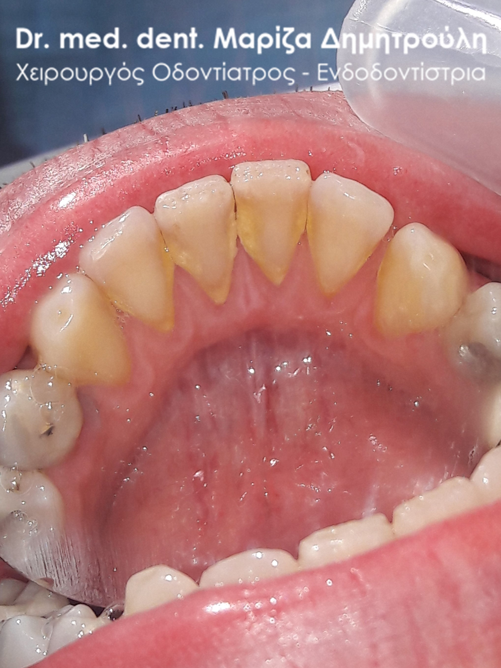
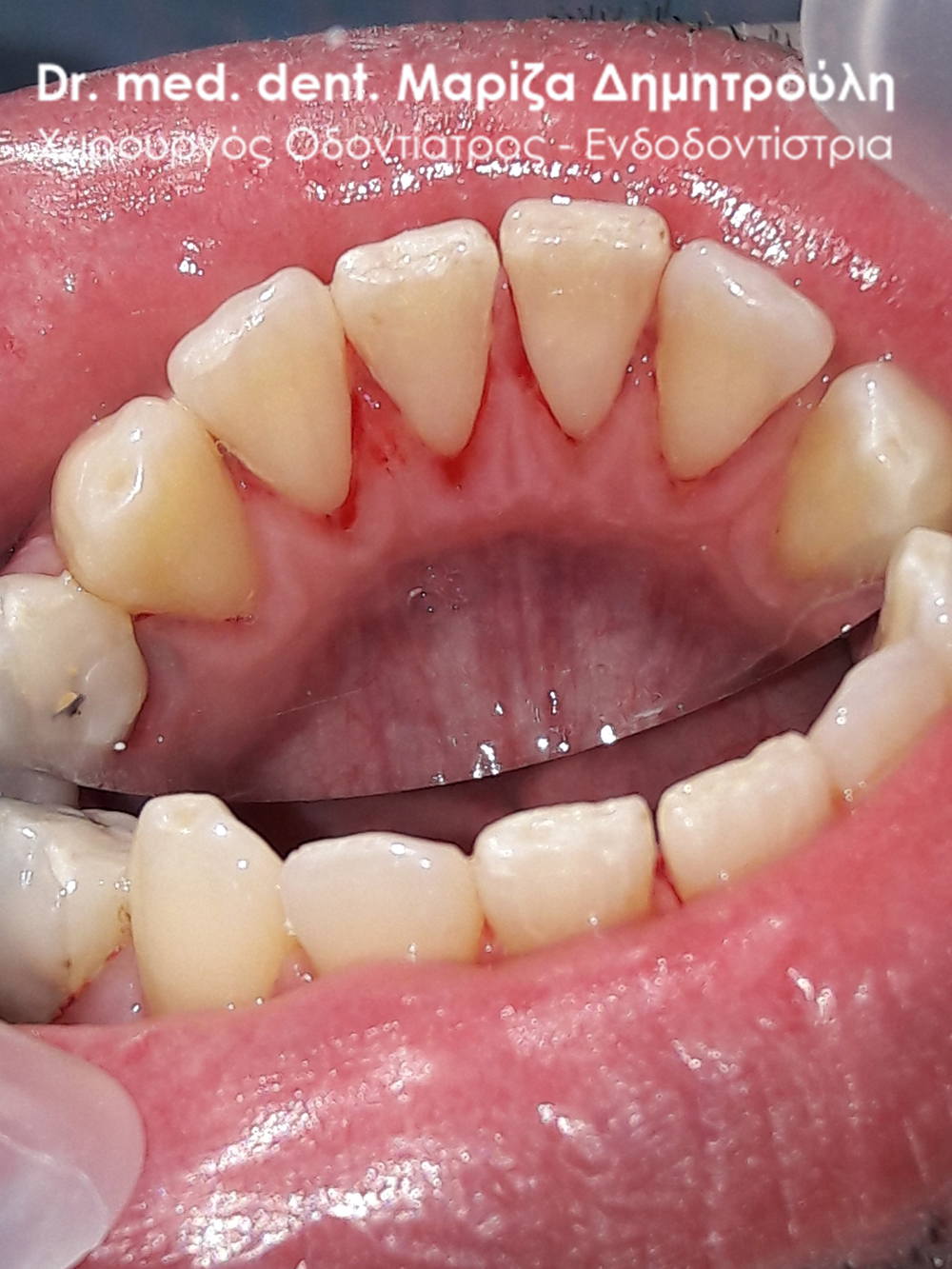
Περιστατικό Καθαρισμός δοντιών
Η ασθενής αναφέρει ότι έχει πολλή “πέτρα”. Η κλινική εξέταση αποκάλυψε οτι το στόμα της δεν είχε τόση πέτρα όσο χρωστικές, που λέγονται μαύρα στίγματα. Μετά από τη λήψη ιατρικού ιστορικού προέκυψε οτι η ασθενής είχε ξεκινήσει πριν 1 – 1,5 χρόνο ομοιοπαθητική θεραπεία. Η εμφάνιση των μαύρων στιγμάτων συνέπεσε χρονικά με την λήψη ομοιοπαθητικών σκευασμάτων. Σε καμία περίπτωση δεν μπορεί να τεκμηριωθεί επιστημονικά οτι η ομοιοπαθητική θεραπεία προκαλεί την εμφάνιση των μαύρων στιγμάτων, είναι καλό όμως να αναφερθεί στα πλαίσια παρουσίασης αυτού του περιστατικού.
Η αφαίρεση των μαύρων χρωστικών πραγματοποιήθηκε κυρίως με τη χρήση σοδοβολής και συμπληρωματικά χρησιμοποιήθηκε η συσκευή υπερήχων. Το αποτελέσμα ήταν εντυπωσιακό, όπως ισχυρίστηκε και η ασθενής, όταν είδε το καθαρό στόμα της.

