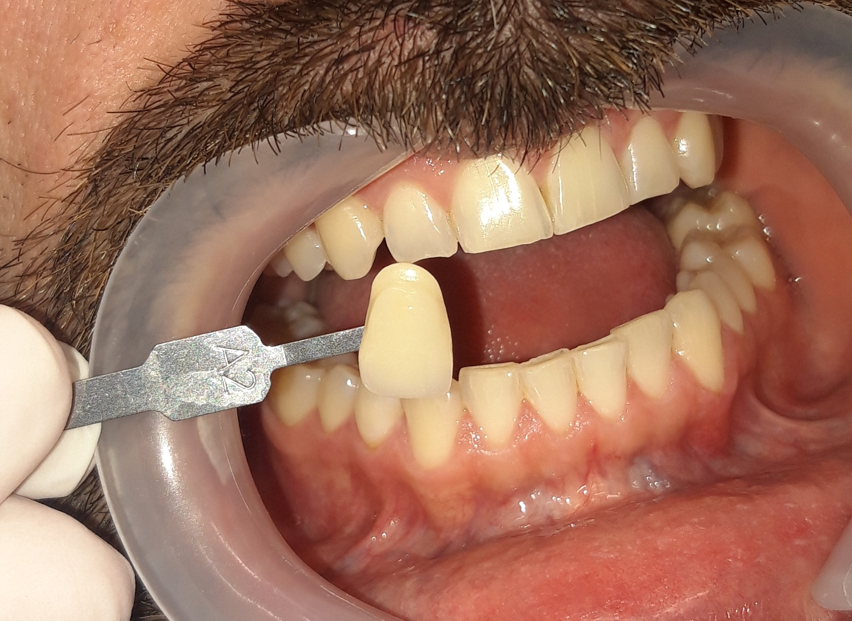
Περιστατικό -Αισθητικά λευκά σφραγίσματα στην άνω γνάθο

ΠΡΙΝ

ΜΕΤΑ
Περιστατικό -Αισθητικές ολοκεραμικές θήκες δοντιών στην άνω γνάθο
Η ασθενής ήταν δυσαρεστημένη με την αισθητική των άνω πρόσθιων δοντιών της και επιθυμούσε ένα όμορφο και λαμπερό χαμόγελο. Αποφασίστηκε η ανασύσταση των έξι άνω πρόσθιων δοντιών και η κάλυψη τους με ολοκεραμικές θήκες, εφόσον το οδοντικό έλλειμμα σε όλα τα δόντια ήταν μεγάλο.
Το τελικό αποτέλεσμα ήταν πλήρως λειτουργικό και αισθητικό.

ΠΡΙΝ

ΜΕΤΑ
Περιστατικό -Αισθητικές ολοκεραμικές θήκες ζιρκονίου
Η ασθενής επιθυμούσε οπωσδήποτε να διορθώσει το χαμόγελό της, το οποίο χρόνια την δυσαρεστούσε καθώς το ένα δόντι ήταν στραβό και το άλλο πολύ μικρό. Αποφάσιστηκε η διόρθωση του χαμόγελου με ολοκεραμικές θήκες ζιρκονίου. Το τελικό αποτέλεσμα είναι εκπληκτικό, καθώς η ασθενής επιθυμούσε οι θήκες της να μην ξεχωρίζουν καθόλου από τα φυσικά της δόντια όταν γελά, γεγονός που επιβεβαιώθηκε. Μετά τη σωστή χρωματοληψία και την άρτια συνεργασία με τον οδοντοτεχνίτη η ασθενής έχει μία νέα προσθετική δουλειά στο στόμα της που είναι πολύ όμορφη αισθητικά.

