Περιστατικό – Ολική αποκατάσταση σφραγισμάτων δοντιών
Ο ασθενής είχε παλιά σφραγίσματα και επιθυμία του ήταν η ολική αποκατάσταση του στόματος του και η αντικατάσταση των παλαιών σφραγισμάτων του με νέα λευκά σφραγίσματα σύνθετης ρητίνης.

ΠΡΙΝ

META

Αυχενικό σφράγισμα – αρχική εικόνα

Αυχενικό σφράγισμα – τελική εικόνα

ΠΡΙΝ

Εικόνα των δοντιών μετά την αφαίρεση των μαύρων σφραγισμάτων

META

META
Περιστατικό – Ολική αποκατάσταση σφραγισμάτων δοντιών
Η ασθενής προσήλθε στο ιατρείο με σκοπό να αντικαταστήσει κάποια παλιά σφραγίσματα, τα οποία περιστασιακά της έδιναν συμπτώματα πόνου. όπως δείχνουν οι φωτογραφίες τα δόντια αποκαταστάθηκαν με νέα λευκά σφραγίσματα.

ΠΡΙΝ

Εικόνα της τερηδονικής κοιλότητας μετά τη διάνοιξη του δοντιού

META

Αρχική εικόνα κάτω αριστερών γομφίων

Εικόνα 1ου κάτω αριστερού γομφίου μετά τη διάνοιξη του

Τελική εικόνα 1ου κάτω αριστερού γομφίου

