκε ένθετο για την αποκατάσταση του οδοντικού ελλείμματος. Κατευθείαν πραγματοποιήθηκε ακτινογραφία του δοντιού, η οποία έδειξε την ατελή έμφραξη των ριζικών σωλήνων του δοντιού, καθώς το υλικό έμφραξης δεν εκτεινόταν σε όλο το μήκος των ριζών του δοντιού. Η κλινική εξέταση επιβεβαίωσε την έντονη αντίδραση του δοντιού κατά την επίκρουση του.
Μετά από συνεννόηση με τον ασθενή αποφασίστηκε η απομάκρυνση του ένθετου και η επανάληψη της απονεύρωσης. Πράγματι μετά τη χορήγηση τοπικής αναισθησίας, απομακρύνθηκε το ένθετο, εντοπίστηκε και αφαιρέθηκε η παλιά απονεύρωση από το εσωτερικό των ριζικών σωλήνων. Στη συνέχεια τοποθετήθηκε φάρμακο στις ρίζες του δοντιού και η χημικομηχανική επεξεργασία του δοντιού συνεχίστηκε στο επόμενο ραντεβού.
Λόγω του οιδήματος στην περιοχή το δόντι δεν εμφάνιζε συμπτώματα πόνου στο τρίτο ραντεβού, οπότε και ολοκληρώθηκε η ενδοδοντική θεραπεία με την έμφραξη των ριζικών σωλήνων με το υλικό της γουταπέρκας.
Η τελική αποκατάσταση του δοντιού πραγματοποιήθηκε με μεταλλοκεραμική στεφάνη δοντιού για την καλύτερη προστασία του ταλαιπωρημένου δοντιού.

ΠΡΙΝ

ΜΕΤΑ
Περιστατικό – Επανάληψη απονεύρωσης δοντιού
Η ασθενής είχε πραγματοποιήσει στο δεύτερο αριστερό γομφίο της κάτω γνάθου πριν χρόνια μία απονεύρωση δοντιού. Τον τελευταίο καιρό το συγκεκριμένο δόντι την πονούσε και δεν μπορούσε να μασάει με άνεση από εκείνη τη πλευρά. Η κλινική εξέταση αποκάλυψε έντονη επικρουστική αντίδραση του δοντιού. Η ακτινογραφία έδειξε την ελλιπή απονεύρωση, καθώς οι ρίζες του δοντιού δεν είχαν εμφραχθεί πλήρως σε όλο το μήκος των ριζικών σωλήνων. Επιθυμία της ασθενούς ήταν η διατήρηση του δοντιού στο στόμα της, για αυτό ως σχέδιο θεραπείας επιλέχθηκε η επανάληψη της απονεύρωσης και στη συνέχεια η αποκατάσταση του δοντιού με λευκό σφράγισμα ρητίνης (λόγω οικονομικών δυσκολιών της ασθενούς δεν μπορούσε να πραγματοποιηθεί θήκη δοντιού).
Πράγματι μετά τη χορήγηση της τοπικής αναισθησίας, το δόντι διανοίχθηκε και αφαιρέθηκε η παλιά απονεύρωση του δοντιού με τη χρήση μηχανοκίνητων εργαλείων. Η διαδικασία συνεχίστηκε με τη χημικομηχανική επεξεργασία του δοντιού για την απομάκρυνση όσο το δυνατόν περισσότερων μικροβίων, τοξινών τους, νεκρών κυττάρων κ.α. Στο τρίτο ραντεβού, εφόσον το δόντι ήταν πλέον ασυμπτωματικό ολοκληρώθηκε η επανάληψη της απονεύρωσης με την έμφραξη των ριζικών σωλήνων με νέο υλικό γουταπέρκας. Ακολούθησε η αποκατάσταση του δοντιού με λευκό σφράγισμα ρητίνης.

ΠΡΙΝ

ΜΕΤΑ
Περιστατικό – Aπονεύρωση δοντιού
Ο ασθενής πονούσε στον πρώτο αριστερό προγόμφιο της άνω γνάθου. Η ακτινογραφική εξέταση αποκάλυψε την ύπαρξη ενός παλιού λευκού σφραγίσματος, το οποίο ήταν βαθύ και έφτανε στο ύψος του νεύρου του δοντιού. Κλινικά το δόντι πονούσε έντονα στη δοκιμασία επίκρουσης. Σε συνεννόηση με τον ασθενή αποφασίστηκε η αφαίρεση του παλιού σφραγίσματος και η θεραπεία του δοντιού με απονεύρωση.
Αρχικά χορηγήθηκε στην περιοχή τοπική αναισθησία και ακολούθησε η διάνοιξη του δοντιού και ο εντοπισμός των ριζικών σωλήνων του δοντιού. Στη συνέχεια ξεκίνησε η χημικομηχανική επεξεργασία του δοντιού με τη χρήση μηχανοκίνητων εργαλείων και υγρών διακλυσμών για την επίτευξη της καλύτερης δυνατής αντισηψίας των ριζικών σωλήνων. Στο δεύτερο ραντεβού το δόντι δεν έδινε πλέον συμπτώματα πόνου και επομένως ολοκληρώθηκε η απονεύρωση με την έμφραξη των ριζικών σωλήνων του δοντιού με το ειδικό υλικό της γουταπέρκας. Η αποκατάσταση του δοντιού πραγματοποιήθηκε με λευκό σφράγισμα ρητίνης, εφόσον το έλλειμμα των οδοντικών ιστών δεν ήταν μεγάλο και δεν ήταν απαραίτητη η προστασία του δοντιού με θήκη / στεφάνη.

