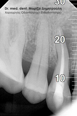
Περιστατικό – Ολοκεραμικό ένθετο ζιρκονίου στον άνω αριστερό προγόμφιο
Η ασθενής είχε ένα παλιό σπασμένο σφράγισμα ρητίνης το οποίο έχριζε ανάγκη αντικατάστασης. Μετά την αφαίρεση του παλιού σφραγίσματος και την απομάκρυνση της τερηδόνας διαπιστώθηκε οτι τα μικρόβια είχαν φτάσει και είχαν προσβάλλει το νεύρο του δοντιού. Επομένως το δόντι θα έπρεπε να απονευρωθεί και στη συνέχεια να αποκατασταθεί προσθετικά. Δεδομένου οτι το οδοντικό έλλειμμα ήταν μεγάλο σε συνδυασμό με το γεγονός οτι το δόντι ήταν πλέον απονευρωμένο αποφασίστηκε η προστασία του δοντιού με ολοκεραμικό ένθετο.
Η ασθενής όπως αναφέρει αισθάνεται το δόντι της σαν καινούριο.

Αρχική κλινική εικόνα του παλιού σπασμένου σφραγίσματος

Εικόνα του δοντιού πριν τη λήψη αποτυπώματος

Τελική κλινική εικόνα του ολοκεραμικού ένθετου στον προγόμφιο

Τελική κλινική εικόνα του ολοκεραμικού ένθετου στον προγόμφιο
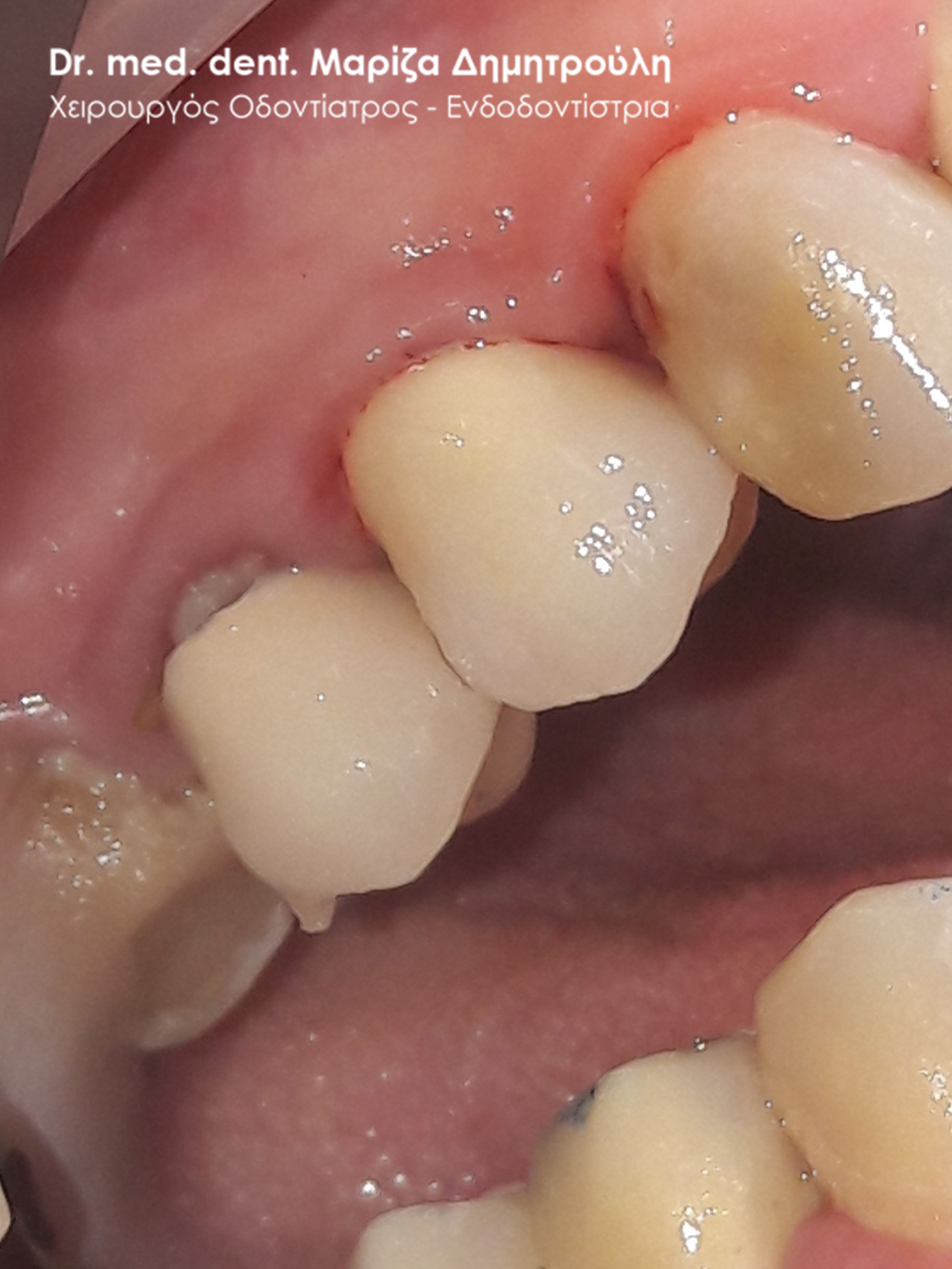
Περιστατικό – Ολοκεραμικό επένθετο ζιρκονίου στον άνω αριστερό γομφίο
Στη συγκεκριμένη ασθενή πραγματοποιήθηκε απονεύρωση δοντιού. Το οδοντικό έλλειμμα ήταν μεγάλο, οπότε το δόντι μετά την απονεύρωση έπρεπε να αποκατασταθεί είτε με θήκη δοντιού είτε με ολοκεραμικό ένθετο. Τελικά αποφασίστηκε η αποκατάσταση με ένθετο δοντιού, γιατί χρειάστηκε να θυσιαστεί λιγότερη οδοντική ουσία. Η ασθενής είναι ευχαριστημένη τόσο με τη λειτουργικότητα όσο και με το αισθητικό αποτέλεσμα.

Αρχική κλινική εικόνα του μεγάλου οδοντικού ελλείμματος

Τελική κλινική εικόνα του ολοκεραμικού επένθετου στο γομφίο

Τελική κλινική εικόνα του ολοκεραμικού επένθετου στο γομφίο
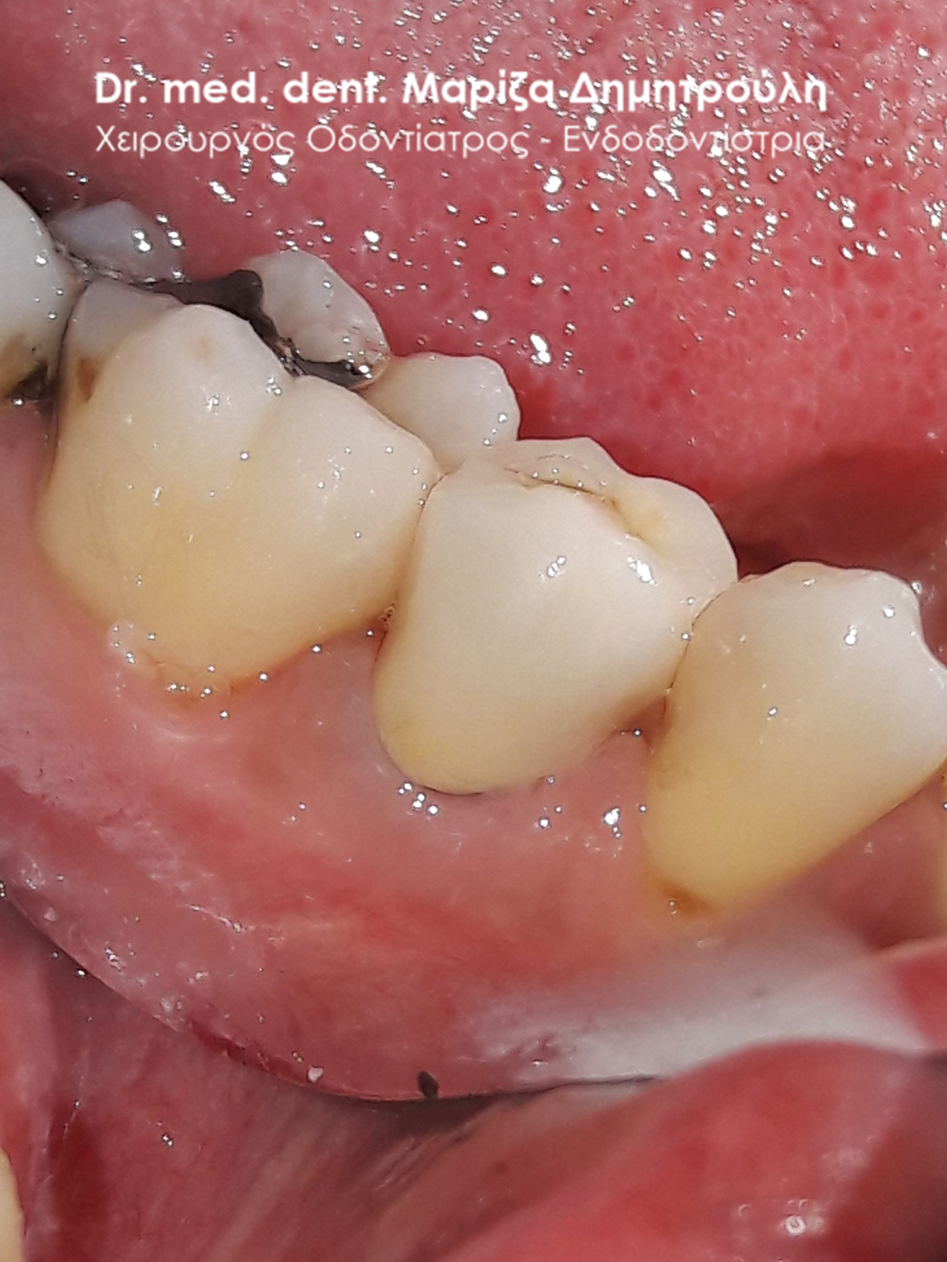
Περιστατικό – Ολοκεραμικό επένθετο ζιρκονίου στον άνω αριστερό γομφίο
Ο πρώτος γομφίος στην αριστερή πλευρά της άνω γνάθου είχε ένα παλιό επνανατερηδονισμένο λευκό σφράγισμα. Αποφασίστηκε η αφαίρεση του παλιού σφραγίσματος και η αποκατάσταση του δοντιού με ολοκεραμικό ένθετο. Επειδή από το δόντι απουσίαζε μεγάλο μέρος οδοντικών ιστών η λύση επιλογής ήταν η τοποθέτηση ολοκεραμικού ένθετου, γιατί έχει μεγαλύτερη αντοχή στις μασητικές δυνάμεις και επομένως έχει μεγαλύτερη ανθεκτικότητα έναντι των θραύσεων στο πέρασμα των χρόνων.
Ο ασθενής αισθάνεται το δόντι του πολύ σταθερό και γερό.

Αρχική εικόνα του παλιού μεγάλου σφραγίσματος

Κλινική εικόνα του μεγάλου οδοντικού ελλείμματος μετά την αφαίρεση του παλιού σφραγίσματος

Το ολοκεραμικό ένθετου στο εκμαγείο από τον οδοντοτεχνίτη

Τελική κλινική εικόνα του ολοκεραμικού επένθετου στο γομφίο
Περιστατικό – Ολοκεραμικές θήκες / στεφάνες δοντιών στα έξι πρόσθια δόντια της άνω γνάθου

ΠΡΙΝ

ΜΕΤΑ
Περιστατικό – Ολοκεραμικές θήκες / στεφάνες δοντιών με πρόβολο (κρεμαστό) στην κάτω γνάθο
Η ασθενής έχασε το δεύτερο αριστερό γομφίο της κάτω γνάθου. Δεν επιθυμούσε να τοποθετήσει εμφύτευμα στην περιοχή, γιατί φοβόταν τη χειρουργική διαδικασία. Σε συνεργασία με τον οδοντοτεχνίτη αποφασίστηκε η κατασκευή μιας ολοκεραμικής θήκης, η οποία θα είχε ένα επιπλέον γομφίο “κρεμαστό” . Η συγκεκριμένη προσθετική αποκατάσταση αποτέλεσε μία εναλλακτική λύση θεραπείας στο πρόβλημα της ασθενούς, προκειμένου να αποφύγει τη χειρουργική διαδικασία του εμφυτεύματος.

