Περιστατικό – Επανάληψη απονεύρωσης δοντιού
Ο ασθενής επιθυμούσε την προσθετική αποκατάσταση (με θήκη / στεφάνη δοντιού) του πρώτου γομφίου στην αριστερή πλευρά της κάτω γνάθου, καθώς το δόντι αυτό είχε ένα παλιό σφράγισμα το οποίο συνεχώς έσπαζε. Απαραίτητη προϋπόθεση για την έναρξη της διαδικασίας για τη στεφάνη δοντιού ήταν η κλινική και ακτινογραφική εξέταση του γομφίου. Μετά τη λήψη ακτινογραφίας αποκαλύφθηκε οτι το δόντι είχε μία παλιά απονεύρωση, η οποία ήταν ατελής εφόσον δεν εκτεινόταν σε όλο το μήκος των ριζικών σωλήνων του δοντιού ενώ φαινόταν ο τρίτος ριζικός σωλήνας στο δόντι να μην έχει εντοπιστεί. Μετά από συνεννόηση με τον ασθενή αποφασίστηκε η επανάληψη της απονεύρωσης του δοντιού, ώστε να εξασφαλιστεί ένα εγγυημένο προσθετικό αποτέλεσμα. Γενικότερα είναι επιθυμητό οι προσθετικές εργασίες να τοποθετούνται στα δόντια εφόσον έχουν γίνει όλες οι απαραίτητες εργασίες όπως απονεύρωση δοντιού, καθαρισμός των ούλων κ.α.
Μετά λοιπόν την αφαίρεση του παλιού σφραγίσματος εντοπίστηκε ο τρίτος ριζικός σωλήνας που δεν είχε βρεθεί στην παλιά πρώτη απονεύρωση, όπως δείχνει και η φωτογραφία της αρχικής κλινικής εικόνας. Στη συνέχεια καθαρίστηκαν και επεξεργάστηκαν όλοι οι ριζικοί σωλήνες (Για περισσότερες πληροφορίες Βλέπε Επανάληψη απονεύρωσης). Η διαδικασία ολοκληρώθηκε με την έμφραξη των ριζικών σωλήνων του δοντιού και την ανασύσταση της εκτεταμένης κοιλότητας με ειδικό άξονα υαλονημάτων και ρητίνη. Ακολούθως το δόντι τροχίστηκε, λήφθηκαν αποτυπώματα και όταν ο οδοντοτεχνίτης είχε έτοιμη τη θήκη του δοντιού αυτή κολλήθηκε στο δόντι.

ΠΡΙΝ

ΠΡΙΝ

ΜΕΤΑ

ΠΡΙΝ

ΜΕΤΑ
Περιστατικό – Επανάληψη απονεύρωσης δοντιού
Ο ασθενής πονούσε πολύ στον άνω γομφίο, που είχε απονευρωθεί πριν από χρόνια. Αποφασίστηκε η επανάληψη απονεύρωσης του δοντιού, κατά την οποία διαπιστώθηκε οτι υπήρχε και τέταρτος ριζικός σωλήνας που δεν είχε βρεθεί και επεξεργαστεί κατά την πρώτη προσπάθεια απονεύρωσης. Πλέον το δόντι είναι ασυμπτωματικό.

Παλιά απονεύρωση του δύο άνω γομφίου

Νέα απονεύρωση στον άνω γομφίο

Νέα απονεύρωση στον άνω γομφίο

Κλινική εικόνα του τέταρτου ριζικού σωλήνα που βρέθηκε κατά την επανάληψη απονεύρωσης
Περιστατικό – Επανάληψη απονεύρωσης δοντιού
Ο ασθενής στο πλαίσιο της ολικής αποκατάστασης του στόματος του αποφάσισε την επανάληψη απονευρώσεων των δύο γομφίων στη δεξιά πλευρά της άνω γνάθου. Μετά την ολοκλήρωση των νέων απονευρώσεων τα δόντια αποκαταστάθηκαν με νέες ολοκεραμικές στεφάνες ζιρκονίου δοντιών.

Παλιές απονευρώσεις των δύο άνω δεξιών γομφίων

Νέα απονεύρωση στον άνω πρώτο δεξιό γομφίο

Αφαίρεση όλης της παλιάς απονεύρωσης στον άνω δεύτερο δεξιό γομφίο

Νέα απονεύρωση στον άνω δεύτερο δεξιό γομφίο
Περιστατικό – Επανάληψη απονεύρωσης σε 3 δόντια
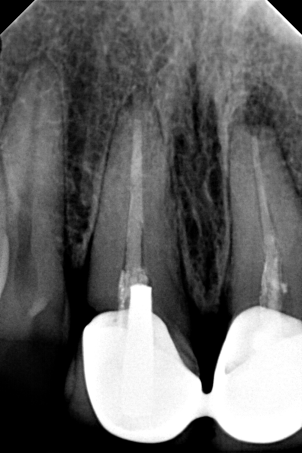
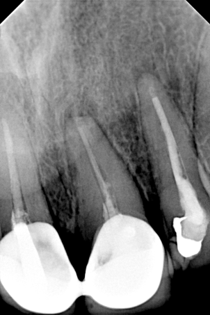
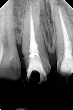
Ο ασθενής ήθελε να αντικαταστήσει μία παλιά προσθετική δουλειά στα δύο άνω πρόσθια δόντια του. Οι δύο κεντρικοί τομείς είχαν παλιές απονευρώσεις, οι οποίες δεν ήταν τόσο καλές όπως έδειχναν οι ακτινογραφίες. Οι ατελείς απονευρώσεις διαπιστώθηκαν όταν αφαιρέθηκαν οι παλιές στεφάνες και από κάτω οι απονευρώσεις μυρίζαν έντονα και το εμφρακτικό υλικό εντός των ριζικών σωλήνων ήταν αλλοιωμένο. Γι αυτούς τους λόγους πραγματοποιήθηκε επανάληψη απονεύρωσης στους κεντρικούς τομείς και στον πλάγιο τομέα.