ΠΡΙΝ

Προσωρινές θήκες στα δόντια

ΜΕΤΑ
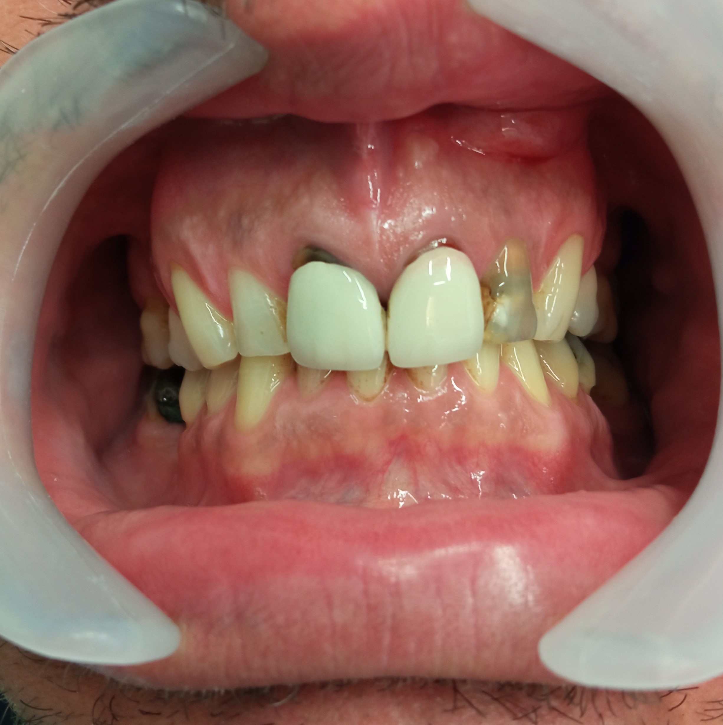
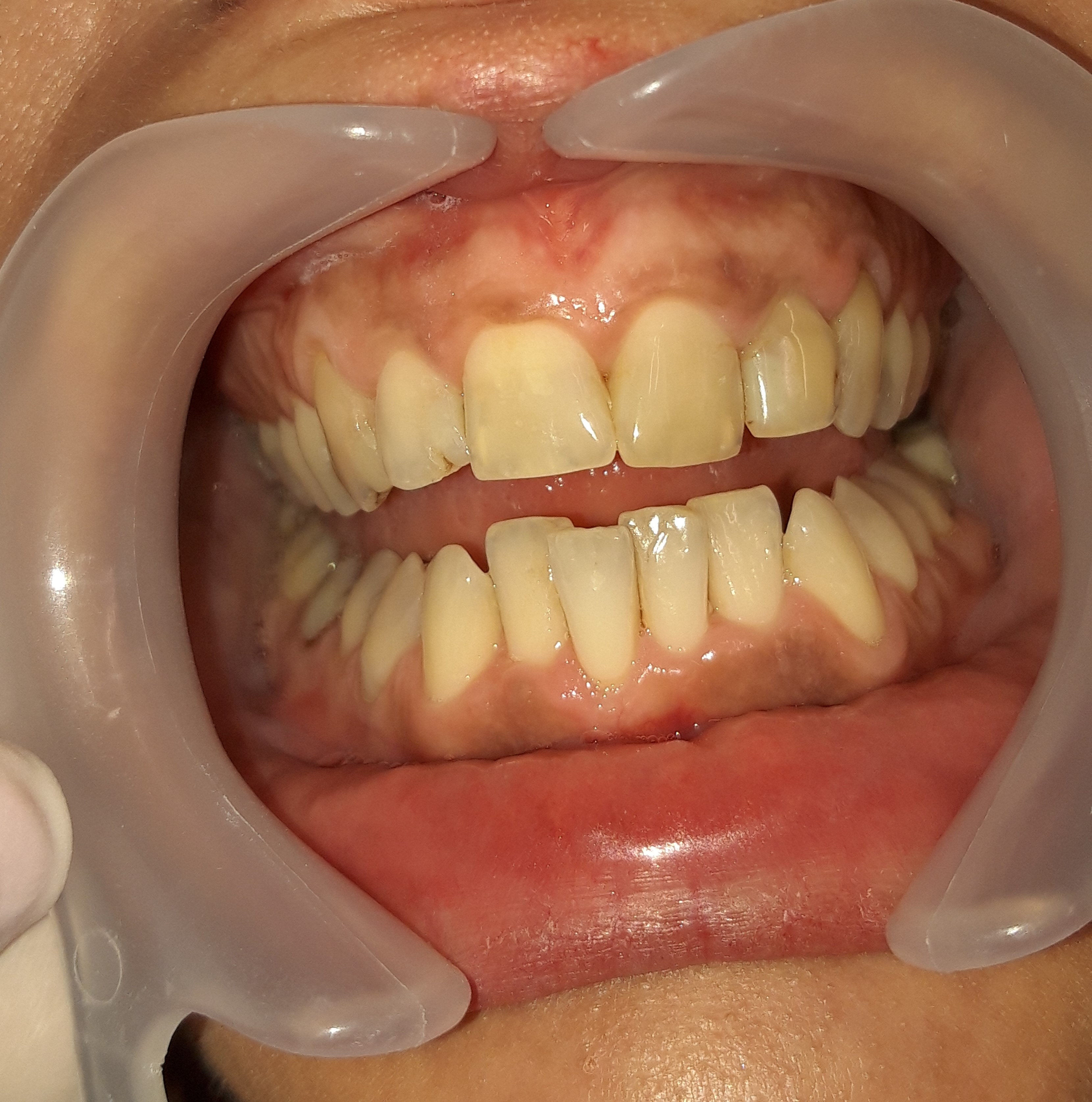
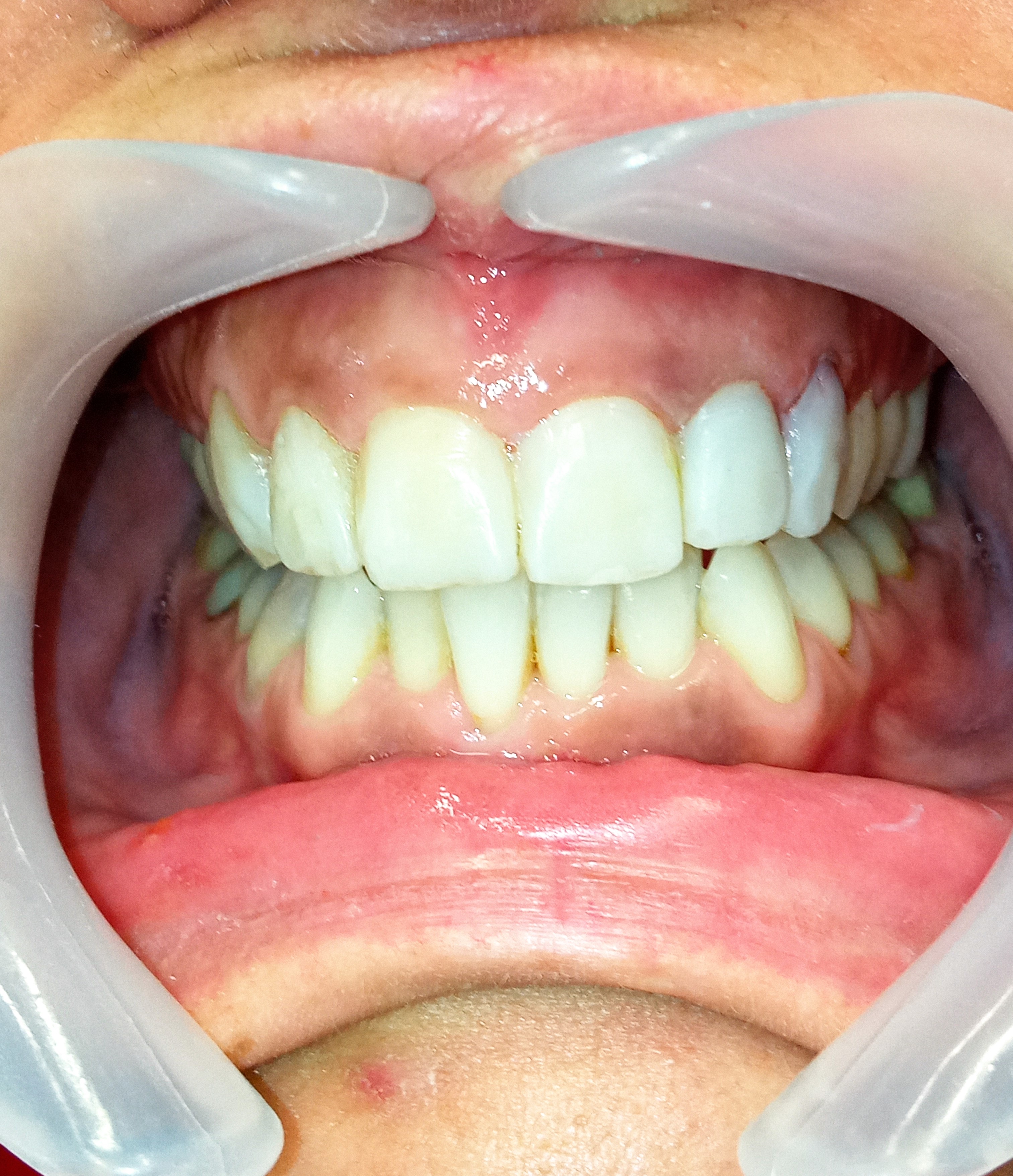
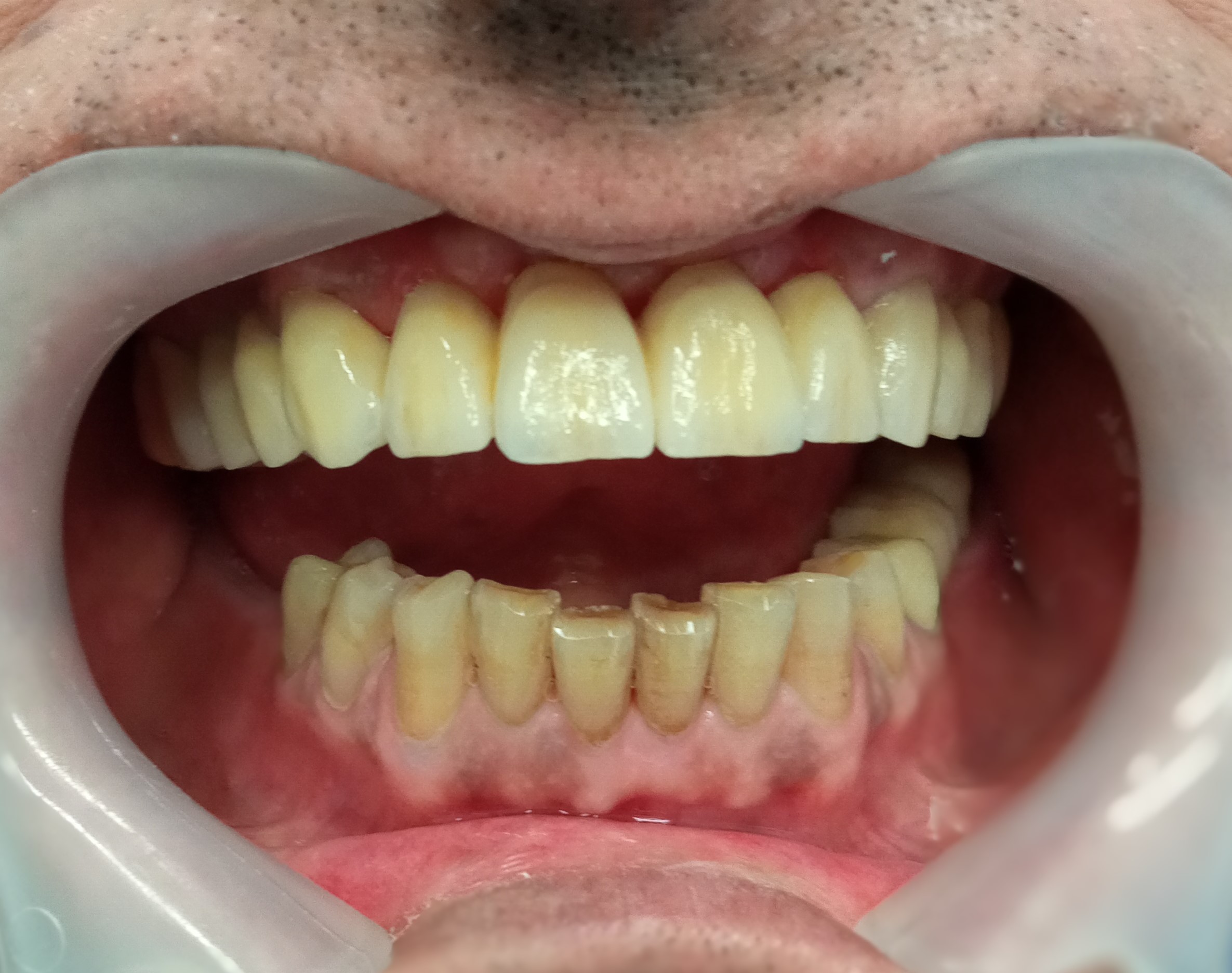
Περιστατικό -Ολοκεραμικό πέταλλο ζιρκονίου στην άνω γνάθο
Ο ασθενής είχε πάρα πολλά χρόνια να επισκεφτεί τον οδοντίατρο. Η εικόνα του στόματος του ήταν χαοτική, όμως ο ίδιος ήταν αποφασισμένος να αποκτήσει ένα νέο υγιές στόμα. Αρχικά πραγματοποιήθηκαν οι εξαγωγές δοντιών που δεν μπορούσαν να διατηρηθούν πλέον στο στόμα του ασθενή. Στη συνέχεια απονευρώθηκαν όσα δόντια χρειαζόταν κ ακολούθησαν ανασυστάσεις όλων των δοντιών. Εφόσον είχε αποκατασταθεί η φλεγμονή των ούλων λήφθηκαν αποτυπώματα και στάλθηκαν στον οδοντοτεχνίτη ο οποίος κατασκεύασε ολοκεραμικές θήκες, οι οποίες ήταν ενωμένες μεταξύ τους (ολοκεραμικό πέταλλο).
Ο ασθενής είναι πολύ χαρούμενος με το λειτουργικό και αισθητικό του αποτέλεσμα. Πρέπει να αναφερθεί οτι όσο καιρό ο ασθενής δεν είχε δόντια δυσκολευόταν πολύ στην άρθρωση του λόγου. Μετα την τοποθέτηση της νέας προσθετικής δουλειάς, ο ασθενής μπορεί και πάλι να ιλά φυσιολογικά.