Τελική εικόνα 2ου κάτω αριστερού γομφίου
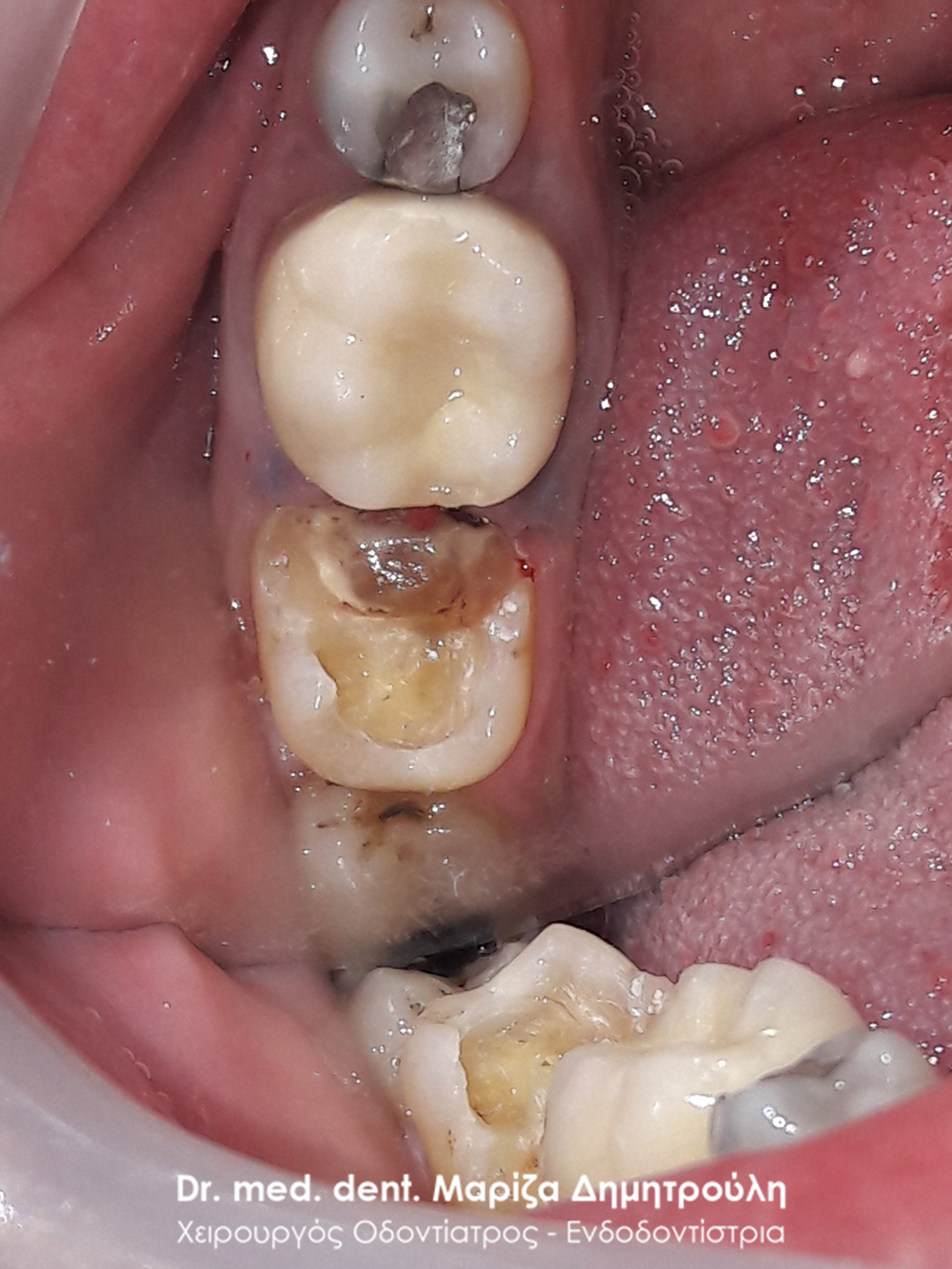
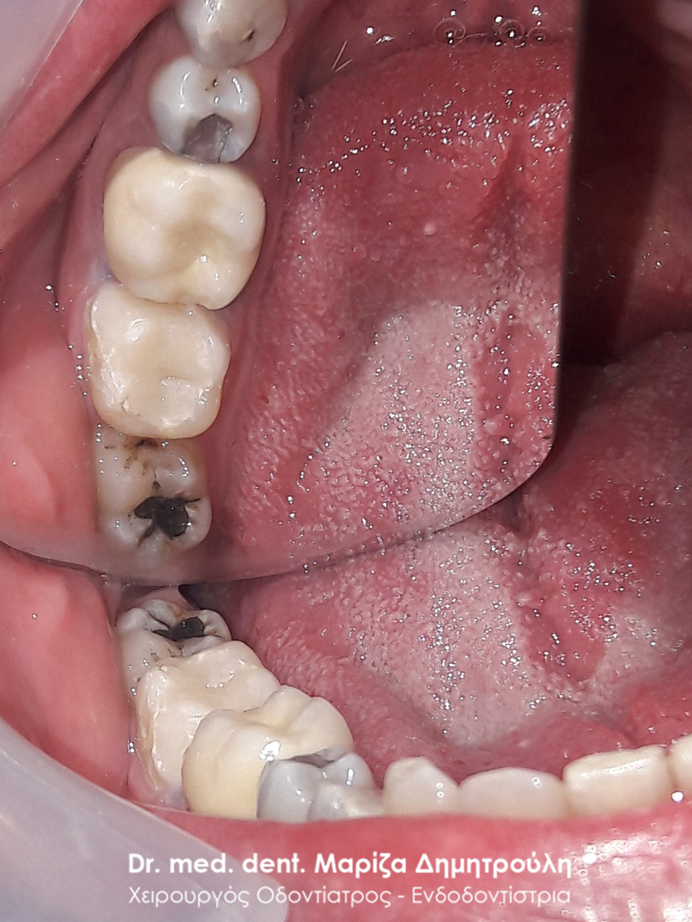
Περιστατικό – Αλλαγή μαύρων σφραγισμάτων δοντιών
Η ασθενής επιθυμούσε την αντικατάσταση των μαύρων σφραγισμάτων αμαλγάματος με λευκά σφραγίσματα, γιατί την ενοχλούσαν τόσο αισθητικά όσο και λειτουργικά, εφόσον ανάμεσα στα δύο δόντια μαζευόντουσαν τροφές. Πραγματοποιήθηκε η αντικατάσταση των παλιών σφραγισμάτων με νέα λευκά σφραγίσματα.

ΠΡΙΝ

Εικόνα των δοντιών με τη χρήση ελαστικού απομονωτήρα

Εικόνα των δοντιών μετά την αφαίρεση των σφραγισμάτων αμαλγάματος

ΜΕΤΑ

ΜΕΤΑ
Περιστατικό – Σφραγίσματα πρόσθιων δοντιών
Η ασθενής προσήλθε στο ιατρείο για τον προληπτικό ετήσιο έλεγχο. Μετά την κλινική εξέταση διαπιστώθηκε ο επανατερηδονισμός των τεσσάρων άνω πρόσθιων δοντιών. Προγραμματίστηκε και πραγματοποιήθηκε η αντικατάσταση των παλιών σφραγισμάτων με νέα λευκά σφραγίσματα.