ΠΡΙΝ

META

ΠΡΙΝ

META
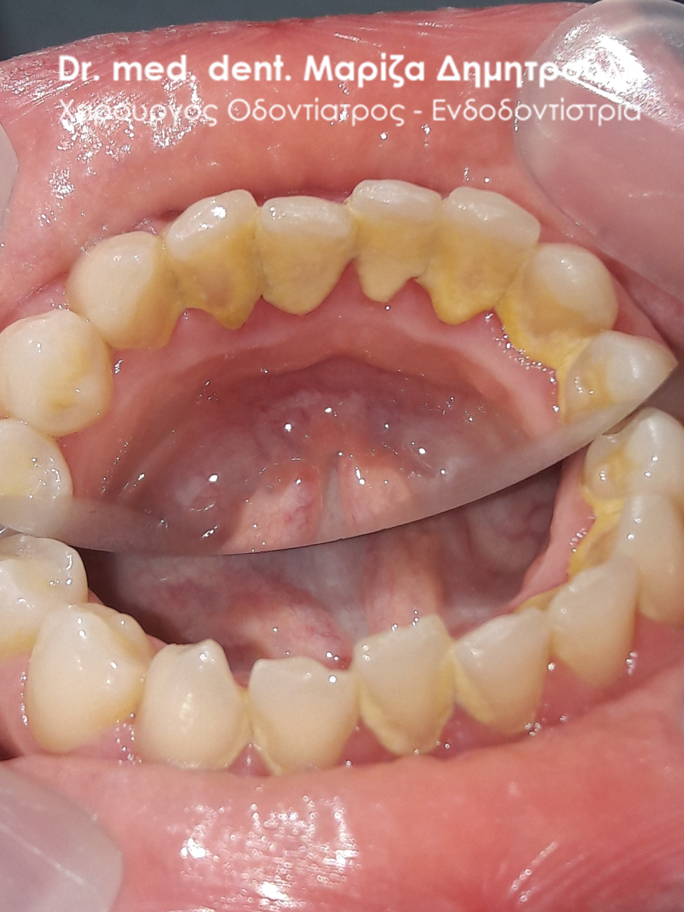
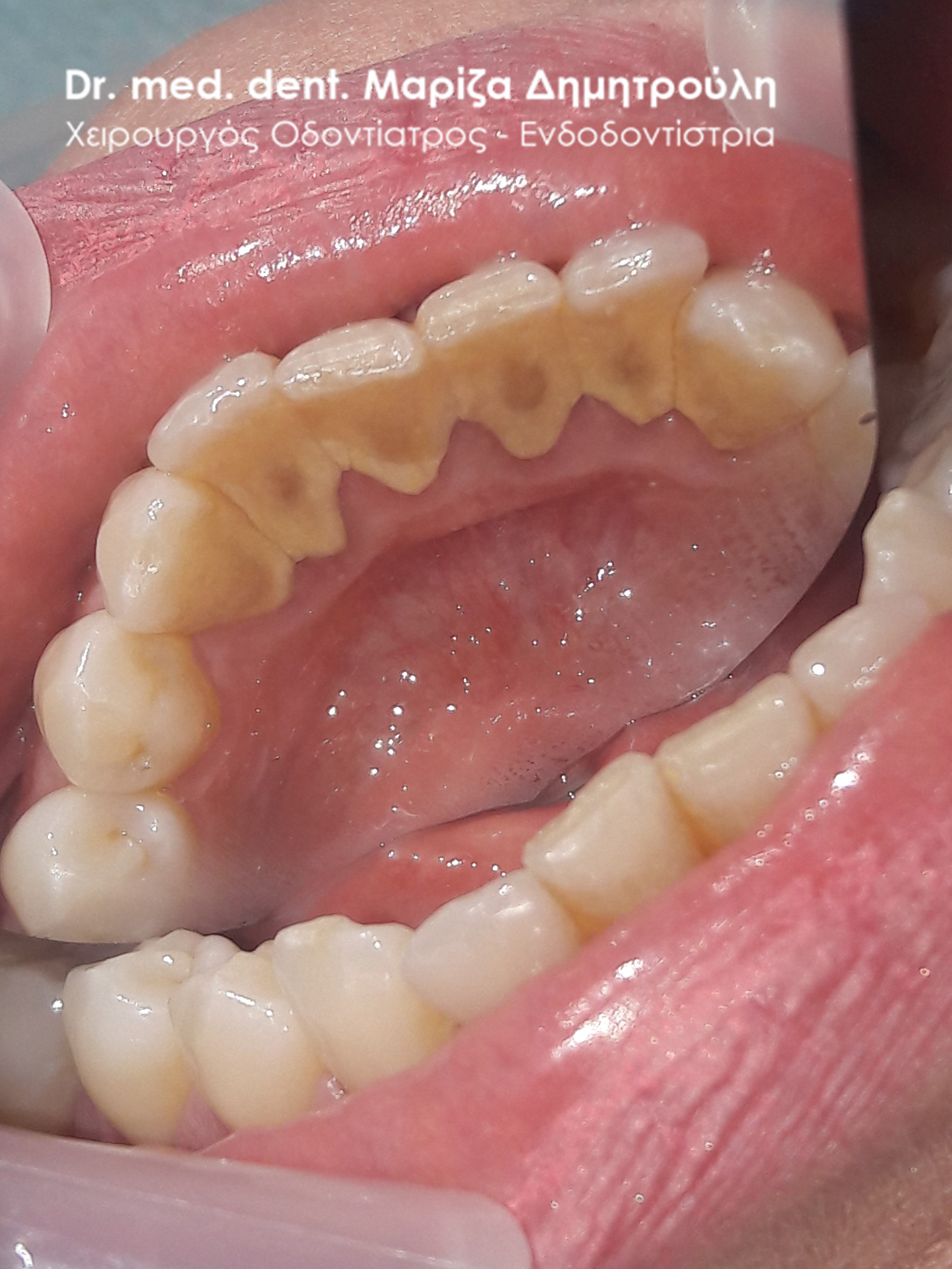
Περιστατικό Καθαρισμός δοντιών
Ο ασθενής είχε πολλές εναποθέσεις πέτρας και πλάκας καθώς και έντονες χρωστικές. Ο καθαρισμός των δοντιών πραγματοποιήθηκε με υπέρηχο ενώ η σοδοβολή χρησιμοποιήθηκε για την αφαίρεση των χρωστικών πάνω από τα δόντια.

ΠΡΙΝ

META

ΠΡΙΝ

META
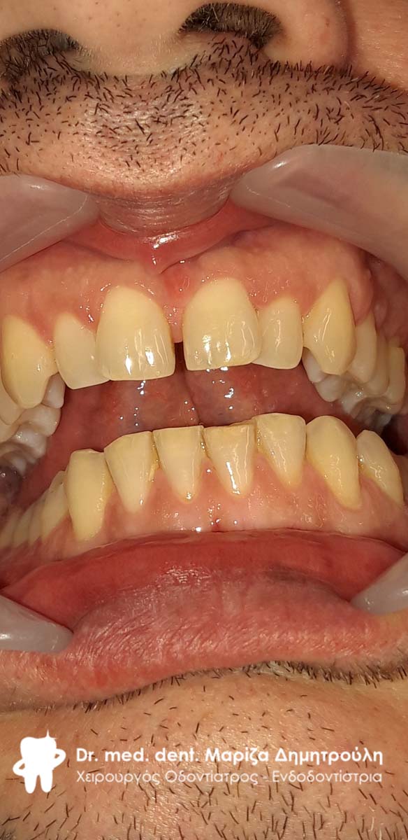
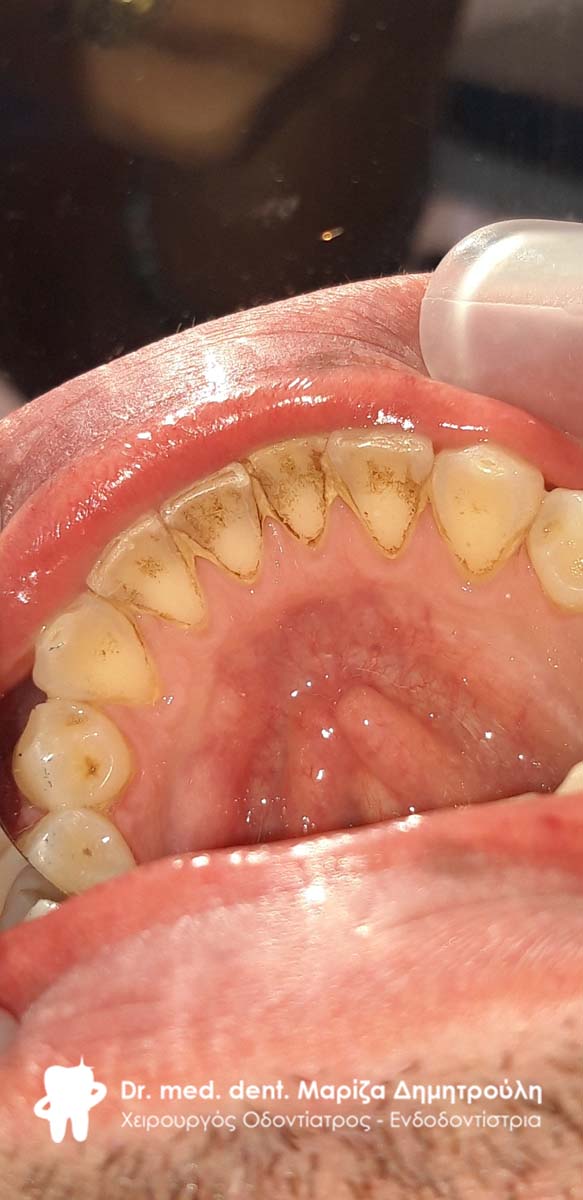
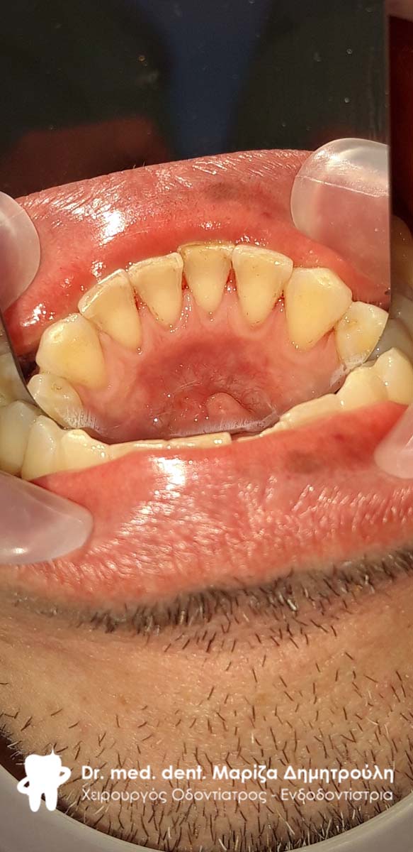
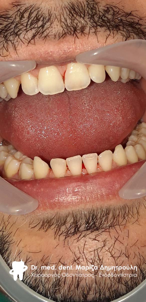
Περιστατικό Καθαρισμός δοντιών
Ο ασθενής ήταν καπνιστής και εκτός από την τρυγία είχε και έντονες χρωστικές στα δόντια. Ο καθαρισμός πραγματοποιήθηκε με τη συσκευή υπερήχων και επιπρόσθετα χρησιμοποιήθηκε η σοδοβολή για την αποτελεσματικότερη απομάκρυνση των χρωστικών από τα δόντια.