ΠΡΙΝ

ΜΕΤΑ
Περιστατικό – Επανάληψη απονεύρωσης δοντιού
Η ασθενής παρουσιάστηκε στο ιατρείο με περιοδικό αιφνίδιο πόνο στον κάτω αριστερό προγόμφιο. Μετά την κλινική και ακτινογραφική εξέταση της ασθενούς διαπιστώθηκε περιακρορριζική αλλοίωση στο υποκείμενο δόντι, η οποία οφειλόταν σε επαναμόλυνση του προγομφίου.
Η φλεγμονή του δοντιού αποδόθηκε σε πιθανό επανατερηδονισμό λόγω ατελούς έμφραξής του. Εξαιτίας του ανεπαρκούς σφραγίσματος του δοντιού, τα μικρόβια πέρασαν στο εσωτερικό του δοντιού (ρίζα) και “μόλυναν” κατ΄ επέκταση την απονεύρωση του δοντιού. Ακτινογραφικά διαπιστώθηκε η ατελής απονεύρωση στο επάνω μέρος της ρίζας του δοντιού. Επίσης στην ακτινογραφία διακρίνεται και η μη ερμητική απονεύρωση του δοντιού σε όλο το μήκος της ρίζας του δοντιού.
Τα προαναφερθέντα διαγνωστικά στοιχεία σε συνδυασμό με την περιοδοντική νόσο της ασθενούς οδήγησαν στην εμφάνιση αλλοίωσης στο άκρο της ρίζας του δοντιού, η οποία και κρίθηκε σκόπιμο να αντιμετωπιστεί.
Σε συνεννόηση με την ασθενή αποφασίστηκε η επανάληψη της ενδοδοντικής θεραπείας (απονέυρωσης) και η αποκατάσταση του δοντιού με καινούριο σφράγισμα.
Μετά την τοποθέτηση ελαστικού απομονωτήρα (λάστιχο) και τη διάνοιξη του δοντιού ξεκίνησε η επανάληψη της ενδοδοντικής θεραπείας (απονεύρωση) και η αφαίρεση του παλιού εμφρακτικού υλικού σε όλο το μήκος της ρίζας του δοντιού. Ακολούθησε η επεξεργασία του δοντιού με μηχανοκίνητα εργαλεία και οι διακλυσμοί ( έκπλυση ) στο εσωτερικό της ρίζας για την απομάκρυνση των νεκρών οδοντικών ιστών / κυττάρων και την απολύμανση της ρίζας. Έγινε τοποθέτηση φαρμάκου και έγινε προγραμματισμός για τη συνέχιση της απονεύρωσης σε επόμενο ραντεβού.
Εφόσον η ασθενής δεν πονούσε και το δόντι ήταν ασυμπτωματικό, ακολούθησε η ολοκλήρωση της απονεύρωσης με της έμφραξη της ρίζας του δοντιού καθώς και η αποκατάσταση του δοντιού με έμφραξη ρητίνης.

ΠΡΙΝ

ΜΕΤΑ
Περιστατικό – Επανάληψη απονεύρωσης δοντιού
Η ασθενής επισκέφτηκε το ιατρείο με σκοπό την ανακούφιση από τον πόνο στον πρώτο δεξί γομφίο, που την ταλαιπωρεί τον τελευταίο μήνα. Το δόντι ήταν καλυμμένο με μεταλλοκεραμική στεφάνη. Η κλινική εξέταση αποκάλυψε ένα ελαφρό οίδημα στην περιοχή του επίπονου δοντιού καθώς και έντονα συμπτώματα κατά την επίκρουση του δοντιού.
Η ακτινογραφική εξέταση μαρτυρά την ύπαρξη κενού χώρου μεταξύ της έμφραξης της ρίζας του δοντιού και των εσωτερικών τοιχωμάτων της ρίζας.
Σε συνεννόηση με την ασθενή αποφασίστηκε η επανάληψη της ενδοδοντικής θεραπείας (απονέυρωσης) και η αποκατάσταση του δοντιού με καινούρια στεφάνη (θήκη δοντιού).
Μετά την αφαίρεση της θήκης δοντιού, ακολούθησε η τοποθέτηση ελαστικού απομονωτήρα (λάστιχο), η διάνοιξη του δοντιού και ξεκίνησε η επανάληψη της ενδοδοντικής θεραπείας (απονεύρωση) . Συγκεκριμένα αφαιρέθηκε το παλιό εμφρακτικό υλικό σε όλα τα μήκη των ριζών του δοντιού και πραγματοποιήθηκε η επεξεργασία του δοντιού με μηχανοκίνητα εργαλεία. Κατα τη διάρκεια της απονεύρωσης γινόταν διακλυσμοί (έκπλυση ) στο εσωτερικό των ριζών για την απομάκρυνση των νεκρών οδοντικών ιστών / κυττάρων και την απολύμανση των ριζών. Έγινε τοποθέτηση φαρμάκου και έγινε προγραμματισμός για τη συνέχιση της απονεύρωσης σε επόμενο ραντεβού.
Εφόσον η ασθενής δεν πονούσε και το δόντι ήταν ασυμπτωματικό, ακολούθησε η ολοκλήρωση της απονεύρωσης με της έμφραξη των ριζών του δοντιού. Θα ακολουθήσει η αποκατάσταση του δοντιού με νέα μεταλλοκεραμική στεφάνη.

