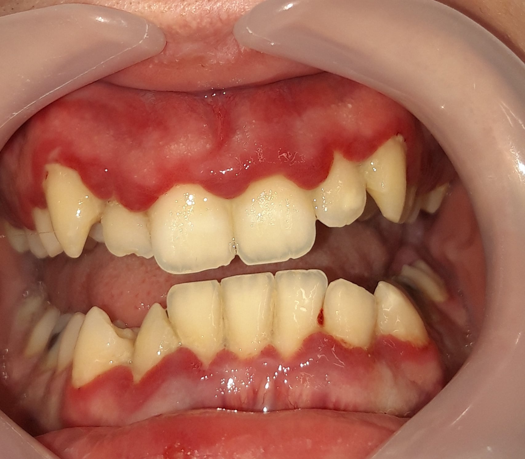
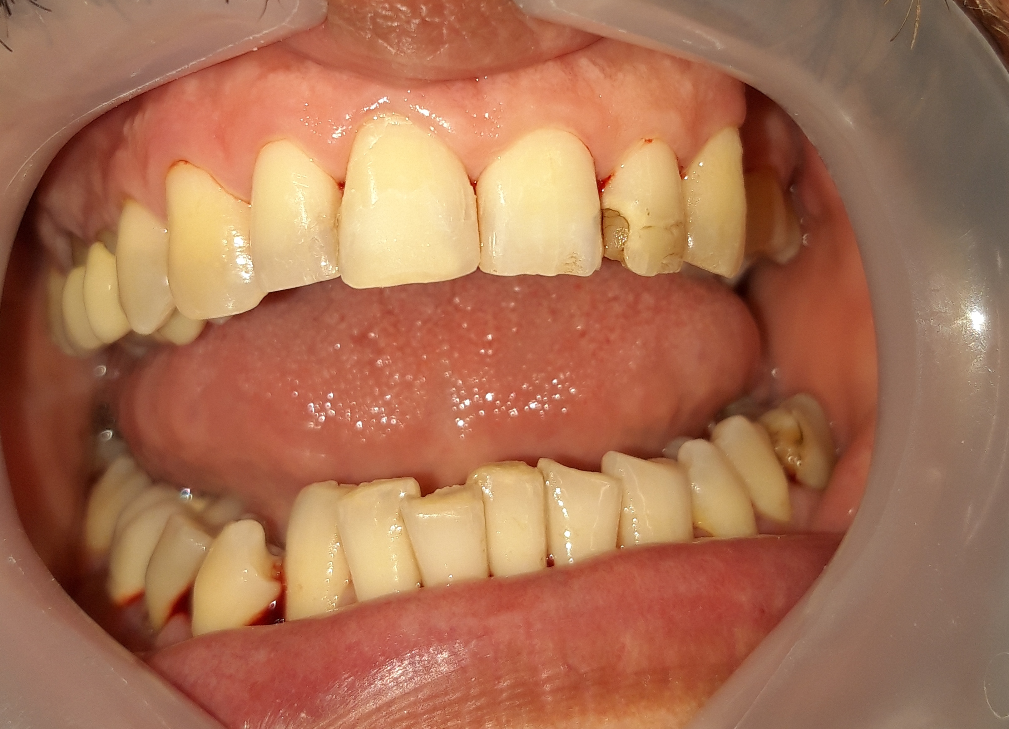
Περιστατικό – Επώδυνη Ουλίτιδα
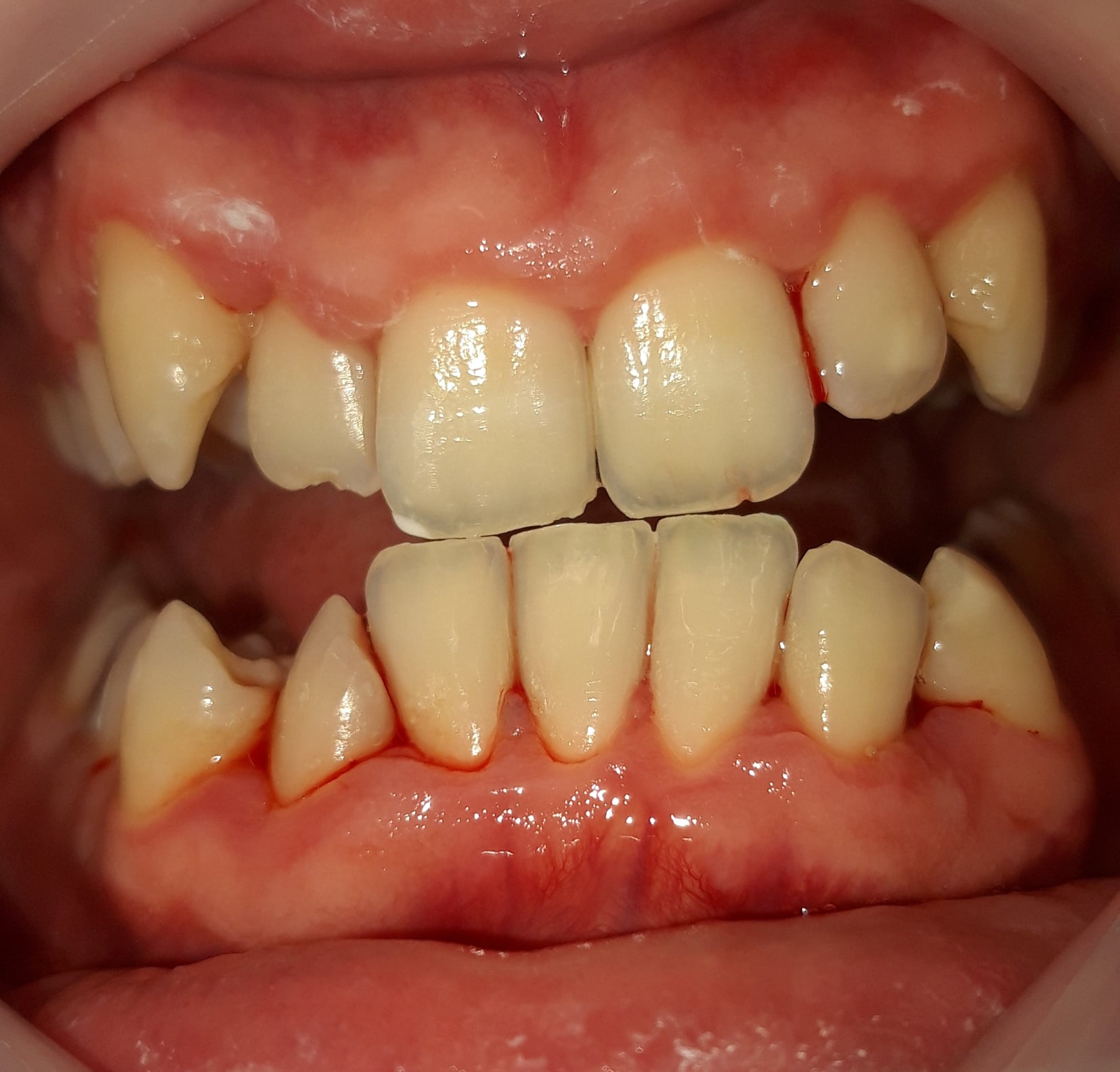
Ο ασθενής προσήλθε στο ιατρείο με έντονο πόνο στα ούλα του. Πονούσε τόσο πολύ που δεν μπορούσε να πιεί ούτε νερό. Αυτό ήταν αποτέλεσμα της μακρόχρονης αμέλειας του να πραγματοποιεί τον ετήσιο τυπικό καθαρισμό δοντιών. Το αποτέλεσμα ήταν αυτό που αποτυπώνεται στις φωτογραφίες. Κόκκινα οιδηματώδη ούλα με εξαφάνιση των φυσιολογικών μεσοδόντιων θηλών. Δεδομένου οτι ο πόνος του ήταν αβάσταχτος η θεραπεία ξεκίνησε με τη χορήγηση τοπικής αναισθησίας. Τα ούλα καθαρίστηκαν πολύ απαλά με τη συσκευή υπερήχων. Μετά το πρώτο ραντεβού ο ασθενής ανακουφίστηκε αρκετά όχι όμως ικανοποιητικά. Αυτό ήταν φυσιολογικό αφού έπρεπε να αντιμετωπιστεί μία μεγάλη φλεγμονή των ούλων. Σε δεύτερο ραντεβού επαναλήφθηκε η θεραπεία της ουλίτιδας με συσκευή υπερήχων. Στο τρίτο ραντεβού ο ασθενής ΄δεν πονούσε πλέον καθόλου και τα ούλα του είχαν την κλινική εικόνα που δείχνει η φωτογραφία.
Χρειάστηκε ένα ένας μήνας ώστε τα ούλα του ασθενή να επανέλθουν σε φυσιολογικά επίπεδα. Ο ασθενής κατάλαβε πόσο σημαντική είναι η τακτική επίσκεψη στον οδοντίατρο για τον ετήσιο τυπικό έλεγχο. Αξίζει να σημειωθεί οτι και ο ίδιος ο ασθενής κατέβαλε μεγάλη προσπάθεια εφόσον ακολούθησε επακριβώς τους κανόνες στοματικής υγιεινής που του συστήθηκαν. Άλλαξε ριζικά τον τρόπο που περιποιείται το στόμα του και από τότε δεν έχει κανένα πρόβλημα με τα δόντια και τα ούλα του.