ΠΡΙΝ

META

ΠΡΙΝ

META
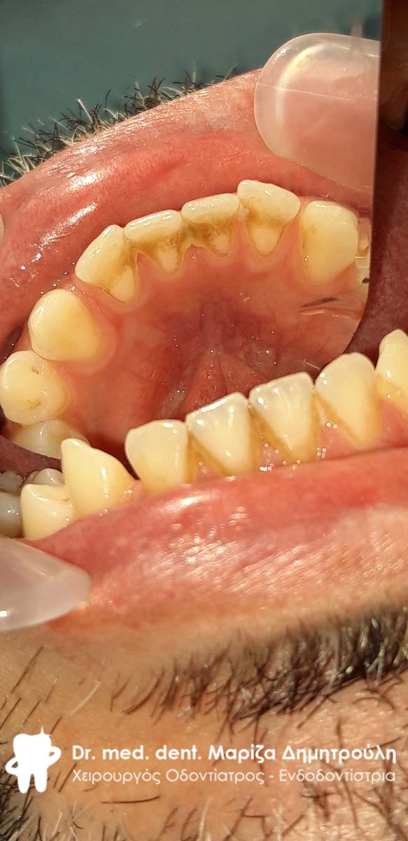
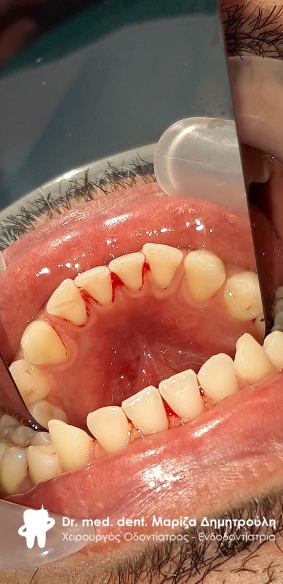
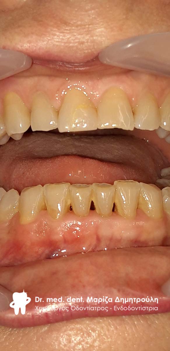
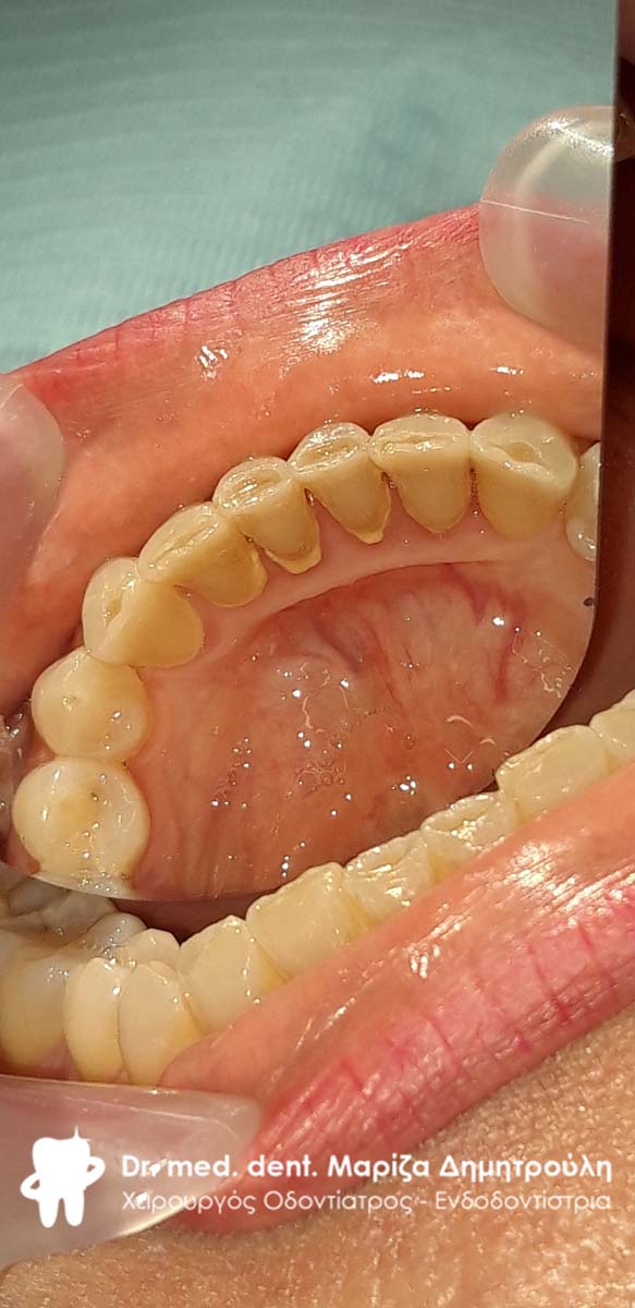
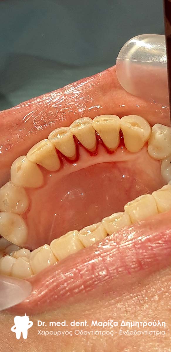
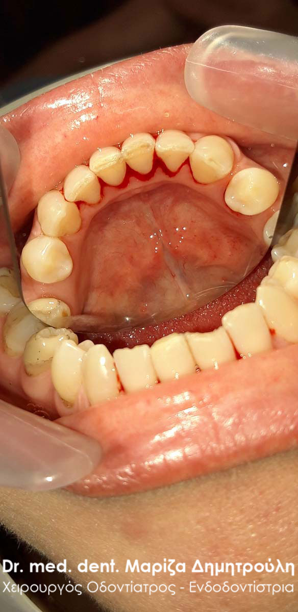
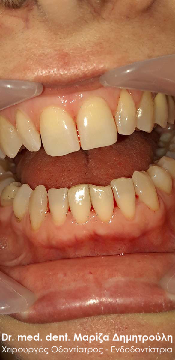
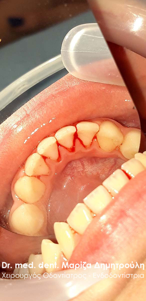
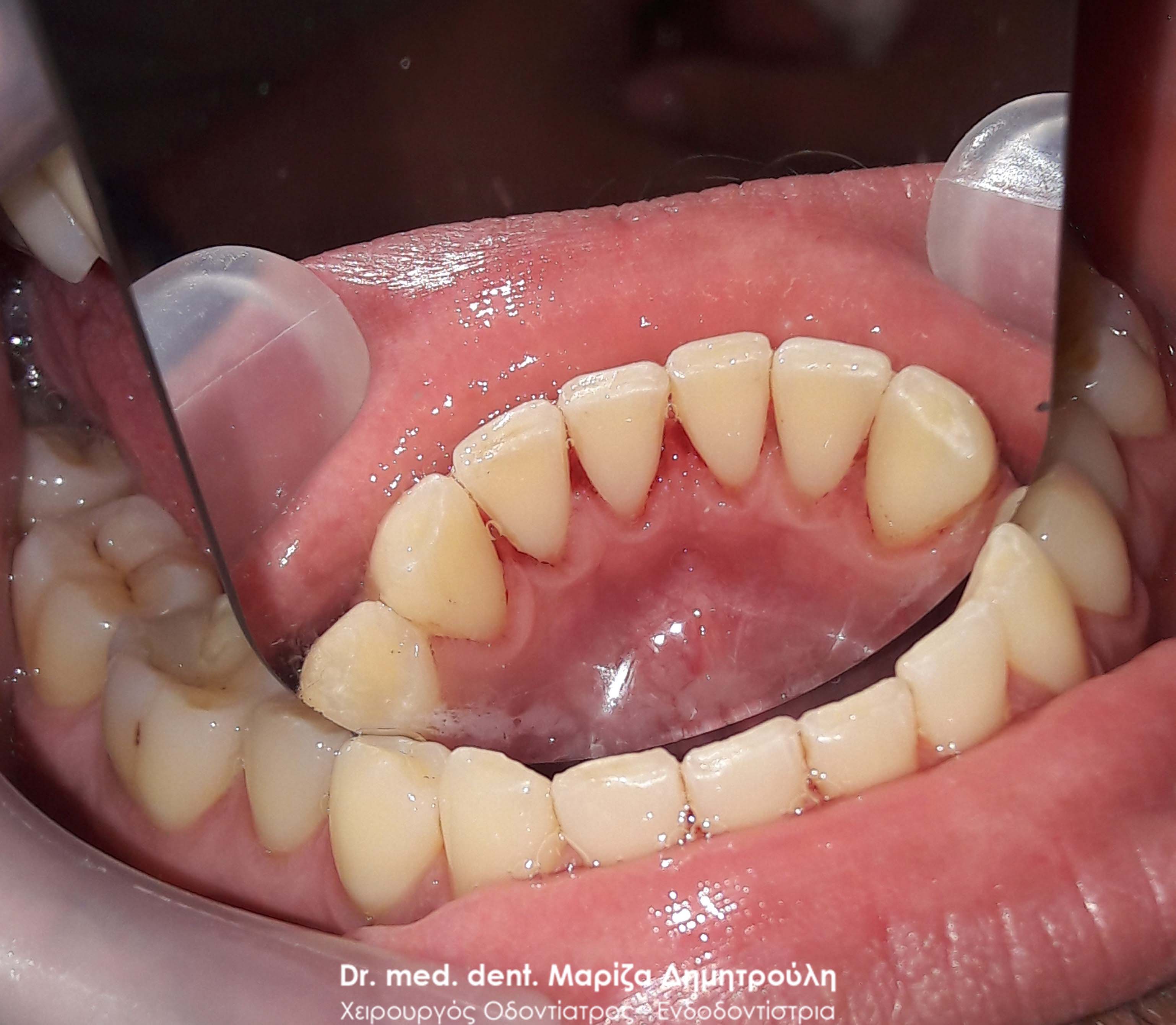
Περιστατικό Καθαρισμός δοντιών
Η ασθενής επιθυμούσε την απομάκρυνση της πέτρας, η οποία όπως δείχνουν οι φωτογραφίες ήταν αρκετή και είχε προκαλέσει τη φλεγμονή των ούλων. Η ασθενής χρειάστηκε να πραγματοποιήσει τη θεραπεία ουλίτιδας, ώστε τα ούλα της να επανέλθουν σε φυσιολογικά υγιή επίπεδα. Οι φωτογραφίες δείχνουν την εικόνα των ούλων τη μέρα του καθαρισμού, γι΄ αυτό και είναι ακόμη ερεθισμένα.