ΠΡΙΝ

ΜΕΤΑ
Περιστατικό – Επανάληψη απονεύρωσης δοντιού
Η ασθενής προσήλθε στο ιατρείο με πόνο στον αριστερό πρώτο μόνιμο γομφίο. Πριν χρόνια είχε πραγματοποιηθεί στο συγκεκριμένο δόντι απονεύρωση από κάποιον οδοντίατρο. Παρόλ΄αυτά το δόντι τις τελευταίες εβδομάδες την πονούσε τόσο κατά τη μάσηση όσο και αιφνίδια χωρίς να υπάρχει κάποιο ερέθισμα.
Μετά τη λήψη ακτινογραφίας διαπιστώθηκε οτι οι δύο από τις τρεις ρίζες του δοντιού είχαν μία ατελή έμφραξη, η οποία δεν έφτανε ως το ακρορριζικό τρήμα του δοντιού. Κλινικά το δόντι πονούσε έντονα κατά την επίκρουση.
Σε συνεννόηση με την ασθενή αποφασίστηκε η επανάληψη της ενδοδοντικής θεραπείας (απονέυρωσης) και η αποκατάσταση του δοντιού με καινούριο λευκό σφράγισμα.
Μετά την χορήγηση τοπικής αναισθησίας τοποθετήθηκε ελαστικός απομονωτήρας (λάστιχο) και έγινε διάνοιξη του δοντιού. Στη συνέχεια ξεκίνησε η επανάληψη της ενδοδοντικής θεραπείας (απονεύρωση) με την αφαίρεση του παλιού εμφρακτικού υλικού σε όλο το μήκος των τριών ριζών του δοντιού. Ακολούθησε η επεξεργασία του δοντιού με μηχανοκίνητα εργαλεία και οι διακλυσμοί ( έκπλυση ) στο εσωτερικό των ριζών για την απομάκρυνση των νεκρών οδοντικών ιστών / κυττάρων και την απολύμανση των ριζών. Έγινε τοποθέτηση φαρμάκου και έγινε προγραμματισμός για τη συνέχιση της απονεύρωσης σε επόμενο ραντεβού.
Εφόσον η ασθενής δεν πονούσε και το δόντι ήταν ασυμπτωματικό, ακολούθησε η ολοκλήρωση της απονεύρωσης με της έμφραξη των ριζών του δοντιού καθώς και η αποκατάσταση του δοντιού με έμφραξη ρητίνης.

ΠΡΙΝ

ΜΕΤΑ
Περιστατικό – Επανάληψη απονεύρωσης δοντιού
Ο ασθενής επισκέφτηκε το ιατρείο, γιατί πονούσε στον πάνω δεξί κεντρικό τομέα την τελευταία εβδομάδα. Στο δόντι είχε πραγματοποιηθεί απονεύρωση πριν 4 χρόνια. Επιθυμία του ήταν η διατήρηση του δοντιού στο στόμα. Η οδοντίατρος που είχε πραγματοποιήσει την απονεύρωση πριν χρόνια, του πρότεινε εξαγωγή του δοντιού και τοποθέτηση εμφυτεύματος.
Κλινικά η περιοχή γύρω από τον κεντρικό τομέα ήταν πρησμένη και εξερχόταν πύον από την ουλοδοντική σχισμή. Το δόντι είχε στεφάνη .Ο ασθενής με δική του πρωτοβουλία είχε ξεκινήσει τη λήψη αντιβίωσης.
Μετά τον ακτινογραφικό έλεγχο διαπιστώθηκε οτι η παλιά απονεύρωση ήταν ελλιπής/ ατελής στο άκρο της ρίζας του δοντιού.
Μετά απο συνεννόηση με τον ασθενή αποφασίστηκε να γίνει μία προσπάθεια διατήρησης της στεφάνης του δοντιού και παράλληλα να πραγματοποιηθεί επανάληψη της απονεύρωσης του δοντιού.
Μετά την χορήγηση τοπικής αναισθησίας τοποθετήθηκε ελαστικός απομονωτήρας (λάστιχο) και έγινε διάνοιξη του δοντιού μέσω της στεφάνης. Στη στεφάνη δημιουργήθηκε γλωσσικά μία τρύπα ώστε να διατηρηθεί η θήκη του δοντιού, ενώ ταυτόχρονα να είναι δυνατή η αφαίρεση του παλιού εμφρακτικού υλικού στη ρίζα του δοντιού. Στη συνέχεια ξεκίνησε η επανάληψη της ενδοδοντικής θεραπείας (απονεύρωση) με την αφαίρεση του παλιού εμφρακτικού υλικού σε όλο το μήκος της ρίζας του δοντιού. Ακολούθησε η επεξεργασία του δοντιού με μηχανοκίνητα εργαλεία και οι διακλυσμοί ( έκπλυση ) στο εσωτερικό της ρίζας για την απομάκρυνση των νεκρών οδοντικών ιστών / κυττάρων και την απολύμανση της ρίζας. Έγινε τοποθέτηση φαρμάκου και έγινε προγραμματισμός για τη συνέχιση της απονεύρωσης σε επόμενο ραντεβού.
Εφόσον ο ασθενής δεν πονούσε, το οίδημα στην περιοχή είχε υποχωρήσει και το δόντι ήταν ασυμπτωματικό ακολούθησε η ολοκλήρωση της απονεύρωσης με την έμφραξη της ρίζας του δοντιού.
Το σημείο της στεφάνης που τροχίστηκε γλωσσικά έκλεισε με σφράγισμα σύνθετης ρητίνης. Αυτή ήταν μία συμβιβαστική λύση σε συνεννόηση με τον ασθενή, προκειμένου το δόντι να παραμείνει στο στόμα και να μην εξαχθεί.