ΠΡΙΝ

ΜΕΤΑ
Περιστατικό – Επουλίδες κύησης
Η ασθενής ήταν έγκυος και μετά τον 5ο μήνα εμφάνισε στην κάτω γνάθο και πιο συγκεκριμένα στους κάτω κεντρικούς τομείς μικρά διογκωμένα κόκκινα σπυράκια, όπως χαρακτηριστικά ανέφερε. Τα σπυράκια αυτά δεν είναι τίποτα άλλο παρά επουλίδες κύησης ( Για περισσότερα Δες Ουλίτιδα εγκυμοσύνης ). Οι επουλίδες κύησης δεν είναι ανησυχητικές καθώς μετά την εγκυμοσύνη υποχωρούν αυτόματα. Συνήθως εμφανίζονται λόγω παρατεταμένης στοματικής υγιεινής της εγκύου. Μετά τον καθαρισμό των ούλων και τη θεραπεία ουλίτιδας τα ούλα της εγκυμονούσας ασθενούς είχαν ήδη επανέλθει σε φυσιολογικά επίπεδα.
Η καθημερινή στοματική υγιεινή κατά τη διάρκεια τόσο της εγκυμοσύνης όσο και του θηλασμού είναι πολύ σημαντική ώστε η μέλλουσα μαμά να διατηρεί ένα άριστο και υγιές χαμόγελο.

ΠΡΙΝ

ΜΕΤΑ
Περιστατικό – Θεραπεία ουλίτιδας
Η ασθενής προσήλθε στο ιατρείο με έντονο πόνο στα ούλα της. Μετά την κλινική εξέταση διαπιστώθηκε η έντονη φλεγμονή των ούλων της. Πραγματοποιήθηκε, λοιπόν, ειδική θεραπεία των ούλων στο ιατρείο και στη συνέχεια δόθηκαν στην ασθενή οι κατάλληλες συστάσεις για τη θεραπεία που θα έπρεπε να ακολουθήσει στο σπίτι για συγκεκριμένο χρονικό διάστημα. Το αποτέλεσμα είναι εντυπωσιακό και μάλιστα μέσα σε μία εβδομάδα.

ΠΡΙΝ

ΜΕΤΑ
Περιστατικό – Περιοδοντικό απόστημα
Η ασθενής υποφέρει από χρόνια περιοδοντίτιδα, την οποία συντηρεί με περιοδοντικό καθαρισμό κάθε 6 μήνες. Τη συγκεκριμένη περίοδο είχε καθυστερήσει να καθαρίσει τα δόντια της, γι αυτό και εκδηλώθηκε περιοδοντικό απόστημα στην αριστερή πλευρά της κάτω γνάθου. Μετά τη χορήγηση τοπικής αναισθησίας έγινε σχάση του αποστήματος και η ασθενής ξεκίνησε παράλληλα συγκεκριμένη θεραπεία στο σπίτι. Μετά από μία εβδομάδα η ασθενής είναι ασυμπτωματική και δε νοιώθει κανένα πόνο πλέον.

Περιστατικό – Ουλίτιδα
Ο ασθενής είχε καιρό να επισκεφτεί τον οδοντίατρο για καθαρισμό δοντιών. Το αποτέλεσμα ήταν να υποφέρει από ουλίτιδα και να πονάει αρκετά. Πραγματοποιήθηκε θεραπεία ουλίτιδας με συσκευή υπερήχων και ο ασθενής αισθανόταν τα ούλα του πολύ ανάλαφρα και καθαρά.

ΠΡΙΝ

ΜΕΤΑ

ΠΡΙΝ

ΜΕΤΑ
Περιστατικό – Ουλίτιδα και χρωστικές
Ο ασθενής ήρθε στο ιατρείο με την τυπική εικόνα ουλίτιδας. Επιπλέον είχε στα δόντια του πολλές και έντονες χρωστικές λόγω καπνίσματος.
Μετά τη θεραπεία της ουλίτιδας με τη συσκευή υπερήχων, απομακρύνθηκαν οι χρωστικές των δοντιών με ειδικές πάστες στίλβωσης και συσκευή σοδοβολής.
Ο ασθενής έχει πλέον υγιή ούλα και αστραφτερά καθαρά δόντια.