Παλιές απονευρώσεις των δύο άνω κεντρικών τομέων

Παλιά απονεύρωση του άνω πλάγιου τομέα

Νέες απονευρώσεις των άνω κεντρικών τομέων

Νέα απονεύρωση του άνω πλάγιου τομέα
Περιστατικό – Επανάληψη απονεύρωσης δοντιού
Η ασθενής επιθυμούσε να αντικαταστήσει 2 παλιά σφραγίσματα αμαλγάματος. Αποφασίστηκε η κατασκευή δύο ολοκεραμικών θηκών. Σύμφωνα με το γερμανικό πρωτόκολλο για τις απονευρώσεις δοντιών, πριν από μία προσθετική δουλειά θα πρέπει να ελέγχονται παλιές απονευρώσεις που υπάρχουν ήδη σε ένα δόντι. Σε περίπτωση που αυτές είναι αμφιλεγόμενες, τότε ενδείκνυται η επανάληψη απονεύρωσης, ώστε να μην προκύψουν στο μέλλον προβλήματα με το δόντι ενώ θα έχει κολληθεί η προσθετική δουλειά.
Στο συγκεκριμένο περιστατικό πραγματοποιήθηκε επανάληψη απονεύρωσης στο πρώτο δεξιό γομφίο. Στη διάρκεια της διαδικασίας εντοπίστηκε και τέταρτος ριζικός σωλήνας, ο οποίος δεν είχε βρεθεί στην πρώτη παλιά απονεύρωση. Η εγγύς ρίζα είχε ενασβεστιωθεί με τα χρόνια και δεν ήταν δυνατόν να επεξεργαστεί ο ριζικός σωλήνας σε όλο το μήκος του. Όμως όλες οι ρίζες παρασκευάστηκαν και καθαρίστηκαν πολύ καλά και στη συνέχεια εμφράχθηκαν ερμητικά.

ΠΡΙΝ – Παλιά μαύρα σφραγίσματα

Το δόντι με τον απομονωτήρα. Διακρίνονται 4 ριζικοί σωλήνες

ΠΡΙΝ

ΜΕΤΑ

ΜΕΤΑ- Προσπάθεια λήψης ακτινογραφίας του 4ου ριζικού σωλήνα του δοντιού
Περιστατικό – Επανάληψη απονεύρωσης δοντιού
Ο ασθενής είχε έντονο απόστημα στη δεξιά πλευρά της κάτω γνάθου, καθώς απέφευγε να θεραπεύσει το συγκεκριμένο δόντι τον τελευταίο ένα χρόνο. Αιτία του αποστήματος αυτού ήταν η αποτυχία μιας παλιάς απονεύρωσης που είχε στον πρώτο γομφίο της κάτω γνάθου. Μετά από συνεννόηση με τον ασθενή αποφασίστηκε η επανάληψη της απονεύρωσης, καθώς ο ασθενής επιθυμούσε τη διατήρηση του δοντιού στο στόμα του. Κατά τη διάνοιξη του δοντιού εντοπίστηκε και τέταρτος ριζικός σωλήνας, ο οποίος δεν είχε εντοπιστεί και καθαριστεί στην πρώτη απονεύρωση του δοντιού και ίσως να είναι και η αιτία φλεγμονής του δοντιού. Οι φωτογραφίες δείχνουν την εικόνα του δοντιού μετά την αφαίρεση της παλιάς απονεύρωσης, την νέα επεξεργασία και την ικανοποιητική διάνοιξη των ριζικών σωλήνων. Είναι σημαντικό σε μία απονεύρωση οι ριζικοί σωλήνες να διανοίγονται επαρκώς, ώστε να απομακρύνονται όσο το δυνατόν καλύτερα τα μικρόβια και οι μολυσμένοι οδοντικοί ιστοί από το εσωτερικό των ριζών του δοντιού όπως επίσης να υπάρχει επαρκής χώρος για να εισέρχονται και να δρουν ικανοποιητικά τα απολυμαντικά διαλύματα.
Μετά την ολοκλήρωση της θεραπείας ο ασθενής δεν πονάει πλέον και αισθάνεται πολύ καλά.