ΠΡΙΝ

ΜΕΤΑ
Περιστατικό – Απονεύρωση με διατήρηση της θήκης δοντιού
Ο ασθενής ολοκλήρωσε πρόσφατα σε συνάδελφο τη δημιουργία γέφυρας στην κάτω δεξιά μεριά του. Ένα μήνα σχεδόν μετά τη συγκόλληση της γέφυρας στα δόντια, ο ασθενής είχε έναν έντονο πόνο. Σύμφωνα με την εκτίμηση του συναδέλφου το δόντι χρειαζόταν απονεύρωση, την οποία και ξεκίνησαν. Στη συνέχεια ο ασθενής παραπέμφθηκε στο ιατρείο. Επιθυμία του ασθενή ήταν η διατήρηση της γέφυρας στο στόμα.
Μετά την χορήγηση τοπικής αναισθησίας τοποθετήθηκε ελαστικός απομονωτήρας (λάστιχο) και έγινε διάνοιξη του δοντιού μέσω της στεφάνης (θήκης δοντιου). Η στεφάνη είχε τροχιστεί μασητικά ώστε να υπάρχει πρόσβαση στις ρίζες του δοντιού. Στη συνέχεια ξεκίνησε η διαδικασία της ενδοδοντικής θεραπείας: Πραγματοποιήθηκε η επεξεργασία του δοντιού με μηχανοκίνητα εργαλεία και οι διακλυσμοί ( έκπλυση ) στο εσωτερικό των ριζών για την απομάκρυνση των νεκρών οδοντικών ιστών / κυττάρων και την απολύμανση των ρίζών. Έγινε τοποθέτηση φαρμάκου και έγινε προγραμματισμός για τη συνέχιση της απονεύρωσης σε επόμενο ραντεβού.
Εφόσον ο ασθενής δεν πονούσε και το δόντι ήταν ασυμπτωματικό ακολούθησε η ολοκλήρωση της απονεύρωσης με την έμφραξη των ριζών του δοντιού.
Το σημείο της στεφάνης που τροχίστηκε μασητικά έκλεισε με σφράγισμα σύνθετης ρητίνης.

ΠΡΙΝ

ΜΕΤΑ
Περιστατικό – Απονεύρωση και σφραγίσματος δοντιού
Ο ασθενής επισκέφτηκε το ιατρείο με σκοπό την αποκατάσταση μιας “τρύπας” που αντιλήφθηκε από μόνος του. Μετά την κλινική εξέταση διαπιστώθηκε μία τερηδονική βλάβη στον αριστερό πρώτο γομφίο. Παρόλο που η κοιλότητα δεν ήταν μεγάλη σε πλάτος η τερηδόνα εκτεινόταν έφτανε σε μεγάλο βάθος στο ύψος του πολφού, δηλαδή του νεύρου του δοντιού. Ξεκίνησε η διαδικασία της απονεύρωσης δοντιού και μετά την ολοκλήρωση της πραγματοποιήθηκε λευκό σφράγισμα σύνθετης ρητίνης. Η αποκατάσταση του δοντιού πραγματοποιήθηκε με σφράγισμα και όχι με θήκη δοντιού, γιατί το έλλειμμα του δοντιού δεν ήταν τόσο μεγάλο ώστε να απαιτείται η κατασκευή στεφάνης για την προστασία του.