ΠΡΙΝ

Ενδιάμεση κατάσταση με όλα τα δόντια τροχισμένα πριν τη λήψη αποτυπώματος

ΜΕΤΑ

Ολοκεραμικό πέταλλο

ΜΕΤΑ

ΜΕΤΑ
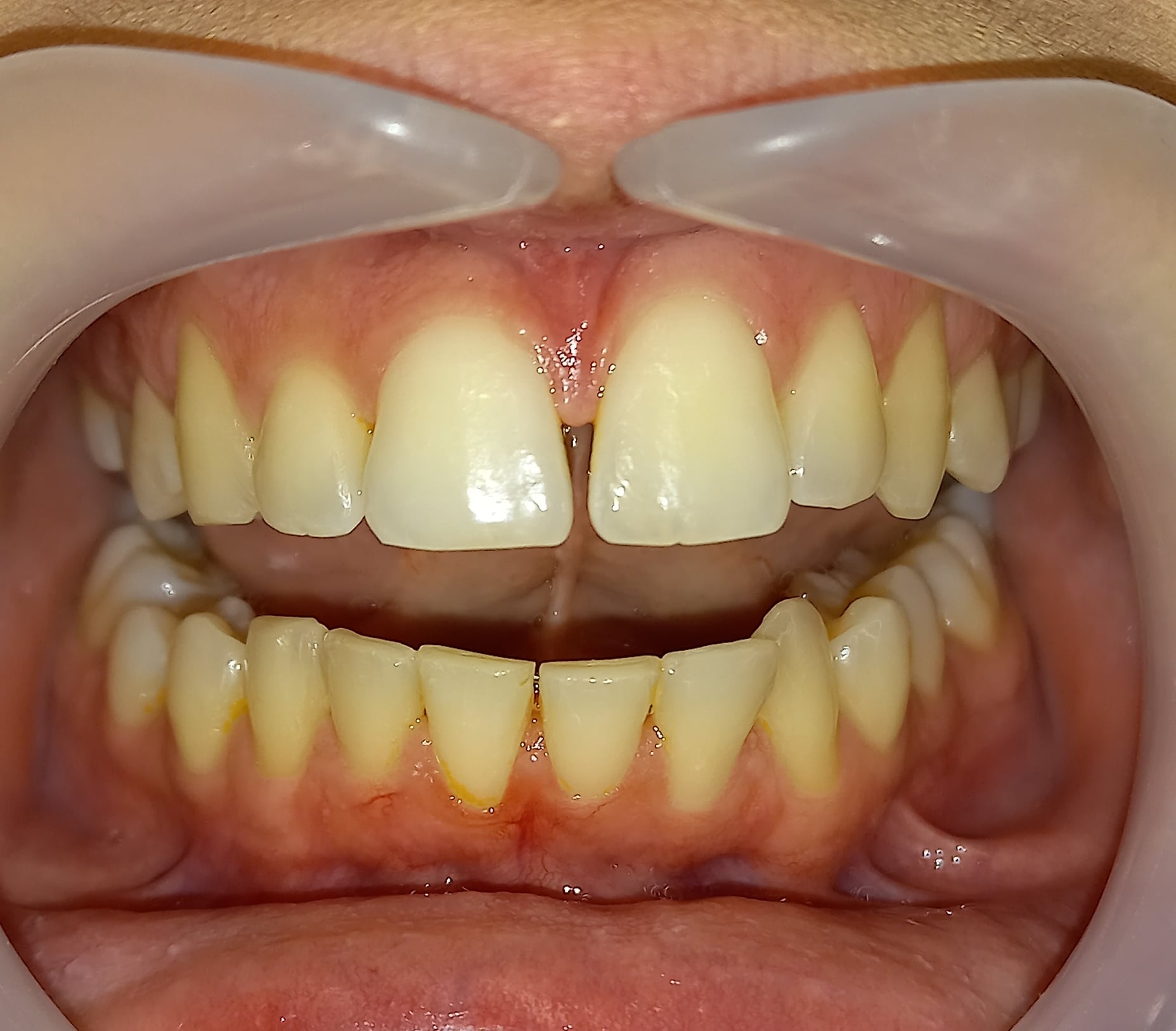
Περιστατικό -Αισθητική γέφυρα ζιρκονίου στην άνω πρόσθια περιοχή
Ο ασθενής ήταν δυσαρεστημένος με την παλιά του γέφυρα στην άνω πρόσθια περιοχή, ενώ παράλληλα τον ενοχλούσε ο μαυρισμένος αριστερός πλάγιος τομέας. Αποφασίστηκε η αφαίρεση της παλιάς μεταλλοκεραμικής γέφυρας, η επανάληψη απονεύρωσης στον πλάγιο τομέα και η κατασκευή νέας ολοκεραμικής γέφυρας. Το αισθητικό αποτέλεσμα είναι πολύ όμορφο και ο ασθενής είναι πλήρως ικανοποιημένος.