ΠΡΙΝ

META

ΠΡΙΝ

META
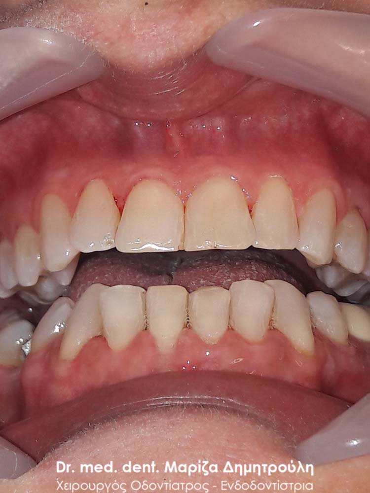
Περιστατικό Καθαρισμός δοντιών
Ο ασθενής όπως φαίνεται στις φωτογραφίες έχει έντονο συνωστισμό δοντιών, ο οποίος δυσχεραίνει την καθημερινή στοματική υγιεινή του ασθενή και απαιτείται περισσότερος κόπος και χρόνος για να καθαρίσει το στόμα του. Ο καθαρισμός δοντιών πραγματοποιήθηκε με τη συσκευή υπερήχων και σοδοβολή.

ΠΡΙΝ

META

ΠΡΙΝ

META
Περιστατικό Καθαρισμός δοντιών
Ο ασθενής δεν είχε επισκεφτεί τον οδοντίατρο για τον ετήσιο καθαρισμό δοντιών τον τελευταίο ενάμιση χρόνο. Είχε πολλές εναποθέσεις πέτρας πάνω στα δόντια του, όπως φαίνεται άλλωστε και στις φωτογραφίες ενώ τα ούλα του ήταν πολύ ερεθισμένα, λόγω ουλίτιδας. Ο καθαρισμός δοντιών ολοκληρώθηκε με συσκευή υπερήχων τελείως ανώδυνα και σύντομα.

ΠΡΙΝ

META

ΠΡΙΝ

META
Περιστατικό Καθαρισμός δοντιών
Ο ασθενής επιθυμούσε τον καθαρισμό των δοντιών του. Στις φωτογραφίες είναι χαρακτηριστικό το έντονο λευκό χρώμα της οδοντοφυίας του ασθενή(αποτέλεσμα λεύκανσης), το οποίο ερχόταν σε μεγάλη αντιθεση με τις μαύρες χρωστικές. Μετά τον καθαρισμό των δοντιών με τη συσκευή υπερήχων ακολούθησε η στίλβωση τους με ειδικές πάστες. Η διαδικασία ολοκληρώθηκε με τη χρήση της σοδοβολής για ένα καλύτερο αισθητικό αποτέλεσμα.

ΠΡΙΝ

META

ΠΡΙΝ

META
Περιστατικό Καθαρισμός δοντιών
Στο συγκεκριμένο περιστατικό ο ασθενής είχε έντονες εναποθέσεις πέτρας και χρωστικών. Επίσης υπέφερε από ουλίτιδα και αυτός ήταν και ο λόγος επίσκεψής του στο οδοντιατρείο. Τα ούλα του ματώναν πολύ κατά το βούρτσισμα, ενώ ανέφερε οτι πολλές φορές τον πονούσαν και τον “έτσουζαν”. Πραγματοποιήθηκε λοιπόν καθαρισμός δοντιών με συσκευή υπερήχων. Ο ασθενής ανακουφίστηκε και αισθανόταν το στόμα του πολύ ανάλαφρο.

ΠΡΙΝ

META

ΠΡΙΝ

META
Περιστατικό Καθαρισμός δοντιών
Ο ασθενής προσήλθε για την αφαίρεση των μαύρων στιγμάτων. Πραγματοποιήθηκε καθαρισμός δοντιών και ακολούθησε στίλβωση δοντιών με ειδικές πάστες και σοδοβολή.

ΠΡΙΝ

META

ΠΡΙΝ

META
Περιστατικό Καθαρισμός δοντιών
Ο ασθενής προσήλθε για τον τυπικό καθαρισμό δοντιών. Επιθυμία του ήταν η απομάκρυνση των μαύρων χρωστικών και ένα όσο το δυνατόν καλύτερο αισθητικό αποτέλεσμα. Μετά την απομάκρυνση της πέτρας με συσκευή υπερήχων ακολούθησε η στίλβωση των οδοντικών επιφανειών και η εφαρμογή της σοδοβολής.

ΠΡΙΝ

META

ΠΡΙΝ

META
Περιστατικό Καθαρισμός δοντιών
Ο ασθενής προσήλθε στο ιατρείο για τον τυπικό καθαρισμό δοντιών. Επιθυμία του ήταν η απομάκρυνση των μαύρων χρωστικών και ένα όσο το δυνατόν καλύτερο αισθητικό αποτέλεσμα. Μετά την απομάκρυνση της πέτρας με συσκευή υπερήχων ακολούθησε η στίλβωση των οδοντικών επιφανειών και η εφαρμογή της σοδοβολής.

ΠΡΙΝ

META

ΠΡΙΝ

META
Περιστατικό Καθαρισμός δοντιών
Ο ασθενής επιθυμούσε τον καθαρισμό των δοντιών του από την πέτρα και την πλάκα. Ταυτόχρονα επιθυμούσε την απομάκρυνση των αντιαισθητικών χρωστικών. Η διαδικασία πραγματοποιήθηκε με συσκευή υπερήχων, ειδικές πάστες στίλβωσης δοντιών και τέλος με τη συσκευή της σοδοβολής.