ΠΡΙΝ

ΜΕΤΑ

ΠΡΙΝ

ΜΕΤΑ
Περιστατικό – Ουλίτιδα
Ο ασθενής επισκέφτηκε το ιατρείο για τον τυπικό ετήσιο έλεγχο και καθαρισμό. Ήταν σίγουρος οτι στο στόμα του ήταν όλα πολύ καλά. Η κλινική εξέταση αποκάλυψε την έντονη ουλίτιδα. Στη διάρκεια της θεραπείας ο ασθενής τελικά αποκάλυψε οτι τους τελευταίους μήνες τα ούλα του πράγματι μάτωναν έντονα κατά το βούρτσισμα, ενώ κατά διαστήματα παρατηρούσε μία δυσοσμία. Η κόκκινη γραμμή που περιγράφει την υπερώια πλευρά (από μέσα) των δοντιών, όπως φαίνεται στις αρχικές φωτογραφίες είναι χαρακτηριστική κλινική εικόνα της ουλίτιδας.
Αφού ολοκληρώθηκε η θεραπεία της ουλίτιδας, δόθηκαν στον ασθενή συγκεκριμένες οδηγίες στοματικής υγιεινής που θα έπρεπε να ακολουθεί για διάστημα 15 ημερών οπότε μετά πραγματοποιήθηκε η δεύτερη φάση της θεραπείας. Μετά την ολοκλήρωση της θεραπείας σε διάστημα 15 – 20 ημερών τα ούλα του ασθενή επανήλθαν σε φυσιολογικά επίπεδα και παρουσίασαν την εικόνα που δείχνουν οι φωτογραφίες. Οι εικόνες δείχνουν τη σταδιακή βελτίωση της υγείας των ούλων μετά από πολύ καλή στοματική υγιεινή που ακολουθούσε τακτικά ο ασθενής.
Τα ούλα του ασθενή δεν είναι πλέον οιδηματώδη και ερυθρά, ενώ είχαν σταματήσει να ματώνουν.

Αρχική εικόνα

Αρχική εικόνα

Αρχική εικόνα

Αρχική εικόνα

ΜΕΤΑ από 1 εβδομάδα

ΜΕΤΑ από 1 εβδομάδα

ΜΕΤΑ από 2 εβδομάδες

ΜΕΤΑ από 2 εβδομάδες

ΜΕΤΑ από 2 εβδομάδες

ΜΕΤΑ από 2 εβδομάδες
Περιστατικό – Ουλίτιδα
Η ασθενής επισκέφτηκε το ιατρείο με σκοπό την ολοκληρωμένη αποκατάσταση του στόματος της. Εκτός από τις υπόλοιπες οδοντιατρικές εργασίες που πραγματοποιήθηκαν στο στόμα της προχωρήσαμε και στη θεραπεία της ουλίτιδας που διαγνώσθηκε στο πρώτο κιόλας ραντεβού του γενικού ελέγχου και καταγραφής των οδοντιατρικών αναγκών του στόματός της. Οι φωτογραφίες απεικονίζουν την κλινική εικόνα των ούλων στην αρχική και τελική τους κατάσταση μετά το πέρας δύο εβδομάδων από την εκτέλεση της θεραπείας ουλίτιδας.

ΠΡΙΝ

ΜΕΤΑ

ΠΡΙΝ

ΜΕΤΑ
Περιστατικό – Ουλίτιδα
Ο ασθενής δεν είχε πραγματοποιήσει καθαρισμό δοντιών τον τελευταίο 1,5 χρόνο. Η κατάσταση των ούλων του ήταν πολύ άσχημη. Χαρακτηριστική είναι η εικόνα που παρουσίασε ο πρώτος γομφίος στην αριστερή πλευρά της κάτω γνάθου. Η πέτρα είχε καλύψει το 1/3 της παρειακής επιφάνειας του δοντιού. Η έντονη εναπόθεση της τρυγίας στο σημείο εκείνο του δοντιού πίεζε τα ούλα με αποτέλεσμα το ούλο να υποχωρήσει (να κατέβει). Ο ασθενής προκάλεσε υφίζηση ούλου στο στόμα του από τη ελλιπή στοματική υγιεινή και την αποφυγή του επαγγελματικού οδοντιατρικού καθαρισμού. Η υφίζηση του ούλου δεν μπορεί να επανέλθει. Το ούλο δηλαδή δεν μπορεί να επανέλθει στη φυσιολογική του κατάσταση.
Μετά την ολοκλήρωση της θεραπείας της ουλίτιδας φαίνεται η έντονη υποχώρηση του ούλου σε τέτοιο βαθμό ώστε να είναι εμφανής κλινικά ο διχασμός των ριζών.