ΠΡΙΝ

Εικόνα των δοντιών αμέσως μετά την αφαίρεση της παλιάς γέφυρας

Εικόνα των δοντιών αμέσως μετά την επανάληψη απονεύρωσης και την αναδόμηση τους

ΜΕΤΑ
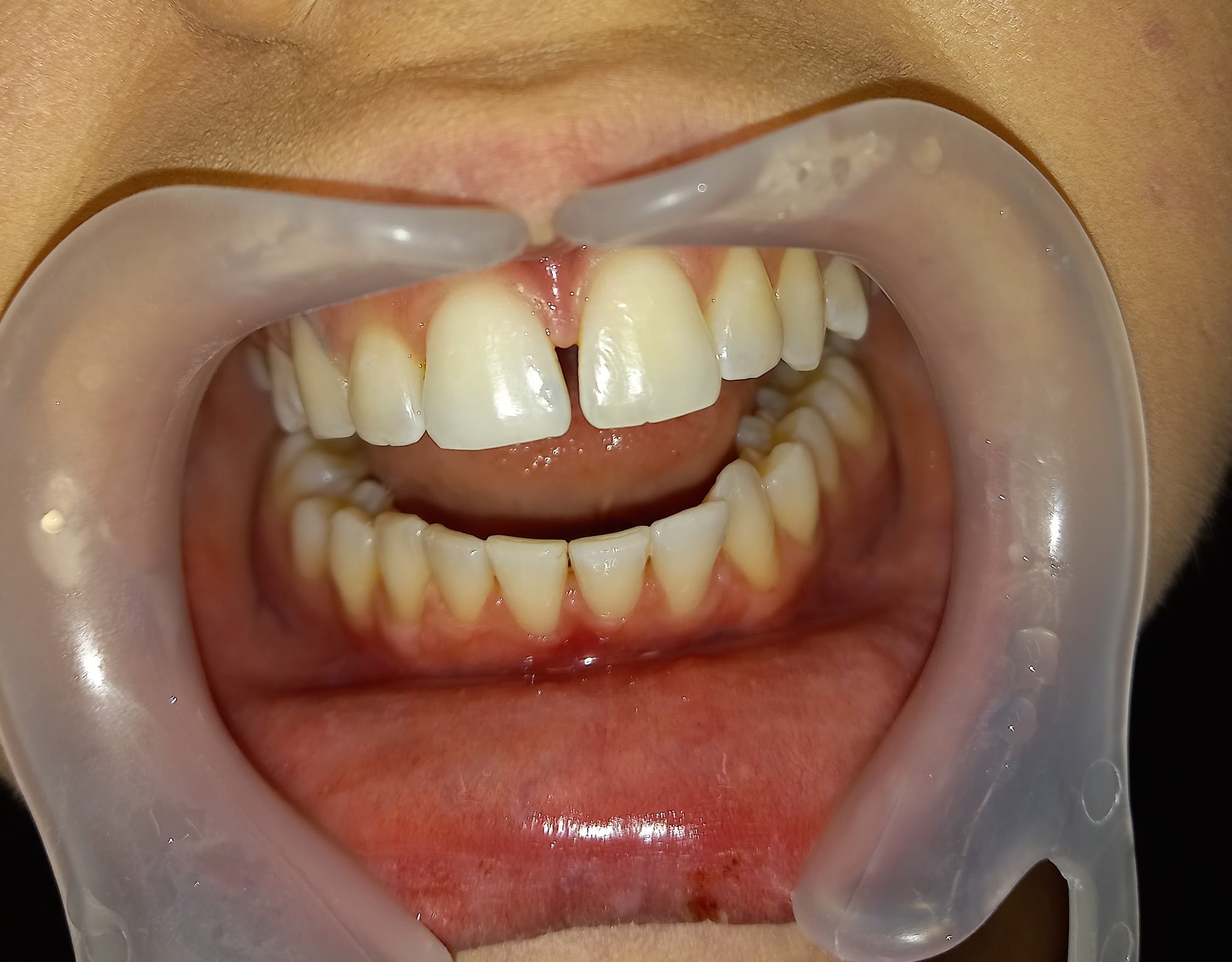
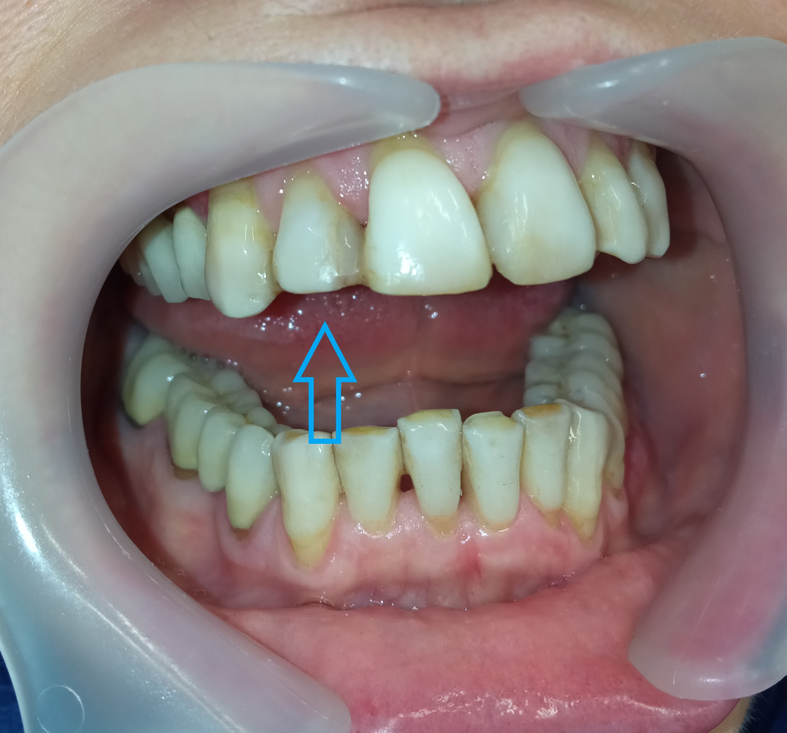
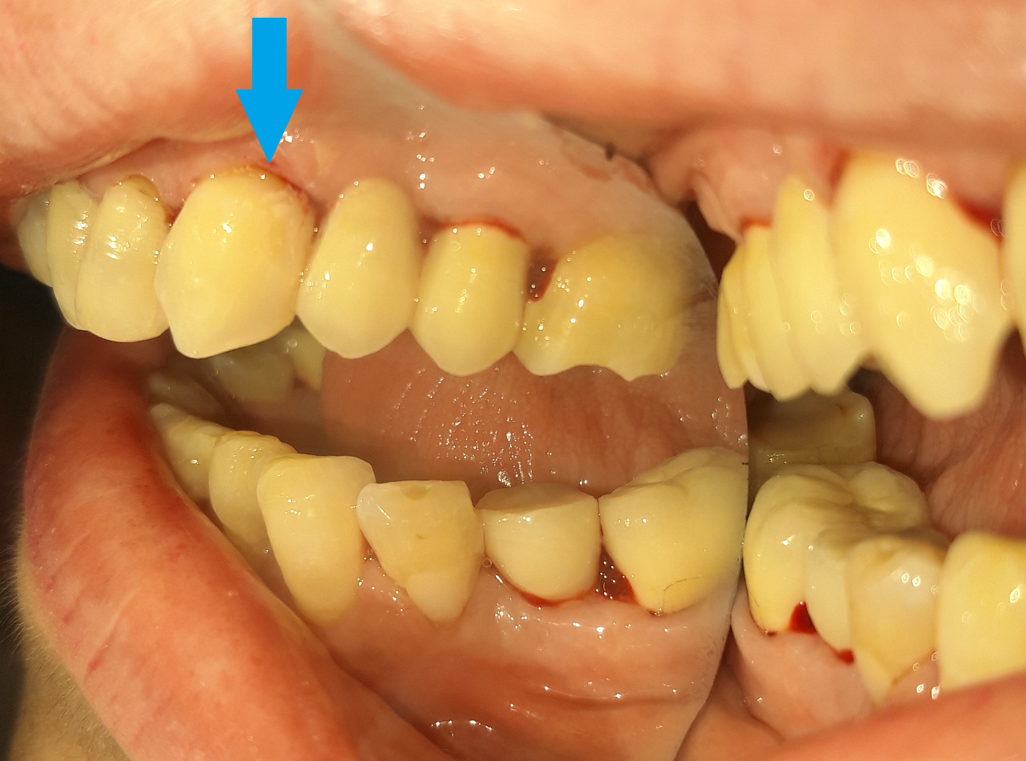
Περιστατικό -Σφράγισμα πρόσθιου δοντιού