ΠΡΙΝ

ΜΕΤΑ
Περιστατικό – Ολοκεραμική γέφυρα ζιρκονίου στην άνω γνάθου
Ο ασθενής είχε πάρα πολλά χρόνια να επισκεφτεί τον οδοντίατρο. Πρόκειται για ένα απαιτητικό περιστατικό, κατά το οποίο ο ασθενής ήταν πολύ συνεργάσιμος καθώς ήθελε να αποκτήσει ένα όμορφο και λαμπερό χαμόγελο. Αρχικά εξάχθηκαν όσα δόντια δεν μπορούσαν να διατηρηθούν πλέον στο στόμα του ασθενή. Στη συνέχεια απονευρώθηκαν τα περισσότερα δόντια και ακολούθησαν ανασυστάσεις όλων των δοντιών. Εφόσον είχε αποκατασταθεί η φλεγμονή των ούλων λήφθηκαν αποτυπώματα και στάλθηκαν στον οδοντοτεχνίτη ο οποίος κατασκεύασε ολοκεραμικές θήκες, οι οποίες ήταν ενωμένες μεταξύ τους (ολοκεραμικό πέταλλο). Ο ασθενής φορούσε προσωρινή γέφυρα στο μεσοδιάστημα που χρειάστηκε ο οδοντοτεχνίτης να κατασκευάσει τη μόνιμη προσθετική εργασία.
Ο ασθενής είναι πολύ χαρούμενος με το λειτουργικό και αισθητικό του αποτέλεσμα. Πρέπει να αναφερθεί οτι όσο καιρό ο ασθενής δεν είχε δόντια δυσκολευόταν πολύ στην άρθρωση του λόγου.

ΠΡΙΝ

Ενδιάμεση κατάσταση αφού ολοκληρώθηκαν οι ανασυστάσεις δοντιών

Ολοκεραμικό πέταλο ζιρκονίου

ΠΡΙΝ

ΜΕΤΑ

ΜΕΤΑ
Περιστατικό – Ολοκεραμικές θήκες ζιρκονίου στην άνω γνάθο
Η ασθενής επιθυμούσε οπωσδήποτε να διορθώσει το χαμόγελό της, το οποίο χρόνια την δυσαρεστούσε καθώς το ένα δόντι ήταν στραβό και το άλλο πολύ μικρό. Αποφάσιστηκε η διόρθωση του χαμόγελου με ολοκεραμικές θήκες ζιρκονίου. Το τελικό αποτέλεσμα είναι εκπληκτικό, καθώς η ασθενής επιθυμούσε οι θήκες της να μην ξεχωρίζουν καθόλου από τα φυσικά της δόντια όταν γελά, γεγονός που επιβεβαιώθηκε. Μετά τη σωστή χρωματοληψία και την άρτια συνεργασία με τον οδοντοτεχνίτη η ασθενής έχει μία νέα προσθετική δουλειά στο στόμα της που είναι πολύ όμορφη αισθητικά.

ΠΡΙΝ

Προσωρινή αποκατάσταση των δοντιών με θήκες που κατασκευάστηκαν στο ιατρείο

ΜΕΤΑ
Περιστατικό – Ολοκεραμική γέφυρα ζιρκονίου στην κάτω γνάθο
Ο ασθενής είχε για χρόνια μία πρόσθια νωδότητα στην κάτω γνάθο, την οποία αποφάσισε να αντικαταστήσει με προσθετική εργασία γιατί δεν αγαπούσε τα εμφυτεύματα. Μετά τις απαραίτητες εργασίες λήφθηκαν αποτυπώματα και κατασκευάστηκε ολοκεραμική γέφυρα, η οποία κάλυψε άριστα τόσο λειτουργικά όσο και αισθητικά το προϋπάρχον κενό.
Ο ασθενής είναι πολύ χαρούμενος με τα νέα του δόντια.

ΠΡΙΝ

ΜΕΤΑ

ΜΕΤΑ
Περιστατικό – Ολοκεραμική γέφυρα ζιρκονίου στη δεξιά πλευρά της άνω γνάθου
Η ασθενής είχε μία παλιά μεταλλοκεραμική γέφυρα, η οποία με την πάροδο του χρόνου τερηδονίστηκε και έπρεπε να αντικατασταθεί με νέα (απουσιάζει η φωτογραφία της αρχικής εικόνας). Εφόσον αφαιρέθηκε η παλιά γέφυρα πραγματοποιήθηκαν όλες οι απαραίτητες οδοντιατρικές εργασίες (απονεύρωση δοντιού, ανασύσταση / σφράγισμα οντιού) όπου ήταν απαραίτητο,προκειμένου να κατασκευαστεί νέα ολοκεραμική γέφυρα ζιρκονίου.
Στο μεσοδιάστημα που μεσολάβησε ώστε ο οδοντοτεχνίτης να κατασκευάσει τη νέα γέφυρα δοντιών, τα τροχισμένα δόντια ήταν προστατευμένα με προσωρινή γέφυραή στεφάνη.
Η νέα γέφυρα είχε ένα πολύ καλό αισθητικό και λειτουργικό αποτέλεσμα.

ΠΡΙΝ

ΜΕΤΑ
Περιστατικό – Ολοκεραμικές θήκες ζιρκονίου στην αριστερή πλευρά της άνω γνάθου
Ο ασθενής είχε δύο παλιές μεταλλοκεραμικές θήκες, οι οποίες με την πάροδο του χρόνου τερηδονίστηκαν, φθάρθηκαν (είχε φθαρεί η κεραμική κάλυψη των θηκών) και έπρεπε να αντικατασταθούν με νέες (απουσιάζει η φωτογραφία της αρχικής εικόνας). Εφόσον αφαιρέθηκαν οι παλιές θήκες πραγματοποιήθηκαν όλες οι απαραίτητες οδοντιατρικές εργασίες (απονεύρωσεις δοντιών, ανασύστασεις / σφραγίσματα δοντιών) όπου ήταν απαραίτητο, προκειμένου να κατασκευαστούν νέες ολοκεραμικές θήκες ζιρκονίου.
Στο μεσοδιάστημα που μεσολάβησε ώστε ο οδοντοτεχνίτης να κατασκευάσει τις νέες θήκες δοντιών, τα τροχισμένα δόντια ήταν προστατευμένα με προσωρινές στεφάνες.
Η νέα γέφυρα είχε ένα πολύ καλό αισθητικό και λειτουργικό αποτέλεσμα.

Αρχική εικόνα των δοντιών μετά την αφαίρεση της παλιάς γέφυρας

Τα δόντια μετά τις απαραίτητες απονευρώσεις και τις ανασυστάσεις

ΤΕΛΙΚΗ ΕΙΚΟΝΑ
Περιστατικό – Ολοκεραμική θήκη ζιρκονίου στην αριστερή πλευρά της κάτω γνάθου
Η ασθενής είχε ένα απονευρωμένο δόντι, το οποίο της είχε προταθεί να προστατευτεί με θήκη προτού σπάσει. Η ασθενής αμέλησε τις οδηγίες του οδοντιάτρου με αποτέλεσμα το δόντι να σπάσει μετά από 6 μήνες. Παρόλα αυτά υπήρχε ακόμη η δυνατότητα διατήρησης του δοντιού στο στόμα, εφόσον βέβαια αυτό καλυπτόταν με ολοκεραμική θήκη. Αρχικά το δόντι ανασυστάθηκε με άξονα υαλονημάτων, λήφθηκαν αποτυπώματα και ο οδοντοτεχνίτης κατασκεύασε ολοκεραμική θήκη ζιρκονίου.
“Τελευταία στιγμή” η ασθενής έσωσε το δόντι. Αν είχε ακολουθήσει τις οδηγίες του οδοντιάτρου θα είχε αποτραπεί το σπάσιμο του δοντιού.

ΠΡΙΝ

ΠΡΙΝ

Ενδιάμεση κατάσταση μετά την ανασύσταση του δοντιού με άξονα υαλονημάτων

ΜΕΤΑ
Περιστατικό – Ολοκεραμική θήκη ζιρκονίου στη δεξιά πλευρά της άνω γνάθου
Στο συγκεκριμένο περιστατικό κατασκευάστηκε στην ασθενή μία ολοκεραμική θήκη ζιρκονίου στον δεξιό προγόμφιο της άνω γνάθου, καθώς το οδοντικό έλλειμα ήταν μεγάλο και δεν μπορούσε να ανασυσταθεί με απλό σφράγισμα ρητίνης.


Περιστατικό – Ολοκεραμική θήκη ζιρκονίου στον αριστερο γομφίο της κάτω γνάθου
Ο πρώτος γόμφιος στην αριστερή πλευρά της κάτω γνάθου είχε απονευρωθεί στο παρελθόν. Ο ασθενής δεν θέλησε να καλύψει το δόντι με θήκη, ώστε να είναι πλήρως προστατευμένο με αποτέλεσμα το δόντι να σπάσει (όπως φαίνεται στην αρχική εικόνα). Η λύση θεραπείας ήταν η κατασκευή στεφάνης δοντιού, αφού προηγουμένως το δόντι τροχίστηκε καταλλήλως και ο οδοντοτεχνίτης κατασκεύασε την ολοκεραμική θήκη ζιρκονίου.
Το δόντι είναι πλέον πλήρως προστατευμένο και μπορεί να αντέξει στο πέρασμα των χρόνων.

ΠΡΙΝ

ΜΕΤΑ
Περιστατικό – Προσωρινή γέφυρα στη δεξιά πλευρά της άνω γνάθου
Στην ασθενή κατασκευάστηκε προσωρινή γέφυρα στη δεξιά πλευρά της άνω γνάθου για όσο χρονικό διάστημα ο οδοντοτεχνίτης θα κατασκεύαζε τη μόνιμη ολοκεραμική γέφυρα ζιρκονίου.

Περιστατικό – Προσωρινή αποκατάσταση στον άνω αριστερό προγόμφιο
Στην ασθενή ο δεύτερος άνω προγόμφιος τροχίστηκε για να υποδεχθεί ολοκεραμική στεφάνη. Κατόπιν το δόντι καλύφθηκε με προσωρινή θήκη μέχρι ο οδοντοτεχνίτης να ολοκληρώσει την εργασία του. Η συγκεκριμένη προσωρινή εργασία ήταν καλαίσθητη και ελάχιστα ξεχωρίζει κανείς οτι πρόκειται για προσωρινή αποκατάσταση.
Σε γενικές γραμμές στο μεσοδιάστημα που μεσολαβεί ώστε ο οδοντοτεχνίτης να κατασκευάσει μία θήκη, τα τροχισμένα δόντια πρέπει να προστατεύονται με προσωρινή στεφάνη. Ένα τροχισμένο δόντι είναι πολύ ευαίσθητο στο κρύο νερό και στη μάσηση σκληρών τροφών. Επομένως η κάλυψη του δοντιού με προσωρινή στεφάνη αφενός προστατεύει τον ασθενή από πόνο σε διάφορα εξωτερικά ερεθίσματα και αφετέρου προφυλάσσει το δόντι από πιθανό σπάσιμο.

Περιστατικό – Ολοκεραμική στεφάνες / θήκες ζιρκονίου στα 6 άνω πρόσθια δόντια
Ο ασθενής δεν είναι ευχαριστημένος με την αισθητική των 6 άνω πρόσθιων δοντιών. Επιπρόσθετα αυτά τα δόντια είχαν παλιές μεγάλες ανασυστάσεις, οι οποίες είχαν επανατερηδονιστεί. Για όλους τους ανωτέρους λόγους αποφασίστηκε, μετά από την απαραίτητη συζήτηση με τον ασθενή η αποκατάσταση των δοντιών με ολοκεραμικές θήκες. Τα δόντια τροχίστηκαν, αντικαταστάθηκαν οι παλιές εμφράξεις των δοντιών και στη συνέχεια λήφθηκαν αποτυπώματα, τα οποία στάλθηκαν στον οδοντοτεχνίτη. Σε όλη τη διάρκεια, που ο οδοντοτεχνίτης κατασκεύαζε τις νέες προσθετικές αποκαταστάσεις ο ασθενής φορούσε προσωρινές θήκες, οι οποίες είχαν ικανοποιητική αισθητική εμφάνιση.
Είναι σημαντικό να τονιστεί οτι ο ασθενής επιθυμούσε οι θήκες των 6 άνω πρόσθιων δοντιών να είναι αισθητά λευκές, παρόλο που διέφεραν χρωματικά από τα υπόλοιπα δόντια.
Ο ασθενής είναι ευχαριστημένος τόσο με την αισθητική όσο και με τη λειτουργία των νέων προσθετικών αποκαταστάσεων.

Αρχική κλινική εικόνα των 6 άνω πρόσθιων δοντιών

Προσωρινή αποκατάσταση των 6 άνω πρόσθιων δοντιών

Τελική κλινική εικόνα των 6 άνω πρόσθιων δοντιών

Τελική κλινική εικόνα των 6 άνω πρόσθιων δοντιών
Περιστατικό – Ολοκεραμική στεφάνες / θήκες ζιρκονίου σε υπόλειμμα ρίζας προγομφίου
Η ασθενής είχε μια παλιά μεταλλοκεραμική θήκη στον άνω δεξιό προγόμφιο, η οποία δεν της άρεσε αισθητικώς. Αρχικώς αφαιρέθηκε η παλιά στεφάνη και ο μεταλλικός χυτός άξονας και στη συνέχεια πραγματοποιήθηκε επανάληψη απονεύρωσης και τοποθετήθηκε λευκός άξονας υαλονημάτων. Ακολούθως το δόντι όπως και ο παρακείμενος γομφίος τροχίστηκαν και λήφθηκαν αποτυπώματα. Οι δύο ολοκεραμικές θήκες συγκολλήθηκαν στα δόντια. Ο γομφίος συμπεριλήφθηκε στην προσθετική δουλειά γιατί ο προγόμφιος είχε μόνο ένα υπόλειμμα ρίζας και καθόλου μύλη δοντιού. Με το συγκεκριμένο σχέδιο θεραπείας οι στεφάνες θα είναι πιο ανθεκτικές στις μασητικές δυνάμεις και θα αντέξουν στο πέρασμα του χρόνου.

