Διόρθωση σπασμένης θήκης στο ιατρείο
Ο γναθοχειρουργός κατά τη διάρκεια εξαγωγής έσπασε κομμάτι της ολοκεραμικής θήκης που είχε συγκολληθεί πρόσφατα στο δόντι της ασθενούς. Η ασθενής εύλογα δεν επιθυμούσε την κατασκευή νέας θήκης, επομένως αποφασίστηκε η επιδιόρθωσή της με ειδικό υλικό. Η αποκατάσταση έγινε άμεσα σε μία συνεδρία στο ιατρείο. Η ασθενής είναι ικανοποιημένη με το λειτουργικό και αισθητικό αποτέλεσμα της διόρθωσης.

ΠΡΙΝ

ΠΡΙΝ
Διατήρηση νεογιλού δοντιού σε ενήλικα
Η ασθενής επισκέφτηκε το ιατρείο γιατί είχε φοβερό πόνο στη δεξιά πλευρά της κάτω γνάθου. Μετά την κλινική και ακτινογραφική εξέταση διαπιστώθηκε η παρουσία ενός νεογιλού ακόμη δοντιού στο στόμα της. Δυστυχώς το νεογιλό δόντι είχε σπάσει στα δύο. Σα λύση θεραπείας δόθηκε η διχοτόμηση του νεογιλού δοντιού και στη συνέχεια η ανασύσταση του με σύνθετη ρητίνη. Κατά τη διαδικασία της διχοτόμησης χορηγήθηκε στην ασθενή τοπική αναισθησία και στη συνέχεια οι ρίζες του δοντιού χωρίστηκαν και αφαιρέθηκε εκείνη η ρίζα που είχε σπάσει. Η ασθενής δεν αισθάνθηκε καθόλου πόνο. Σε επόμενο ραντεβού ανασυστάθηκε το δόντι. Η συγκεκριμένη θεραπεία ήταν μια λύση ανάγκης, καθώς η ασθενής δεν ήθελε να τοποθετήσει εμφύτευμα στο στόμα της (η οποία αποτελούσε την εναλλακτική θεραπεία).
Σίγουρα με τις παρούσες συνθήκες δεν μπορούσε να αποδοθεί σημείο επαφής με το διπλανό δόντι, καθώς η απόσταση ήταν αρκετά μεγάλη.
Η ασθενής είναι χαρούμενη που απέφυγε τη διαδικασία του εμφυτεύματος και μέσα σε μία συνεδρία της δόθηκε λύση στο πρόβλημά της.

Αρχική εικόνα πριν τη διχοτόμηση του δοντιού

Τελική εικόνα μετά την ανασύσταση του δοντιού

Τελική εικόνα μετά την ανασύσταση του δοντιού
Σπασμένο δόντι
Ο ασθενής έσπασε το δόντι του κατά τη διάρκεια του γεύματος του. Το δόντι ήταν απονευρωμένο και δυστυχώς ο ασθενής καθυστερούσε την κάλυψη και προστασία του δοντιού με θήκη / στεφάνη δοντιού. Αυτό είχε ως αποτέλεσμα το δόντι μετά από κάποιο χρονικό διάστημα να σπάσει και να πρέπει να εξαχθεί από το στόμα το ασθενή. Αν το δόντι είχε προστατευτεί με θήκη, το δόντι θα μπορούσε να είχε σωθεί και ο ασθενής δε θα έχανε το δόντι του.
Τα απονευρωμένα δόντια είναι επιρρεπή στα κατάγματα και γι΄ αυτό το λόγο, είναι σημαντικό να προστατεύονται με θήκη δοντιού, ώστε να μπορούν να διατηρούνται άφοβα μέσα στο στόμα. Αυτό οφείλεται

Δόντια με στροφή
Πολλές φορές στο στόμα ενός ασθενή παρουσιάζονται δόντια με περίεργη, σπάνια θέση όπως είναι τα δόντια με στροφή, με έκτοπη θέση κ.α. Τα δόντια αυτά είναι καλό εγκαίρως να εξετάζονται από έναν ορθοδοντικό, ώστε να κρίνεται αν είναι αναγκαία η ορθοδοντική θεραπεία των δοντιών με σκοπό τη διόρθωση της θέσης τους μέσα στο στόμα του ασθενή. Δόντια με ανωμαλίες στο σχήμα, μέγεθος ή θέση είναι πιθανόν να προκαλέσουν προβλήματα στη σύγκλειση του ασθενή, οπότε κρίνεται συνήθως απαραίτητο να διορθώνονται εγκαίρως διότι στο μέλλον ο ασθενής μπορεί να υποφέρει από μυοσκελετικά προβλήματα.