ΠΡΙΝ

META
Περιστατικό – Σφραγίσματα πρόσθιων δοντιών
Η ασθενής επισκέφτηκε το ιατρείο με σκοπό την αντικατάσταση των τεσσάρων παλιών σφραγισμάτων στα άνω πρόσθια δόντια. Μετά την αφαίρεση των παλιών σφραγισμάτων σύνθετης ρητίνης και την απομάκρυνση της τερηδόνας (κάτω από τα παλιά σφραγίσματα) έγινε η ανσύσταση των δοντιών με νέα λευκά σφραγίσματα.

ΠΡΙΝ

META
Περιστατικό – Σφράγισμα πρόσθιου δοντιού
Στο συγκεκριμένο ασθενή πραγματοποιήθηκε στο ιατρείο απονεύρωση του άνω δεξιού κεντρικού τομέα. Κατά τη διάρκεια του τελευταίου ραντεβού της απονεύρωσης αποκόλλησε το λευκό σφράγισμα ρητίνης που είχε πραγματοποιηθεί από τον παραπέμποντα οδοντίατρο. Η αντιμετώπιση έπρεπε να πραγματοποιηθεί άμεσα λόγω της θέσης του δοντιού σε εμφανές σημείο του στόματος.
Η παρακάτω αποκατάσταση πραγματοποιήθηκε σε διάρκεια εντός 15 λεπτών (λόγω χρονικής πίεσης του προγράμματος του ιατρείου) ως προσωρινή λύση στο πρόβλημα του ασθενούς. Το δόντι θα πρέπει στο μέλλον να αποκατασταθεί με άξονα υαλονημάτων και τοποθέτηση θήκης δοντιού, τα οποία λόγω του νεαρού της ηλικίας του ασθενούς θα πρέπει να αναβληθούν μέχρι την ηλικία των 18 ετών.

ΠΡΙΝ

META
Περιστατικό – Λευκό σφράγισμα δοντιού
Ο ασθενής επιθυμούσε την αποκατάσταση μιας κοιλότητας που τον ενοχλούσε τον τελευταίο καιρό στη μάσηση. Η τερηδονική κοιλότητα εντοπιζόταν στον κάτω δεύτερο δεξιό προγόμφιο και το λευκό σφράγισμα πραγματοποιήθηκε με το υλικό της σύνθετης ρητίνης.

ΠΡΙΝ

META
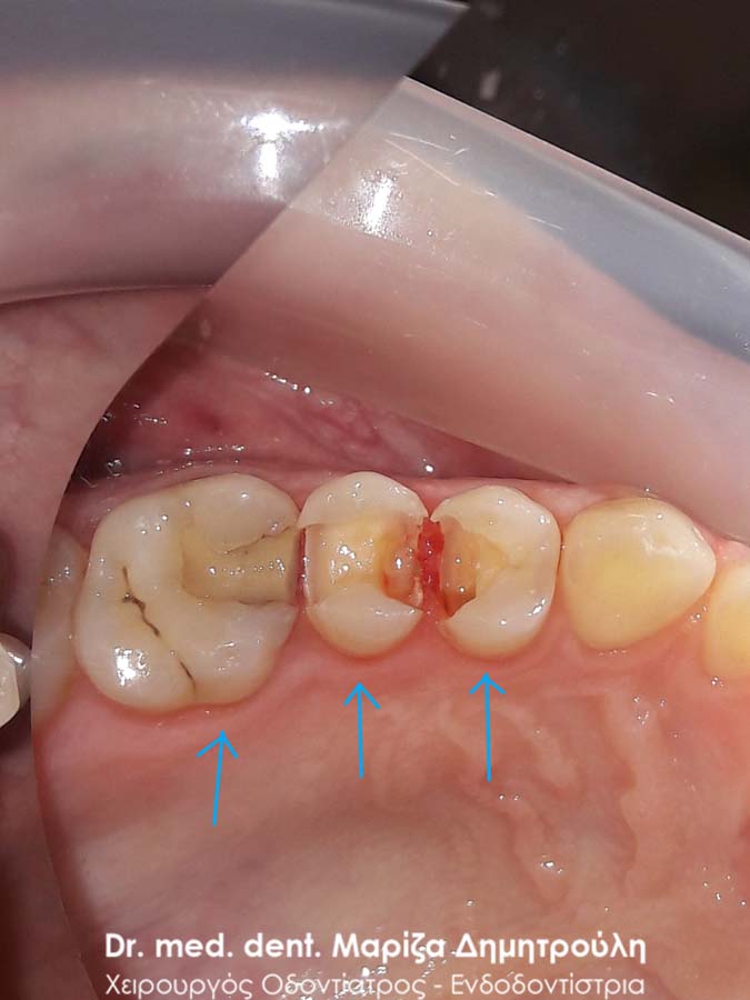
Περιστατικό – Λευκά σφραγίσματα δύο δοντιών
Στα πλαίσια του ετήσιου οδοντιατρικού ελέγχου εντοπίστηκαν στον ασθενή δύο μικρής έκτασης τερηδονισμένα δόντια στη δεξιά πλευρά της άνω γνάθου. Τα παλιά λευκά σφραγίσματα που διέθεταν οι δύο άνω δεξιοί γομφίοι είχαν επανατερηδονιστεί. Μετά τη χορήγηση τοπικής αναισθησίας αφαιρέθηκαν οι παλιές λευκές εμφράξεις των δοντιών, απομακρύνθηκε η τερηδόνα και να δόντια αποκαταστάθηκαν με νέα λευκά σφραγίσματα ρητίνης.