ΠΡΙΝ

Απονεύρωση δοντιού

Αποκατάσταση δοντιού με προσωρινό σφράγισμα μετά το τέλος της απονεύρωσης

Τελικό λευκό σφράγισμα
Περιστατικό – Επανάληψη απονεύρωσης με διατήρηση της θήκης δοντιού
H ασθενής παρουσιάστηκε στο ιατρείο με πόνο στον κάτω δεξί πρώτο προγόμφιο. Πριν από 1,5 χρόνο περίπου στο συγκεκριμένο δόντι είχε πραγματοποιηθεί απονεύρωση και στη συνέχεια το δόντι καλύφθηκε με θήκη. Η ασθενής αναφέρει οτι από τότε που ξεκίνησε η απονεύρωση του δοντιού, το δόντι δε σταμάτησε ποτέ να την ενοχλεί. Τις τελευταίες μέρες ο πόνος ήταν πιο ενοχλητικός. Επιθυμία της ήταν η διατήρηση της θήκης στο στόμα της.
Κλινικά το δόντι έδινε έντονα συμπτώματα πόνου κατά την επίκρουση. Μετά τον ακτινογραφικό έλεγχο διαπιστώθηκε οτι η απονεύρωση του δοντιού ήταν ατελής, καθώς το εμφρακτικό υλικό είχε τοποθετηθεί στα 2/3 της ρίζας του και όχι σε όλο το μήκος της ρίζας του δοντιού.
Στην ασθενή προτάθηκε η επανάληψη της απονεύρωσης χωρίς να χρειαστεί να αφαιρεθεί η θήκη από το δόντι.
Μετά την χορήγηση τοπικής αναισθησίας τοποθετήθηκε ελαστικός απομονωτήρας (λάστιχο) και έγινε διάνοιξη του δοντιού μέσω της στεφάνης (θήκης δοντιου). Η στεφάνη τροχίστηκε μασητικά ώστε να υπάρχει πρόσβαση στη ρίζα του δοντιού. Στη συνέχεια ξεκίνησε η διαδικασία της επανάληψης της απονεύρωσης: Αφαιρέθηκε το παλιό εμφρακτικό υλικό και στη συνέχεια ακολούθησε η επεξεργασία της ρίζας με μηχανοκίνητα εργαλεία. Παράλληλα πραγματοποιήθηκαν και διακλυσμοί ( έκπλυση ) στο εσωτερικό της ρίζας για την απομάκρυνση των νεκρών οδοντικών ιστών / κυττάρων και την απολύμανση του ριζικού σωλήνα. Έγινε τοποθέτηση φαρμάκου και έγινε προγραμματισμός για τη συνέχιση της απονεύρωσης σε επόμενο ραντεβού.
Εφόσον η ασθενής δεν πονούσε και το δόντι ήταν ασυμπτωματικό ακολούθησε η ολοκλήρωση της απονεύρωσης με την έμφραξη της ρίζας του δοντιού.
Το σημείο της στεφάνης που τροχίστηκε μασητικά έκλεισε με σφράγισμα σύνθετης ρητίνης.

ΠΡΙΝ

ΜΕΤΑ
Περιστατικό – Επανάληψη απονεύρωσης δοντιού
Πριν 2 χρόνια είχε πραγματοποιηθεί απονεύρωση στον πρώτο αριστερό μόνιμο γομφίο (τραπεζίτη). Ο ασθενής αναφέρει οτι από τότε που ξεκίνησε η ενδοδοντική θεραπεία, το δόντι δεν έπαψε ποτέ να πονάει.
Αρχικα ο ασθενής εξετάστηκε κλινικά και παρατηρήθηκε έντονος πόνος κατά την επίκρουση του δοντιού. Ακολούθησε ο ακτινογραφικός έλεγχος, ο οποίος εξήγησε και τα συμπτώματα πόνου του δοντιού. Διαπιστώθηκε οτι μόνο μία από τις τρείς ρίζες του δοντιού είχε εμφρακτικό υλικό. Η δεύτερη φαινόταν κενή, ενώ στην τρίτη διέκρινε κανείς μόνο την παρουσία κάποιου φυράματος.
Μετά την πλήρη ενημέρωση του ασθενή αποφασίστηκε η επανάληψη της ενδοδοντικής θεραπείας (απονέυρωσης) και η αποκατάσταση του δοντιού με καινούριο λευκό σφράγισμα.
Αρχικά στον ασθενή χορηγήθηκε τοπική αναισθησία και τοποθετήθηκε ελαστικός απομονωτήρας (λάστιχο). Στη συνέχεια πραγματοποιήθηκε διάνοιξη του δοντιού και αφαίρεθηκε το παλιό εμφρακτικό υλικό σε όλο το μήκος της ρίζας του δοντιού. Ακολούθησε η επεξεργασία του δοντιού με μηχανοκίνητα εργαλεία και οι διακλυσμοί ( έκπλυση ) στο εσωτερικό των ριζών για την απομάκρυνση των νεκρών οδοντικών ιστών / κυττάρων και την απολύμανση των ριζών. Έγινε τοποθέτηση φαρμάκου και έγινε προγραμματισμός για τη συνέχιση της απονεύρωσης σε επόμενο ραντεβού.
Εφόσον η ασθενής δεν πονούσε και το δόντι ήταν ασυμπτωματικό, ακολούθησε η ολοκλήρωση της απονεύρωσης με της έμφραξη των ριζών του δοντιού. Σε επόμενο ραντεβού το δόντι αποκαταστάθηκε με λευκό σφράγισμα.