Αρχική κλινική εικόνα του υπολείμματος ρίζας του προγομφίου

Αρχική κλινική εικόνα του υπολείμματος ρίζας του προγομφίου

Ο μεταλλικός άξονας που βρισκόταν κάτω από την μεταλλοκεραμική θήκη κκαι αφαιρέθηκε από το δόντι

Προσωρινή θήκη του προγομφίου που κατασκευάστηκε στο ιατρείο

Προσωρινή θήκη του προγομφίου που κατασκευάστηκε στο ιατρείο

Τα δύο δόντια τροχισμένα πριν δεχτούν τις θήκες

Τελική εικόνα των δύο ολοκεραμικών θηκών

Τελική εικόνα των δύο ολοκεραμικών θηκών
Περιστατικό – Ολοκεραμική στεφάνη / θήκη ζιρκονίου στον άνω αριστερό γομφίο
Η ασθενής επισκέφτηκε το ιατρείο μας γιατί πονούσε στον πρώτο άνω αριστερό γομφίο. Η κλινική και ακτινογραφική εξέταση φανέρωσε την αναγκαιότητα απονεύρωσης του δοντιού. Μετά το πέρας της ενδοδοντικής θεραπείας και εφόσον το οδοντικό έλλειμα ήταν μεγάλο, κρίθηκε απαραίτητη η προστασία του απονευρωμένου δοντιού με ολοκεραμική θήκη.

Αρχική κλινική εικόνα του δοντιού με το προσωρινό σφράγισμα απονεύρωσης

Αρχική κλινική εικόνα του δοντιού με το προσωρινό σφράγισμα απονεύρωσης

Τελική κλινική εικόνα με την ολοκεραμική θήκη δοντιού

Τελική κλινική εικόνα με την ολοκεραμική θήκη δοντιού
Περιστατικό – Ολοκεραμική στεφάνη / θήκη ζιρκονίου στον άνω αριστερό γομφίο
Επιθυμία του ασθενή ήταν η αποκατάσταση του άνω αριστερού γομφίου, ο οποίος είχε ένα παλιό μεγάλο επανατερηδονισμένο λευκό σφράγισμα. Μετά την αφαίρεση της παλιάς έμφραξης, ακολούθησε η ανασύσταση του δοντιού, ο εκτροχισμός του και η λήψη αποτυπώματος. Ο οδοντοτεχνίτης κατασκεύασε ολοκεραμική θήκη, η οποία κολλήθηκε στο δόντι με ρητινώδη κονία. Το δόντι είναι πλήρως προστατευμένο και ο ασθενής το αισθάνεται πολύ σταθερό.

Αρχική κλινική εικόνα του δοντιού με το παλιό σφράγισμα

Ανασύσταση και εκτροχισμός του δοοντιού

Τελική κλινική εικόνα με την νέα ολοκεραμική θήκη δοντιού
Περιστατικό – Ολοκεραμική στεφάνη / θήκη ζιρκονίου στον άνω αριστερό γομφίο

ΠΡΙΝ

ΜΕΤΑ

ΜΕΤΑ
Περιστατικό – Ολοκεραμική στεφάνη / θήκη ζιρκονίου στον άνω δεξιό γομφίο
Η ασθενής προσήλθε στο ιατρείο γιατί περιστασιακά την πονάει ο άνω δεξιός τελευταίος γομφίος, που ήταν καλυμμένος με θήκη. Μετά την κλινική και ακτινογραφική εξέταση του δοντιού αποφασίστηκε η απομάκρυνση της παλιάς θήκης, η απονεύρωση του δοντιού, η νέα ανασύσταση του και τελικώς η κάλυψη του δοντιού με νέα θήκη.

Αρχική κλινική εικόνα του δοντιού με την παλιά μεταλλοκεραμική θήκη του δοντιού

Αρχική κλινική εικόνα του δοντιού με την παλιά μεταλλοκεραμική θήκη του δοντιού

Εικόνα του δοντιού αμέσως μετά την αφαίρεση της παλιάς θήκης

Eικόνα του δοντιού αμέσως μετά την απονεύρωση και την ανασύστασή του

Τελική κλινική εικόνα του δοντιού με την νέα ολοκεραμική θήκη του δοντιού

Τελική κλινική εικόνα του δοντιού με την νέα ολοκεραμική θήκη του δοντιού
Περιστατικό – Ολοκεραμική στεφάνη / θήκη ζιρκονίου στην αριστερή πλευρά της κάτω γνάθου
Ο ασθενής είχε ένα παλιό μεγάλο σπασμένο σφράγισμα στον κάτω γομφίο. Το δόντι αρχικά απονευρώθηκε και στη συνέχεια καλύφθηκε με ολοκεραμική θήκη ζιρκονίου.

Αρχική κλινική εικόνα του δοντιού με το παλιό σπασμένο σφράγισμα

Αρχική κλινική εικόνα του δοντιού με το παλιό σπασμένο σφράγισμα

Κλινική εικόνα της ανασύστασης του δοντιού

Τελική εικόνα της ολοκεραμικής θήκης
Περιστατικό – Ολοκεραμική στεφάνη / θήκη ζιρκονίου στην αριστερή πλευρά της κάτω γνάθου
Η ασθενής είχε ένα παλιό μαύρο σφράγισμα αμαλγάματος το οποίο την πονούσε. Μετά την κλινική και ακτινογραφική εξέταση του δοντιού αποφασίστηκε η αφαίρεση του παλιού σφραγίσματος, η νέα ανασύσταση και η κάλυψη του δοντιού με ολοκεραμική θήκη δοντιού, καθώς το οδοντικό έλλειμμα ήταν μεγάλο.

Αρχική κλινική εικόνα του δοντιού με το παλιό μαύρο σφράγισμα αμαλγάματος

Τελική εικόνα του δοντιού με τη νέα ολοκεραμική στεφάνη
Περιστατικό – Ολοκεραμικές στεφάνες / θήκες ζιρκονίου στην αριστερή πλευρά της κάτω γνάθου
Ο ασθενής προσήλθε πρησμένος στην αριστερή πλευρά της κάτω γνάθου. Το πρόβλημα αφορούσε δύο γομφίους, από τους οποίους ο ένας ήταν ήδη απονευρωμένος και ο άλλος είχε βαθύ σφράγισμα, το οποίο έφτανε στο ύψος του νεύρου του δοντιού. Μετά την κλινική και ακτινογραφική εξέταση του δοντιού αποφασίστηκε η απονεύρωση του ενός γομφίου και η επανάληψη απονεύρωσης του άλλου γομφίου. Στο τέλος τα δύο δόντια θα προστατευτούν με θήκες δοντιών, εφόσον τα οδοντικά ελλείμματα ήταν μεγάλα.

Αρχική κλινική εικόνα του ήδη απονευρωμένου πρώτου γομφίου

Εικόνα της παλιάς απονεύρωσης αμέσως μετά τη διάνοιξη του πρώτου γομφίου

Εικόνα του πρώτου γομφίου μετά την αφαίρεση της παλιάς απονεύρωσης

Εικόνα της νέας απονεύρωσης

Αρχική εικόνα αμέσως μετά τη διάνοιξη του δεύτερου γομφίου, όπου φαίνονται οι στενοί ριζικοί σωλήνες

Τελική εικόνα των διευρυμένων ριζικών σωλήνων

Τελική εικόνα της απονεύρωσης του δεύτερου γομφίου

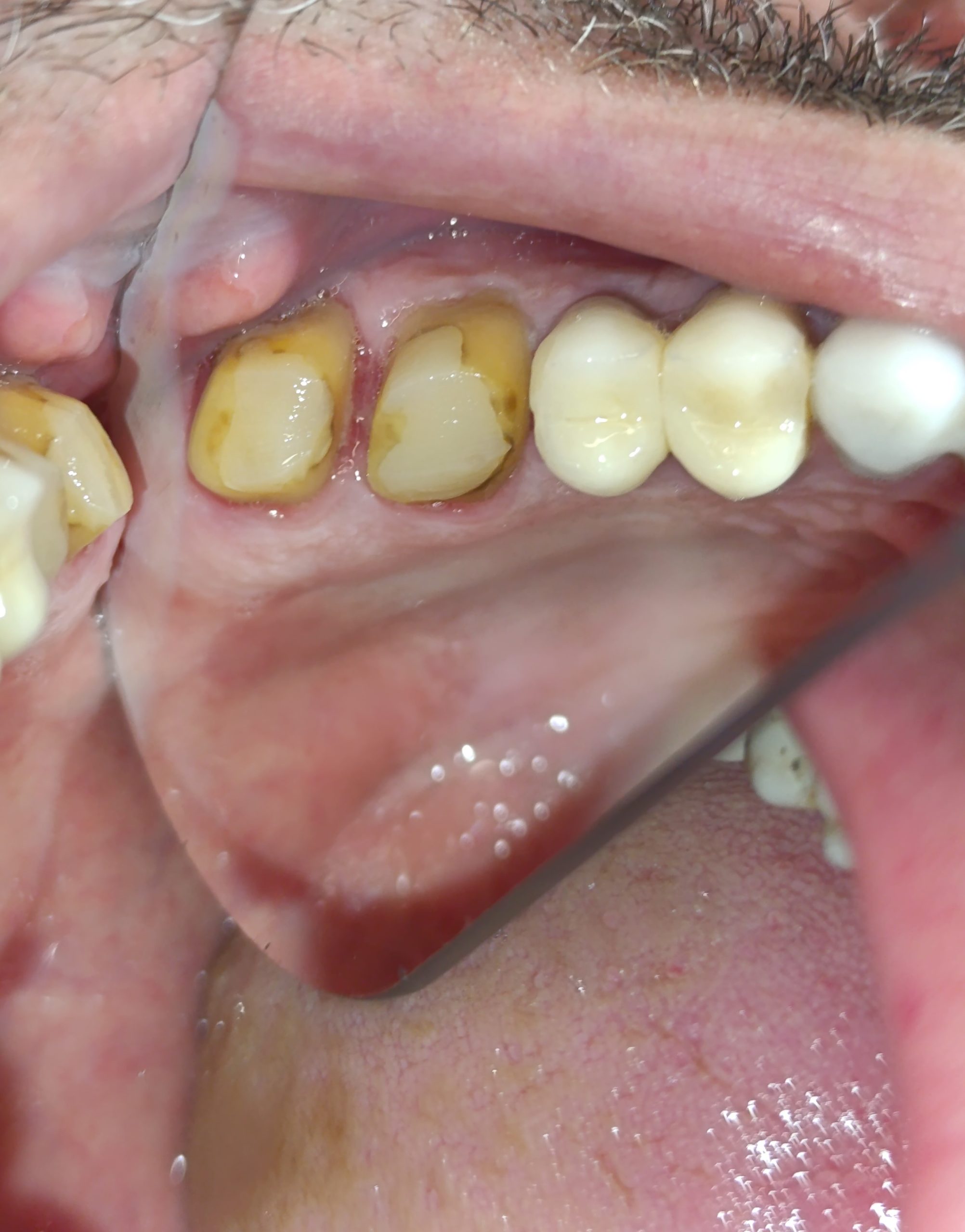
Οι δύο γομφίοι μετά την ανασύστασή τους

Οι δύο γομφίοι μετά την ανασύστασή τους

Τελική εικόνα των δύο θηκών στους γομφίους

Τελική εικόνα των δύο θηκών στους γομφίους
Περιστατικό – Ολοκεραμική στεφάνη / θήκη ζιρκονίου στην δεξιά πλευρά της κάτω γνάθου
Ο ασθενής προσήλθε με σπασμένο τον πρώτο γομφίο στην κάτω γνάθο. Το δόντι αρχικά απονευρώθηκε, ανασυστάθηκε και τροχίστηκε ανάλογα για να υποδεχτεί ολοκεραμική θήκη. Στη συνέχεια λήφθηκαν αποτυπώματα και στάλθηκαν στον οδοντοτεχνίτη για την κατασκευή ολοκεραμικής θήκης. Το δόντι είναι πλέον προστατευμένο και λειτουργικό.