ΠΡΙΝ

ΜΕΤΑ
Περιστατικό – Ουλίτιδα
Η ασθενής επισκέφτηκε το ιατρείο με σκοπό την ανακούφιση από τον πόνο. Όπως χαρακτηριστικά αναφέρει, τα ούλα της ματώνουν έντονα κατά τη διάρκεια του βουρτσίσματος, ενώ παράλληλα αισθάνεται δυσφορία σε όλα της τα δόντια. Η κλινική εξέταση, όπως δείχνουν και οι φωτογραφίες, αποκάλυψε την έντονη ουλίτιδα η οποία οφειλόταν στις εκτεταμένες εναποθέσεις πέτρας και πλάκας πάνω στα ούλα. Η ασθενής δεν είχε πραγματοποιήσει καθαρισμό δοντιών τον τελευταίο 1,5 χρόνο. Δεδομένου οτι η ασθενής είχε έντονη φλεγμονή στα ούλα, η θεραπεία πραγματοποιήθηκε μετά από τη χορήγηση τοπικής αναισθησίας. Στις περιπτώσεις που η θεραπεία της ουλίτιδας πραγματοποιείται με τοπική αναισθησία η διαδικασία ολοκληρώνεται σε 2 συνεδρίες, ώστε ο ασθενής να μην αποχωρήσει από το ιατρείο έχοντας όλο του το στόμα μουδιασμένο.
Η ασθενής μετά την ολοκλήρωση της θεραπείας αισθάνεται το στόμα της “σαν καινούριο” και τα ούλα της είναι πλέον ανακουφισμένα.

ΠΡΙΝ

ΜΕΤΑ

ΠΡΙΝ

ΜΕΤΑ
Περιστατικό – Ουλίτιδα
Η ασθενής επισκέφτηκε το ιατρείο γιατί όπως αναφέρει πονάνε τα ούλα της και ματώνουν έντονα τόσο κατά το βούρτσισμα δοντιών όσο και κατά τη μάσηση σκληρών τροφών. Η ασθενής είχε ουλίτιδα και για τη θεραπεία της πραγματοποιήθηκε καθαρισμός δοντιών που επαναλήφθηκε σε διάστημα 15 ημερών για την ολοκληρωμένη αντιμετώπιση της ουλίτιδας.
Τα ούλα της ασθενούς παρουσιάζουν βελτίωση μετά από 15 μέρες, όμως επειδή δεν ήταν πολύ τακτική στις οδηγίες στοματικής υγιεινής που της δόθηκαν θα έπρεπε να προσπαθήσει περαιτέρω, καθώς η υγεία των ούλων της επιδέχεται βελτίωση.

ΠΡΙΝ

ΜΕΤΑ

ΠΡΙΝ

ΜΕΤΑ
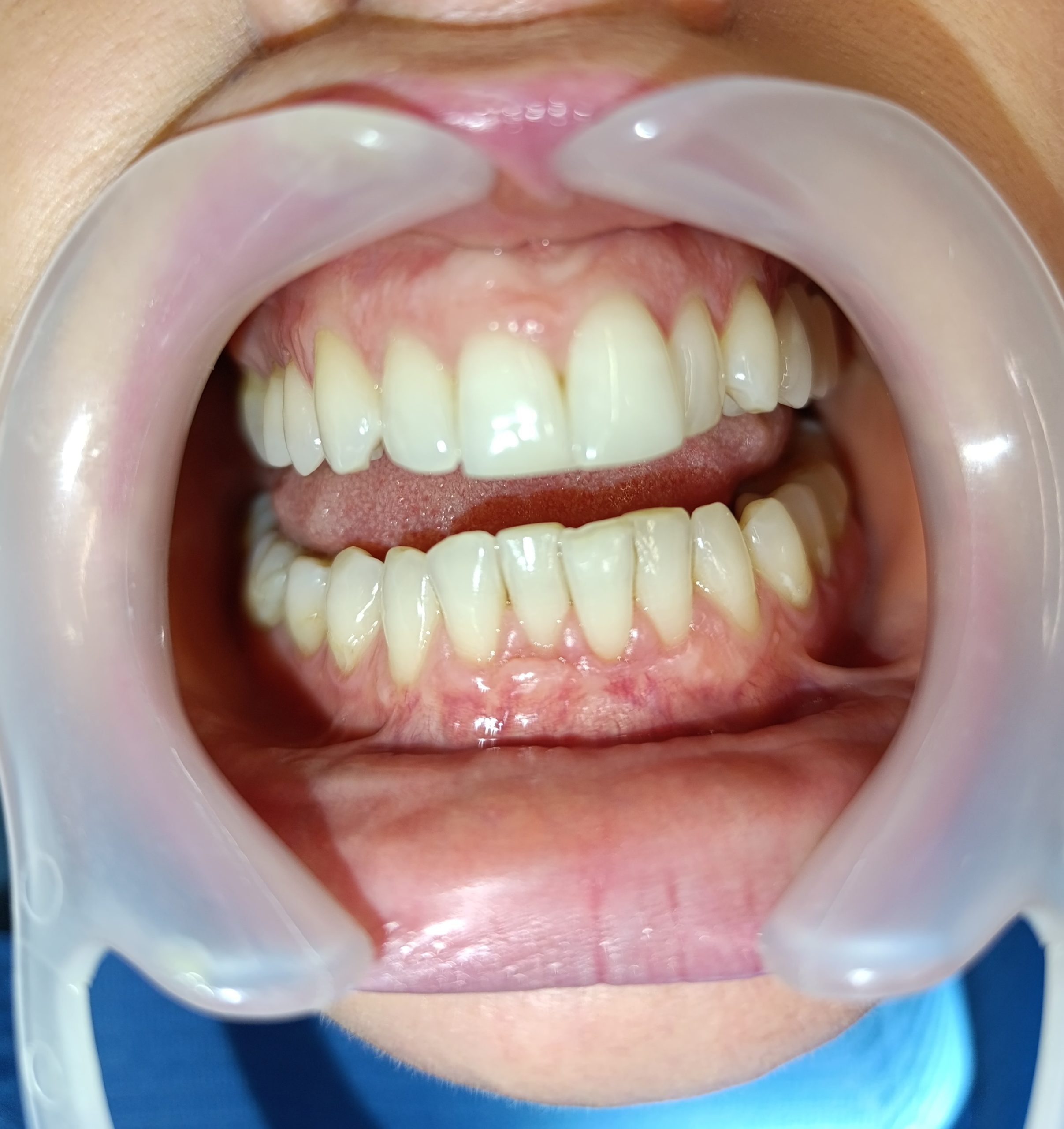
Περιστατικό – Περιοδοντίτιδα
Ο ασθενής προσήλθε στο ιατρείο για την τυπική περιοδοντική θεραπεία που πραγματοποιεί κάθε εξάμηνο με σκοπό την αναχαίτιση της περιοδοντικής νόσου, που παρουσιάστηκε στο στόμα του πριν πολλά χρόνια. Μετά τη χορήγηση τοπικής αναισθησίας πραγματοποιήθηκε πρώτα η θεραπεία στο δεξιό ημιμόριο του στόματος του. Τις επόμενες μέρες η θεραπεία ολοκληρώθηκε με τον καθαρισμό του αριστερού ημιμορίου. Με την τακτική περιοδοντική θεραπεία ο ασθενής διατηρεί τα δόντια και τα ούλα του καθαρά και υγιή. Επιπρόσθετα τα τελευταία χρόνια δεν έχει χάσει κάποιο επιπλέον δόντι λόγω περιοδοντικής νόσου, όπως συνέβη πριν από 6-7 χρόνια περίπου.
Μεγάλη σημασία για την περιοδοντική νόσο έχει η συστηματική επανάληψη της θεραπείας κάθε 6 μήνες για τη διατήρηση ενός υγιούς στόματος.