ΠΡΙΝ

ΜΕΤΑ
Περιστατικό – Απονεύρωση δοντιού με διάτρηση
Η ασθενής είχε ξεκινήσει μια ενδοδοντική θεραπεία (απονεύρωση) στον κάτω αριστερό πρώτο γομφίο πριν δύο εβδομάδες σε κάποιον άλλο συνάδελφο. Ανέφερε ότι από τότε ταλαιπωρείται με έντονο μόνιμο πόνο στο συγκεκριμένο δόντι. Της είχε χορηγηθεί αντιβίωση και παρόλα αυτά ο πόνος παραμένει.
Έγινε η κλινική και ακτινογραφικά εξέταση του δοντιού. Στην αρχική ακτινογραφία που πραγματοποιήθηκε πριν τη διάνοιξη του δοντιού παρατηρήθηκε ο έντονος εκτροχισμός του δοντιού ανάμεσα στις ρίζες. Η ακτινογραφική αυτή εικόνα γεννά υποψίες για πιθανή διάτρηση του δοντιού στο συγκεκριμένο σημείο. Διάτρηση ενός δοντιού κατά τη διάρκεια της απονεύρωσης μπορεί να προκληθεί όταν ο οδοντίατρος “ανοίγει” (τροχίζει) το δόντι στην προσπάθεια του να εντοπίσει τις ρίζες του δοντιού (ριζικοί σωλήνες). Είναι δηλαδή πιθανόν το δόντι να τροχιστεί σε άλλο σημείο από αυτό που εντοπίζονται οι ρίζες του δοντιού, με αποτέλεσμα να δημιουργηθεί μία τρύπα στο δόντι. Η τρύπα αυτή ονομάζεται διάτρηση.
Μετά από τη χορήγηση τοπικής αναισθησίας και την τοποθέτηση ελαστικού απομονωτήρα ακολούθησε η διάνοιξη του δοντιού. Αμέσως μετά την αφαίρεση του προσωρινού σφραγίσματος παρατηρήθηκε έντονη και απότομη αιμορραγία του δοντιού, η οποία προερχόταν από ένα συγκεκριμένο σημείο. Η κλινική αυτή εικόνα επιβεβαίωσε τις υποψίες για διάτρηση του δοντιού. Εντοπίστηκε το σημείο της διάτρησης και έγινε έλεγχος με μία ακτινογραφία. Στη συνέχεια πραγματοποιήθηκε η αποκατάσταση της διάτρησης με ειδικό υλικό και εντοπίστηκε ο τρίτος σωλήνας του δοντιού. Η όλη διαδικασία επιβεβαιώθηκε με τη λήψη ακτινογραφίας.
Αξίζει να σημειωθεί ότι η ασθενής μετά το πρώτο ραντεβού στο ιατρείο (στο οποίο βρέθηκε ο τρίτος ριζικός σωλήνας και “έκλεισε” το σημείο της διάτρησης) δεν πονούσε πλέον και το δόντι ήταν ασυμπτωματικό. Στην επόμενη συνεδρία το δόντι παρασκευάστηκε με ειδικά μηχανοκίνητα εργαλεία ενδοδοντίας και απολυμάνθηκε με ειδικά υγρά διακλυσμών. Η διαδικασία ολοκληρώθηκε με την έμφραξη των ριζικών σωλήνων (ριζών του δοντιού) με γουταπέρκα. Σε επόμενη επίσκεψη έγινε η αποκατάσταση του δοντιού με έμφραξη ρητίνης.

Επιβεβαίωση της διάτρησης

Εντοπισμός του τρίτου ριζικού σωλήνα

Εντοπισμός του τρίτου ριζικού σωλήνα

Εντοπισμός του τρίτου ριζικού σωλήνα
Περιστατικό – Επανάληψη απονεύρωσης δοντιού
Ο ασθενής παραπονείται για έναν μόνιμο πόνο στην περιοχή του αριστερού ιγμορείου. Ανέφερε οτι πριν χρόνια πραγματοποιήθηκε στον αριστερό γομφίο (τραπεζίτη) μία απονεύρωση. Μετά από καιρό εμφανίστηκαν τα συμπτώματα πόνου, χωρίς καμία βελτίωση. Μετά τον αποκλεισμό της ανάμειξης του ιγμορείου στη εμφάνιση των συμπτωμάτων ακολούθησε η κλινική και ακτινογραφική εξέταση του δοντιού. Η ακτινογραφία αποκάλυψε την ατελή απονεύρωση του δοντιού.
Μετά από συνεννόηση με τον ασθενή αποφασίστηκε η επανάληψη της ενδοδοντικής θεραπείας (απονεύρωσης). Ακολούθως έγινε τοποθέτηση του ελαστικού απομονωτήρα, η διάνοιξη του δοντιού και η αφαίρεση του παλιού εμφρακτικού υλικού από τις ρίζες.Επιπρόσθετα εντοπίστηκε και παρασκευάστηκε και 4ος ριζικός σωλήνας, ο οποίος δεν είχε επεξεργστεί στην πρώτη ενδοδοντική θεραπεία ( απονεύρωση ) του ασθενούς.
Διαπιστώθηκε η ενσβεστίωση 2 ριζικών σωλήνων του δοντιού (ριζών), κάτι που δεν επέτρεψε την επεξεργασία του δοντιού σε όλο το μήκος αυτών των ριζών. Παρολ΄ αυτά μετά τη δεύτερη συνεδρία ο ασθενής ανέφερε την ανακούφιση και την εξάλειψη των συμπτωμάτων, που τον ταλαιπωρούσαν τα τελευταία χρόνια.
Εφόσον το δόντι ήταν ασυμπτωματικό και ο ασθενής δεν αισθανόταν πλέον πόνο ολοκληρώθηκε η διαδικασία της απονεύρωσης με τη χρήση των μηχανοκίνητων εργαλείων και την τελική έμφραξη των ριζών του δοντιού με νέο εμφρακτικό υλικό.

ΠΡΙΝ

ΜΕΤΑ
Περιστατικό – Απονεύρωση δοντιού
Η ασθενής αναφέρει οτι τον τελευταίο 1,5 μήνα ταλαιπωρείται με τον πρώτο αριστερό προγόμφιο, καθώς είχε ξεκινήσει απονεύρωση στο δόντι και από τότε έχει έντονα συμπτώματα πόνου, παρά τη λήψη αντιβίωσης.
Η θεραπεία ξεκίνησε με τη διάνοιξη του δοντιού, τη χημικομηχανική επεξεργασία του με μηχανοκίνητα εργαλεία και την τοποθέτηση φαρμάκου μέσα στο ριζικό σωλήνα του δοντιού. Στην επόμενη κιόλας συνεδρία η ασθενής είχε ανακουφιστεί από τα συμπτώματα πόνου.
Εφόσον το δόντι ήταν ασυμπτωματικό η διαδικασία της απονεύρωσης ολοκληρώθηκε με την έμφραξη της ρίζας του δοντιού με ειδικό εμφρακτικό υλικό.
Η θεραπεία της απονεύρωσης ολοκληρώθηκε σε 2 ραντεβού.