ΠΡΙΝ

ΜΕΤΑ

ΜΕΤΑ- Προσπάθεια λήψης ακτινογραφίας του 4ου ριζικού σωλήνα του δοντιού

ΠΡΙΝ

ΠΡΙΝ- Εικόνα του αποστήματος

ΜΕΤΑ
Περιστατικό – Επανάληψη απονεύρωσης δοντιού
Η ασθενής πονούσε πάρα πολύ στο δεύτερο γομφίο της κάτω γνάθου. Το δόντι είχε μια παλιά απονεύρωση. Οι λύσεις θεραπείας ήταν δύο. Η πρώτη ήταν η εξαγωγή του δοντιού η δεύτερη η επανάληψη της παλιάς απονεύρωσης και η διατήρηση του δοντιού στο στόμα της ασθενούς. Η ασθενής αποφάσισε τη διατήρηση του δοντιού στο στόμα της. Μετά τη χορήγηση της τοπικής αναισθησίας ξεκίνησε η διαδικασία αφαίρεσης της παλιάς απονεύρωσης. Μόλις αφαιρέθηκε το παλιό εμφρακτικό υλικό από τις ρίζες του δοντιού ξεκίνησε η έντονη εκροή πύου μέσα από το δόντι γεγονός που επιβεβαίωσε την έντονη φλεγμονή του δοντιού. Στη δεύτερη συνεδρία η ασθενής ήταν ήδη πολύ καλύτερα. Λόγω όμως της εκτεταμένης φλεγμονής του δοντιού πραγματοποιήθηκε ακόμη μία συνεδρία πριν την τελική έμφραξη των ριζών. Στην επόμενη συνεδρία η ασθενής ήταν πλήρως ασυμπτωματική και επομένως ακολούθησε η έμφραξη των ριζών του δοντιού με νέο υλικό. Μετά την ολοκλήρωση της απονέυρωσης το δόντι αποκαταστάθηκε με λευκό σφράγισμα ρητίνης.

ΠΡΙΝ

ΜΕΤΑ

Αρχική κλινική εικόνα της απονεύρωσης

Οι επεξεργασμένοι ριζικοί σωλήνες μετά την αφαίρεση της παλιάς απονεύρωσης

Τελική κλινική εικόνα της απονεύρωσης
Περιστατικό – Επανάληψη απονεύρωσης δοντιού
Η ασθενής ταλαιπωρούταν με το συγκεκριμένο δόντι τον τελευταίο ενάμιση χρόνο καθώς το δόντι της είχε απονευρωθεί, αλλά παρόλα αυτά συνέχιζε να την πονάει έντονα. Επρόκειτο για τον πρώτο δεξιό προγόμφιο της άνω γνάθου. Απαραίτητο για τη θεραπεία του δοντιού ήταν η διάνοιξή του και η επανάληψη απονεύρωσης, ώστε να διαγνωσθεί η αιτία πρόκλησης πόνου. Πράγματι μετά την αφαίρεση της παλιάς έμφραξης διαπιστώθηκε οτι το δόντι είχε διατρηθεί από παλαιότερες οδοντιατρικές εργασίες, ενώ η δεύτερη ρίζα του δοντιού δεν είχε βρεθεί, καθαρισθεί και εμφραχθεί ποτέ. Μετά την έμφραξη της διάτρησης του δοντιού ακολούθησε η επανάληψη της απονεύρωσης. Πιο συγκεκριμένα από τη μία ρίζα του δοντιού αφαιρέθηκε η παλιά απονεύρωση, ενώ η δεύτερη ρίζα εντοπίστηκε, επεξεργάστηκε και εμφράχθηκε για πρώτη φορά (κάτι βέβαια που θα έπρεπε να είχε γίνει από την προηγούμενες οδοντιατρικές θεραπείες). Η τελική ακτινογραφία παρουσιάζει το άκρως ικανοποιητικό αποτέλεσμα της επανάληψης απονεύρωσης. Η θεραπεία ολοκληρώθηκε σε 2 μόλις συνεδρίες και η ασθενής είναι πλήρως ικανοποιημένη με τη λειτουργία του δοντιού.

ΠΡΙΝ

ΜΕΤΑ
Περιστατικό – Επανάληψη απονεύρωσης δοντιού

ΠΡΙΝ

ΜΕΤΑ

ΜΕΤΑ
Περιστατικό – Επανάληψη απονεύρωσης δοντιού
Η ασθενής προσήλθε στο ιατρείο με την επιθυμία να διατηρήσει το δεύτερο κάτω αριστερό γομφίο, καθώς της είχε προταθεί να εξαχθεί το δόντι. Σκοπός της ασθενούς ήταν να πραγματοποιηθεί επανάληψη στο ήδη απονευρωμένο δόντι της και στη συνέχεια να αποκατασταθεί με τον καλύτερο δυνατό τρόπο ώστε να κρατήσει το δόντι στο στόμα της όσο το δυνατόν περισσότερα χρόνια.
Αρχικά αφαιρέθηκε από το δόντι το παλιό λευκό σφράγισμα (βλέπε φωτογραφία) που διέθετε και απομακρύνθηκε ο μεταλλικός άξονας (βλέπε φωτογραφία) που είχε τοποθετηθεί παλαιότερα. Στη συνέχεια ξεκίνησε η επανάληψη της απονεύρωσης του δοντιού η οποία ήταν απόλυτα επιτυχής. Το δόντι για την πλήρη προστασία του θα αποκατασταθεί με στεφάνη / θήκη δοντιού.