ΠΡΙΝ

ΠΡΙΝ

ΠΡΙΝ

ΠΡΙΝ

ΜΕΤΑ

ΜΕΤΑ

ΜΕΤΑ

ΜΕΤΑ
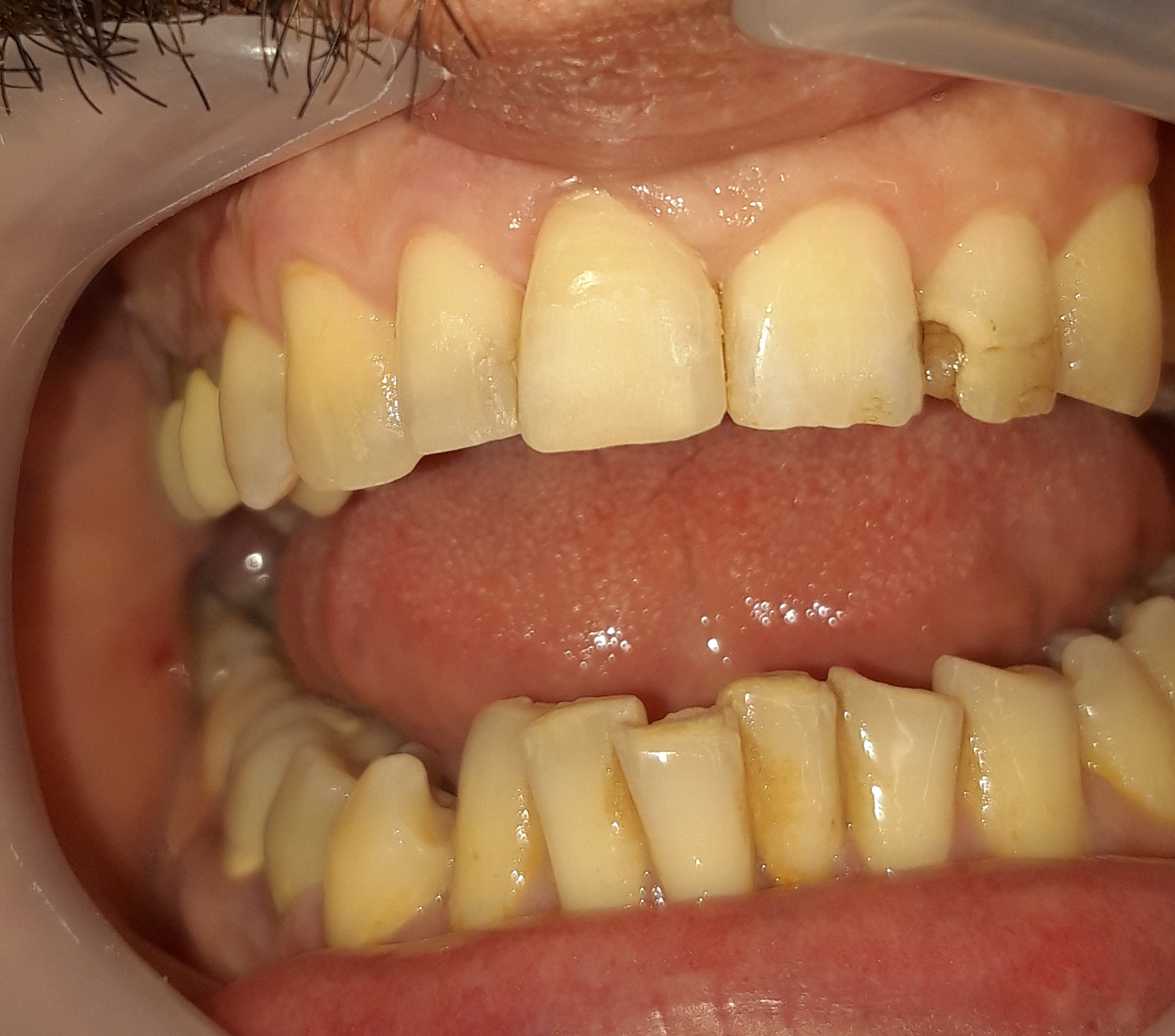
Περιστατικό – Περιοδοντίτιδα
Ο ασθενής είχε υποβληθεί σε χειρουργείο στόματος λόγω καρκίνου γλώσσας. Επιπρόσθετα η κλινική εξέταση ανέδειξε περιοδοντίτιδα. Πρωτεύων σκοπός ήταν η διατήρηση των δοντιών του ασθενή, γιατί σύμφωνα με την ομάδα των γναθοχειρουργών μία εξαγωγή δοντιών μπορεί να προκαλέσει τοπική οστεονέκρωση. Σύμφωνα με τα παραπάνω δεδομένα αποφασίστηκε η θεραπεία της περιοδοντίτιδας. Η συγκεκριμένη θεραπεία πραγματοποιήθηκε σε 2 συνεδρίες, κατά τις οποίες το στόμα του ασθενή θεραπεύτηκε κατά ημιμόριο υπό τοπική αναισθησία.
Το αποτέλεσμα της θεραπείας ήταν πολύ καλό και ο ασθενής αισθάνεται το στόμα του ανάλαφρο, όπως χαρακτηριστικά είπε.
Πολύ ευχάριστο είναι το γεγονός οτι στο ραντεβού του επανελέγχου 2 μήνες μετά από το πέρας της περιοδοντικής θεραπείας ο ασθενής διατηρεί πολύ καθαρά τα ούλα του, εφόσον βουρτσίζει 2 φορές τη μέρα και χρησιμοποιεί συστηματικά τα μεσοδόντια βουρτσάκια για την απομάκρυνση των υπολειμμάτων τροφών ανάμεσα από τα δόντια.

ΠΡΙΝ

ΜΕΤΑ

ΜΕΤΑ

ΜΕΤΑ

Διατήρηση του αποτελέσματος 2 μήνες μετά από την περιοδοντική θεραπεία