ΠΡΙΝ

ΜΕΤΑ
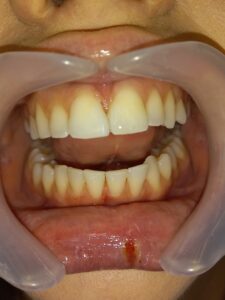
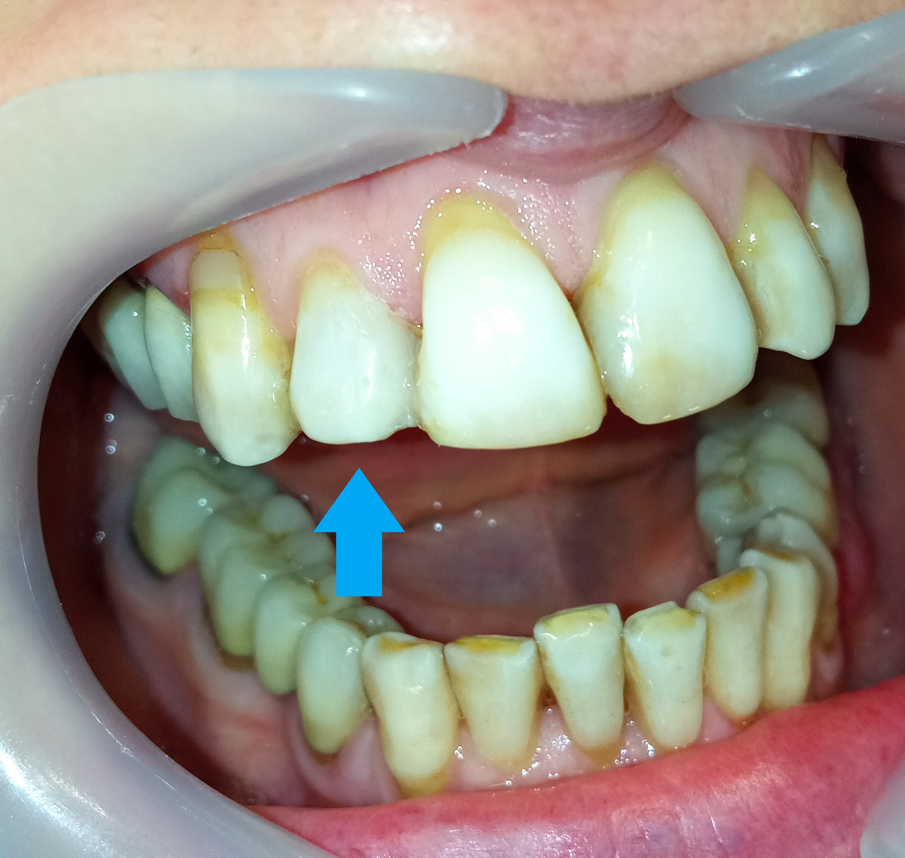
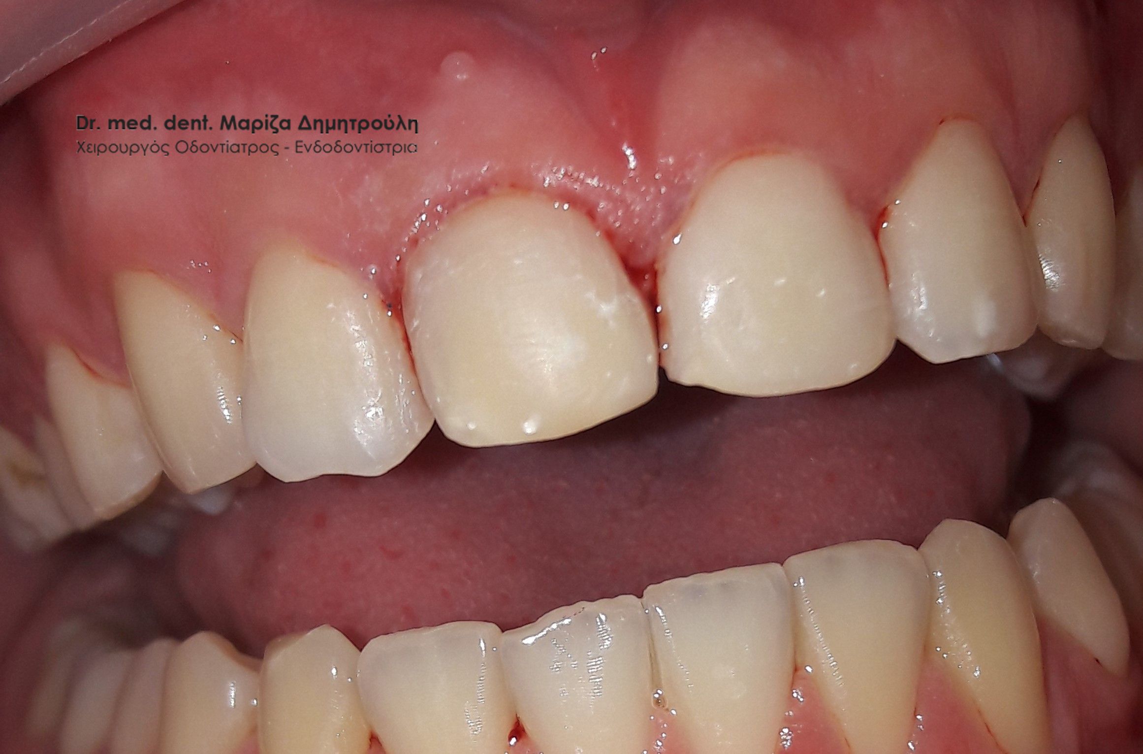
Περιστατικό -Σφράγισμα πρόσθιου δοντιού

ΠΡΙΝ

ΜΕΤΑ
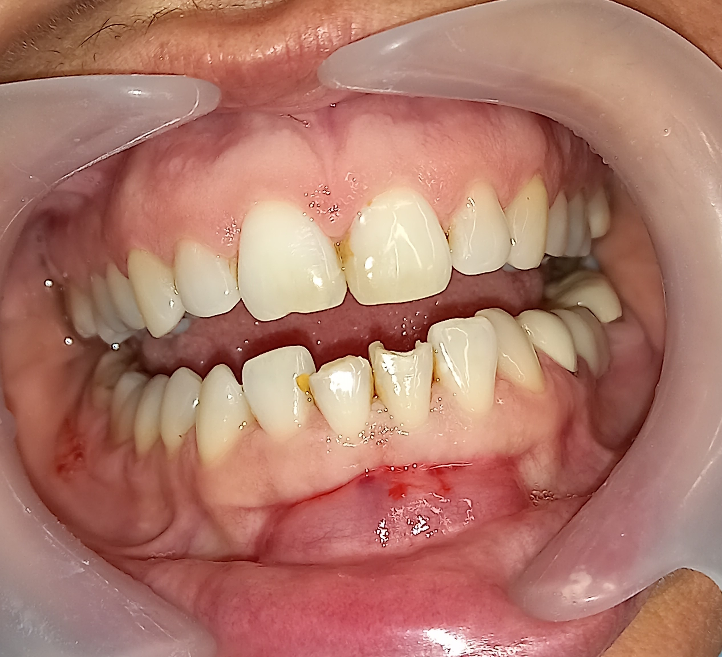
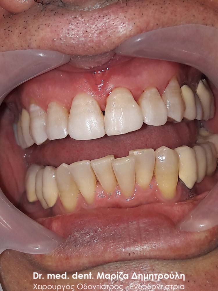
Περιστατικό -Λεύκανση και BONDING δοντιών
Η ασθενής επιθυμούσε την αισθητική βελτίωση του χαμόγελού της. Αρχικά πραγματοποιήθηκε λεύκανση δοντιών στην άνω όσο και στην κάτω γνάθο για 3 εβδομάδες Στη συνέχεια αλλάχθηκαν όλα τα παλιά πρόσθια σφραγίσματά της με BONDING δοντιών. Το αποτέλεσμα είναι εντυπωσιακό και η ασθενής είναι ικανοποιημένη τόσο με το αισθητικό όσο και με το λειτουργικό αποτέλεσμα του νέου φωτεινού και λευκού χαμόγελού της.

ΠΡΙΝ

ΜΕΤΑ
Περιστατικό -Λεύκανση δοντιών
Η ασθενής ενοχλούταν από το κιτρινωπό χρώμα των δοντιών της και πιο συγκεκριμένα των κάτω δοντιών. Πραγματοποιήθηκε λεύκανση τόσο στο σπίτι ( με τα ειδικά μασελάκια λεύκανσης ) όσο και στο ιατρείο. Τα αποτελέσματα είναι μόνο μετά από μία εβδομάδα εφαρμογής στο σπίτι και μία μόνο συνεδρία στο ιατρείο. Ήδη η ασθενής είναι πολύ ευχαριστημένη από το αισθητικό αποτέλεσμα.
Μετά την ολοκλήρωση της λεύκανσης ακολούθησε η αισθητική αποκατάσταση / “κλείσιμο” του χάσματος που είχε η ασθενής ανάμεσα στους δύο άνω κεντρικούς τομείς και την ενοχλούσε πολύ όλα τα τελευταία χρόνια (όπως ανέφερε η ίδια).
Η ασθενής είναι ενθουσιασμένη τόσο με το αποτέλεσμα της λεύκανσης όσο και με την “εξαφάνιση” του μεσοδιαστήματος ανάμεσα στους κεντρικούς τομείς.

ΠΡΙΝ

ΜΕΤΑ

ΜΕΤΑ
Περιστατικό -Λεύκανση δοντιών
Η ασθενής επιθυμούσε ένα πιο λαμπερό χαμόγελο, αλλά ήθελε να πραγματοποιήσει λεύκανση μόνο στο ιατρείο χωρίς να ακολουθήσει καθόλου τη διαδικασία λεύκανσης στο σπίτι με τα μασελάκια. Ήταν δεδομένο επομένως, οτι τα δόντια της θα “ανοίγαν” έναν τόνο, χωρίς όμως αυτή η διαφορά να είναι έντονα αισθητή. Πράγματι η ασθενής πραγματοποίησε μία συνεδρία λεύκανσης στο ιατρείο, με αποτέλεσμα τα δόντια της να φαίνονται πιο λαμπερά και λευκά, όπως επιθυμούσε. Αν η ασθενής ακολουθούσε παράλληλα στο σπίτι τη διαδικασία της λεύκανσης με τα μασελάκια, το αποτέλεσμα θα ήταν πολύ πιο έντονο.