ΠΡΙΝ

Αρχική εικόνα του δοντιού με λευκό σφράγισμα και μεταλλικό άξονα

Ο μεταλλικός άξονας μετά την αφαίρεση του από το δόντι

ΜΕΤΑ
Περιστατικό – Επανάληψη απονεύρωσης δοντιού
Ο ασθενής τον τελευταίο καιρό ταλαιπωρείται από έντονα συμπτώματα πόνου στη δεξιά μεριά της κάτω γνάθου. Σύμφωνα με τα λεγόμενα του στο δόντι είχε πραγματοποιηθεί απονεύρωση και στη συνέχεια τοποθετήθηκε ένθετο για την αποκατάσταση του οδοντικού ελλείμματος. Κατευθείαν πραγματοποιήθηκε ακτινογραφία του δοντιού, η οποία έδειξε την ατελή έμφραξη των ριζικών σωλήνων του δοντιού, καθώς το υλικό έμφραξης δεν εκτεινόταν σε όλο το μήκος των ριζών του δοντιού. Η κλινική εξέταση επιβεβαίωσε την έντονη αντίδραση του δοντιού κατά την επίκρουση του.
Μετά από συνεννόηση με τον ασθενή αποφασίστηκε η απομάκρυνση του ένθετου και η επανάληψη της απονεύρωσης. Πράγματι μετά τη χορήγηση τοπικής αναισθησίας, απομακρύνθηκε το ένθετο, εντοπίστηκε και αφαιρέθηκε η παλιά απονεύρωση από το εσωτερικό των ριζικών σωλήνων. Στη συνέχεια τοποθετήθηκε φάρμακο στις ρίζες του δοντιού και η χημικομηχανική επεξεργασία του δοντιού συνεχίστηκε στο επόμενο ραντεβού.
Λόγω του οιδήματος στην περιοχή το δόντι δεν εμφάνιζε συμπτώματα πόνου στο τρίτο ραντεβού, οπότε και ολοκληρώθηκε η ενδοδοντική θεραπεία με την έμφραξη των ριζικών σωλήνων με το υλικό της γουταπέρκας.
Η τελική αποκατάσταση του δοντιού πραγματοποιήθηκε με μεταλλοκεραμική στεφάνη δοντιού για την καλύτερη προστασία του ταλαιπωρημένου δοντιού.

ΠΡΙΝ

ΜΕΤΑ
Περιστατικό – Επανάληψη απονεύρωσης δοντιού
Η ασθενής είχε πραγματοποιήσει στο δεύτερο αριστερό γομφίο της κάτω γνάθου πριν χρόνια μία απονεύρωση δοντιού. Τον τελευταίο καιρό το συγκεκριμένο δόντι την πονούσε και δεν μπορούσε να μασάει με άνεση από εκείνη τη πλευρά. Η κλινική εξέταση αποκάλυψε έντονη επικρουστική αντίδραση του δοντιού. Η ακτινογραφία έδειξε την ελλιπή απονεύρωση, καθώς οι ρίζες του δοντιού δεν είχαν εμφραχθεί πλήρως σε όλο το μήκος των ριζικών σωλήνων. Επιθυμία της ασθενούς ήταν η διατήρηση του δοντιού στο στόμα της, για αυτό ως σχέδιο θεραπείας επιλέχθηκε η επανάληψη της απονεύρωσης και στη συνέχεια η αποκατάσταση του δοντιού με λευκό σφράγισμα ρητίνης (λόγω οικονομικών δυσκολιών της ασθενούς δεν μπορούσε να πραγματοποιηθεί θήκη δοντιού).
Πράγματι μετά τη χορήγηση της τοπικής αναισθησίας, το δόντι διανοίχθηκε και αφαιρέθηκε η παλιά απονεύρωση του δοντιού με τη χρήση μηχανοκίνητων εργαλείων. Η διαδικασία συνεχίστηκε με τη χημικομηχανική επεξεργασία του δοντιού για την απομάκρυνση όσο το δυνατόν περισσότερων μικροβίων, τοξινών τους, νεκρών κυττάρων κ.α. Στο τρίτο ραντεβού, εφόσον το δόντι ήταν πλέον ασυμπτωματικό ολοκληρώθηκε η επανάληψη της απονεύρωσης με την έμφραξη των ριζικών σωλήνων με νέο υλικό γουταπέρκας. Ακολούθησε η αποκατάσταση του δοντιού με λευκό σφράγισμα ρητίνης.