ΠΡΙΝ

ΜΕΤΑ
Περιστατικό – Απονεύρωση δοντιού
Ο ασθενής τους τελευταίους μήνες ταλαιπωρείται με έντονους πόνους στον πρώτο δεξιό γομφίο, ο οποίος είναι καλυμμένος με θήκη δοντιού. Μετά την ακτινογραφική εξέταση του δοντιού διαπιστώθηκε η ακρορριζική αλλοίωση του συγκεκριμένου δοντιού. Η κλινική εξέταση φανέρωσε οτι τα όρια της στεφάνης ήταν ατελή και δεν είχε πλέον καλή εφαρμοφή πάνω στο δόντι. Αποφασίστηκε η αφαίρεση της στεφάνης , η απονεύρωση του δοντιού και η δημιουργία στο μέλλον νέας θήκης δοντιού.
Η θεραπεία ξεκίνησε με τη διάνοιξη του δοντιού, τη χημικομηχανική επεξεργασία του με μηχανοκίνητα εργαλεία και την τοποθέτηση φαρμάκου μέσα στους ριζικούς σωλήνές του δοντιού. Στην επόμενη κιόλας συνεδρία ο ασθενής είχε ανακουφιστεί από τα συμπτώματα πόνου.
Εφόσον το δόντι ήταν ασυμπτωματικό η διαδικασία της απονεύρωσης ολοκληρώθηκε με την έμφραξη των ριζών του δοντιού με ειδικό εμφρακτικό υλικό.
Η θεραπεία της απονεύρωσης ολοκληρώθηκε σε 3 ραντεβού.
Σε δεύτερο χρόνο θα ακολουθήσει η κατασκευή νέας στεφάνης δοντιού.

Αρχική εικόνα δοντιού πριν την αφαίρεση της θήκης

Αμέσως μετά την αφαίρεση της θήκης του δοντιού

Εύρεση και επεξεργασία των ριζικών σωλήνων υπό τη χρήση του απομονωτήρα

ΠΡΙΝ

ΜΕΤΑ
Περιστατικό – Απονεύρωση δοντιού
Ο ασθενής παραπέμφθηκε από συνάδελφο οδοντίατρο για τη συνέχιση της θεραπείας στο δεξί κεντρικό τομέα της άνω γνάθου. Αρχικά στο δόντι είχε πραγματοποιηθεί λευκό σφράγισμα. Μετά από μία εβδομάδα ο ασθενής παρουσίασε έντονο οίδημα στην περιοχή του κεντρικού τομέα και επισκέφτηκε το ιατρείο με έντονο πόνο και πρήξιμο εσωτερικά του άνω χείλους. Μετά την ακτινογραφική εξέταση του δοντιού διαπιστώθηκε οτι το σφράγισμα είχε άμεση επαφή με τον πολφό (το νεύρο του δοντιού), γεγονός που προκάλεσε τον ερεθισμό και τη φλεγμονή του πολφού, η οποία συνοδευόταν με την εμφάνιση των προαναφερθέντων συμπτωμάτων.
Η θεραπευτική λύση ήταν η απονεύρωση του εν λόγω δοντιού.
Η θεραπεία ξεκίνησε με τη διάνοιξη του δοντιού, τη χημικομηχανική επεξεργασία του με μηχανοκίνητα εργαλεία και την τοποθέτηση φαρμάκου μέσα στο ριζικό σωλήνα του δοντιού. Στην επόμενη κιόλας συνεδρία η ασθενής είχε ανακουφιστεί από τα συμπτώματα πόνου.
Εφόσον το δόντι ήταν ασυμπτωματικό η διαδικασία της απονεύρωσης ολοκληρώθηκε με την έμφραξη της ρίζας του δοντιού με ειδικό εμφρακτικό υλικό.
Η θεραπεία της απονεύρωσης ολοκληρώθηκε σε 2 ραντεβού.

ΠΡΙΝ

ΜΕΤΑ
Περιστατικό – Απονεύρωση δοντιού
Η ασθενής επισκέφτηκε το ιατρείο γιατί ταλαιπωρείται με έντονα συμπτώματα πόνου στην αριστερή πλευρά της κάτω γνάθου. Μετά την κλινική και ακτινογραφική εξέταση διαπιστώθηκε ο επανατερηδονισμός του δεύτερου κάτω αριστερού προγόμφιου σε μεγάλο βάθος που εκτεινόταν στο ύψος του νεύρου του δοντιού. Για τη θεραπεία του δοντιού απαιτείται η απονεύρωση του.
Μετά από συνεννόηση με την ασθενή της χορηγήθηκε τοπική αναισθησία, ακολούθησε η διάνοιξη του δοντιού, η απομάκρυνση των τερηδονισμένων οδοντικών ιστών και ο εντοπισμός του ριζικού σωλήνα του δοντιού. Η ενδοδοντική θεραπεία συνεχίστηκε με τη χημικομηχανική επεξεργασία της ρίζας του δοντιού (με μηχανοκίνητα εργαλεία) και την τοποθέτηση φαρμάκου μέσα στο ριζικό σωλήνα του δοντιού. Στην επόμενη κιόλας συνεδρία η ασθενής είχε ανακουφιστεί από τα συμπτώματα πόνου.
Εφόσον το δόντι στο επόμενο ραντεβού ήταν ασυμπτωματικό, η διαδικασία της απονεύρωσης ολοκληρώθηκε με την έμφραξη της ρίζας του δοντιού με ειδικό εμφρακτικό υλικό.
Η θεραπεία της απονεύρωσης ολοκληρώθηκε σε 3 ραντεβού.