Αρχική κλινική εικόνα του δοντιού

Κλινική εικόνα του δοντιού μετά την ανασύσταση και τον εκτροχισμό του

Κλινική εικόνα του δοντιού μετά την ανασύσταση και τον εκτροχισμό του

Τελική εικόνα της ολοκεραμικής θήκης δοντιού

Τελική εικόνα της ολοκεραμικής θήκης δοντιού
Περιστατικό – Ολοκεραμική στεφάνη / θήκη ζιρκονίου στην αριστερή πλευρά της κάτω γνάθου

Κλινική εικόνα του δοντιού μετά τον εκτροχισμό του

Κλινική εικόνα του δοντιού μετά τον εκτροχισμό του

Τελική κλινική εικόνα της ολοκεραμικής θήκης του δεύτερου προγόμφιου

Τελική κλινική εικόνα της ολοκεραμικής θήκης του δεύτερου προγόμφιου
Περιστατικό – Μασέλα δοντιών
Στην ασθενή αντικαταστάθηκε η παλιά της μασέλα με νέα μασέλα, η οποία κατασκευάστηκε με νέα λευκά αισθητικά δόντια

Αρχική οδοντοστοιχία δοντιών (μασέλα)

Τελική οδοντοστοιχία δοντιών (μασέλα)
Περιστατικό – Ολοκεραμική γέφυρα και στεφάνη / θήκη ζιρκονίου στην άνω γνάθο
Όταν η ασθενής προσήλθε στο ιατρείο είχε εντονότατο πόνο στον άνω αριστερό τελευταίο γομφίο και το δόντι ήταν σπασμένο από την τερηδόνα. Αρχικά το δόντι απονευρώθηκε και στη συνέχεια καλύφθηκε με ολοκεραμική στεφάνη δοντιού.

Κλινική εικόνα του δοντιού μετά την απονεύρωση του, την ανασύσταση και το εκτροχισμό του

Τελική κλινική εικόνα της ολοκεραμικής θήκης του άνω δεύτερου γομφίου
Περιστατικό – Ολοκεραμική γέφυρα και στεφάνη / θήκη ζιρκονίου στην άνω γνάθο

Αρχική κλινική εικόνα της δεξιάς πλευράς της άνω γνάθου

Αρχική κλινική εικόνα της δεξιάς πλευράς της άνω γνάθου

Κλινική εικόνα αμέσως μετά την αφαίρεση των παλιών θηκών των δοντιών

Εικόνα της ανασύστασης δοντιών με ενδοριζικό άξονα υαλονημάτων

Αρχική κλινική εικόνα παλιάς θήκης στον αριστερό πλάγιο τομέα της άνω γνάθου

Τελική κλινική εικόνα της δεξιάς πλευράς με τη γέφυρα ζιρκονίου

Τελική κλινική εικόνα της δεξιάς πλευράς με τη γέφυρα ζιρκονίου
Περιστατικό – Ολοκεραμική στεφάνη / θήκη ζιρκονίου σε σπασμένο δόντι

Αρχική εικόνα της παλιάς μεταλλοκεραμικής θήκης δοντιού

Κλινική εικόνα αμέσως μετά την αφαίρεση της παλιάς θήκης του δοντιού

Εικόνα της ανασύστασης δοντιού με ενδοριζικό άξονα υαλονημάτων

Εικόνα της ανασύστασης δοντιού με ενδοριζικό άξονα υαλονημάτων

Τελική κλινική εικόνα με τη νέα ολοκεραμική θήκη ζιρκονίου
Περιστατικό – Ολοκεραμική στεφάνη / θήκη δοντιού σε απονευρωμένο δόντι
Η ασθενής πονούσε στον τελευταίο γομφίο της αριστερής πλευράς της άνω γνάθου. Η κλινική και ακτινογραφική εξέταση αποκάλυψε την προσβολή του δοντιού από βαθιά τερηδόνα, γεγονός που καθιστούσε απαραίτητη την απονεύρωση του δοντιού. Μετά την ολοκλήρωση της ενδοδοντικής θεραπείας κατασκευάστηκε ολοκεραμική θήκη δοντιού.

Εικόνα της ανασύστασης δοντιού με ενδοριζικό άξονα υαλονημάτων

Τελική κλινική εικόνα με τη νέα ολοκεραμική θήκη ζιρκονίου
Περιστατικό – Ολοκεραμική στεφάνη / θήκη δοντιού σε απονευρωμένο δόντι
Η ασθενής επιθυμούσε την αντικατάσταση της παλιάς μεταλλοκεραμικής θήκης με νέα ολοκεραμική στεφάνη δοντιού. Ο κάτω δεξιός γομφίος περιστασιακά την πονούσε κατά τη μάσηση. Μετά την απομάκρυνση της παλιάς μεταλλοκεραμικής θήκης, πραγματοποιήθηκε απονεύρωση δοντιού και στη συνέχεια κατασκευάστηκε νέα ολοκεραμική στεφάνη δοντιού.
Περιστατικό – Ολοκεραμική στεφάνη / θήκη δοντιού σε απονευρωμένο δόντι
Η ασθενής επιθυμούσε την αντικατάσταση της παλιάς μεταλλοκεραμικής θήκης με νέα ολοκεραμική στεφάνη δοντιού. Ο κάτω δεξιός γομφίος περιστασιακά την πονούσε κατά τη μάσηση. Μετά την απομάκρυνση της παλιάς μεταλλοκεραμικής θήκης, πραγματοποιήθηκε απονεύρωση δοντιού και στη συνέχεια κατασκευάστηκε νέα ολοκεραμική στεφάνη δοντιού.

Εικόνα της ανασύστασης δοντιού μετά την απονεύρωση

Τελική κλινική εικόνα με τη νέα ολοκεραμική θήκη ζιρκονίου

Τελική κλινική εικόνα με τη νέα ολοκεραμική θήκη ζιρκονίου
Περιστατικό – Ολοκεραμική στεφάνη / θήκη δοντιού σε σπασμένο δόντι
Η ασθενής προσήλθε στο ιατρείο με απόστημα / πρήξιμο στην αριστερή πλευρά της κάτω γνάθου. Μετά την κλινική εξέταση της περιοχής διαπιστώθηκε έντονη κινητικότητα στον κάτω αριστερό δεύτερο προγόμφιο, ο οποίος έφερε μεταλλοκεραμική θήκη. Μετά από συνεννόηση με την ασθενή αποφασίστηκε η αφαίρεση της παλιάς θήκης, ώστε να διαπιστωθεί τι συμβαίνει με το υποκείμενο δόντι στήριγμα και αν ήταν δυνατόν να κρατηθεί το δόντι στο στόμα.
Αρχικά χορηγήθηκε τοπική αναισθησία στην ασθενή, αφαιρέθηκε η στεφάνη δοντιού και διαπιστώθηκε οτι το δόντι στήριγμα είχε σπάσει στο ύψος των ούλων. Σύμφωνα με τα νέα κλινικά δεδομένα το δόντι μπορούσε να σωθεί για αυτό και πραγματοποιήθηκε η ανασύσταση του δοντιού με ενδοριζικό άξονα υαλονημάτων. Ακολούθως το δόντι τροχίστηκε και στη συνέχεια λήφθηκαν αποτυπώματα για τη κατασκευή νέας θήκης δοντιού από τον οδοντοτεχνίτη. Όταν η θήκη ήταν έτοιμη ατή συγκολλήθηκε μόνιμα στο δόντι.
Αξίζει να σημειωθεί οτι αμέσως μετά την αφαίρεση της παλιάς θήκης και τη νέα ανασύσταση του δοντιού υποχώρησε άμεσα η φλεγμονή των ούλων στην περιοχή του δεύτερου προγόμφιου. Η ασθενής είναι ευχαριστημένη τόσο με το λειτουργικό όσο και με το αισθητικό αποτέλεσμα της νέας θήκης δοντιού.
,

Αρχική εικόνα του αποστήματος δοντιού

Εικόνα της ανασύστασης δοντιού με ενδοριζικό άξονα υαλονημάτων

Εικόνα της ανασύστασης δοντιού με ενδοριζικό άξονα υαλονημάτων

Τελική εικόνα της ολοκεραμικής θήκης

Τελική εικόνα της ολοκεραμικής θήκης
Περιστατικό – Μεταλλοκεραμική γέφυρα δοντιών στην άνω γνάθο
Ο ασθενής πονούσε για μεγάλο χρονικό διάστημα στη δεξιά πλευρά της άνω γνάθου. Η κλινική και ακτινογραφική εξέταση αποκάλυψε την ύπαρξη μιας παλιάς μεταλλοκεραμικής γέφυρας, η οποία είχε δύο δόντια στηρίγματα. Αποφασίστηκε η απομάκρυνση της παλιάς γέφυρας, η απονεύρωση του προγομφίου και η εκ νέου ανασύσταση του γομφίου. Εφόσον πραγματοποιήθηκαν όλες οι απαραίτητες εργασίες λήφθηκε αποτύπωμα, το οποίο εστάλη στον οδοντοτεχνίτη για την κατασκευή νέας ολοκεραμικής γέφυρας.
Ο ασθενής δεν έχει πλέον συμπτώματα πόνου και είναι ευχαριστημένος με την νέα γέφυρα.

Εικόνα των δοντιών αμέσως μετά την απομάκρυνση της παλιάς γέφυρας
Τελική εικόνα της ολοκεραμικής θήκης

Τελική εικόνα μετά την απονεύρωση του προγομφίου και τις νέες ανασυστάσεις των δοντιών

Τελική εικόνα της νέας μεταλλοκεραμικής γέφυρας

Τελική εικόνα της νέας μεταλλοκεραμικής γέφυρας
Περιστατικό – Ολοκεραμική στεφάνη / θήκη δοντιού
Η ασθενής είχε ένα πολύ κατεστραμμένο δόντι στη δεξιά πλευρά της άνω γνάθου, το οποίο το γνώριζε εδώ και πολύ καιρό. Το δόντι είχε ένα παλιό σφράγισμα, το οποίο είχε σπάσει και το σπασμένο κομμάτι πίεζε το ούλο και την πονούσε. Το δόντι ήταν απονευρωμένο και ήταν η πολλοστή φορά που έσπασε. Απαραίτητο για τη προστασία του δοντιού και τη διατήρηση του στο στόμα, ήταν η τοποθέτηση στεφάνης / θήκης δοντιού δεδομένου οτι το σφράγισμα που κάλυπτε το απονευρωμένο δόντι έσπαγε επανειλημμένως.
Η θεραπεία ξεκίνησε με την ανασύσταση και τον εκτροχισμό του δοντιού. Ακολούθησε η λήψη αποτυπωμάτων και η προετοιμασία ολοκεραμικής θήκης δοντιού από τον οδοντοτεχνίτη. Μετά τους απαραίτητους ελέγχους η θήκη συγκολλήθηκε στο δόντι.
Η ασθενής είναι ικανοποιημένη τόσο με την προσθετική αποκατάσταση του δοντιού.

Κολόβωμα του δοντιού

Κολόβωμα του δοντιού

Τελική εικόνα της θήκης

Τελική εικόνα της θήκης
Περιστατικό – Ολοκεραμική στεφάνη / θήκη δοντιού
Η ασθενής αισθάνθηκε ξαφνικά μία τρύπα στο δόντι της. Η κλινική εξέταση αποκάλυψε οτι ο δεύτερος προγόμφιος της άνω γνάθου είχε ένα μεγάλο λευκό σφράγισμα, το οποίο έσπασε. Όπως αναφέρει η ασθενής ( και επιβεβαιώθηκε ακτινογραφικά ) το δόντι ήταν απονευρωμένο και ήταν η 2η φορά που έσπαγε το σφράγισμα του δοντιού. Αποφασίστηκε η προστασία του δοντιού με στεφάνη / θήκη δοντιού δεδομένου οτι το σφράγισμα που κάλυπτε το απονευρωμένο δόντι έσπαγε επανειλημμένως.
Η θεραπεία ξεκίνησε με την ανασύσταση και τον εκτροχισμό του δοντιού. Ακολούθησε η λήψη αποτυπωμάτων και η προετοιμασία ολοκεραμικής θήκης δοντιού από τον οδοντοτεχνίτη. Μετά τους απαραίτητους ελέγχους η θήκη συγκολλήθηκε στο δόντι.
Η ασθενής είναι ικανοποιημένη τόσο με την αισθητική όσο και με τη λειτουργική αποκατάσταση του δοντιού.

Αρχική εικόνα του δοντιού

Κολόβωμα του δοντιού

Τελική εικόνα του δοντιού

Τελική εικόνα του δοντιού
Περιστατικό – Στεφάνη / θήκη δοντιού με κρεμαστό δόντι
Η ασθενής είχε μία παλιά θήκη με κρεμαστό δόντι η οποία στα όρια της είχε επανατερηδονιστεί. Επιθυμία της ασθενούς ήταν η αντικατάσταση της παλιάς θήκης (με το κρεμαστό δόντι) με νέα προσθετική αποκατάσταση. Εφόσον χορηγήθηκε στην ασθενή τοπική αναισθησία, αφαιρέθηκε η παλιά στεφάνη δοντιού, απομακρύνθηκαν οι τερηδονισμένοι ιστοί και ακολούθησε η ανασύσταση του κολοβώματος δοντιού. Στη συνέχεια λήφθηκαν αποτυπώματα, τα οποία και στάλθηκαν στον οδοντοτεχνίτη. Όταν η θήκη ήταν έτοιμη από τον οδοντοτεχνίτη, πραγματοποιήθηκαν οι απαραίτητοι έλεγχοι και η στεφάνη κολλήθηκε στο δόντι.
Το αισθητικό και λειτουργικό αποτέλεσμα ήταν άκρως ικανοποιητικό για την ασθενή.