ΠΡΙΝ

ΜΕΤΑ
Περιστατικό – Επανάληψη απονεύρωσης δοντιού
Η ασθενής παρουσιάστηκε στο ιατρείο με περιοδικό αιφνίδιο πόνο στον κάτω αριστερό προγόμφιο. Μετά την κλινική και ακτινογραφική εξέταση της ασθενούς διαπιστώθηκε περιακρορριζική αλλοίωση στο υποκείμενο δόντι, η οποία οφειλόταν σε επαναμόλυνση του προγομφίου.
Η φλεγμονή του δοντιού αποδόθηκε σε πιθανό επανατερηδονισμό λόγω ατελούς έμφραξής του. Εξαιτίας του ανεπαρκούς σφραγίσματος του δοντιού, τα μικρόβια πέρασαν στο εσωτερικό του δοντιού (ρίζα) και “μόλυναν” κατ΄ επέκταση την απονεύρωση του δοντιού. Ακτινογραφικά διαπιστώθηκε η ατελής απονεύρωση στο επάνω μέρος της ρίζας του δοντιού. Επίσης στην ακτινογραφία διακρίνεται και η μη ερμητική απονεύρωση του δοντιού σε όλο το μήκος της ρίζας του δοντιού.
Τα προαναφερθέντα διαγνωστικά στοιχεία σε συνδυασμό με την περιοδοντική νόσο της ασθενούς οδήγησαν στην εμφάνιση αλλοίωσης στο άκρο της ρίζας του δοντιού, η οποία και κρίθηκε σκόπιμο να αντιμετωπιστεί.
Σε συνεννόηση με την ασθενή αποφασίστηκε η επανάληψη της ενδοδοντικής θεραπείας (απονέυρωσης) και η αποκατάσταση του δοντιού με καινούριο σφράγισμα.
Μετά την τοποθέτηση ελαστικού απομονωτήρα (λάστιχο) και τη διάνοιξη του δοντιού ξεκίνησε η επανάληψη της ενδοδοντικής θεραπείας (απονεύρωση) και η αφαίρεση του παλιού εμφρακτικού υλικού σε όλο το μήκος της ρίζας του δοντιού. Ακολούθησε η επεξεργασία του δοντιού με μηχανοκίνητα εργαλεία και οι διακλυσμοί ( έκπλυση ) στο εσωτερικό της ρίζας για την απομάκρυνση των νεκρών οδοντικών ιστών / κυττάρων και την απολύμανση της ρίζας. Έγινε τοποθέτηση φαρμάκου και έγινε προγραμματισμός για τη συνέχιση της απονεύρωσης σε επόμενο ραντεβού.
Εφόσον η ασθενής δεν πονούσε και το δόντι ήταν ασυμπτωματικό, ακολούθησε η ολοκλήρωση της απονεύρωσης με της έμφραξη της ρίζας του δοντιού καθώς και η αποκατάσταση του δοντιού με έμφραξη ρητίνης.

ΠΡΙΝ

ΜΕΤΑ
Περιστατικό – Επανάληψη απονεύρωσης δοντιού
Η ασθενής επισκέφτηκε το ιατρείο με σκοπό την ανακούφιση από τον πόνο στον πρώτο δεξί γομφίο, που την ταλαιπωρεί τον τελευταίο μήνα. Το δόντι ήταν καλυμμένο με μεταλλοκεραμική στεφάνη. Η κλινική εξέταση αποκάλυψε ένα ελαφρό οίδημα στην περιοχή του επίπονου δοντιού καθώς και έντονα συμπτώματα κατά την επίκρουση του δοντιού.
Η ακτινογραφική εξέταση μαρτυρά την ύπαρξη κενού χώρου μεταξύ της έμφραξης της ρίζας του δοντιού και των εσωτερικών τοιχωμάτων της ρίζας.
Σε συνεννόηση με την ασθενή αποφασίστηκε η επανάληψη της ενδοδοντικής θεραπείας (απονέυρωσης) και η αποκατάσταση του δοντιού με καινούρια στεφάνη (θήκη δοντιού).
Μετά την αφαίρεση της θήκης δοντιού, ακολούθησε η τοποθέτηση ελαστικού απομονωτήρα (λάστιχο), η διάνοιξη του δοντιού και ξεκίνησε η επανάληψη της ενδοδοντικής θεραπείας (απονεύρωση) . Συγκεκριμένα αφαιρέθηκε το παλιό εμφρακτικό υλικό σε όλα τα μήκη των ριζών του δοντιού και πραγματοποιήθηκε η επεξεργασία του δοντιού με μηχανοκίνητα εργαλεία. Κατα τη διάρκεια της απονεύρωσης γινόταν διακλυσμοί (έκπλυση ) στο εσωτερικό των ριζών για την απομάκρυνση των νεκρών οδοντικών ιστών / κυττάρων και την απολύμανση των ριζών. Έγινε τοποθέτηση φαρμάκου και έγινε προγραμματισμός για τη συνέχιση της απονεύρωσης σε επόμενο ραντεβού.
Εφόσον η ασθενής δεν πονούσε και το δόντι ήταν ασυμπτωματικό, ακολούθησε η ολοκλήρωση της απονεύρωσης με της έμφραξη των ριζών του δοντιού. Θα ακολουθήσει η αποκατάσταση του δοντιού με νέα μεταλλοκεραμική στεφάνη.