Διατήρηση του αποτελέσματος 2 μήνες μετά από την περιοδοντική θεραπεία

Διατήρηση του αποτελέσματος 2 μήνες μετά από την περιοδοντική θεραπεία
Περιστατικό Ελκονεκρωτική ουλίτιδα
Ο συγκεκριμένος ασθενής επισκέφτηκε το ιατρείο, γιατί όπως αναφέρει πονούσε τόσο πολύ που δεν μπορούσε να μασήσει και μερικές στιγμές δυσκολευόταν ακόμη και να πιεί κρύο νερό.Η κλινική εξέταση αποκάλυψε αλλοιώσεις των ούλων στην πρόσθια κυρίως περιοχή της άνω γνάθου. Οι αλλοιώσεις αυτές όπως δείχνουν οι φωτογραφίες είχαν καφεκίτρινο χρώμα και κατά την ψηλάφησή τους ενοχλούσαν υπερβολικά τον ασθενή.
Η θεραπεία επιλογής ήταν ο καθαρισμός των ούλων, ένα συγκεκριμένο πρωτόκολλο στοματικής υγιεινής που έπρεπε να ακολουθήσει ο ασθενής στο σπίτι και η επανεξέταση του ασθενή μετά από συγκεκριμένο χρονικό διάστημα.
Στο ραντεβού του επανέλεγχου ο ασθενής δεν πονούσε πλέον και αισθανόταν πολύ καλύτερα. Παρόλα αυτά οι αλλοιώσεις δεν είχαν βελτιωθεί στο βαθμό που ήταν αναμενόμενο (όπως φαίνεται και στις φωτογραφίες), καθώς ο ασθενής δεν ακολούθησε ακριβώς τις οδηγίες που του δόθηκα.
Το ραντεβού επανεξέτασης ανανεώθηκε και ακολούθησε μία υπενθύμιση στον ασθενή για όλα όσα θα έπρεπε να κάνει σε αυτό το μεσοδιάστημα.