ΠΡΙΝ – Αρχική εικόνα της θήκης με το κρεμαστό δόντι

Εικόνα του δοντιού μετά την αφαίρεση της θήκης και την ανασύσταση του κολοβώματος

Δοκιμή μεταλλικού σκελετού της νέας θήκης με το κρεμαστό δόντι

ΜΕΤΑ – Τελική εικόνα της νέας θήκης με το κρεμαστό δόντι

ΜΕΤΑ – Τελική εικόνα της νέας θήκης με το κρεμαστό δόντι
Περιστατικό – Στεφάνη / θήκη δοντιού
Η ασθενής είχε ένα παλιό μεγάλο σφράγισμα στον πρώτο γομφίο στη δεξιά πλευρά της κάτω γνάθου. Το σφράγισμα αποκολλιόταν συνεχώς και η ασθενής αναγκαζόταν να επισκέπτεται επανειλημμένως τον οδοντίατρο για να επαναλαμβάνει τη θεραπεία του σφραγίσματος. Μετά από συζήτησα με την ασθενή αποφασίστηκε οτι η λύση επιλογής ήταν η κατασκευή θήκης / στεφάνης δοντιού. Η αρχική εικόνα του δοντιού απουσιάζει. Αρχικά χορηγήθηκε στην ασθενή τοπική αναισθησία, αφαιρέθηκε ότι είχε απομείνει από το παλιό σφράγισμα του δοντιού και απομακρύνθηκαν οι τερηδονισμένοι ιστοί. Στη συνέχεια πραγματοποιήθηκε η ανασύσταση του κολοβώματος του δοντιού. Ακολούθως το δόντι τροχίστηκε και λήφθηκαν αποτυπώματα ( όπως δείχνει η φωτογραφία ), τα οποία στάλθηκαν στον οδοντοτεχνίτη για την κατασκευή μεταλλοκεραμικής θήκης (στεφάνης δοντιού). Εφόσον η θήκη ήταν έτοιμη από τον οδοντοτεχνίτη και πραγματοποιήθηκαν οι απαραίτητοι έλεγχοι η στεφάνη κολλήθηκε στο δόντι.
Το δόντι παρόλο που τροχίστηκε διατηρήθηκε ζωντανό. Η ασθενής δεν πονάει και απαλλάχθηκε από τις επανειλημμένες επισκέψεις στον οδοντίατρο, εφόσον στο δόντι δόθηκε μία οριστική λύση αποκατάστασης.

Κολόβωμα του δοντιού

Αποτύπωμα του δοντιού

Τελική εικόνα του δοντιού
Περιστατικό – Στεφάνη / θήκη δοντιού
Η ασθενής πονούσε στον αριστερό πρώτο γομφίο της άνω γνάθου. Το δόντι είχε ένα μεγάλο παλιό σφράγισμα. Η αρχική εικόνα του δοντιού απουσιάζει. Μετά τη χορήγηση τοπικής αναισθησίας αφαιρέθηκε το παλιό σφράγισμα, απομακρύνθηκαν οι τερηδονισμένοι ιστοί και πραγματοποιήθηκε η ανασύσταση του κολοβώματος του δοντιού. Ακολούθως το δόντι τροχίστηκε και λήφθηκαν αποτυπώματα ( όπως δείχνει η φωτογραφία ), τα οποία στάλθηκαν στον οδοντοτεχνίτη για την κατασκευή μεταλλοκεραμικής θήκης (στεφάνης δοντιού). Εφόσον η θήκη ήταν έτοιμη από τον οδοντοτεχνίτη και πραγματοποιήθηκαν οι απαραίτητοι έλεγχοι η στεφάνη κολλήθηκε στο δόντι.
Το δόντι παρόλο που τροχίστηκε διατηρήθηκε ζωντανό και η ασθενής αισθάνεται το δόντι της πολύ σταθερό και γερό.

Κολόβωμα του δοντιού

Αποτύπωμα του δοντιού

Τελική εικόνα του δοντιού

Τελική εικόνα του δοντιού
Περιστατικό – Στεφάνη / θήκη δοντιού
Ο ασθενής επισκέφτηκε το ιατρείο καθώς αναφέρει τηλεφωνικώς οτι έσπασε ένα παλιό του σφράγισμα. Η κλινική εξέταση αποκάλυψε οτι τελικά είχε σπάσει κομμάτι του δοντιού και όχι σφραγίσματος. Πιο συγκεκριμένα ο δεύτερος προγόμφιος στην αριστερή πλευρά της άνω γνάθου είχε ένα παλιό σφράγισμα αμαλγάματος και ήταν και απονευρωμένο. Είναι σύνηθες φαινόμενο δόντια με αυτά τα δύο χαρακτηριστικά, δηλαδή με μαύρο σφράγισμα και / ή απονευρωμένα να σπάζουν εύκολα (για περισσότερες πληροφορίες Βλεπε Σπαμένο δόντι). Η θεραπευτική λύση στο συγκεκριμένο περιστατικό ήταν η προστασία του εναπομείναντος δοντιού με την τοποθέτηση μίας θήκης δοντιού. Πριν την έναρξη των εργασιών για τη θήκη του δοντιού ελέγχθηκε ακτινογραφικά η παλιά απονεύρωση του δοντιού, η οποία ήταν καλή και δεν χρειάστηκε επανάληψη της απονεύρωσης.
Αρχικά πραγματοποιήθηκε η ανασύσταση του ελλείποντος δοντιού με άξονα υαλονημάτων και ακολούθησε ο εκτροχισμός του δοντιού. Μετά τη λήψη αποτυπώματος και την κατασκευή της θήκης του δοντιού από τον οδοντοτεχνίτη το περιστατικό ολοκληρώθηκε με την τοποθέτηση της θήκης στο στόμα του ασθενή.
Ο ασθενής αισθάνεται τη θήκη πολύ σταθερή στο στόμα του κι είναι πολύ ευχαριστημένος.

ΠΡΙΝ

ΠΡΙΝ

Εικόνα του δοντιού μετά την απονεύρωση δοντιού και την ανασύσταση του με σύνθετη ρητίνη

ΜΕΤΑ

ΜΕΤΑ
Περιστατικό – Στεφάνη / θήκη δοντιού
Ο ασθενής επισκέφτηκε το ιατρείο καθώς έσπασε ο άνω αριστερός προγόμφιος. Το συγκεκριμένο δόντι είχε μία παλία απονεύρωση δοντιού, η οποία περιοδικά έδινε συμπτώματα πόνου στον ασθενή. Μετά την κλινική και ακτινογραφική εξέταση του δοντιού αποφασίστηκε η επανάληψη της απονεύρωσης δοντιού και η προστασία του δοντιού με θήκη.

ΠΡΙΝ – Φωτογραφία πριν την αφαίρεση της παλιάς απονεύρωσης του δοντιού

Ενδιάμεση φωτογραφία μετά την αφαίρεση της παλιάς απονεύρωση

Εικόνα του δοντιού μετά την επανάληψη της απονεύρωσης

Ακτινογραφική εικόνα του δοντιού πριν την επανάληψη της απονεύρωσης

Ακτινογραφική εικόνα του δοντιού μετά την επανάληψη της απονεύρωσης

Ανασύσταση του δοντιού και εκτροχισμός του πριν δεχτεί τη θήκη δοντιού

ΜΕΤΑ

ΜΕΤΑ
Περιστατικό – Γέφυρα δόντιων
Η ασθενής είχε μία παλιά θήκη στην αριστερή πλευρά της άνω γνάθου, η οποία κατά καιρούς την ενοχλούσε. Τον τελευταίο καιρό τα συμπτώματα πόνου ήταν εντονότερα και η ασθενής αποφάσισε ότι ήρθε η ώρα να προβεί στην αντικατάστασή της. Αρχικά αφαιρέσαμε την παλιά γέφυρα, τα δόντια – στηρίγματα καθαρίστηκαν από την τερηδόνα και αποκαταστάθηκαν εκ νέου με σφραγίσματα / ανασυστάσεις. Ακολούθησε η λήψη αποτυπώματος και η αποστολή του στον οδοντοτεχνίτη, ο οποίος και ετοίμασε τη νέα γέφυρα δοντιών. Μετά τους απαραίτητους ελέγχους η νέα γέφυρα συγκολλήθηκε στο στόμα της ασθενούς.
Η ασθενής νοιώθει το στόμα της “σαν καινούριο” , όπως πολύ χαρακτηριστικά είπε στο τέλος των εργασιών!

ΠΡΙΝ

ΠΡΙΝ

Ενδιάμεση φωτογραφία μετά από την αφαίρεση της γέφυρας

Ενδιάμεση φωτογραφία μετά από την αφαίρεση της γέφυρας

Εικόνα των δοντιών μετά την ολοκλήρωση των θεραπειών και πριν την τοποθέτηση της γέφυρας

ΜΕΤΑ

ΜΕΤΑ
Περιστατικό – Στεφάνη / θήκη δοντιού
Ο ασθενής ταλαιπωρείται τους τελευταίους 9 μήνες με το δεύτερο δεξιό γομφίο της κάτω γνάθου. Συγκεκριμένα πρηζόταν περιοδικά η περιοχή γύρω από το συγκεκριμένο δόντι και επειδή υποχωρούσε μετά τη λήψη αντιβίωσης ανέβαλε και την επίσκεψη στον οδοντίατρο. Την τελευταία εβδομάδα όμως, λόγω της παρατεταμένων αναβολών, δεν μπορεί από τον πόνο ούτε να φάει ούτε να κοιμηθεί.
Του προτάθηκε από συνάδελφο η εξαγωγή του δοντιού, όμως ο ασθενής δεν ήθελε να προχωρήσει στην αφαίρεση του δοντιού και ήθελε να προσπαθήσει να το κρατήσει στο στόμα του. Επισκέφτηκε το ιατρείο και κλινικά διαπιστώθηκε ένα διάχυτο οίδημα στην περιοχή του αριστερού κάτω δεύτερου γομφίου, ο οποίος ήταν καλυμμένος με μεταλλοκεραμική θήκη δοντιού. Η ακτινογραφία έδειξε την ύπαρξη ακρορριζικής αλλοίωσης και στις δύο ρίζες του δοντιού.
Σε συνεννόηση με τον ασθενή αποφασίστηκε η απονεύρωση του δοντιού και η κατασκευή νέας θήκης δοντιού.
Αρχικά αφαιρέθηκε η θήκη που κάλυπτε το δόντι και ολοκληρώθηκε η απονεύρωση του δοντιού. Σε δεύτερη φάση ακολούθησε η ανασύσταση του ελλείποντος τμήματος του δοντιού με νέο σφράγισμα, ο εκτροχισμός του δοντιού και η λήψη αποτυπωμάτων. Όταν ο οδοντοτεχνίτης είχε ετοιμάσει τη στεφάνη του δοντιού πραγματοποιήθηκαν οι απαραίτητοι έλεγχοι και η θήκη συγκολλήθηκε στο στόμα.
Το δόντι είναι ασυμπτωματικό και ο ασθενής πολύ ευχαριστημένος με το αποτέλεσμα της εργασίας.

ΠΡΙΝ

META

ΠΡΙΝ

Λήψη αποτυπώματος του δοντιού

META
Περιστατικό – Στεφάνη / θήκη δοντιού
Ο ασθενής επισκέφτηκε το ιατρείο με σκοπό την ανακούφιση από τα συμπτώματα πόνου που είχε στο δεύτερο αριστερό κάτω γομφίο. Στο δόντι αυτό είχε πραγματοποιηθεί απονεύρωση πριν περίπου 6 μήνες και παρόλα αυτά το δόντι συνέχιζε να δίνει συμπτωματολογία. Μετά την κλινική και ακτινογραφική εξέταση του δοντιού αποφασίστηκε η επανάληψη της απονεύρωσης και η τελική αποκατάσταση του δοντιού με θήκη. Η εικόνα του δοντιού με το προσωρινό σφράγισμα είναι αυτή που φαίνεται στην πρώτη φωτογραφία. Μετά το τέλος της ενδοδοντικής θεραπείας πραγμαοποιήθηκε η ανασύσταση του ελλείποντος τμήματος του δοντιού και ο εκτροχισμός του. Η θεραπεία συνεχίστηκε με τη λήψη αποτυπωμάτων και την αποστολή τους στον οδοντοτεχνίτη για την κατασκευή της στεφάνης δοντιού. Αφότου ολοκληρώθηκαν οι απαραίτητοι έλεγχοι της θήκης ακολούθησε η συγκόλληση της.
Το δόντι είναι ασυμπτωματικό και όπως αναφέρει ο ασθενής το αισθάνεται πολύ σταθερό.