ΠΡΙΝ

ΜΕΤΑ
Περιστατικό – Επανάληψη απονεύρωσης δοντιού
Η ασθενής προσήλθε στο ιατρείο με πόνο στον αριστερό πρώτο μόνιμο γομφίο. Πριν χρόνια είχε πραγματοποιηθεί στο συγκεκριμένο δόντι απονεύρωση από κάποιον οδοντίατρο. Παρόλ΄αυτά το δόντι τις τελευταίες εβδομάδες την πονούσε τόσο κατά τη μάσηση όσο και αιφνίδια χωρίς να υπάρχει κάποιο ερέθισμα.
Μετά τη λήψη ακτινογραφίας διαπιστώθηκε οτι οι δύο από τις τρεις ρίζες του δοντιού είχαν μία ατελή έμφραξη, η οποία δεν έφτανε ως το ακρορριζικό τρήμα του δοντιού. Κλινικά το δόντι πονούσε έντονα κατά την επίκρουση.
Σε συνεννόηση με την ασθενή αποφασίστηκε η επανάληψη της ενδοδοντικής θεραπείας (απονέυρωσης) και η αποκατάσταση του δοντιού με καινούριο λευκό σφράγισμα.
Μετά την χορήγηση τοπικής αναισθησίας τοποθετήθηκε ελαστικός απομονωτήρας (λάστιχο) και έγινε διάνοιξη του δοντιού. Στη συνέχεια ξεκίνησε η επανάληψη της ενδοδοντικής θεραπείας (απονεύρωση) με την αφαίρεση του παλιού εμφρακτικού υλικού σε όλο το μήκος των τριών ριζών του δοντιού. Ακολούθησε η επεξεργασία του δοντιού με μηχανοκίνητα εργαλεία και οι διακλυσμοί ( έκπλυση ) στο εσωτερικό των ριζών για την απομάκρυνση των νεκρών οδοντικών ιστών / κυττάρων και την απολύμανση των ριζών. Έγινε τοποθέτηση φαρμάκου και έγινε προγραμματισμός για τη συνέχιση της απονεύρωσης σε επόμενο ραντεβού.
Εφόσον η ασθενής δεν πονούσε και το δόντι ήταν ασυμπτωματικό, ακολούθησε η ολοκλήρωση της απονεύρωσης με της έμφραξη των ριζών του δοντιού καθώς και η αποκατάσταση του δοντιού με έμφραξη ρητίνης.

ΠΡΙΝ

ΜΕΤΑ
Περιστατικό – Επανάληψη απονεύρωσης δοντιού
Ο ασθενής επισκέφτηκε το ιατρείο, γιατί πονούσε στον πάνω δεξί κεντρικό τομέα την τελευταία εβδομάδα. Στο δόντι είχε πραγματοποιηθεί απονεύρωση πριν 4 χρόνια. Επιθυμία του ήταν η διατήρηση του δοντιού στο στόμα. Η οδοντίατρος που είχε πραγματοποιήσει την απονεύρωση πριν χρόνια, του πρότεινε εξαγωγή του δοντιού και τοποθέτηση εμφυτεύματος.
Κλινικά η περιοχή γύρω από τον κεντρικό τομέα ήταν πρησμένη και εξερχόταν πύον από την ουλοδοντική σχισμή. Το δόντι είχε στεφάνη .Ο ασθενής με δική του πρωτοβουλία είχε ξεκινήσει τη λήψη αντιβίωσης.
Μετά τον ακτινογραφικό έλεγχο διαπιστώθηκε οτι η παλιά απονεύρωση ήταν ελλιπής/ ατελής στο άκρο της ρίζας του δοντιού.
Μετά απο συνεννόηση με τον ασθενή αποφασίστηκε να γίνει μία προσπάθεια διατήρησης της στεφάνης του δοντιού και παράλληλα να πραγματοποιηθεί επανάληψη της απονεύρωσης του δοντιού.
Μετά την χορήγηση τοπικής αναισθησίας τοποθετήθηκε ελαστικός απομονωτήρας (λάστιχο) και έγινε διάνοιξη του δοντιού μέσω της στεφάνης. Στη στεφάνη δημιουργήθηκε γλωσσικά μία τρύπα ώστε να διατηρηθεί η θήκη του δοντιού, ενώ ταυτόχρονα να είναι δυνατή η αφαίρεση του παλιού εμφρακτικού υλικού στη ρίζα του δοντιού. Στη συνέχεια ξεκίνησε η επανάληψη της ενδοδοντικής θεραπείας (απονεύρωση) με την αφαίρεση του παλιού εμφρακτικού υλικού σε όλο το μήκος της ρίζας του δοντιού. Ακολούθησε η επεξεργασία του δοντιού με μηχανοκίνητα εργαλεία και οι διακλυσμοί ( έκπλυση ) στο εσωτερικό της ρίζας για την απομάκρυνση των νεκρών οδοντικών ιστών / κυττάρων και την απολύμανση της ρίζας. Έγινε τοποθέτηση φαρμάκου και έγινε προγραμματισμός για τη συνέχιση της απονεύρωσης σε επόμενο ραντεβού.
Εφόσον ο ασθενής δεν πονούσε, το οίδημα στην περιοχή είχε υποχωρήσει και το δόντι ήταν ασυμπτωματικό ακολούθησε η ολοκλήρωση της απονεύρωσης με την έμφραξη της ρίζας του δοντιού.
Το σημείο της στεφάνης που τροχίστηκε γλωσσικά έκλεισε με σφράγισμα σύνθετης ρητίνης. Αυτή ήταν μία συμβιβαστική λύση σε συνεννόηση με τον ασθενή, προκειμένου το δόντι να παραμείνει στο στόμα και να μην εξαχθεί.