ΠΡΙΝ

ΜΕΤΑ
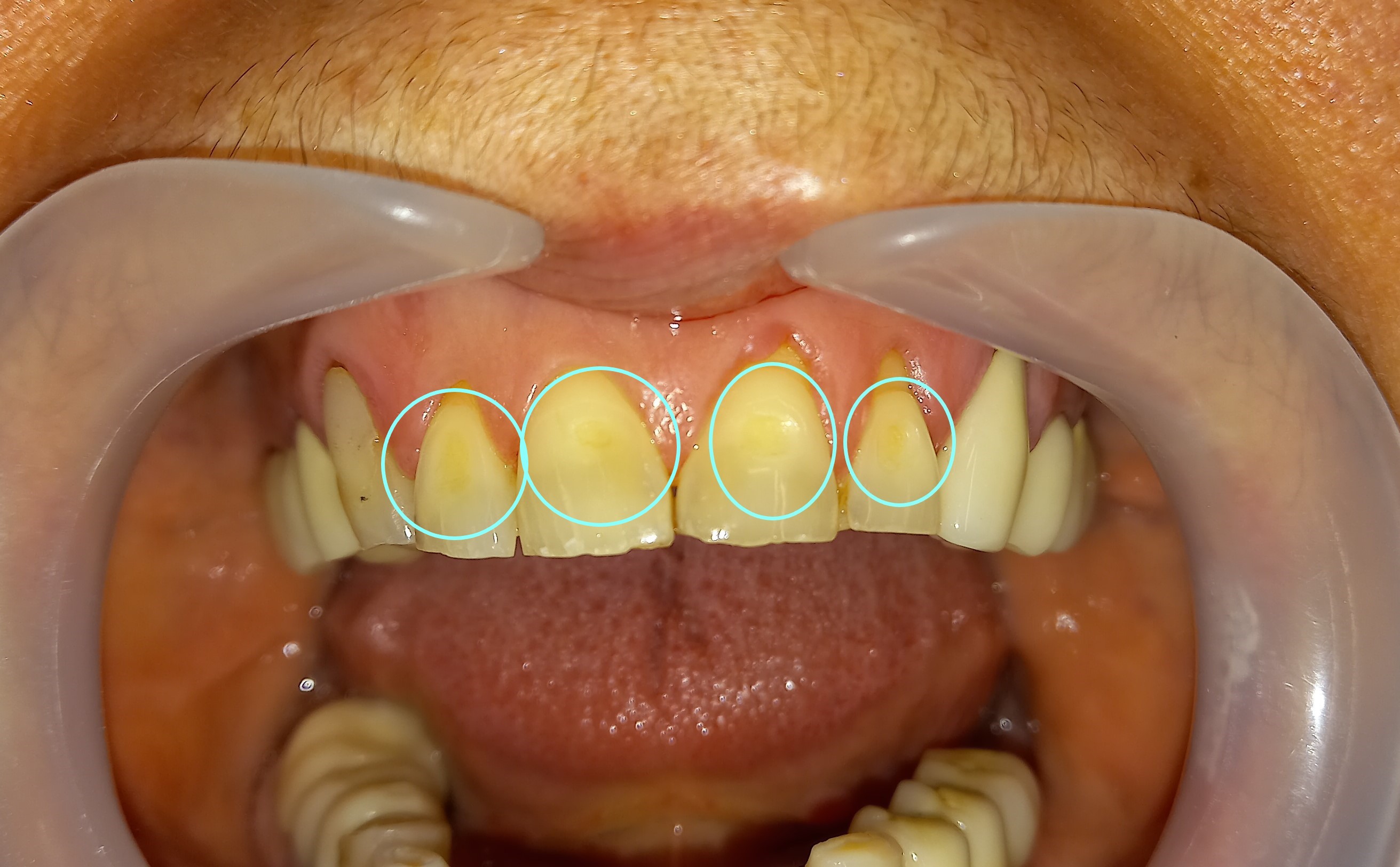
Περιστατικό -Αλλοιώσεις από έντονο βούρτσισμα δοντιών
Η ασθενής επισκέφτηκε το ιατρείο καθώς αναφέρει έναν πόνο / ενόχληση στα άνω πρόσθια δόντια, όταν πίνει νερό. Η κλινική εξέταση αποκάλυψε μέτριες αλλοιώσεις στην χειλική επιφάνεια των άνω πρόσθιων δοντιών. Μετά από συζήτηση με την ασθενή αποκαλύφθηκε οτι βουρτσίζει τα δόντια της δυνατά με σκληρή βούρτσα με σκοπό να τα καθαρίσει όσο το δυνατόν καλύτερα. Η συνήθεια της αυτή την οδήγησε με τα χρόνια στην τοπική φθορά του σμάλτου των δοντιών και επομένως στην εμφάνιση περιοδικού πόνου στις περιοχές αυτές. Είναι γεγονός οτι η χρήση σκληρής οδοντόβουρτσας αποτελεί μία παλιά οδοντιατρική άποψη, η οποία έχει καταρριφθεί. Στη σημερινή οδοντιατρική συστήνεται μαλακή οδοντόβουρτσα η οποία χρησιμοποιείται με αργές απαλές κινήσεις.
Οι αλλοιώσεις της αδαμαντίνης στο συγκεκριμένο περιστατικό αποκαταστάθηκαν με λευκά σφραγίσματα σύνθετης ρητίνης. Επίσης η ασθενής αντικατέστησε την οδοντόβουρτσα της με μία μαλακή οδοντόβουρτσα και άλλαξε τον τρόπο βουρτσίσματός ( ήπιες και αργές κινήσεις).

ΠΡΙΝ

ΜΕΤΑ
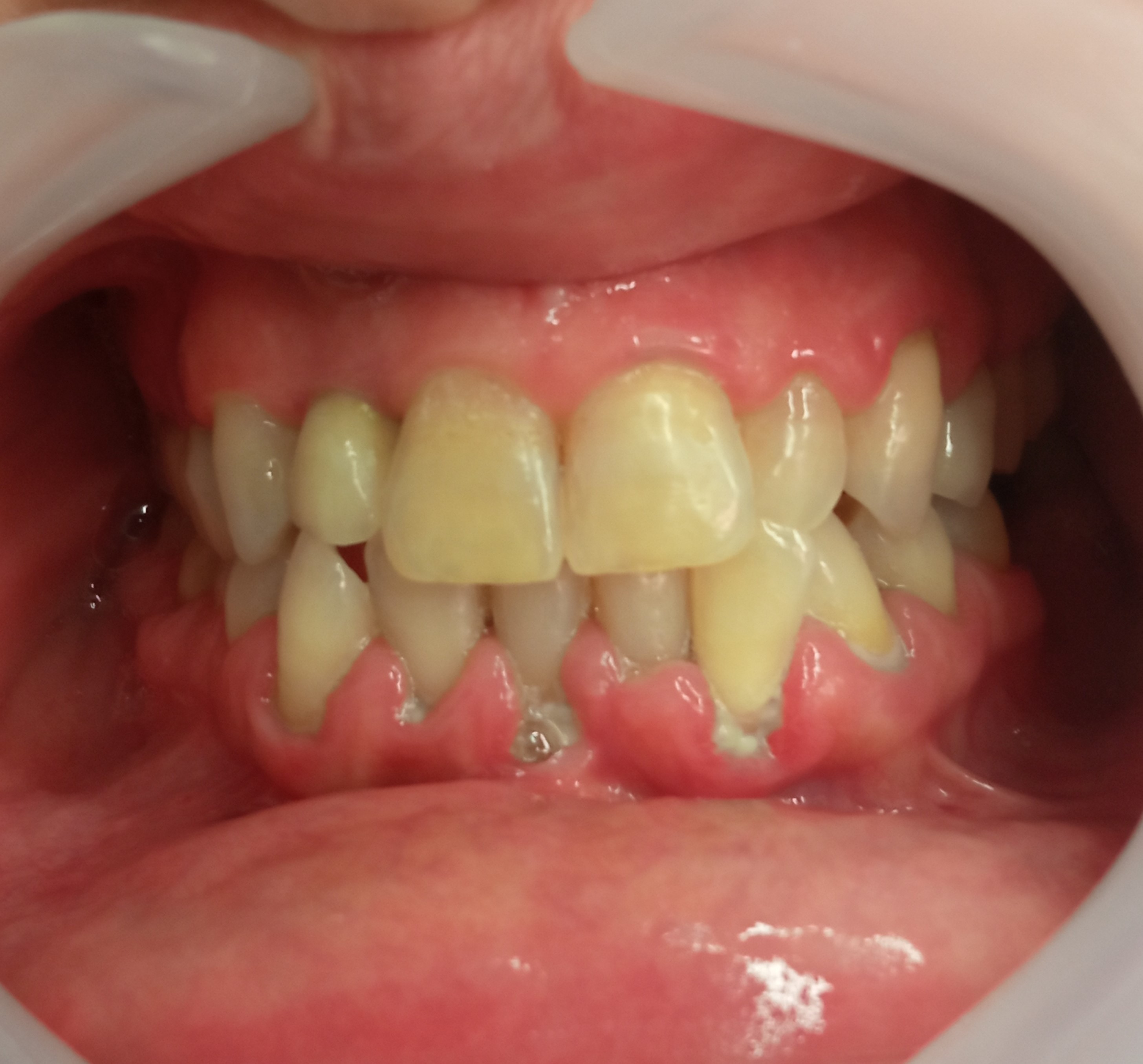
Περιστατικό -Λεύκανση δοντιών
Η ασθενής υπέφερε από ουλίτιδα. Μετά τη θεραπεία των ούλων επιθυμούσε την λεύκανση των δοντιών της.Η λεύκανση πραγματοποιήθηκε στο ιατρείο σε 2 συνεδρίες.