ΠΡΙΝ

META
Περιστατικό – Λευκά σφραγίσματα δύο δοντιών
Στο παρόν περιστατικό απουσιάζει η αρχική εικόνα των δύο δοντιών πριν αρχίσει ο εκτροχισμός τους. Διαθέσιμες είναι μόνο η ενδιάμεση εικόνα που παρουσιάζει το εύρος του οδοντικού ελλείμματος στα δύο γομφίους της αριστερής πλευράς της άνω γνάθου και η τελική εικόνα αποκατάστασης των δύο δοντιών.
Η ασθενής αισθανόταν τις τελευταίες μέρες έναν ήπιο πόνο κατά τη μάσηση τροφών. Μετά την κλινική εξέταση του στόματος διαπιστώθηκε η ύπαρξη τερηδονικών κοιλοτήτων στους δύο άνω αριστερούς γομφίους. Αποφασίστηκε με τη συναίνεση της ασθενούς η αντικατάσταση των σφραγισμάτων. Στον πρώτο γομφίο διορθώθηκε μόνο η μισή έκταση του παλιού σφραγίσματος, καθώς κρίθηκε οτι δεν ήταν απαραίτητη η αφαίρεση ολόκληρου του παλιού σφραγίσματος.

ΠΡΙΝ

META
Περιστατικό – Αυχενικό σφράγισμα δοντιού
Ο ασθενής επιθυμούσε την αποκατάσταση της αυχενικής αλλοίωσης, που παρουσίαζε στον κάτω δεξιό δεύτερο προγόμφιο. Η θεραπεία πραγματοποιήθηκε με λευκό σφράγισμα σύνθετης ρητίνης.

ΠΡΙΝ

META
Περιστατικό – Σφράγισμα δοντιού
Η ασθενής επισκέφτηκε το ιατρείο ως επείγον περιστατικό με την επιθυμία της άμεσης και γρήγορης αποκατάστασης του σπασμένου δοντιού της που την πονούσε. Υπό τις προαναφερθέντες συνθήκες η θεραπεία επιλογής ήταν η ανασύσταση του δοντιού λευκό σφράγισμα σύνθετης ρητίνης. Η θεραπεία ολοκληρώθηκε εντός 20 λεπτών και η ασθενής μπορούσε να επιστρέψει άμεσα στη δουλειά της.

ΠΡΙΝ

META
Περιστατικό – Σφράγισμα δοντιού
Στα πλαίσια του ετήσιου οδοντιατρικού ελέγχου εντοπίστηκε ένα τερηδονισμένο δόντι, το οποίο δεν είχε γίνει αντιληπτό από τον ασθενή. Προτού ξεκινήσει η διαδικασία τροχίσματος του δοντιού, ο ασθενής ενημερώθηκε οτι η τερηδόνα πιθανόν να εκτείνεται βαθιά (στο ύψος του νεύρου του δοντιού), γεγονός που επιβεβαιώθηκε κατά τη διάνοιξη της κοιλότητας (2η φωτογραφία). Η αποκατάσταση του δοντιού πραγματοποιήθηκε με λευκό σφράγισμα ρητίνης.