ΠΡΙΝ

ΠΡΙΝ

ΠΡΙΝ

ΜΕΤΑ

ΜΕΤΑ
Περιστατικό ουλίτιδα
Ο ασθενής παρουσιάστηκε στο ιατρείο με έντονο πόνο στα ούλα του. Αναφέρει οτι πονούσε τόσο πολύ που δεν μπορούσε να αγγίξει τα ούλα του ούτε για να τα βουρτσίσει. Η κλινική εξέταση αποκάλυψε οιδηματώδη ούλα με έντονο κόκκινο χρώμα, γεγονός που μαρτυρούσε οτι ο ασθενής υποφέρει από ουλίτιδα.
Η ουλίτιδα θεραπεύεται με καλό βαθύ καθαρισμό των ούλων, ο οποίος επαναλαμβάνεται μετά από συγκεκριμένο χρονικό διάστημα που θα υποδείξει ο οδοντίατρος. Στο μεσοδιάστημα αυτό ο ασθενής ακολουθεί συγκεκριμένο πρωτόκολλο στοματικής υγιεινής.
Στο συγκεκριμένο περιστατικό τα ούλα επανήλθαν στη φυσιολογική τους μορφή, εφόσον στο ραντεβού του επανέλεγχου τα ούλα είχαν ροδαλό χρώμα και στικτή όψη.
Ο ασθενής δεν είχε πλέον κανένα σύμπτωμα πόνου. Οι οδηγίες στοματικής υγιεινής θα πρέπει να εφαρμόζονται συστηματικά και καθημερινά, ώστε να μην ξαναπροκύψει στο μέλλον φλεγμονή των ούλων.

ΠΡΙΝ

ΜΕΤΑ
Περιστατικό περιοδοντίτιδα
Ο ασθενής επισκέφτηκε το ιατρείο με σκοπό τη θεραπεία της περιοδοντίτιδας των ούλων του. Η περιοδοντική θεραπεία πραγματοποιείται σε δύο συνεδρίες ανά ημιμόριο προσώπου μετά από χορήγηση τοπικής αναισθησίας ώστε ο ασθενής να μην πονάει κατά τη διάρκεια του βαθύ περιοδοντικού καθαρισμού.
Στις φωτογραφίες απεικονίζεται η έντονη διαφορά μεταξύ του καθαρού δεξιού ημιμορίου (κόκκινο βελάκι) και του αριστερού ημιμορίου (μπλε βελάκι) με τις έντονες εναποθέσεις πέτρας και πλάκας.
Ο ασθενής είναι ευχαριστημένος με το αποτέλεσμα της θεραπείας, καθώς όπως αναφέρει αισθάνεται το στόμα του ανάλαφρο και καθαρό. Σε γενικές γραμμές η περιοδοντική θεραπεία συστήνεται να πραγματοποιείται 2- 3 φορές το χρόνο ανάλογα με το βαθμό περιοδοντίτιδας του κάθε ασθενή.

ΠΡΙΝ

ΜΕΤΑ
Περιστατικό ουλίτιδα
Η ασθενής είχε πραγματοποιήσει ένα μεγάλο χειρουργείο στην κάτω γνάθο, γεγονός που δυσκόλευε την καθημερινή στοματική υγιεινή της. Το αποτέλεσμα ήταν με το πέρασμα του χρόνου τα ούλα της να φλεγμαίνουν και να έχουν έντονες εναποθέσεις πέτρας και πλάκας. Απαραίτητη θεραπεία για τα ούλα της ήταν ο καθαρισμός των ούλων και των δοντιών, ο οποίος θα επαναλαμβανόταν μετά από συγκεκριμένο χρονικό διάστημα.
Στο συγκεκριμένο περιστατικό η αποθεραπεία των ούλων ήταν εμφανής, καθώς η ασθενής ήταν πολύ τυπική σχετικά με τις συμβουλές στοματικής υγιεινής που της είχαν δοθεί. Σε μικρό χρονικό διάστημα τα ούλα ανάκτησαν το ροδαλό χρώμα τους και τη στικτή όψη τους.

ΠΡΙΝ

ΜΕΤΑ

ΠΡΙΝ

ΜΕΤΑ