ΠΡΙΝ

ΜΕΤΑ
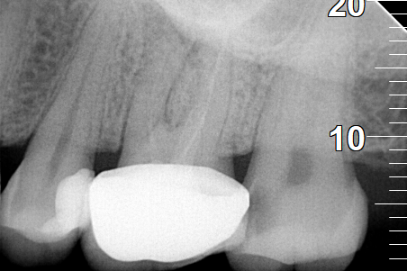
Περιστατικό – Επανάληψη απονεύρωσης με διατήρηση της θήκης δοντιού
H ασθενής παρουσιάστηκε στο ιατρείο με πόνο στον κάτω δεξί πρώτο προγόμφιο. Πριν από 1,5 χρόνο περίπου στο συγκεκριμένο δόντι είχε πραγματοποιηθεί απονεύρωση και στη συνέχεια το δόντι καλύφθηκε με θήκη. Η ασθενής αναφέρει οτι από τότε που ξεκίνησε η απονεύρωση του δοντιού, το δόντι δε σταμάτησε ποτέ να την ενοχλεί. Τις τελευταίες μέρες ο πόνος ήταν πιο ενοχλητικός. Επιθυμία της ήταν η διατήρηση της θήκης στο στόμα της.
Κλινικά το δόντι έδινε έντονα συμπτώματα πόνου κατά την επίκρουση. Μετά τον ακτινογραφικό έλεγχο διαπιστώθηκε οτι η απονεύρωση του δοντιού ήταν ατελής, καθώς το εμφρακτικό υλικό είχε τοποθετηθεί στα 2/3 της ρίζας του και όχι σε όλο το μήκος της ρίζας του δοντιού.
Στην ασθενή προτάθηκε η επανάληψη της απονεύρωσης χωρίς να χρειαστεί να αφαιρεθεί η θήκη από το δόντι.
Μετά την χορήγηση τοπικής αναισθησίας τοποθετήθηκε ελαστικός απομονωτήρας (λάστιχο) και έγινε διάνοιξη του δοντιού μέσω της στεφάνης (θήκης δοντιου). Η στεφάνη τροχίστηκε μασητικά ώστε να υπάρχει πρόσβαση στη ρίζα του δοντιού. Στη συνέχεια ξεκίνησε η διαδικασία της επανάληψης της απονεύρωσης: Αφαιρέθηκε το παλιό εμφρακτικό υλικό και στη συνέχεια ακολούθησε η επεξεργασία της ρίζας με μηχανοκίνητα εργαλεία. Παράλληλα πραγματοποιήθηκαν και διακλυσμοί ( έκπλυση ) στο εσωτερικό της ρίζας για την απομάκρυνση των νεκρών οδοντικών ιστών / κυττάρων και την απολύμανση του ριζικού σωλήνα. Έγινε τοποθέτηση φαρμάκου και έγινε προγραμματισμός για τη συνέχιση της απονεύρωσης σε επόμενο ραντεβού.
Εφόσον η ασθενής δεν πονούσε και το δόντι ήταν ασυμπτωματικό ακολούθησε η ολοκλήρωση της απονεύρωσης με την έμφραξη της ρίζας του δοντιού.
Το σημείο της στεφάνης που τροχίστηκε μασητικά έκλεισε με σφράγισμα σύνθετης ρητίνης.

ΠΡΙΝ

ΜΕΤΑ
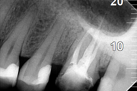
Περιστατικό – Επανάληψη απονεύρωσης δοντιού
Πριν 2 χρόνια είχε πραγματοποιηθεί απονεύρωση στον πρώτο αριστερό μόνιμο γομφίο (τραπεζίτη). Ο ασθενής αναφέρει οτι από τότε που ξεκίνησε η ενδοδοντική θεραπεία, το δόντι δεν έπαψε ποτέ να πονάει.
Αρχικα ο ασθενής εξετάστηκε κλινικά και παρατηρήθηκε έντονος πόνος κατά την επίκρουση του δοντιού. Ακολούθησε ο ακτινογραφικός έλεγχος, ο οποίος εξήγησε και τα συμπτώματα πόνου του δοντιού. Διαπιστώθηκε οτι μόνο μία από τις τρείς ρίζες του δοντιού είχε εμφρακτικό υλικό. Η δεύτερη φαινόταν κενή, ενώ στην τρίτη διέκρινε κανείς μόνο την παρουσία κάποιου φυράματος.
Μετά την πλήρη ενημέρωση του ασθενή αποφασίστηκε η επανάληψη της ενδοδοντικής θεραπείας (απονέυρωσης) και η αποκατάσταση του δοντιού με καινούριο λευκό σφράγισμα.
Αρχικά στον ασθενή χορηγήθηκε τοπική αναισθησία και τοποθετήθηκε ελαστικός απομονωτήρας (λάστιχο). Στη συνέχεια πραγματοποιήθηκε διάνοιξη του δοντιού και αφαίρεθηκε το παλιό εμφρακτικό υλικό σε όλο το μήκος της ρίζας του δοντιού. Ακολούθησε η επεξεργασία του δοντιού με μηχανοκίνητα εργαλεία και οι διακλυσμοί ( έκπλυση ) στο εσωτερικό των ριζών για την απομάκρυνση των νεκρών οδοντικών ιστών / κυττάρων και την απολύμανση των ριζών. Έγινε τοποθέτηση φαρμάκου και έγινε προγραμματισμός για τη συνέχιση της απονεύρωσης σε επόμενο ραντεβού.
Εφόσον η ασθενής δεν πονούσε και το δόντι ήταν ασυμπτωματικό, ακολούθησε η ολοκλήρωση της απονεύρωσης με της έμφραξη των ριζών του δοντιού. Σε επόμενο ραντεβού το δόντι αποκαταστάθηκε με λευκό σφράγισμα.