ΠΡΙΝ

Εικόνα της βαθιάς τερηδονικής κοιλότητας του δοντιού

ΜΕΤΑ
Περιστατικό – Σφράγισμα δοντιού
Ο ασθενής μετά το πέρας της ενδοδοντικής θεραπείας του δοντιού προτίμησε (για οικονομικούς λόγους) την αποκατάσταση του με λευκό σφράγισμα σύνθετης ρητίνης έναντι της τοποθέτησης θήκης δοντιού, η οποία σαφώς προστατεύει το δόντι με μεγαλύτερη ασφάλεια. Στο συγκεκριμένο δόντι επειδή απουσίαζε μεγάλο τμήμα οδοντικού ιστού δεν ήταν δυνατόν ένα απλό σφράγισμα ρητίνης να αποδώσει επαρκές σημείο επαφής με το παρακείμενο δόντι. Ο ασθενής ενημερώθηκε και δεν τον ενοχλούσε.
Στην προκειμένη περίπτωση οι οδοντίατροι θα πρέπει να ενημερώνουν τον ασθενή οτι υπάρχει μεγάλος κίνδυνος θραύσης τόσο του σφραγίσματος όσο και του απονευρωμένου δοντιού. Η τοποθέτηση θήκης σε απονευρωμένα δόντια με μεγάλο έλλειμμα οδοντικής ουσίας ενδείκνυται για προστασία από τυχόν κατάγματα δοντιού.

ΠΡΙΝ

META
Περιστατικό – Σφράγισμα δοντιού
Ο ασθενής συνηδειτοποίησε οτι έσπασε ένα κομμάτι από το παλιό σφράγισμα αμαλγάματος που είχε στο δεξιό κάτω πρώτο γομφίο. Η κλινική εξέταση αποκάλυψε οτι μαζί με κομμάτι του αμαλγάματος έσπασε επιπρόσθετα και κομμάτι του δοντιού. Η πρώτη φωτογραφία δείχνει την εικόνα του δοντιού αμέσως μετά την αφαίρεση του εναπομείναντος αμαλγάματος και τον εκτροχισμό των τερηδονισμένων οδοντικών ιστών. Στον ασθενή εξηγήθηκε οτι το έλλειμμα ήταν μεγάλο και για την καλύτερη προστασία του δοντιού θα έπρεπε να κατασκεαστεί στεφάνη / θήκη δοντιού. Ο ασθενής προτίμησε για οικονομικούς λόγους την αποκατάσταση του δοντιού με λευκό σφράγισμα σύνθετης ρητίνης.

ΠΡΙΝ

META
Περιστατικό – Σφράγισμα δοντιού
Στα πλαίσια του ετήσιου οδοντιατρικού ελέγχου διαπιστώθηκε μία μικρής έκτασης τερηδονική κοιλότητα στον κάτω δεύτερο γομφίο. Η αποκατάσταση πραγματοποιήθηκε με λευκό σφράγισμα σύνθετης ρητίνης. Σε γενικές γραμμές συστήνεται η τερηδόνα να προλαμβάνεται σε πρώιμο στάδιο προτού δράσει για μεγάλο χρονικό διάστημα σε ένα δόντι και προκαλέσει την εκτεταμένη απώλεια οδοντικού ιστού. Στην προκειμένη περίπτωση ισχύει “όσο νωρίτερα τόσο καλύτερα”.

ΠΡΙΝ

META
Περιστατικό – Σφράγισμα δοντιού
Ο ασθενής προσήλθε με πόνο στο ιατρείο στην αριστερή πλευρά της άνω γνάθου. Μετά την κλινική εξέταση διαπιστώθηκε η ύπαρξη ενός παλιού μαύρου σφραγίσματος αμαλγάματος στον αριστερό δεύτερο γομφίο (προτελευταίο δόντι), το οποίο είχε επανατερηδονιστεί και προκαλούσε πόνο στον ασθενή κατά τη μάσηση. Μετά τη χορήγηση τοπικής αναισθησίας αφαιρέθηκε το παλιό σφράγισμα αμαλγάματος, απομακρύνθηκαν οι τερηδονισμένοι οδοντικοί ιστοί και το δόντι αποκαταστάθηκε με νέο λευκό σφράγισμα σύνθετης ρητίνης.

ΠΡΙΝ

META
Περιστατικό – Σφράγισμα δοντιού
Η ασθενής προσήλθε στο ιατρείο με ήπιες ενοχλήσεις στην αριστερή πλευρά της κάτω γνάθου. Μετά την κλινική εξέταση διαπιστώθηκε τερηδονική κοιλότητα μικρής έκτασης, αλλά με υποψία οτι εκτεινόταν σε αρκετό βάθος κοντά στο νεύρο του δοντιού. Μετά τον εκτροχισμό του δοντιού και τη διάνοιξη της κοιλότητας, επιβεβαιώθηκαν οι υποψίες καθώς η τερηδόνα εκτεινόταν κοντά στο ύψος του νεύρου του δοντιού. Ακολούθησε η απομάκρυνση της τερηδόνας και η τοποθέτηση ειδικού υλικού με αναγεννητικές και επουλωτικές ιδιότητες για την προστασία του πολφού (νεύρου) του δοντιού.