ΠΡΙΝ

META

ΠΡΙΝ

META
Περιστατικό Καθαρισμός δοντιών
Η ασθενής προσήλθε για τον τυπικό καθαρισμό δοντιών. Αρχικά πραγματοποιήθηκε η αφαίρεση της πέτρας με συσκευή υπερήχων .Στη συνέχεια ακολούθησε η στίλβωση των δοντιών και η εφαρμογή της σοδοβολής.

ΠΡΙΝ

META

ΠΡΙΝ

META
Περιστατικό Καθαρισμός δοντιών
Στα πλαίσια του ετήσιου οδοντιατρικού ελέγχου ο ασθενής επιθυμούσε τον καθιερωμένο καθαρισμό δοντιών. Αρχικά πραγματοποιήθηκε η αφαίρεση της πέτρας με συσκευή υπερήχων. Στη συνέχεια ακολούθησε η στίλβωση των δοντιών και η εφαρμογή της σοδοβολής. Η ελαφρά ευαισθησία των ούλων που φαίνεται αμέσως μετά τον καθαρισμό των δοντιών, υποχώρησε σε 1 – 2 μέρες ακολουθώντας τις οδηγίες του οδοντιάτρου.

ΠΡΙΝ

META

ΠΡΙΝ

META
Περιστατικό Καθαρισμός δοντιών
Η ασθενής προσήλθε για τον τυπικό καθαρισμό δοντιών. Αρχικά πραγματοποιήθηκε η αφαίρεση της πέτρας με συσκευή υπερήχων .Στη συνέχεια ακολούθησε η στίλβωση των δοντιών και η εφαρμογή της σοδοβολής.

ΠΡΙΝ

META

ΠΡΙΝ

META
Περιστατικό Καθαρισμός δοντιών
Η ασθενής δεν είχε πραγματοπιήσει καθαρισμό δοντιών τα τελευταία 2 χρόνια. Επιθυμία της ήταν η αφαίρεση της πέτρας, η οποία πραγματοποιήθηκε με συσκευή υπερήχων .Στη συνέχεια ακολούθησε η στίλβωση των δοντιών και η εφαρμογή της σοδοβολής.

ΠΡΙΝ

META

ΠΡΙΝ

META
Περιστατικό Καθαρισμός δοντιών
Ο ασθενής επιθυμούσε την απομάκρυνση της πέτρας και της πλάκας και την αφαίρεση των αντιαισθητικών μαύρων χρωστικών. Η διαδικασία του καθαρισμού δοντιών πραγματοποιήθηκε με συσκευή υπερήχων .Στη συνέχεια ακολούθησε η στίλβωση των δοντιών και η εφαρμογή της σοδοβολής. Το παρόν αποτέλεσμα ήταν το καλύτερο δυνατό, δεδομένου οτι ο ασθενής δεν είχε πραγματοποιήσει τα τελευταία 3 χρόνια καθαρισμό δοντιών.

ΠΡΙΝ

META
Περιστατικό Καθαρισμός δοντιών
Η ασθενής πραγματοποίησε τον τυπικό ετήσιο καθαρισμό δοντιών. Η διαδικασία του καθαρισμού δοντιών πραγματοποιήθηκε με συσκευή υπερήχων .Στη συνέχεια ακολούθησε η στίλβωση των δοντιών και η εφαρμογή της σοδοβολής.

ΠΡΙΝ

META

ΠΡΙΝ

META
Περιστατικό Καθαρισμός δοντιών
Η ασθενής πραγματοποίησε τον τυπικό ετήσιο καθαρισμό δοντιών. Η διαδικασία του καθαρισμού δοντιών πραγματοποιήθηκε με συσκευή υπερήχων .Στη συνέχεια ακολούθησε η στίλβωση των δοντιών και η εφαρμογή της σοδοβολής.

ΠΡΙΝ

META
Περιστατικό Καθαρισμός δοντιών
Στον ασθενή πραγματοποιήθηκε καθαρισμός δοντιών με συσκευή υπερήχων. Επίσης τα δόντια στιλβώθηκαν και εφαρμόστηκε και σοδοβολή.

ΠΡΙΝ

META

ΠΡΙΝ

META
Περιστατικό Καθαρισμός δοντιών
H ασθενής πραγματοποίησε καθαρισμό δοντιών με συσκευή υπερήχων. Επίσης τα δόντια στιλβώθηκαν και εφαρμόστηκε και σοδοβολή.

ΠΡΙΝ

META

ΠΡΙΝ

META
Περιστατικό Καθαρισμός δοντιών
H ασθενής πραγματοποίησε καθαρισμό δοντιών με συσκευή υπερήχων. Επίσης τα δόντια στιλβώθηκαν και εφαρμόστηκε και σοδοβολή.

ΠΡΙΝ

META

ΠΡΙΝ

META
Περιστατικό Καθαρισμός δοντιών
Στα πλαίσια του ετήσιου οδοντιατρικού ελέγχου ο ασθενής πραγματοποίησε καθαρισμό δοντιών με συσκευή υπερήχων. Για το καλύτερο αισθητικό αποτέλεσμα τα δόντια στιλβώθηκαν και εφαρμόστηκε και σοδοβολή.

ΠΡΙΝ

META

ΠΡΙΝ

META
Περιστατικό Καθαρισμός δοντιών
Ο ασθενής προσήλθε για τον τυπικό καθαρισμό δοντιών. Όπως δείχνουν και οι φωτογραφίες οι εναποθέσεις πέτρας και πλάκας ήταν αρκετές. Μετά από την απομάκρυνση της πέτρας και της πλάκας με τη συσκευή υπερήχων τα δόντια στιλβώθηκαν με ειδικές πάστες και χρησιμοποιήθηκε και η συσκευή της σοδοβολής.

ΠΡΙΝ

META

ΠΡΙΝ

META
Περιστατικό Καθαρισμός δοντιών
Στα πλαίσια του καθαρισμού των δοντιών απομακρύνθηκε η πέτρα και η πλάκα από την παρυφή των ούλων με τη συσκευή υπερήχων. Ακολούθως τα δόντια γυαλίστηκαν με ειδικές πάστες στίλβωσης και για ακόμη καλύτερα αποτελέσματα χρησιμοποιήθηκε και η συσκευή της σοδοβολής.