ΠΡΙΝ

Το δόντι μετά την ανασύσταση και το απαραίτητο τρόχισμα για την υποδοχή θήκης

META

META

META
Περιστατικό – Στεφάνη / θήκη δοντιού
Η ασθενής είχε στον πρώτο προγόμφιο ένα παλιό λευκό σφράγισμα σύνθετης ρητίνης, το οποίο έσπασε και το δόντι την πονούσε έντονα. Μετά την κλινική και ακτινογραφική εξέταση διαπιστώθηκε οτι είχε προσβληθεί το νεύρο του δοντιού με αποτέλεσμα η πρωτεύοντα θεραπεία να είναι η απονεύρωση δοντιού. Μετά την ολοκλήρωση της ενδοδοντικής θεραπείας του δοντιού και εφόσον το έλλειμμα της οδοντικής ουσίας ήταν μεγάλο αποφασίστηκε η προστασία του δοντιού με θήκη πορσελάνης.
Αρχικά πραγματοποιήθηκε η ανασύσταση του απονευρωμένου δοντιού με άξονα υαλονημάτων και σύνθετη ρητίνη. Στη συνέχεια το δόντι τροχίστηκε και ακολούθησε η λήψη αποτυπωμάτων, τα οποία στάλθηκαν στον οδοντοτεχνίτη για την κατασκευή της θήκης δοντιού. Μετά την ολοκλήρωση των απαραίτητων ελέγχων η θήκη συγκολλήθηκε στο δόντι.
Η ασθενής είναι ικανοποιημένη τόσο με την αισθητική όσο και με τη λειτουργική απόδοση της θήκης.

ΠΡΙΝ

Το δόντι μετά την ανασύσταση και το απαραίτητο τρόχισμα για την υποδοχή θήκης

Το δόντι μετά την ανασύσταση και το απαραίτητο τρόχισμα για την υποδοχή θήκης

META

META
Περιστατικό – Στεφάνη / θήκη δοντιού
Η ασθενής προσήλθε με έντονο οίδημα στο πάνω δεξί μέρος του προσώπου. Παρόλο που είχε ξεκινήσει τη λήψη αντιβίωσης το οίδημα (πρήξιμο) δεν υποχωρούσε. Μετά την κλινική εξέταση διαπιστώθηκε έντονος πόνος στη ψηλάφιση και στην επίκρουση του δοντιού. Ακολούθησε η ακτινογραφική εξέταση του δοντιού, η οποία αποκάλυψε την ύπαρξη κατάγματος στο τελευταίο τριτημόριο της ρίζας του δοντιού. Δίπλα από το κάταγμα είναι εμφανής η αλλοίωση στο οστό (έντονη μαύρη σκιά).
Μετά από συζήτηση με την ασθενή αποφασίστηκε η εξαγωγή του δοντιού και η δημιουργία στεφάνης στο διπλανό δόντι με ένα κρεμαστό δόντι, το οποίο και θα αντικαθιστούσε το ελλείπον δόντι. Αυτή η λύση αποτέλεσε το εναλλακτικό σχέδιο θεραπείας, εφόσον βέβαια η ασθενής δεν επιθυμούσε την τοποθέτηση εμφυτεύματος.

ΠΡΙΝ

Ακτινογραφία – Κάταγμα στη ρίζα του δοντιού

META
Περιστατικό – Στεφάνη / θήκη δοντιού
Η ασθενής επισκέφτηκε το ιατρείο καθώς αναφέρει οτι πονάει στο αριστερό κάτω μέρος του στόματος της. Το δόντι είχε αποκατασταθεί στο παρελθόν με λευκό σφράγισμα. Μετά την κλινική και ακτινογραφική εξέταση διαπιστώθηκε η παρουσία τερηδόνας κάτω από το ήδη υπάρχων λευκό σφράγισμα ρητίνης.
Ακολούθησε η χορήγηση τοπικής αναισθησίας, στη συνέχεια αφαιρέθηκε το παλιό σφράγισμα και απομακρύνθηκαν οι τερηδονισμένοι οδοντικοί ιστοί. Μετά από την απομάκρυνση της τερηδόνας διαπιστώθηκε οτι το έλλειμμα του δοντιού ήταν μεγάλο και δε θα μπορούσε να αποκατσταθεί πλέον με απλό σφράγισμα. Γι αυτό το λόγο αποφασίστηκε με την ασθενή η κατασκευή μιας στεφάνης (θήκης) δοντιού.
Όσο διάστημα χρειάστηκε ο οδοντοτεχνίτης για να κατασκευάσει τη θήκη του δοντιού, το δόντι της ασθενούς ήταν προστατευμένο με προσωρινή θήκη, ώστε να αποφευχθεί τυχόν σπάσιμο του δοντιού.
Το δόντι είναι πλέον ασυμπτωματικό και η ασθενής μπορεί να μασάει χωρίς πόνο από την αριστερή κάτω πλευρά του στόματός της.

ΠΡΙΝ

Προσωρινή θήκη δοντιού

META

META
Περιστατικό – Στεφάνη / θήκη δοντιού
Η ασθενής προσήλθε στο ιατρείο γιατί επιθυμούσε να ανακουφιστεί από το συνεχόμενο πόνο στο δεξί πάνω μέρος του στόματος της. Μετά την κλινική εξέταση διαπιστώθηκε η ύπαρξη ενός δοντιού που είχε τροχιστεί παλιά και έφερε μία μεταλλική καρφίδα. Σύμφωνα με τα λεγόμενα της ασθενούς το δόντι είχε παλιά θήκη που ξεκόλλησε και χάθηκε.
Το σχέδιο θεραπείας ήταν η πραγματοποίηση απονεύρωσης στο συγκεκριμένο δόντι και στη συνέχεια η κάλυψή του με νέα στεφάνη / θήκη δοντιού. Αρχικά ακολούθησε η χορήγηση τοπικής αναισθησίας και η αφαίρεση τόσο του παλιού σφραγίσματος όσο και της μεταλλικής καρφίδας. Μετά την απομάκρυνση αυτών μπορεί κανείς να διακρίνει την έλλειψη μεγάλου τμήματος οδοντικού ιστού καθώς επίσης οτι η βλάβη εκτεινόταν πολύ κοντά στο νεύρο του δοντιού.Στις επόμενες συνεδρίες ακολούθησε η απονεύρωση του δοντιού και όταν αυτή ολοκληρώθηκε το δόντι τροχίστηκε και λήφθηκαν αποτυπώματα τα οποία εστάλησαν στον οδοντοτεχνίτη για την κατασκευή της στεφάνης δοντιού. Μετά τη συγκόλληση της θήκης στο δόντι η ασθενής δεν πονάει καθόλου και αισθάνεται το δόντι της “πολύ σταθερό”, όπως ανέφερε και η ίδια.

ΠΡΙΝ

Mετά την αφαίρεση του παλιού σφραγίσματος και της καρφίδας δοντιού

Mετά την ολοκλήρωση της απονεύρωσης και τον εκτροχισμό του δοντιού

Τελική εικόνα

Τελική εικόνα
Περιστατικό – Στεφάνη / θήκη δοντιού
Η ασθενής επισκέφτηκε το ιατρείο καθώς ο πρώτος κάτω αριστερός γομφίος έσπασε. Το συγκεκριμένο δόντι έφερε ένα παλιό σφράγισμα αμαλγάματος, το οποίο έσπασε στη διάρκεια ενός ταξιδιού της ασθενούς.Επιθυμία της ήταν η διατήρηση του δοντιού μέσα στο στόμα, καθώς στο παρελθόν είχε χάσει άλλα δύο δόντια και της ήταν δυσάρεστη η απώλεια ενός ακόμη δοντιού.
Το σχέδιο θεραπείας ήταν η πραγματοποίηση απονεύρωσης στο συγκεκριμένο δόντι και στη συνέχεια η κάλυψή του με στεφάνη / θήκη δοντιού. Αρχικά ακολούθησε η χορήγηση τοπικής αναισθησίας ξεκίνησε η διαδικασία της απονεύρωσης του δοντιού, η οποία ολοκληρώθηκε σε τρία ραντεβού.Μετά από κάποιο χρονικό διάστημα παρακολούθησης του δοντιού και εφόσον το δόντι ήταν ασυμπτωματικό ακολούθησαν οι ενέργειες για την προσθετική αποκατάσταση του δοντιού. Αρχικά αφαιρέθηκε το σπασμένο κομμάτι του δοντιού και το εναπομείναν δόντι “χτίστηκε” με άξονα υαλονημάτων. Στη συνέχεια το δόντι τροχίστηκε και λήφθηκαν αποτυπώματα τα οποία εστάλησαν στον οδοντοτεχνίτη για την κατασκευή της στεφάνης δοντιού.
Όταν η θήκη ήταν έτοιμη από τον οδοντοτεχνίτη συγκολλήθηκε στο δόντι της ασθενούς, εφόσον προηγουμένως πραγματοποιήθηκαν οι απαραίτητοι έλεγχοι της στεφάνης δοντιού.
Με τη θεραπεία αυτή διατηρήθηκε το δόντι της ασθενούς, αποφεύγοντας την εξαγωγή του.

Εικόνα του δοντιού μετά την αφαίρεση του σφραγίσματος αμαλγάματος και τοποθέτηση προσωρινού σφραγίσματος

Το δόντι μετά την ολοκλήρωση της απονεύρωσης και της ανασύστασης του με άξονα υαλονημάτων

Το δόντι μετά την ολοκλήρωση της απονεύρωσης και της ανασύστασης του με άξονα υαλονημάτων

Τελική εικόνα με τη θήκη δοντιού

Τελική εικόνα με τη θήκη δοντιού
Περιστατικό – Στεφάνη / θήκη δοντιού και επανάληψη απονεύρωσης δοντιού
Στην ασθενή είχε προταθεί να βγάλει το συγκεκριμένο δόντι (2ος κάτω αριστερός γομφίος), καθώς ήταν ήδη απονευρωμένο, είχε έναν παλιό μεταλλικό άξονα και έδινε συμπτώματα πόνου. Η ασθενής επιθυμούσε παρόλα αυτά τη διατήρηση του δοντιού στο στόμα της. Μετά την κλινική και ακτινογραφική εξέταση αποφασίστηκε μαζί με την ασθενή η επανάληψη της απονεύρωσης και η κατασκευή θήκης δοντιού.
Αρχικά αφαιρέθηκε ο παλιός μεταλλικός άξονας (βλέπε φωτογραφία) και ξεκίνησε η επανάληψη της απονεύρωσης, η οποία ολοκληρώθηκε σε τρία ραντεβού. Στη συνέχεια αποκαταστάθηκε το έλλειμμα του δοντιού με ειδικό υλικό ανασύστασης και το δόντι τροχίστηκε για την κατασκευή της στεφάνης. Ακολούθως λήφθηκαν αποτυπώματα τα οποία και στάλθηκαν στον οδοντοτεχνίτη. Όταν η θήκη του δοντιού ήταν έτοιμη πραγματοποιήθηκαν οι απαραίτητοι έλεγχοι (χρώμα, μασητικό επίπεδο κ.α.) και στο τέλος η θήκη συγκολλήθηκε στο δόντι.
Το δόντι είναι πλέον ασυμπτωματικό και η ασθενής αναφέρει οτι μπορεί και τρώει ανενόχλητα.
Με τη θεραπεία αυτή η ασθενής διατήρησε το δόντι στο στόμα της, αποφεύγοντας την εξαγωγή του.

Αρχική κλινική εικόνα

Αφαίρεση του μεταλλικού άξονα

Αμέσως μετά το πέρας της απονεύρωσης

Αμέσως μετά το πέρας της απονεύρωσης

Το δόντι μετά την ανασύσταση και τον εκτροχισμό

Το δόντι μετά την ανασύσταση και τον εκτροχισμό

Τελική εικόνα με τη θήκη δοντιού

Τελική εικόνα με τη θήκη δοντιού
Περιστατικό – Θήκη / στεφάνη δοντιού
Η ασθενής επισκέφτηκε το ιατρείο με την επιθυμία να διατηρήσει ένα δόντι και πιο συγκεκριμένα τον πρώτο αριστερό προγόμφιο, στον οποίο πριν χρόνια είχε αποκατασταθεί με σφράγισμα και τους τελευταίους μήνες την ενοχλούσε.
Μετά την κλινική και ακτινογραφική εξέταση του δοντιού διαπιστώθηκε οτι για τη διατήρηση του δοντιού απαιτείται η απονεύρωση δοντιού και η αποκατάσταση του με θήκη δοντιού (στεφάνη δοντιού).
Η θεραπεία του δοντιού ξεκίνησε με την απονεύρωση του δοντιού. Μετά την έμφραξη των ριζικών σωλήνων του δοντιού, ακολούθησε η τοποθέτηση άξονα υαλονημάτων για το “χτίσιμο” του δοντιού. Η διαδικασία ολοκληρώθηκε με το τρόχισμα του δοντιού και τη λήψη αποτυπωμάτων για την κατασκευή θήκης δοντιού από τον οδοντοτεχνίτη. Μετά τις ανάλογες προσαρμογές η στεφάνη δοντιού συγκολλήθηκε.
Στο συγκεκριμένο περιστατικό με τις τεχνικές και τα εργαλεία της σύγχρονης οδοντιατρικής ήταν δυνατόν από μια ρίζα δοντιού να κατασκευαστεί μία θήκη δοντιού και η ασθενής να μη χάσει το δόντι που είχε απομείνει στο στόμα της.