ΠΡΙΝ

Εικόνα του δοντιού αμέσως μετά τη διάνοιξη της κοιλότητας

Τοποθέτηση υλικού για την προστασία του νεύρου του δοντιού

META
Περιστατικό – Σφράγισμα δοντιού
Η ασθενής παραπονιόταν για έναν ενοχλητικό πόνο στην αριστερή πλευρά της άνω γνάθου. Μετά την κλινική εξέταση διαπιστώθηκε μια βαθιά τερηδονική κοιλότητα στον πρώτο αριστερό γομφίο της άνω γνάθου. Χορηγήθηκε τοπική αναισθησία και πραγματοποιήθηκε η διάνοιξη της κοιλότητας και η απομάκρυνση των τερηδονισμένων οδοντικών ιστών. Το έλλειμμα του δοντιού αποκαταστάθηκε με λευκό σφράγισμα σύνθετης ρητίνης.

ΠΡΙΝ

Η έκταση της τερηδόνας στο δόντι μετά τη διάνοιξη της κοιλότητας

META
Περιστατικό – Σφραγίσματα δοντιών και Προσθετική
Η ασθενής προσήλθε στο ιατρείο με την επιθυμία να αποκαταστήσει τα δόντια της. Μετά την κλινική εξέταση διαπιστώθηκε στην πάνω αριστερή πλευρά ότι 3 δόντια χρειαζόταν την άμεση οδοντιατρική θεραπεία. Όπως φαίνεται και στις φωτογραφίες στον πρώτο προγόφιο και στο δεύτερο γομφίο υπήρχαν παλιές εμφράξεις ρητίνης (λευκά σφραγίσματα) τα οποία είχαν επανατερηδονιστεί. Μετά τον εκτροχισμο των παλιών σφραγισμάτων, αφαιρέθηκε η τερηδόνα που εντοπιζόταν κάτω από τα σφραγίσματα και τα 2 αυτά δόντια αποκαταστάθηκαν με νέα λευκά σφραγίσματα. Ο πρώτος γομφιος παρουσίαζε ένα εκτεταμένο παλιό σφράγισμα αμαλγάματος και επιπλέον ένα κομμάτι του φυσικού δοντιού είχε σπάσει. Λόγω της εκτεταμένης βλάβης του δοντιού αποφασίστηκε η αποκατάσταση του δοντιού με μία στεφάνη (θήκη) ζιρκονίου.

ΠΡΙΝ

META
Περιστατικό – Σφράγισμα δοντιού
Ο ασθενής ανέφερε πόνο στην πάνω δεξιά πλευρά. Μετά την κλινική εξέταση διαπιστώθηκε μια μεσαίου βαθμού τερηδονική αλλοίωση στο δεξί πάνω πρώτο γομφίο. Αποφασίστηκε η αποκατάσταση του δοντιού με λευκό σφράγισμα.

ΠΡΙΝ

META
Περιστατικό – Σφράγισμα δοντιού
Ο ασθενής ανέφερε έναν ήπιο περιοδικό πόνο κατά τη μάσηση, που τον εντόπιζε στην άνω δεξιά πλευρά του στόματος του. Μετά την κλινική εξέταση διαπιστώθηκε μία μικρή τερηδονική κοιλότητα, η οποία και αποκαταστάθηκε με λευκό σφράγισμα σύνθετης ρητίνης.

ΠΡΙΝ

META
Περιστατικό – Αντικατάσταση σφραγισμάτων σε 2 δόντια
Στα πλαίσια του ετήσιου οδοντιατρικού ελέγχου διαπιστώθηκαν κάποια παλιά σφραγίσματα, τα οποία απαιτούσαν την αντικατάσταση τους εφόσον τα όρια τους ήταν ατελή και δεν είχαν ερμητική επαφή με το δόντι. Στην αρχική αριστερή φωτογραφία φαίνεται και η έντονη κίτρινη απόχρωση των παλιών σφραγισμάτων. Μετά την αφαίρεση των παλιών εμφράξεων και το καθαρισμό της τερηδόνας πραγματοποιήθηκε αποκατάσταση των δοντιών με νέα λευκά σφραγίσματα σύνθετης ρητίνης.