ΠΡΙΝ

ΜΕΤΑ την πρώτη συνεδρία λεύκασνης
την

ΜΕΤΑ τη δεύτερη συνεδρία λεύκανσης
Περιστατικό -Ολοκεραμικό πέταλλο στην άνω γνάθο και λεύκανση δοντιών στην κάτω γνάθο
Ο ασθενής πραγματοποίησε τη συνδυαστική μέθοδο λεύκανσης. Πιο συγκεκριμένα εφαρμόστηκε λεύκανση στο ιατρείο και ο ασθενής μετέπειτα συνέχιζε τη λεύκανση στο σπίτι με ειδικά εξατομικευμένα μασελάκια λεύκανσης. Τα μασελάκια κατασκευάστηκαν από τον οδοντοτεχνίτη μετά τη λήψη αποτυπωμάτων. Στον ασθενή δόθηκε ειδικό υλικό, το οποίο εφάρμοζε στα μασελάκια και τα φορούσε κάθε μέρα για συγκεκριμένο χρονικό διάστημα.
Στην άνω γνάθο πραγματοποιήθηκε ολική αποκατάσταση με ολοκερμαικό τόξο ζιρκονίου.

ΠΡΙΝ- Κάτω γνάθος

ΜΕΤΑ- Κάτω γνάθος

ΠΡΙΝ- Άνω γνάθος

ΠΡΙΝ- Άνω γνάθος

ΜΕΤΑ- Άνω γνάθος

ΜΕΤΑ- Άνω γνάθος
Περιστατικό -Λεύκανση δοντιών
Το αποτέλεσμα των εικόνων είναι μία μόνο εβδομάδα μετά την εφαρμογή του λευκαντικού υλικού στα δόντια. Η ασθενής προτίμησε τη λεύκανση στο σπίτι με μασελάκια, τα οποία κατασκευάστηκαν μετά από τη λήψη αποτυπωμάτων. Ο οδοντοτεχνίτης κατασκεύασε ειδικά μασελάκια για το στόμα της ασθενούς, τα οποία έχουν άριστη εφαρμογή στα δόντια της, ώστε να μην ξεχειλίζει υλικό στα ούλα της και ερεθίζονται κατ΄επέκταση τα ούλα της.

ΠΡΙΝ

ΜΕΤΑ
Περιστατικό -Λεύκανση δοντιών

ΠΡΙΝ

ΜΕΤΑ
Περιστατικό -Αισθητική άνω πρόσθιων δοντιών
Η ασθενής επιθυμούσε τη βελτίωση του χαμόγελού της καθώς με τον καιρό είχε γίνει πιο σκοτεινό. Στόχος της ήταν η αντικατάσταση δύο παλιών λευκών σφραγισμάτων στην άνω γνάθο, τα οποία είχαν επανατερηδονιστεί και την ενοχλούσαν τόσο αισθητικά όσο και λειτουργικά.
Η αποκατάσταση πραγματοποιήθηκε σε ένα ραντεβού και η ασθενής χαμογελά ξανά με το όμορφα λευκά δόντια της.

ΠΡΙΝ

ΜΕΤΑ

ΠΡΙΝ

ΜΕΤΑ
Περιστατικό -Αισθητική άνω και κάτω πρόσθιων δοντιών
Στόχος της ασθενούς ήταν η βελτίωση της εικόνας τόσο των άνω όσο και των κάτω πρόσθιων δοντιών. Στην άνω γνάθο ανανεώθηκαν τα παλιά λευκά σφραγίσματα στους δύο κεντρικούς τομείς. Επειδή η ασθενής τρίζει τα δόντια της οι δύο κεντρικοί τομείς της κάτω γνάθου είχαν σπάσει / “τριβεί”, επομένως και ανασυστάθηκαν με λευκές αποκαταστάσεις.
Η αποκατάσταση πραγματοποιήθηκε σε δύο ραντεβού.

ΠΡΙΝ

ΜΕΤΑ
Περιστατικό -Αισθητική ταινία υαλονημάτων
Ο ασθενής είχε έντονη κινητικότητα στα κάτω δύο πρόσθια δόντια γιατί τα ούλα ούλα του εμφανίζουν περιοδοντίτιδα.
Παλαιότερα τα δόντια με την κινητικότητα είχαν σταθεροποιηθεί από κάποιον άλλον οδοντίατρο με την τοποθέτηση ρητίνης γλωσσικά των δοντιών. Το αποτέλεσμα όμως δεν ήταν ικανοποιητικό για τον ασθενή, ο οποίος αναζήτησε κάποια καλύτερη λύση. Για το λόγο αυτό αποφασίστηκε τα δόντια του να ναρθηκοποιηθούν με αισθητική λευκή ταινία υαλονημάτων για ένα πιο σταθερό αποτέλεσμα κατά τη μάσηση.
Ο ασθενής είναι ευχαριστημένος με το αποτέλεσμα και όπως αναφέρει και ο ίδιος αισθάνεται τα δόντια του σταθερά και δυνατά συγκριτικά με παλαιότερα.

ΠΡΙΝ

ΜΕΤΑ

ΠΡΙΝ

ΜΕΤΑ
Περιστατικό – Αισθητική οδοντιατρική
Η ασθενής αποκατέστησε ένα μεγάλο έλλειμμα που είχε στον άνω αριστερό κυνόδοντα με αισθητικό σφράγισμα λευκής ρητίνης.

ΠΡΙΝ

ΠΡΙΝ
Περιστατικό – Αισθητική οδοντιατρική
Ο ασθενής αντικατέστησε όλα τα παλιά λευκά σφραγίσματα στην πρόσθια περιοχή της άνω γνάθου με νέα λευκά σφραγίσματα ρητίνης.

ΠΡΙΝ

ΠΡΙΝ

ΜΕΤΑ
Περιστατικό – Αισθητική οδοντιατρική
Ο νεαρός ασθενής επισκέφτηκε το ιατρείο με σκοπό την αποκατάσταση του πρόσθιου σπασμένου δοντιού. Όπως αναφέρει ο μαθητής έσπασε το δόντι του στην αυλή του σχολείου. Η ανασύσταση του δοντιού πραγματοποιήθηκε με λευκή ρητίνη σε μία συνεδρία χωρίς να χρειαστεί η χορήγηση τοπικής αναισθησίας.

ΠΡΙΝ

ΠΡΙΝ
Περιστατικό – Αισθητική οδοντιατρική
Η ασθενής επισκέφτηκε το ιατρείο καθώς επιθυμούσε την αισθητική αποκατάσταση του άνω πλάγιου τομέα, ο οποίος είχε απονευρωθεί πριν χρόνια. Η ασθενής αναφέρει οτι το δόντι σταδιακά άρχισε να αποχρωματίζεται μέχρι που απόκτησε το γκρι χρώμα που απεικονίζεται στην αρχική φωτογραφία.
Αποφασίστηκε να πραγματοποιηθεί εσωτερική λεύκανση στο απονευρωμένο δόντι. Σε χρονικό διάστημα λίγων ημερών το δόντι επανήλθε στο αρχικό του χρώμα.

ΠΡΙΝ

ΠΡΙΝ
Περιστατικό – Αισθητική οδοντιατρική
Στο συγκεκριμένο ασθενή έφυγε το σφράγισμα στο πρόσθιο δόντι του εν ώρα εργασίας. Η ανασύσταση του δοντιού πραγματοποιήθηκε με υλικό ρητίνης σε μία συνεδρία ανώδυνα και σύντομα.

ΠΡΙΝ

ΠΡΙΝ
Περιστατικό – Αισθητική οδοντιατρική
Η ασθενής είχε ξεκινήσει απονεύρωση σε άλλο ιατρείο και το δόντι την ταλαιπωρούσε τους τελευταίους 4-5 μήνες όπως αναφέρει. Μετά λοιπόν την ολοκλήρωση της απονεύρωσης σε 2 συνεδρίες και εφόσον το δόντι ήταν πλήρως ασυμπτωματικό προχωρήσαμε στην αποκατάσταση του δοντιού. Η ασθενής για οικονομικούς λόγους προτίμησε την ανασύσταση του δοντιού με το υλικό ρητίνης στο ιατρείο αντί της αποκατάστασης του δοντιού με θήκη. Το δόντι θα έπρεπε να καλυφθεί με θήκη ώστε να είναι πλήρως προστατευμένο από πιθανή μελλοντική θραύση, δεδομένου οτι το εναπομείναν τμήμα του δοντιού ήταν λίγο και οτι τα απονευρωμένα δόντια σπάνε πιο εύκολα. Παρόλα αυτά οι οικονομικές δυνατότητες της ασθενούς ήταν περιορισμένες και αποφασίστηκε η ανασύσταση του δοντιού με σύνθετη ρητίνη σε μία συνεδρία στο ιατρείο.
” Το δόντι μεταμορφώθηκε! Άλλο στόμα “, είπε η ασθενής χαρούμενη όταν είδε το αποτέλεσμα.