ΠΡΙΝ

META

ΠΡΙΝ

Το δόντι μετά από την τοποθέτηση άξονα υαλονημάτων και τον εκτροχισμό

META

META
Περιστατικό – Θήκη / στεφάνη δοντιού
Ο ασθενής επισκέφτηκε το ιατρείο καθώς είχε έντονο συνεχόμενο πόνο στη δεξιά μεριά της άνω γνάθου. Μετά την κλινική εξέταση και ακτινογραφική εξέταση διαπιστώθηκε οτι το δόντι που προκαλούσε τα συμπτώματα πόνου ήταν ο πρώτος δεξιός γομφίος, ο οποίος είχε αποκατασταθεί παλαιότερα με θήκη δοντιού
Αποφασίστηκε η αφαίρεση της παλιάς θήκης και η εκ νέου αποκατάσταση του δοντιού. Μετά την αφαίρεση της στεφάνης παρατηρήθηκε μία έντονη δυσοσμία, η οποία ομολογούσε τη νέκρωση του δοντιού. Η θεραπεία επιλογής στο συγκεκριμένο περιστατικό ήταν η απονεύρωση του δοντιού κ η κατασκευή νέας θήκης δοντιού.
Η θεραπεία του δοντιού ξεκίνησε με την απονεύρωση του δοντιού. Μετά την έμφραξη των ριζικών σωλήνων του δοντιού, ακολούθησε η το “χτίσιμο” του δοντιού με λευκό σφράγισμα ρητίνης για την αποκατάσταση του οδοντικού ελλείμματος. Η διαδικασία ολοκληρώθηκε με το τρόχισμα του δοντιού και τη λήψη αποτυπωμάτων για την κατασκευή θήκης δοντιού από τον οδοντοτεχνίτη. Μετά τις ανάλογες προσαρμογές η στεφάνη δοντιού συγκολλήθηκε.
Το δόντι είναι πλέον ασυμπτωματικό και ο ασθενής διατηρεί το δόντι στο στόμα του.

ΠΡΙΝ

Το δόντι μετά την αφαίρεση της παλιάς θήκης

Το δόντι μετά την αποκατάσταση του ελλείμματος με σφράγισμα ρητίνης και τον εκτροχισμό του

Προσωρινή θήκη του δοντιού που κατασκευάστηκε στο ιατρείο

Τελική εικόνα

Τελική εικόνα
Περιστατικό – Θήκη / στεφάνη δοντιού
Η ασθενής επισκέφτηκε το ιατρείο με την επιθυμία να διατηρήσει ένα δόντι και πιο συγκεκριμένα τον πρώτο κάτω δεξί γομφίο, ο οποίος πριν χρόνια είχε αποκατασταθεί με σφράγισμα αμαλγάματος.
Μετά τη χορήγηση τοπικής αναισθησίας αφαιρέθηκε το μεγάλης έκτασης μαύρο σφράγισμα, το οδοντικό έλλειμμα αποκαταστάθηκε με λευκό σφράγισμα σύνθετης ρητίνης και το δόντι τροχίστηκε ώστε να τοποθετηθεί θήκη δοντιού. Η θήκη δοντιού στην προκειμένη περίπτωση ήταν η ιδανική λύση θεραπείας ώστε το δόντι να είναι πλήρως προστατευμένο και να αποφευχθεί η τυχόν θραύση του. Στη συνέχεια λήφθηκαν αποτυπώματα, τα οποία στάλθηκαν στον οδοντοτεχνίτη για την κατασκευή στεφάνης δοντιού. Όταν η θήκη ήταν έτοιμη ακολούθησε η συγκόλλησή της στο δόντι.
Με την παραπάνω θεραπεία το υποκείμενο δόντι προστατεύτηκε πλήρως και η ασθενής δεν εμφανίζει συμπτώματα πόνου

ΠΡΙΝ

Το δόντι μετά την αποκατάσταση του ελλείμματος με σφράγισμα ρητίνης και τον εκτροχισμό του

META
Περιστατικό – Άμεση προσθετική αποκατάσταση πρόσθιου δοντιού
Η ασθενής επισκέφτηκε το ιατρείο με την επιθυμία να αποκαταστήσει τον πάνω αριστερό κεντρικό τομέα, ο οποίος είχε έντονη κινητικότητα και τον πονούσε κατά η μάσηση. Για τον ασθενή ήταν σημαντική η άμεση αποκατάσταση του δοντιού για αισθητικούς λόγους.
Πριν την εξαγωγή του δοντιού λήφθηκαν αποτυπώματα, τα οποία εστάλησαν στον οδοντοτεχνίτη για την κατασκευή της προσθετικής αποκατάστασης. Εφόσον η εργασία ήταν έτοιμη από τον οδοντοτεχνίτη, ακολούθησε το ραντεβού της εξαγωγής.
Μετά τη χορήγηση τοπικής αναισθησίας απομακρύνθηκε το δόντι με την έντονη κινητικότητα και ακολούθησε η αιμόσταση της πληγής του εξαχθέντος δοντιού. Εφόσον η αιμορραγία σταμάτησε, τοποθετήθηκε στο στόμα του ασθενή το δόντι με τα διαφανή άγκιστρα συγκράτησης που είχε κατασκευαστεί από τον οδοντοτεχνίτη.
Σε μία συνεδρία ακολούθησε η θεραπευτική αντιμετώπιση και η αισθητική αποκατάσταση του ασθενή.

ΠΡΙΝ

Εικόνα μετά την εξαγωγή του δοντιού και την αιμόσταση

META

Καμία αισθητική διαφορά από το παρακείμενο δόντι όταν ο ασθενής χαμογελά

Η προσθετική κατασκευή με διάφανα άγκιστρα συγκράτησης
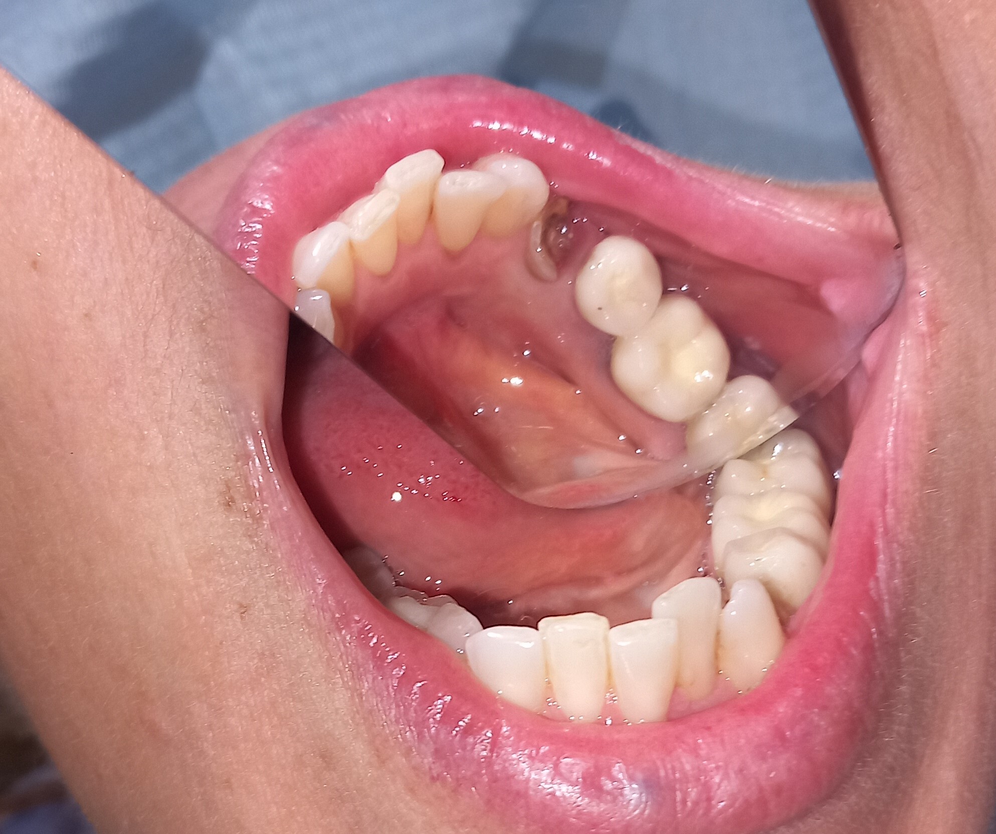
Περιστατικό – Θήκες / στεφάνες δοντιών
Ο ασθενής επισκέφτηκε το ιατρείο ως επείγον περιστατικό, καθώς κατά τη διάρκεια ενός ταξιδιού αποκολλήθηκαν 2 στεφάνες που είχε στην αριστερή πλευρά της άνω γνάθου.
Μετά την κλινική και ακτινογραφική εξέταση του δοντιού διαπιστώθηκε οτι το ένα δόντι ήταν απονευρωμένο (2ος προγόμφιος) ενώ το δεύτερο (1ος προγόμφιος) όχι. Μετά από συνεννόηση με τον ασθενή αποφασίστηκε το παρακάτω σχέδιο θεραπείας :
- Το ένα δόντι (1ος προγόμφιος) επειδή είχε καταστραφεί στο ύψος του νεύρου του δοντιού ήταν απαραίτητο να απονευρωθεί και στη συνέχεια να το τοποθετηθεί μεταλλοκεραμική θήκη δοντιού.
- Το απονευρωμένο δόντι (2ος προγόμφιος) πρόκειται να αποκατασταθεί με άξονα υαλονημάτων και στη συνέχεια θα ακολουθούσε ο εκτροχισμός του και η τοποθέτηση μεταλλοκεραμικής θήκης δοντιού.
Η θεραπεία ξεκίνησε με την απονεύρωση του πρώτου προγόμφιου (μη απονευρωμένο δόντι). Σε επόμενο ραντεβού και εφόσον είχε ολοκληρωθεί η απονεύρωση του πρώτου προγομφίου ακολούθησε η ανασύσταση του δοντιού με σύνθετη ρητίνη και ο εκτροχισμός του. Όσον αφορά το απονευρωμένο δόντι (δεύτερος προγόμφιος) η αποκατάσταση του πραγματοποιήθηκε με την τοποθέτηση άξονα υαλονημάτων και την ανασύσταση του με σύνθετη ρητίνη.
Εφόσον τα δόντια είχαν τροχιστεί και είχε ολοκληρωθεί η προετοιμασία τους, η διαδικασία ολοκληρώθηκε με τη λήψη αποτυπωμάτων. Σε επόμενο ραντεβού πραγματοποιήθηκε η δοκιμή των στεφανών και μετά τις ανάλογες προσαρμογές στο στόμα του ασθενή, οι δύο θήκες συγκολλήθηκαν στα δόντια.
Είναι εμφανές οτι στη σύγχρονη οδοντιατρική είναι δυνατόν χρησιμοποιώντας τα σύγχρονα μέσα και υλικά να σωθεί ακόμη και μια ρίζα δοντιού και να κατασκευαστεί πάνω σε αυτή θήκη δοντιού. Μ΄αυτόν τον τρόπο δίνεται η δυνατότητα στον ασθενή να μη χάσει το δόντι που είχε απομείνει στο στόμα του.

ΠΡΙΝ

ΠΡΙΝ

Τα δόντια μετά από την ανασύσταση τους και τον εκτροχισμό

Τα δόντια μετά από την ανασύσταση τους και τον εκτροχισμό

META

META
Περιστατικό – Θήκη / στεφάνη δοντιού
Μετά την περάτωση της απονεύρωσης, η κλινική εικόνα του δοντιού ήταν αυτή που αποτυπώνεται στην πρώτη φωτογραφία. Οι εναπομείναντες υγιείς οδοντικοί ιστοί ήταν ελάχιστοι και το δόντι θα έπρεπε να προστατευτεί με την τοποθέτηση μιας θήκης / στεφάνης δοντιού.
Σε πρώτη φάση πραγματοποιήθηκε η ανασύσταση του δοντιού με άξονα υαλονημάτων και με σύνθετη ρητίνη. Ακολούθησε ο εκτροχισμός του δοντιού, η λήψη αποτυπωμάτων και η αποστολή τους στον οδοντοτεχνίτη. Μετά τους απαραίτητους ελέγχους σε διάστημα δέκα ημερών πραγματοποιήθηκε η συγκόλληση της θήκης στο υποκείμενο δόντι.

ΠΡΙΝ

META

ΠΡΙΝ

Το δόντι μετά από την τοποθέτηση άξονα υαλονημάτων και τον εκτροχισμό

META

META
Περιστατικό – Διατήρηση ρίζας δοντιού με θήκη / στεφάνη δοντιού
Ο ασθενής είχε ολοκληρώσει την απονεύρωση δοντιού στο δεύτερο κάτω αριστερό προγόμφιο χωρίς όμως να προχωρήσει στην προστασία του δοντιού με θήκη. Στο συγκεκριμένο περιστατικό, σύμφωνα πάντα με τα λεγόμενα του ασθενή, είχε προταθεί η αποκατάσταση του δοντιού με στεφάνη, εφόσον έλλειπε μεγάλο τμήμα του δοντιού και ήταν επικίνδυνο να σπάσει. Πράγματι μετά από καιρό το δόντι έσπασε και απέμεινε μόνο η ρίζα του δοντιού. Ο ασθενής επιθυμούσε τη διατήρηση του δοντιού στο στόμα του παρόλο που του είχε προταθεί η εξαγωγή του συγκεκριμένου δοντιού.
Μετά την κλινική και ακτινογραφική εξέταση διαπιστώθηκε οτι το δόντι θα μπορούσε να σωθεί δεδομένου οτι θα τοποθετούταν στη ρίζα του δοντιού ειδικός άξονας και στη συνέχεια το δόντι θα προστατευόταν με θήκη δοντιού.
Πράγματι το δόντι προετοιμάστηκε κατάλληλα και τοποθετήθηκε στο εσωτερικό της ρίζας λευκός άξονας υαλονημάτων. Ακολούθησε η ανασύσταση της μύλης του δοντιού και ο εκτροχισμός του ψευδοκολοβώματος. Στη συνέχεια λήφθηκαν αποτυπώματα και στάλθηκαν στον οδοντοτεχνίτη για την κατασκευή της θήκης του δοντιού.
Όταν η θήκη ήταν έτοιμη πραγματοποιήθηκαν οι απαραίτητες πρόβες της θήκης. Στο τέλος η θήκη συγκολλήθηκε και ο ασθενής όπως ανέφερε αισθάνεται το δόντι του σταθερό.
Απαραίτητη προϋπόθεση για τη καλή πρόγνωση του δοντιού και τη μακρόχρονη διατήρησή του στο στόμα του ασθενή είναι η εφαρμογή καλής στοματικής υγιεινής από τον ασθενή.