ΠΡΙΝ

META
Περιστατικό – Λευκό σφράγισμα δοντιού

ΠΡΙΝ

META
Περιστατικό – Λευκό σφράγισμα δοντιού
Ο κάτω δεξιός δεύτερος γομφίος αποκαταστάθηκε πριν ένα μήνα με σφράγισμα ρητίνης. Η ασθενής επισκέφτηκε το ιατρείο γιατί το δόντι την πονούσε συνεχόμενα μετά τη δημιουργία του σφραγίσματος. Μετά τη χορήγηση τοπικής αναισθησίας τροχίστηκε το παλιό λευκό σφράγισμα και διαπιστώθηκε οτι το υλικό του σφραγίσματος εκτεινόταν στο ύψος του νεύρου του δοντιού. Το γεγονός αυτό προκαλούσε τα συμπτώματα πόνου στην ασθενή. Στο δόντι τοποθετήθηκε ειδικό υλικό έμφραξης με καταπραϋντική και επουλωτική ιδιότητα. Σε δεύτερο ραντεβού εφόσον η ασθενής πλέον δεν πονούσε, το δόντι αποκαταστάθηκε με το νέο τελικό λευκό σφράγισμα σύνθετης ρητίνης.

ΠΡΙΝ

META
Περιστατικό – Αντικατάσταση σφραγίσματος δοντιού
Η ασθενής είχε ένα παλιό σφράγισμα, το οποίο την πονούσε είτε όταν μασούσε είτε αυθόρμητα χωρίς την παρουσία κάποιου ερεθίσματος. Αποφασίστηκε η αφαίρεση του παλιού σφραγίσματος και η προσωρινή αποκατάσταση του δοντιού με ειδικό εμφρακτικό υλικό, το οποίο διαθέτει καταπραϋντική ιδιότητα. Εφόσον τα συμπτώματα της ασθενούς υποχώρησαν, πραγματοποιήθηκε σε δεύτερο ραντεβού η τελική αποκατάσταση του δοντιού με λευκό σφράγισμα σύνθετης ρητίνης.

ΠΡΙΝ

META
Περιστατικό – Σφράγισμα δοντιού
Η ασθενής περιοδικά αισθανόταν μία μικρή ενόχληση κάθε φορά που έτρωγε στην αριστερή πλευρά της άνω γνάθου. Η εξέταση αποκάλυψε την ύπαρξη μιας μικρής τερηδόνας στο δεύτερο γομφίο της άνω γνάθου. Μετά τον εκτροχισμό και την αφαίρεση της τερηδόνας το δόντι αποκαταστάθηκε με λευκό σφράγισμα ρητίνης.

ΠΡΙΝ

META
Περιστατικό – Αντικατάσταση σφραγισμάτων
Η ασθενής προσήλθε στο ιατρείο με την επιθυμία να αποκαταστήσει τα παλιά σφραγίσματα σε 2 δόντια. Η ασθενής ανέφερε οτι το ένα σφράγισμα που βρισκόταν στον πρώτο πάνω αριστερό γομφίο την πονούσε περιοδικά χωρίς ο πόνος να είναι έντονος και ανυπόφορος. Όπως μαρτυρούν και οι φωτογραφίες μετά την αφαίρεση του παλιού σφραγίσματος διαπιστώθηκε τερηδόνα, η οποία και προκαλούσε τον πόνο κατά τη μάσηση. Μετά την αφαίρεση των τερηδονισμένων οδοντικών ιστών πραγματοποιήθηκε αποκατάσταση του δοντιού με λευκό σφράγισμα σύνθετης ρητίνης.
Όσον αφορά το δεύτερο σφράγισμα στον κάτω δεξί πρώτο γομφίο επρόκειτο για μία προσωρινή αποκατάσταση του δοντιού μετά από ενδοδοντική θεραπεία (απονεύρωση), που έπρεπε να αντικατασταθεί με ένα τελικό σφράγισμα σύνθετης ρητίνης (λευκό σφράγισμα).

ΠΡΙΝ

Εικόνα του δοντιού μετά την αφαίρεση του παλιού σφραγίσματος

META

ΠΡΙΝ

META
Περιστατικό – Λευκά σφραγίσματα δοντιών
Στα πλαίσια του ετήσιου τυπικού οδοντιατρικού ελέγχου διαπιστώθηκαν στο στόμα της ασθενούς μικρές τερηδονικές κοιλότητες, οι οποίες αποκαταστάθηκαν με λευκά σφραγίσματα σύνθετης ρητίνης.