ΠΡΙΝ

ΜΕΤΑ
Περιστατικό – Απονεύρωση δοντιού
Η ασθενής παρουσιάστηκε στο ιατρείο με έντονο πόνο στην αριστερή μεριά της πάνω γνάθου. Μετά την κλινική και ακτινογραφική εξέταση διαπιστώθηκε οτι ο πρώτος γομφίος ήταν τερηδονισμένος σε μεγάλη έκταση και βάθος. Η ακτινογραφία αποκάλυψε επίσης μία ακρορριζική αλλοίωση σε 2 από τις 3 ρίζες του δοντιού.
Για τη θεραπεία του δοντιού ήταν απαραίτητη η απονεύρωσή του.
Η θεραπεία ξεκίνησε με τη διάνοιξη του δοντιού, τη χημικομηχανική επεξεργασία του με μηχανοκίνητα εργαλεία και την τοποθέτηση φαρμάκου μέσα στους ριζικούς σωλήνες του δοντιού. Στην επόμενη κιόλας συνεδρία η ασθενής είχε ανακουφιστεί από τα συμπτώματα πόνου.
Εφόσον το δόντι ήταν ασυμπτωματικό η διαδικασία της απονεύρωσης ολοκληρώθηκε με την έμφραξη της ρίζας του δοντιού με ειδικό εμφρακτικό υλικό.
Η θεραπεία της απονεύρωσης ολοκληρώθηκε σε 3 ραντεβού.
Στην δεξιά ακτινογραφία φαίνεται οτι η ακρορριζική αλλοίωση σε μία από τις ρίζες του δοντιού είχε κιόλας υποχωρήσει σε μικρό χρονικό διάστημα από την έναρξη της απονεύρωσης του δοντιού.
Οι φωτογραφίες δείχνουν τους ριζικούς σωλήνες του δοντιού πριν (αριστερή φωτογραφία) και μετά (δεξιά φωτογραφία) την επεξεργασία του δοντιού με μηχανοκίνητα εργαλεία.

ΠΡΙΝ

ΜΕΤΑ

ΠΡΙΝ

ΜΕΤΑ
Περιστατικά – Απονεύρωση δοντιού
Παρακάτω παρατίθονται μερικά περιστατικά μετά την ολοκλήρωση της απονεύρωσης δοντιού.

Κάτω γομφίος με κεκαμμένες ρίζες

Άνω γομφίος με έντονα κεκαμμένες ρίζες

Μονόριζο δόντι με 3 ριζικούς σωλήνες

Κάτω γομφίος

Κάτω γομφίος

Κάτω γομφίος

Κάτω γομφίος

Κάτω γομφίος
Περιστατικό – Επανάληψη απονεύρωσης και προσθετικής
Η ασθενής παρουσιάστηκε στο ιατρείο με την επιθυμία να ξανακολληθούν οι στεφάνες της στους δυο κάτω αριστερούς προγομφίους, γιατί τον τελευταίο καιρό της αισθανόταν “λίγο χαλαρές”.
Η κλινική εξέταση των δοντιών έδειξε κάτι πιο πολύπλοκο απ΄ αυτό που περιέγραφε η ασθενής. Οι στεφάνες ήταν πράγματι χαλαρές και δεν προσάρμοζαν πάνω στα δόντια, γιατί τα δόντια κάτω από τις στεφάνες είχαν επανατερηδονιστεί.
Η ακτινογραφική εξέταση αποκάλυψε ότι και τα δύο δόντια είχαν απονευρωθεί στο παρελθόν, έφεραν το καθένα στο εσωτερικό χυτό μεταλλικό άξονα και στο ακρορρίζιο διαπιστώθηκε μια περιακρορριζική αλλοίωση. Η αλλοίωση αυτή μαρτυρά τη φλεγμονή του δοντιού στο άκρο της ρίζας.
Μετά από συνεννόηση με την ασθενή αποφασίστηκε το παρακάτω σχέδιο θεραπείας:
1. Αφαίρεση των παλιών στεφανών (θηκών δοντιού)
2. Αφαίρεση του χυτού μεταλλικού άξονα από το εσωτερικό του ριζικού σωλήνα
3. Επανάληψη της απονεύρωσης
Αφού ολοκληρώθηκαν οι παραπάνω εργασίες πραγματοποιήθηκε αποκατάσταση των δοντιών με άξονες υαλονημάτων και κατασκεύη καινούριων στεφανών. Οπώς φαίνεται και στην τελική ακτινογραφία 6 μήνες μετά την διεκπεραίωση του σχεδίου θεραπείας η φλεγμονή στο ακρορρίζιο του δοντιού είχε ήδη υποχωρήσει.

ΠΡΙΝ

Έλεγχος αφαίρεσης άξονα και παλιάς απονεύρωσης

Τελική ακτινογραφία