ΠΡΙΝ

META

ΠΡΙΝ

META
Περιστατικό Καθαρισμός δοντιών
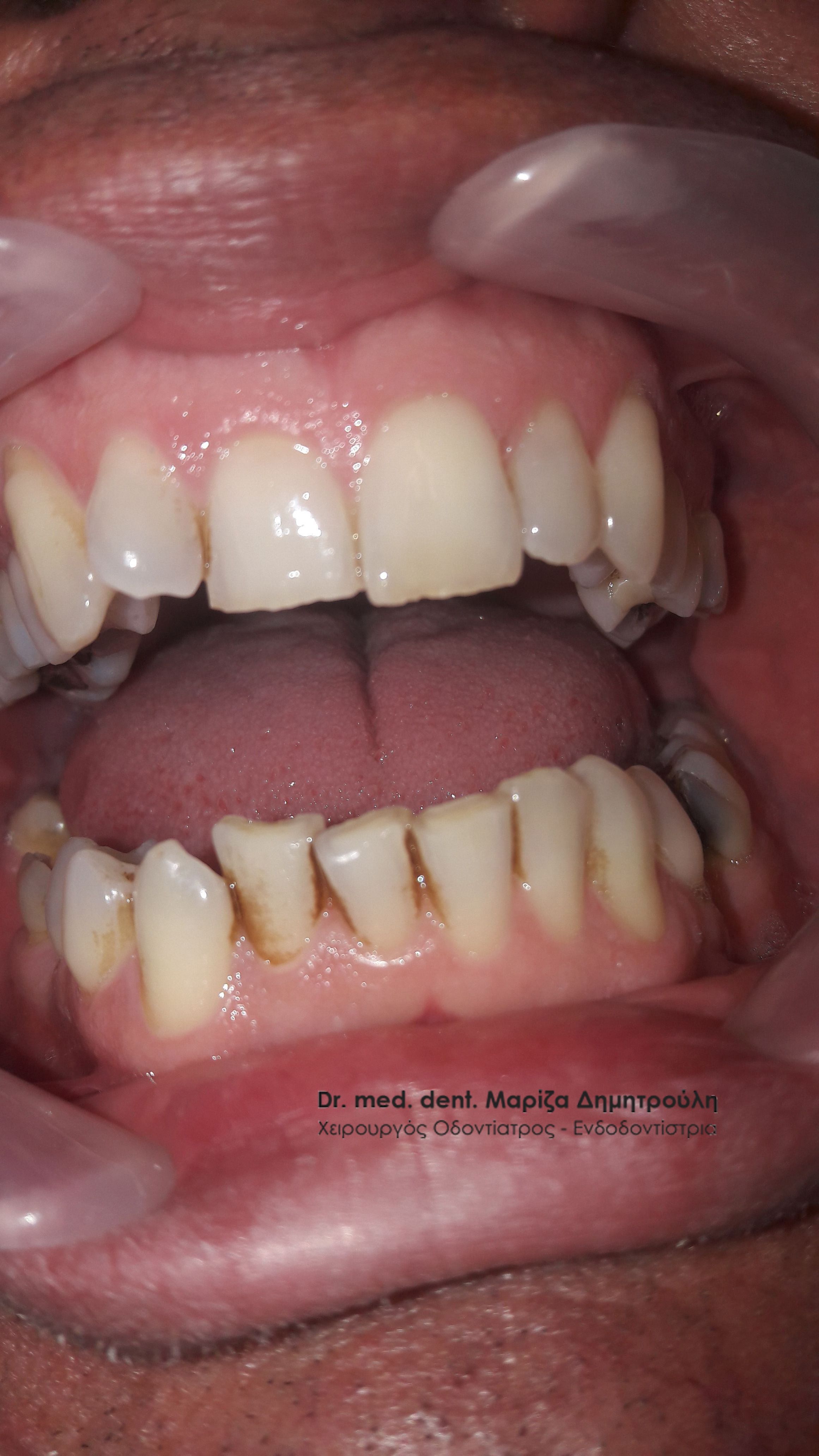
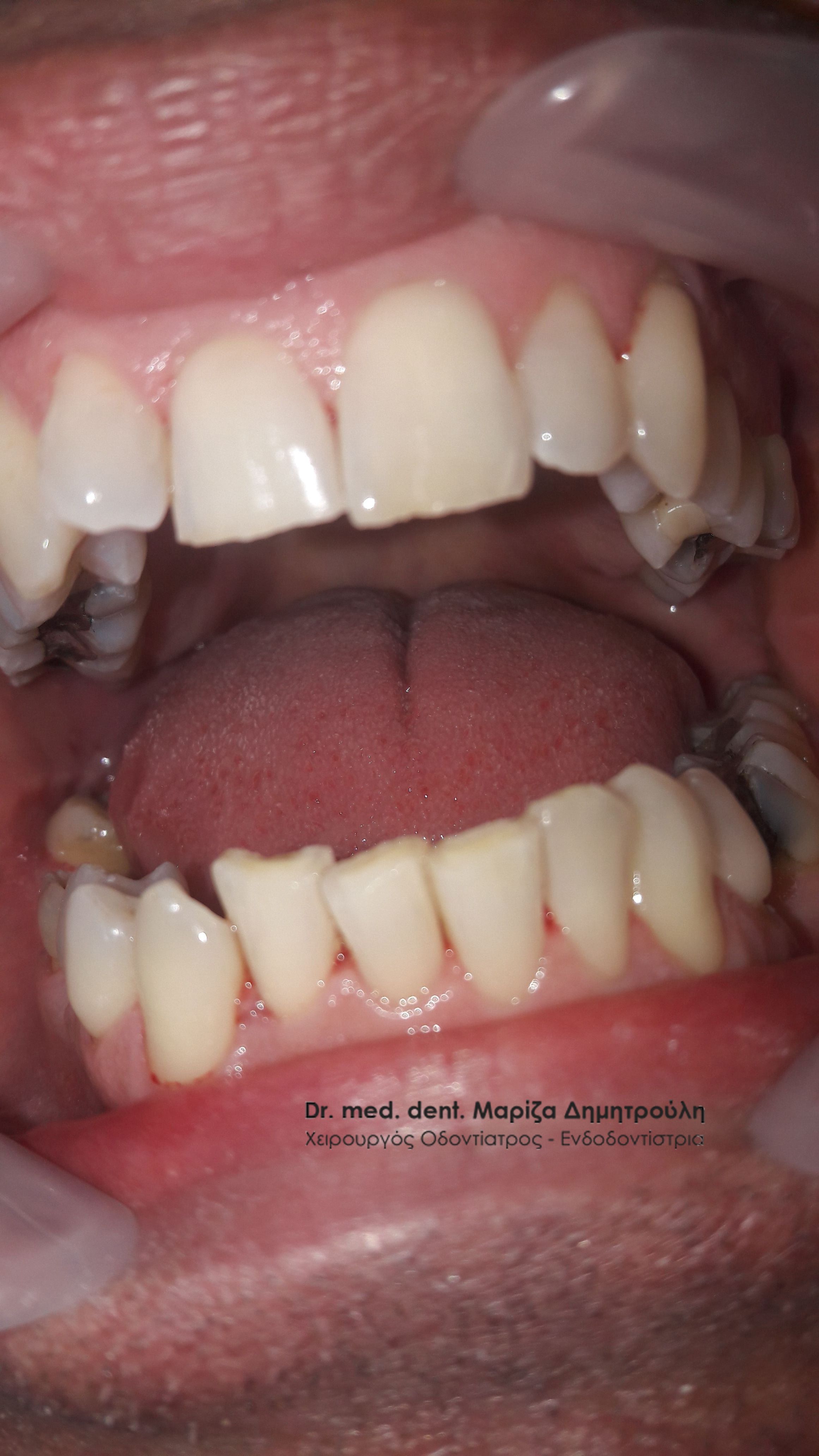
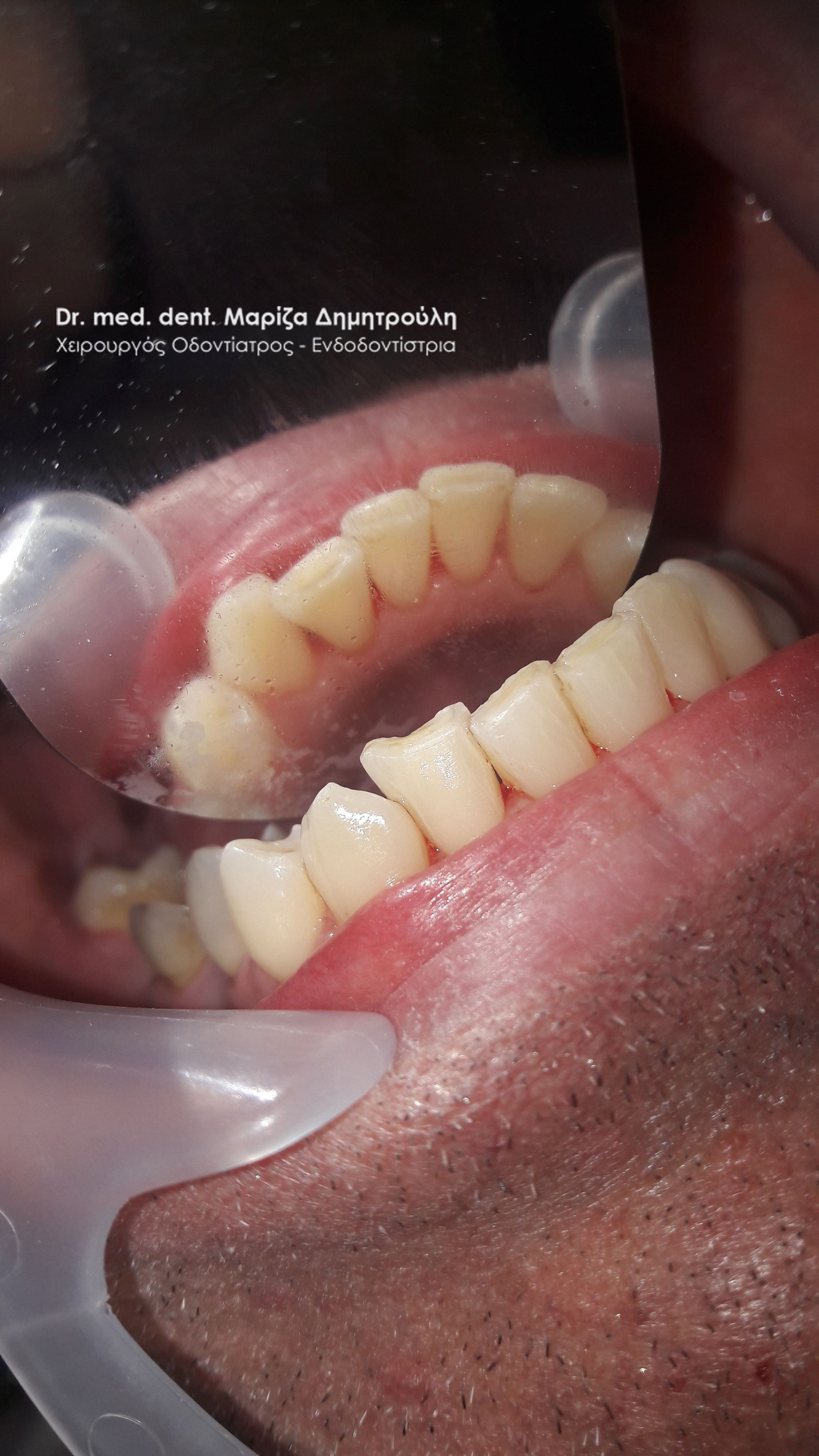
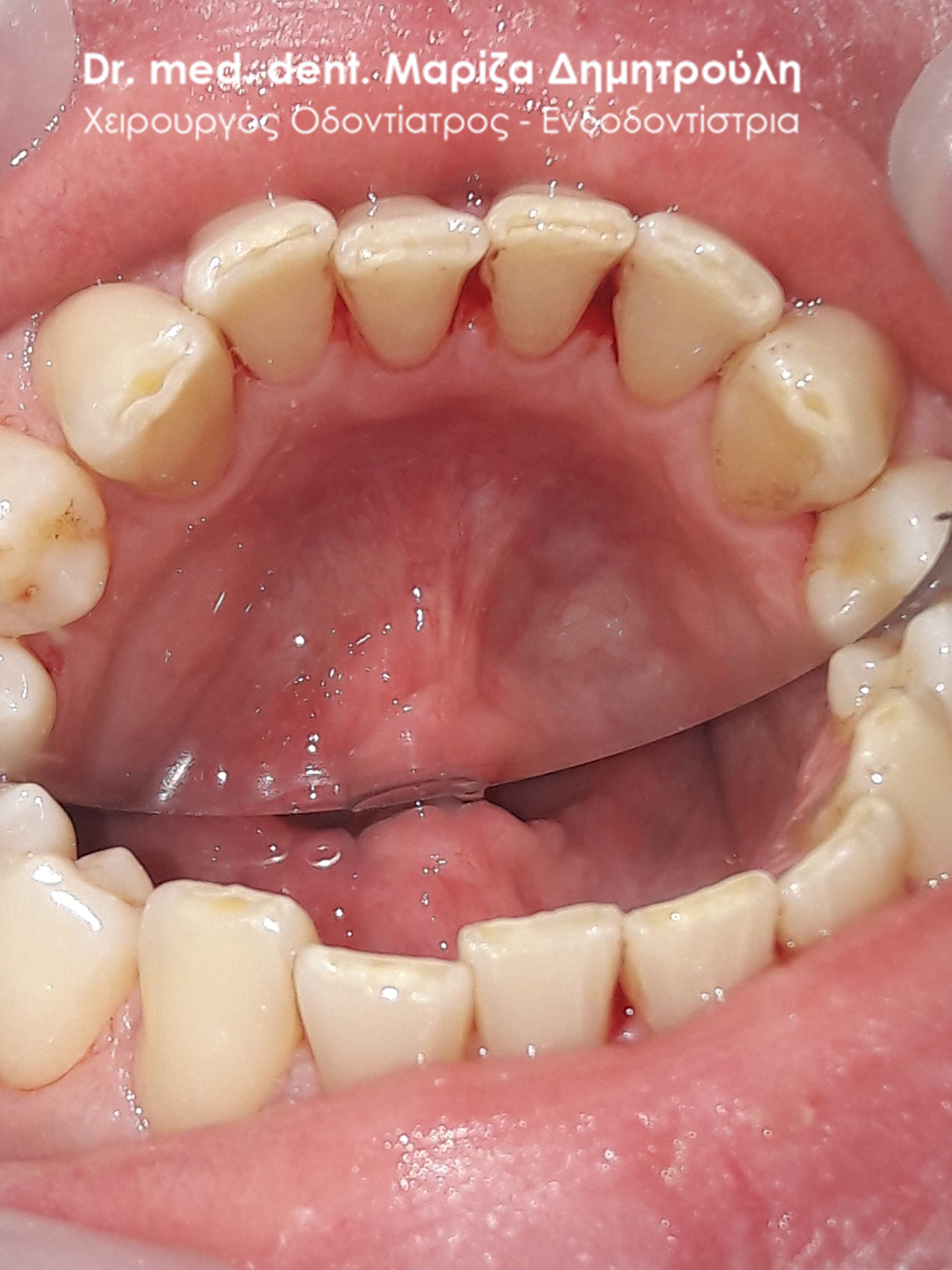
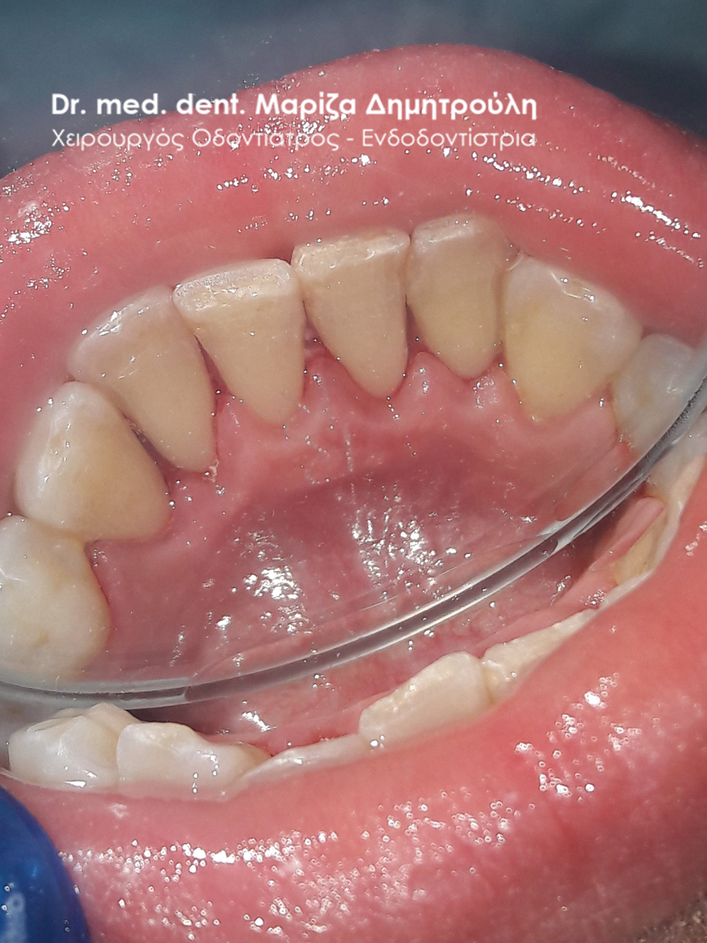
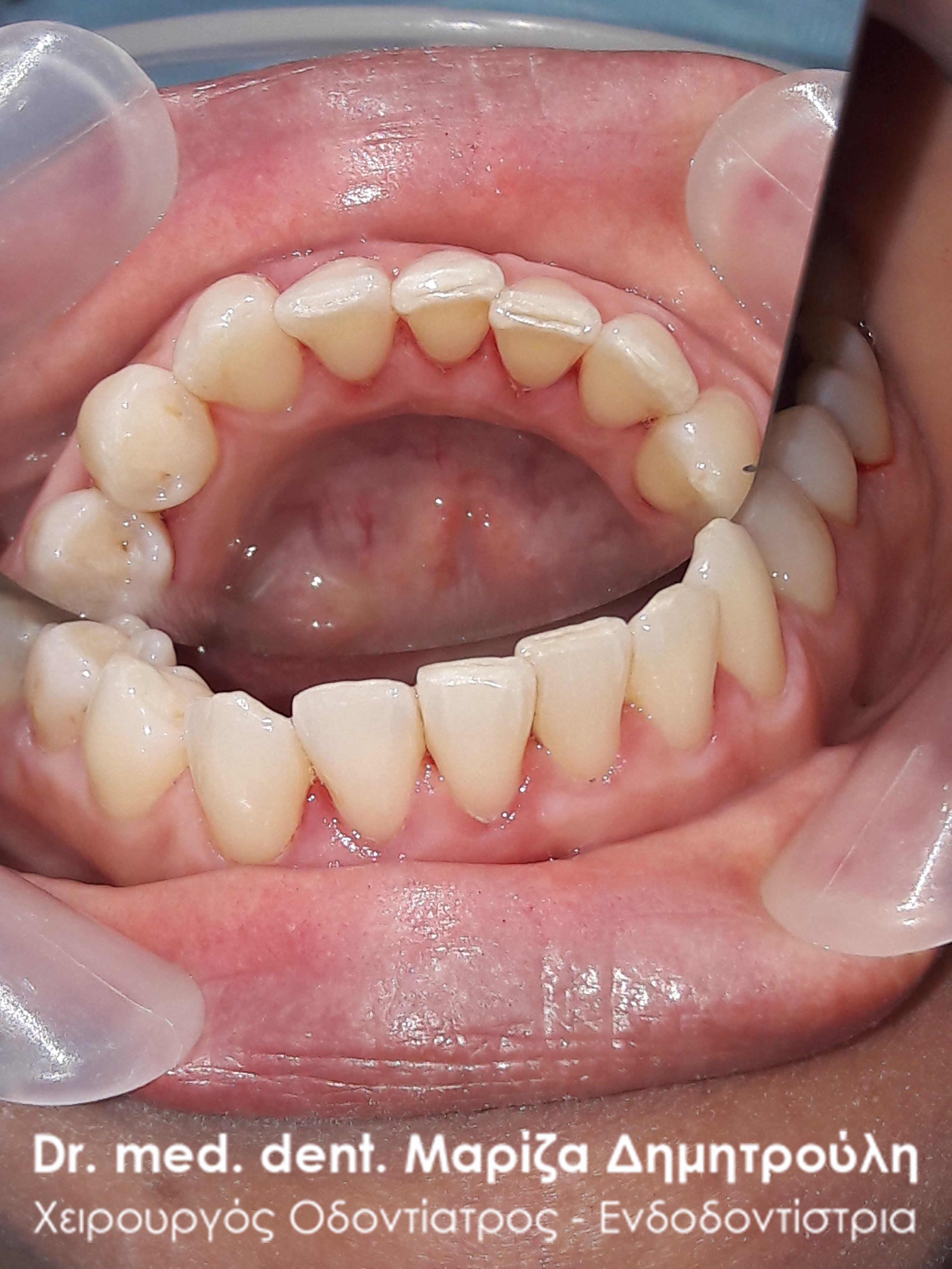
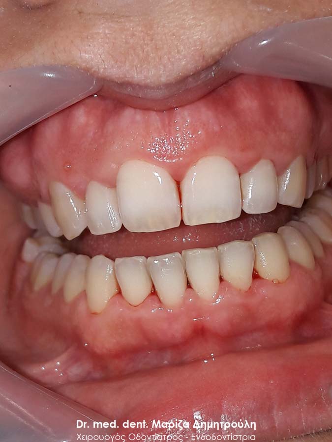
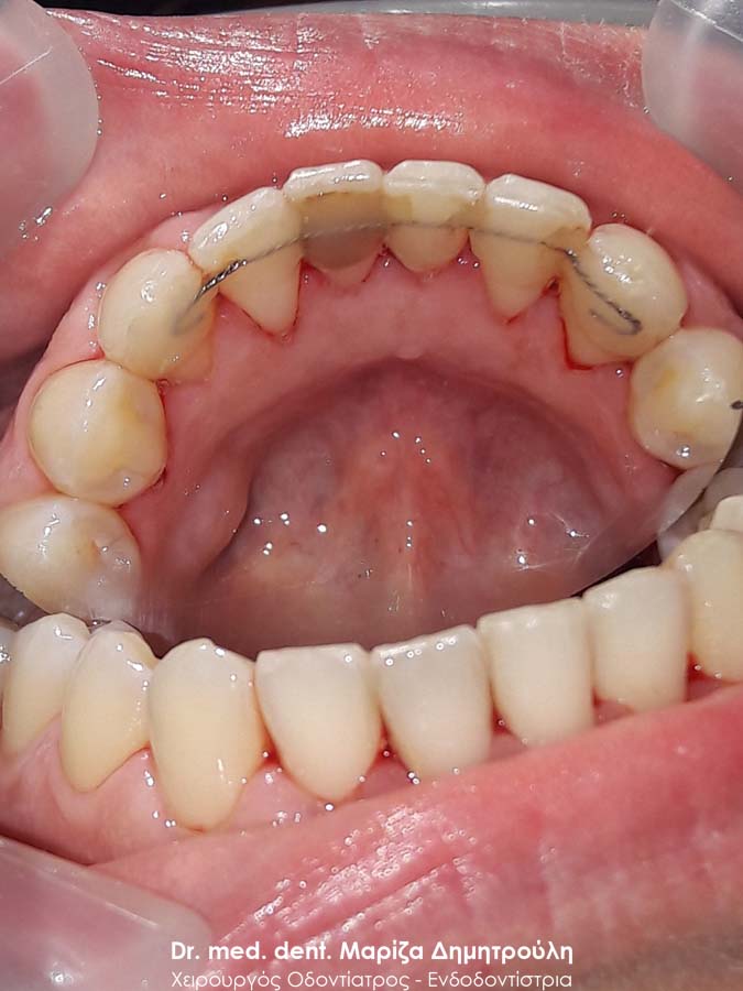
Η ασθενής δεν είχε πραγματοποιήσει καθαρισμό δοντιών τον τελευταίο 1,5 χρόνο. Στο συγκεκριμένο περιστατικό η διαδικασία του καθαρισμού ήταν ιδιαίτερη απαιτητική, γιατί αφενός το στόμα της ασθενούς είχε πολλές χρωστικές και αφετέρου τα δόντια της κάτω γνάθου είχαν έντονη κλίση προς τα μέσα, γεγονός που δυσχέραινε την εργασία του οδοντιάτρου. Παρόλα αυτά η ασθενής ήταν πολύ ικανοποιημένη και χαρούμενη με το αποτέλεσμα. Ο καθαρισμός ξεκίνησε με την απομάκρυνση της πέτρας και πλάκας από την παρυφή των ούλων, συνεχίστηκε με τη στίλβωση των δοντιών και ολοκληρώθηκε με τη διαδικασία της σοδοβολής δοντιών.