ΠΡΙΝ

ΜΕΤΑ
Περιστατικό – Επανάληψη απονεύρωσης δοντιού
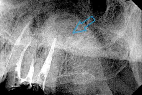
Ο ασθενής παραπονείται για έναν μόνιμο πόνο στην περιοχή του αριστερού ιγμορείου. Ανέφερε οτι πριν χρόνια πραγματοποιήθηκε στον αριστερό γομφίο (τραπεζίτη) μία απονεύρωση. Μετά από καιρό εμφανίστηκαν τα συμπτώματα πόνου, χωρίς καμία βελτίωση. Μετά τον αποκλεισμό της ανάμειξης του ιγμορείου στη εμφάνιση των συμπτωμάτων ακολούθησε η κλινική και ακτινογραφική εξέταση του δοντιού. Η ακτινογραφία αποκάλυψε την ατελή απονεύρωση του δοντιού.
Μετά από συνεννόηση με τον ασθενή αποφασίστηκε η επανάληψη της ενδοδοντικής θεραπείας (απονεύρωσης). Ακολούθως έγινε τοποθέτηση του ελαστικού απομονωτήρα, η διάνοιξη του δοντιού και η αφαίρεση του παλιού εμφρακτικού υλικού από τις ρίζες.Επιπρόσθετα εντοπίστηκε και παρασκευάστηκε και 4ος ριζικός σωλήνας, ο οποίος δεν είχε επεξεργστεί στην πρώτη ενδοδοντική θεραπεία ( απονεύρωση ) του ασθενούς.
Διαπιστώθηκε η ενσβεστίωση 2 ριζικών σωλήνων του δοντιού (ριζών), κάτι που δεν επέτρεψε την επεξεργασία του δοντιού σε όλο το μήκος αυτών των ριζών. Παρολ΄ αυτά μετά τη δεύτερη συνεδρία ο ασθενής ανέφερε την ανακούφιση και την εξάλειψη των συμπτωμάτων, που τον ταλαιπωρούσαν τα τελευταία χρόνια.
Εφόσον το δόντι ήταν ασυμπτωματικό και ο ασθενής δεν αισθανόταν πλέον πόνο ολοκληρώθηκε η διαδικασία της απονεύρωσης με τη χρήση των μηχανοκίνητων εργαλείων και την τελική έμφραξη των ριζών του δοντιού με νέο εμφρακτικό υλικό.

ΠΡΙΝ

ΜΕΤΑ
Περιστατικό – Επανάληψη απονεύρωσης και προσθετικής
Η ασθενής παρουσιάστηκε στο ιατρείο με την επιθυμία να ξανακολληθούν οι στεφάνες της στους δυο κάτω αριστερούς προγομφίους, γιατί τον τελευταίο καιρό της αισθανόταν “λίγο χαλαρές”.
Η κλινική εξέταση των δοντιών έδειξε κάτι πιο πολύπλοκο απ΄ αυτό που περιέγραφε η ασθενής. Οι στεφάνες ήταν πράγματι χαλαρές και δεν προσάρμοζαν πάνω στα δόντια, γιατί τα δόντια κάτω από τις στεφάνες είχαν επανατερηδονιστεί.
Η ακτινογραφική εξέταση αποκάλυψε ότι και τα δύο δόντια είχαν απονευρωθεί στο παρελθόν, έφεραν το καθένα στο εσωτερικό χυτό μεταλλικό άξονα και στο ακρορρίζιο διαπιστώθηκε μια περιακρορριζική αλλοίωση. Η αλλοίωση αυτή μαρτυρά τη φλεγμονή του δοντιού στο άκρο της ρίζας.
Μετά από συνεννόηση με την ασθενή αποφασίστηκε το παρακάτω σχέδιο θεραπείας:
1. Αφαίρεση των παλιών στεφανών (θηκών δοντιού)
2. Αφαίρεση του χυτού μεταλλικού άξονα από το εσωτερικό του ριζικού σωλήνα
3. Επανάληψη της απονεύρωσης
Αφού ολοκληρώθηκαν οι παραπάνω εργασίες πραγματοποιήθηκε αποκατάσταση των δοντιών με άξονες υαλονημάτων και κατασκεύη καινούριων στεφανών. Οπώς φαίνεται και στην τελική ακτινογραφία 6 μήνες μετά την διεκπεραίωση του σχεδίου θεραπείας η φλεγμονή στο ακρορρίζιο του δοντιού είχε ήδη υποχωρήσει.

ΠΡΙΝ

Έλεγχος αφαίρεσης άξονα και παλιάς απονεύρωσης

Τελική ακτινογραφία