Μαύρη γλώσσα
Σε κάποιες περιπτώσεις είναι δυνατόν η γλώσσα του ασθενή να χρωματιστεί μαύρη. Σίγουρα ο ασθενής τρομάζει και θορυβείται. Είναι όμως συνετό να απευθυνθεί άμεσα στον οδοντίατρο ή στο στοματολόγο για την έγκυρη διάγνωση και θεραπεία. Στο παρακάτω περιστατικό η ασθενής χρησιμοποιούσε για συγκεκριμένο χρονικό διάστημα στοματικό διάλυμα χλωρεξιδίνης για την αντιμετώπιση ενός προβλήματος που παρουσίαζαν τα ούλα της. Σταδιακά παρατήρησε το χρωματισμό της γλώσσας της, ο οποίος έγινε ιδιαίτερα έντονος μετά από δύο εβδομάδες. Αμέσως μετά τη διακοπή χρήσης χλωρεξιδίνης η γλώσσα της επανήλθε στο φυσιολογικό ροζ χρώμα.

Εξαγωγή φρονιμίτη με έντονη κάμψη ρίζας
Ο ασθενής προσήλθε στο ιατρείο με σκοπό την εξαγωγή του κάτω δεξιού φρονιμίτη, ο οποίος τον πονάει πολύ τις τελευταίες μέρες. Η λύση θεραπείας ήταν η εξαγωγή του δοντιού, η οποία πραγματοποιήθηκε την ίδια μέρα μετά από τη χορήγηση κατάλληλης ποσότητας αναισθητικού. Την επόμενη μέρα ο ασθενής επέστρεψε φυσιολογικά στις καθημερινές υποχρέωσες του χωρίς να πρηστεί ή να πονά. Η εξαγωγή πραγματοποιήθηκε χωρίς καμία επιπλοκή όπως, σπάσιμο ρίζας κτλ.

ΠΡΙΝ

ΜΕΤΑ
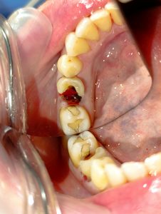
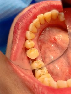
Ερεθισμός του βλεννογόνου κατά τη διάρκεια απονεύρωσης
Σε πολλές περιπτώσεις είναι πιθανόν κατά τη διάρκεια της απονεύρωσης να ερεθιστεί ο βλεννογόνος της γειτονικής περιοχής του δοντιού που θεραπεύεται. Ο ερεθισμός αυτός έχει την κλινική εικόνα που παρουσιάζεται στην παρακάτω φωτογραφία. Ο ερεθισμός αυτός δεν είναι καθόλου ανησυχητικός και προκύπτει όταν δεν χρησιμοποιείται ο κατάλληλος προστατευτικός εξοπλισμός, δηλαδή ο απομονωτήρας. Με το πέρσμα 1- 2 εβδομάδων ο βλεννογόνος ηρεμεί και επανέρχεται στην αρχική φυσιολογική του κατάσταση.

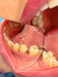
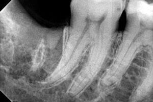
Κάταγμα απονευρωμένου δοντιού
Η ασθενής είχε ένα δόντι στο οποίο είχε ξεκινήσει η διαδικασία απονεύρωσης, αλλά καθυστέρησε να ολοκληρωθεί εγκαίρως. Τα ενδοδοντικά θεραπευμένα δόντια είναι ευαίσθητα και σπάζουν πολύ πιο εύκολα συγκριτικά με ένα ζωντανό, μη απονευρωμένο δόντι. Για το λόγο αυτό είναι σημαντικό η απονεύρωση ενός δοντιού να τελειώνει σε 2 – 3 ραντεβού σε διάστημα 2 εβδομάδων, εφόσον όλα βαίνουν καλώς και το δόντι δεν παρουσιάζει κάποιο ιδιαίτερο πρόβλημα.