ΠΡΙΝ

META

ΠΡΙΝ

META
Περιστατικό – Ελκώδης ουλίτιδα
Ο ασθενής προσήλθε με έντονο και ανυπόφορο πόνο σε όλα του τα δόντια όπως χαρακτηριστικά ανέφερε. Τελευταία φορά που επισκέφτηκε τον οδοντίατρο για καθαρισμό δοντιών ήταν πριν 2,5 χρόνια. Μετά την κλινική εξέταση διαπιστώθηκε έντονο οίδημα στα ούλα με ελκώδεις αλλοιώσεις στην υπερώια και χειλική επιφάνεια των άνω πρόσθιων δοντιών. Ο ασθενής αντιδρούσε έντονα ακόμα και σε μία απαλή και προσεχτική αφή των ούλων. Η ελκονεκρωτική μορφή ουλίτιδας που φαινόταν να παρουσιάζει ο ασθενής έκρινε απαραίτητη τη λήψη αντιβίωσης μαζί με τον επαγγελματικό καθαρισμό των ούλων. Για τον καθαρισμό των ούλων χορηγήθηκε τοπική αναισθησία εφόσον ο ασθενής πονούσε πολύ.
Μία εβδομάδα μόλις μετά ο ασθενής ένοιωθε πολύ καλά, οι ελκώδεις αλλοιώσεις των ούλων είχαν αρχίσει να αποκαθίστανται στη φυσιολογική μορφή τους και το οίδημα των ούλων είχε αρχίσει να υποχωρεί. Σημαντικό ρόλο στη θεραπεία του περιστατικού αυτού είχε η τήρηση μιας πολύ καλής στοματικής υγιεινής σύμφωνα με τις συστάσεις που δόθηκαν στον ασθενή.
Αξίζει να σημειωθεί οτι η ετήσια επίσκεψη στον οδοντίατρο για τον τυπικό καθαρισμό δοντιών μπορεί να γλυτώσει τον ασθενή από δυσάρεστες και επίπονες καταστάσεις, όπως αυτή που παρουσιάστηκε στο παραπάνω περιστατικό. Δεν είναι ανάγκη να εμφανιστεί έντονος πόνος στο στόμα για να επισκεφτεί κανείς τον οδοντίατρο. Άλλωστε δεν πρέπει να ξεχνά κανείς οτι η πρόληψη αποτελεί την καλύτερη θεραπεία.

ΠΡΙΝ

ΠΡΙΝ

ΠΡΙΝ

ΠΡΙΝ