Αρχική ακτινογραφική εικόνα του δόντιου

ΠΡΙΝ

Το δόντι μετά από την τοποθέτηση άξονα υαλονημάτων και τον εκτροχισμό

Το δόντι μετά από την τοποθέτηση άξονα υαλονημάτων και τον εκτροχισμό

META

META
Περιστατικό – Συγκόλληση εξαχθέντος δοντιού
Η ασθενής αισθανόταν περιοδικά έναν πόνο στην πρόσθια περιοχή της κάτω γνάθου. Η ασθενής έπασχε από χρόνια περιοδοντίτιδα. Μετά την ακτινογραφική εξέταση στην περιοχή των κάτω κεντρικών τομέων διαπιστώθηκε μία σαφώς περιγεγραμμένη έντονη ακρορριζική αλλοίωση στον κάτω δεξιό κεντρικό τομέα. Δυστυχώς η ακτινογραφία είχε δοθεί στην ασθενή, η οποία δεν είχε στη διάθεσή της πλέον την ακτινογραφία για την προβολή της στη συγκεκριμένη ιστοσελίδα. Το δόντι είχε έντονη κινητικότητα και ήταν νεκρό.
Μετά την κλινική και ακτινογραφική εξέταση του εν λόγω δοντιού κρίθηκε αναγκαία η εξαγωγή του. Η ασθενής δεν επιθυμούσε την κατασκευή γέφυρας στην περιοχή (ή την τοποθέτηση εμφυτεύματος) και προτεραιότητά της ήταν η άμεση λειτουργική και αισθητική αποκατάσταση του ελλείμματος. Σε συνεννόηση με την ασθενή αποφασίστηκε η εξαγωγή του δοντιού και η άμεση συγκόλληση του στα διπλανά δόντια με τη χρήση απλώς σύνθετης ρητίνης.
Η φωτογραφία που παρατίθεται παρακάτω αφορά επανέλεγχο μετά από δέκα χρόνια, όπου το δόντι παραμένει στη θέση του. Απαραίτητη προϋπόθεση για τη διατήρηση του δοντιού στην αρχική του θέση είναι ο ετήσιος οδοντιατρικός έλεγχος για τη συντήρηση της αποκατάστασης με προσθήκη υλικού στα σημεία που τυχόν χάνεται με το πέρασμα του χρόνου.

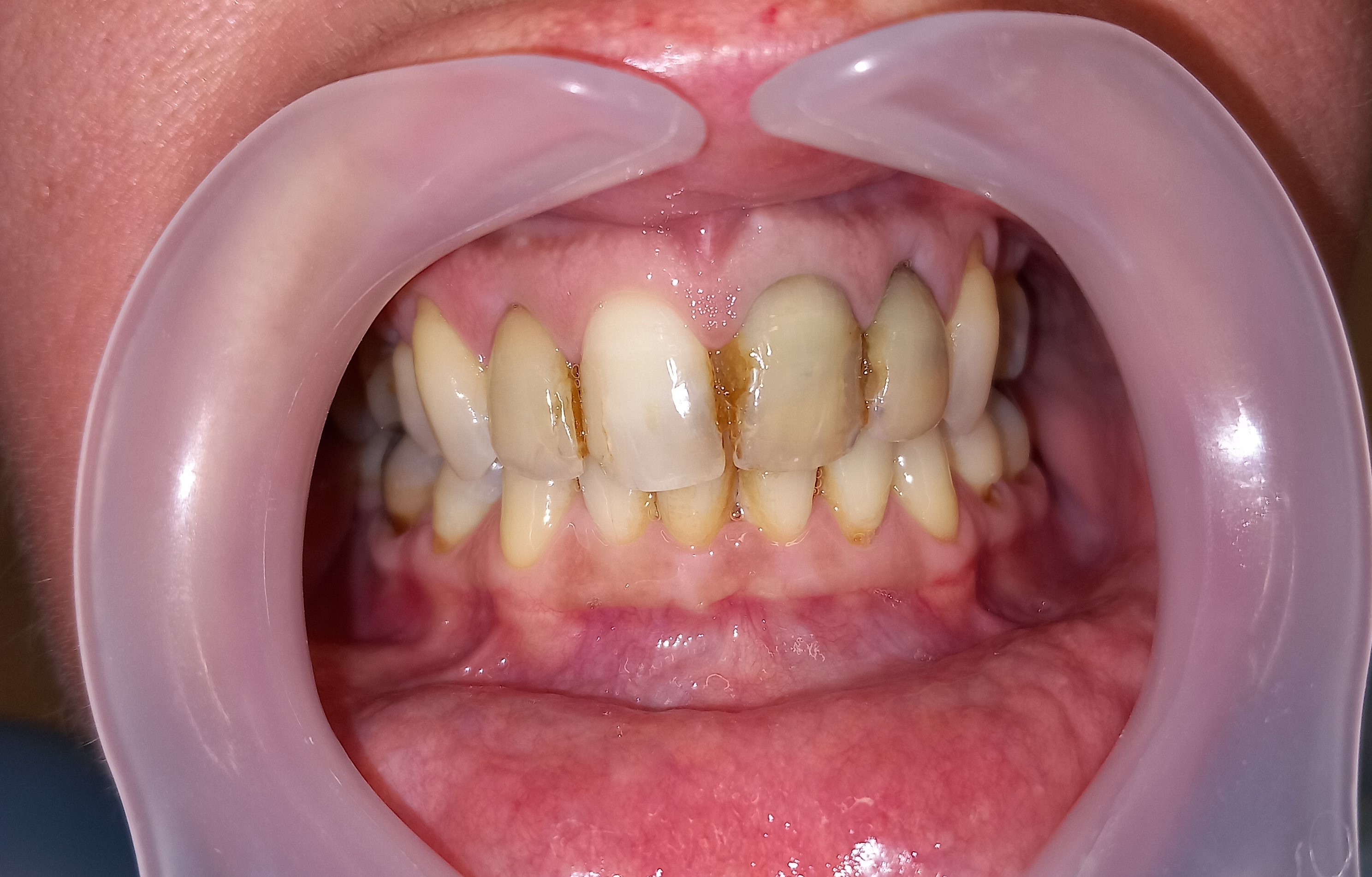
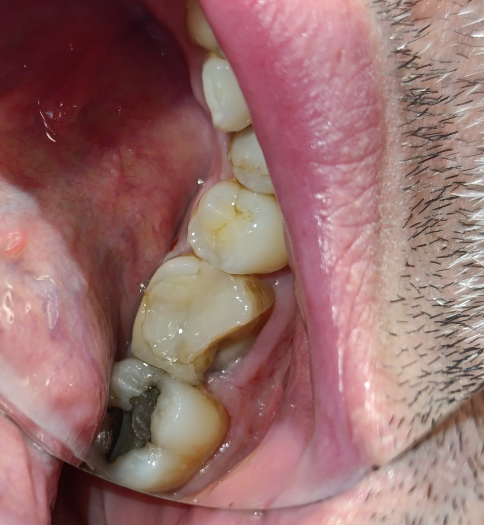
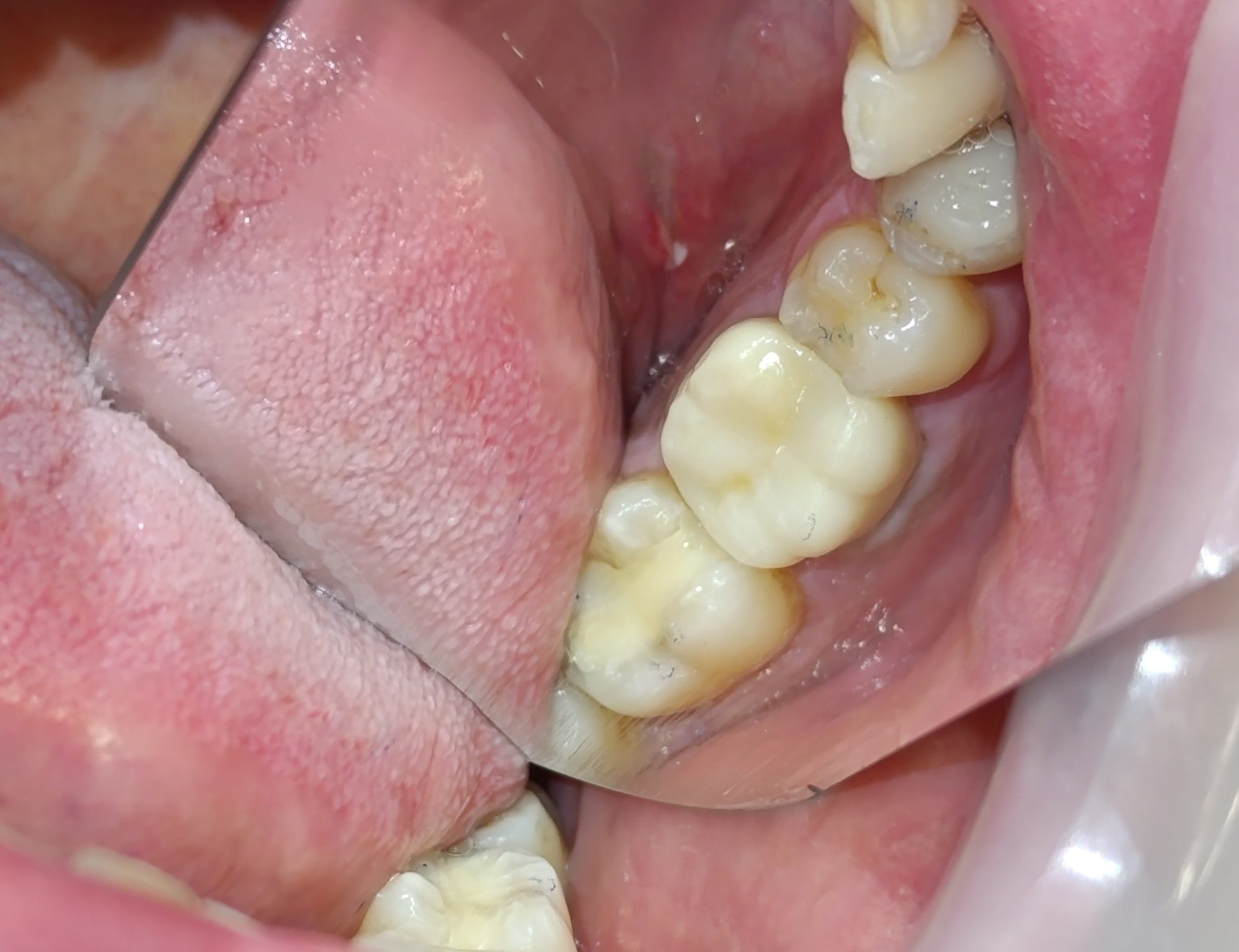
Περιστατικό – Σφραγίσματα δοντιών και θήκη δοντιού
Η ασθενής προσήλθε στο ιατρείο με την επιθυμία να αποκαταστήσει τα δόντια της. Μετά την κλινική εξέταση διαπιστώθηκε στην πάνω αριστερή πλευρά ότι 3 δόντια χρειαζόταν την άμεση οδοντιατρική θεραπεία. Όπως φαίνεται και στις φωτογραφίες στον πρώτο προγόφιο και στο δεύτερο γομφίο υπήρχαν παλιές εμφράξεις ρητίνης (λευκά σφραγίσματα) τα οποία είχαν επανατερηδονιστεί. Μετά τον εκτροχισμο των παλιών σφραγισμάτων, αφαιρέθηκε η τερηδόνα που εντοπιζόταν κάτω από τα σφραγίσματα και τα 2 αυτά δόντια αποκαταστάθηκαν με νέα λευκά σφραγίσματα. Ο πρώτος γομφιος παρουσίαζε ένα εκτεταμένο παλιό σφράγισμα αμαλγάματος και επιπλέον ένα κομμάτι του φυσικού δοντιού είχε σπάσει. Λόγω της εκτεταμένης βλάβης του δοντιού αποφασίστηκε η αποκατάσταση του δοντιού με μία στεφάνη (θήκη) ζιρκονίου.

ΠΡΙΝ

META