ΠΡΙΝ

ΠΡΙΝ

Εικόνα του δοντιού μετά την αφαίρεση της προσωρινής έμφραξης του δοντιού

Εικόνα του δοντιού μετά την αφαίρεση της προσωρινής έμφραξης του δοντιού

Τελική εικόνα του δοντιού

Τελική εικόνα του δοντιού
Περιστατικό – Αισθητική οδοντιατρική
Ο ασθενής επιθυμούσε την αλλαγή ενός παλιού λευκού σφραγίσματος στον δεξιό κεντρικό τομέα της άνω γνάθου τόσο για λόγους αισθητικής όσο και για λειτουργικούς λόγους, εφόσον το δόντι παρουσίαζε περιστασιακά ήπια συμπτώματα πόνου. Η αντικατάσταση του σφραγίμσατος πραγματοποιήθηκε με λευκό σφράγισμα ρητινής. Στις φωτογραφίες του τελικού αποτελέσματος φαίνεται έντονα η αισθητική διαφορά του νέου σφραγίσματος συγκριτικά με τα παλιά λευκά σφραγίσματα του ασθενή.

ΠΡΙΝ

META

ΠΡΙΝ

META
Περιστατικό – Αισθητική οδοντιατρική
Η ασθενής επισκέφτηκε το ιατρείο με σκοπό τη λεύκανση δοντιών. Η θεραπεία πραγματοποιήθηκε στο ιατρείο σε μία συνεδρία σε διάρκεια 1 ώρας.

ΠΡΙΝ

META
Περιστατικό – Αισθητική οδοντιατρική
Στη συγκεκριμένη ασθενή διορθώθηκε ο σπασμένος κεντρικός τομέας της με λευκό σφράγισμα ρητίνης.

ΠΡΙΝ

META
Περιστατικό – Αισθητική οδοντιατρική
Η ασθενής επιθυμούσε την αποκατάσταση του άνω πρόσθιου δοντιού. Η θεραπεία πραγματοποιήθηκε σε μία συνεδρία με την ανασύσταση του δοντιού με λευκή σύνθετη ρητίνη.

ΠΡΙΝ

META
Περιστατικό – Αισθητική οδοντιατρική
Ο ασθενής είχε την επιθυμία να διορθώσει τα πρόσθια δόντια του στην άνω γνάθο, γιατί τον ενοχλούσαν αισθητικά. Μετά από συνεννόηση μαζί του τροποποιήθηκε το σχήμα των δοντιών όπως αυτός το επιθυμούσε ακολουθώντας τον ελάχιστο εκτροχισμό τους και την απόδοση νέου σχήματος με υλικό σύνθετης ρητίνης. Τα ούλα στη φωτογραφία φαίνονται ερεθισμένα γιατί η λήψη έγινε αμέσως μετά το τέλος της οδοντιατρικής εργασίας. Αυτός ο ερεθισμός είναι προσωρινός και υποχωρεί μετά από κάποιες ώρες.

ΠΡΙΝ

META
Περιστατικό – Αισθητική οδοντιατρική
Ο ασθενής επιθυμούσε να διορθώσει αισθητικά τα 6 άνω πρόσθια δόντια, τα οποία είχαν θεραπευτεί στο παρελθόν με λευκά σφραγίσματα ρητίνης. Τα παλιά σφραγίσματα, όπως φαίνεται στις εικόνες επανατερηδονίστηκαν μετά από χρόνια και ήταν απαραίτητη η ανανέωση τους. Οι παλιές λευκές εμφράξεις αφαιρέθηκαν στη συνέχεια απομακρύνθηκε η τερηδόνα και η ολοκληρώθηκε η ανασύσταση των δοντιών.

ΠΡΙΝ – Πρόσθια όψη των δοντιών

ΠΡΙΝ – Υπερώια όψη των δοντιών

ΜΕΤΑ – Πρόσθια όψη των δοντιών

ΜΕΤΑ – Υπερώια όψη των δοντιών
Περιστατικό – Αισθητική οδοντιατρική
Η ασθενής προσήλθε στο ιατρείο με σκοπό να διορθώσει για αισθητικούς λόγους τα πρόσθια δόντια στην άνω γνάθο. Αρχικά αφαιρέθηκαν τα παλιά λευκά σφραγίσματα και απομακρύνθηκαν οι τερηδονισμένοι οδοντικοί ιστοί. Στη συνέχεια τα δόντια αποκαταστάθηκαν με νέα λευκά σφραγίσματα σύνθετης ρητίνη. Στα δόντια που επιθυμούσε η ασθενής τροποποιήθηκε το σχήμα τους με τον ειδικά εργαλεία λείανσης.

ΠΡΙΝ

META
Περιστατικό – Αισθητική οδοντιατρική
Ο ασθενής επιθυμούσε την αλλαγή του χαμόγελού του, καθώς οι δύο κεντρικοί τομείς του είχαν παλιά λευκά σφραγίσματα που είχαν σπάσει και επανατερηδονιστεί. Μετά τη χορήγηση τοπικής αναισθησίας, αφαιρέθηκαν τα παλιά λευκά σφραγίσματα των δοντιών, καθαρίστηκε η τερηδόνα και πραγματοποιήθηκαν νέες λευκές αποκαταστάσεις.
Η αλλαγή στο χαμόγελο του ασθενή ήταν εμφανής, σύμφωνα με τα λεγόμενα του ασθενή δεδομένου οτι οι γνωστοί του παρατήρησαν αμέσως την καλαίσθητη διαφορά.

ΠΡΙΝ

META

META
Περιστατικό – Αισθητική οδοντιατρική
Ο ασθενής “έχασε” το παλιό σφράγισμα που υπήρχε στο άνω δεξιό πλάγιο τομέα την ώρα της εργασίας του. Η ανασύσταση του δοντιού πραγματοποιήθηκε με λευκό σφράγισμα σύνθετης ρητίνης.

ΠΡΙΝ

META
Περιστατικό – Αισθητική οδοντιατρική
Η ασθενής επισκέφτηκε το ιατρείο ως επείγον περιστατικό, καθώς ξαφνικά “έπεσε” το παλιό σφράγισμα ρητίνης που είχε στον άνω δεξιό κεντρικό τομέα. Η αποκατάσταση πραγματοποιήθηκε με νέο λευκό σφράγισμα σύνθετης ρητίνης.

ΠΡΙΝ

META
Περιστατικό – Αισθητική οδοντιατρική
Ο ασθενής επιθυμούσε την αποκατάσταση των πρόσθιων παλιών λευκών σφραγισμάτων τόσο για λειτουργικούς (τα δόντια είχαν επανατερηδονιστεί) όσο και για αισθητικούς λόγους. Η θεραπεία ξεκίνησε με την αντικατάσταση του παλιού λευκού σφραγίσματος στον άνω δεξιό δεύτερο πλάγιο τομέα.

ΠΡΙΝ

META
Περιστατικό – Αισθητική οδοντιατρική

ΠΡΙΝ

META
Περιστατικό – Αισθητική οδοντιατρική
Η ασθενής επιθυμούσε την αντικατάσταση του παλιού μεταλλικού πετάλου στην υπερώια επιφάνεια των άνω πρόσθιων δοντιών, το οποίο είχε τοποθετηθεί πριν πολλά χρόνια για τη ναρθηκοποίηση των δοντιών μετά από το πέρας ορθοδοντικής θεραπείας.
Το μεταλλικό αυτό πέταλο την ενοχλούσε τόσο αισθητικά όσο επίσης οτι είχε την άσχημη γεύση του μετάλλου κάθε φορά που η γλώσσα ερχόταν σε επαφή με το πέταλο.
Μετά την αφαίρεση του μεταλλικού πετάλου πραγματοποιήθηκε η ναρθηκοποίηση των δοντιών με τη χρήση ταινίας υαλονημάτων και λευκής ρητίνης.
Η ασθενής είναι ευχαριστημένη τόσο αισθητικά όσο και λειτουργικά, καθώς όπως ανέφερε: “Αισθάνομαι σαν να μην έχω τίποτα!”.

Αρχική εικόνα του μεταλλικού πετάλου

Τελική εικόνα της ταινίας υαλονημάτων