ΠΡΙΝ

META

META
Περιστατικό – Λευκά σφραγίσματα δοντιών
Η ασθενής είχε αντικαταστήσει πριν 2 μήνες 2 σφραγίσματα ( στον 1ο γομφίο και στον 1ο προγόμφιο) στην αριστερή πλευρά της άνω γνάθου. Ανέφερε οτι από τη στιγμή εκείνη υποφέρει από έντονους πόνους. Μετά την κλινική εξέταση διαπιστώθηκε η παρουσία τερηδόνας στο 2ο γομφίο και στο φρονιμίτη. Αποφασίστηκε η αποκατάσταση των τερηδονισμένων δοντιών με λευκά σφραγίσματα σύνθετης ρητίνης. Όσον αφορά τα δόντια με την ευαισθησία πραγματοποιήθηκε αντικατάσταση τους με προσωρινό καταπραυντικό υλικό σφραγίσματος. Σε επόμενο ραντεβού πραγματοποιήθηκε η τελική αποκατάσταση των δοντιών αυτών με λευκά σφραγίσματα ρητίνης.

ΠΡΙΝ

META

META
Περιστατικό – Αντικατάσταση σφραγίσματος δοντιού
Η ασθενής επισκέφτηκε το ιατρείο καθώς ο πρώτος κάτω δεξιός γομφίος την πονούσε περιοδικά. Μετά την κλινική εξέταση διαπιστώθηκε ένα παλιό μεγάλο σφράγισμα αμαλγάματος, του οποίου τα όρια δεν είχαν επαφή με το δόντι και είχαν δημιουργηθεί κενά μεταξύ του μαύρου σφραγίσματος και οδοντικών τοιχωμάτων. Αποφασίστηκε η αντικατάσταση του παλιού σφραγίσματος με νέο λευκό σφράγισμα σύνθετης ρητίνης.
Η μεσαία φωτογραφία δείχνει την το έλλειμμα του δοντιού μετά την αφαίρεση του σφραγίσματος αμαλγάματος και των τερηδονισμένων οδοντικών ιστών. Στη δεξιά φωτογραφία φαίνεται η τελική αποκατάσταση του δοντιού.

ΠΡΙΝ

Εικόνα του δοντιού μετά την αφαίρεση του παλιού σφραγίσματος και της τερηδόνας

META
Περιστατικό – Αντικατάσταση σφραγισμάτων δοντιών
Ο ασθενής επιθυμούσε την αντικατάσταση των παλιών μαύρων σφραγισμάτων αμαλγάματος με λευκά σφραγίσματα σύνθετης ρητίνης.
Η θεραπεία πραγματοποιήθηκε με τη χρήση ελαστικού απομονωτήρα, όπως ορίζουν τα παγκόσμια πρωτόκολλα οδοντιατρικής για την αφαίρεση των μαύρων σφραγισμάτων. Οι οδοντίατροι θα ήταν καλό να χρησιμοποιούν απομονωτήτρα κατά την αφαίρεση σφραγισμάτων αμαλγάματος, έτσι ώστε ο ασθενής να εισπνέει ελάχιστα και να μην καταπίνει τον υδράργυρο, που απελευθερώνεται κατά τη διαδικασία αυτή.
Το σχέδιο θεραπείας του πρώτου γομφίου (δόντι με πολύ λευκό σφράγισμα) ήταν υπό συζήτηση, γι΄ αυτό και η αποκατάσταση του δοντιού με προσωρινό σφράγισμα.

ΠΡΙΝ

META
Περιστατικό – Αντικατάσταση σφραγισμάτων δοντιών
Ο ασθενής αναφέρει έναν περιοδικό πόνο στην αριστερή μεριά της άνω γνάθου.
Μετά την κλινική εξέταση διαπιστώθηκε τρία παλιά λευκά σφραγίσματα, των οποίων τα όρια σε άλλα είχαν επανατερηδονιστεί και σε άλλα δεν είχαν επαφή με το δόντι και είχαν δημιουργηθεί κενά μεταξύ του σφραγίσματος και των οδοντικών τοιχωμάτων. Αποφασίστηκε η αντικατάσταση των παλιών σφραγισμάτων με νέα λευκά σφραγίσματα σύνθετης ρητίνης.

ΠΡΙΝ

META
Περιστατικό – Αντικατάσταση σφραγισμάτων δοντιών
Ο ασθενής επιθυμούσε την αντικατάσταση των μαύρων σφραγισμάτων αμαλγάματος στον πρώτο δεξιό γομφίο και στο δεύτερο γομφίο με λευκά σφραγίσματα σύνθετης ρητίνης. Η θεραπεία πραγματοποιήθηκε με τη χρήση ελαστικού απομονωτήρα, όπως ορίζουν τα παγκόσμια πρωτόκολλα οδοντιατρικής για την αφαίρεση των μαύρων σφραγισμάτων. Όταν οι οδοντίατροι χρησιμοποιούν απομονωτήτρα κατά την αφαίρεση σφραγισμάτων αμαλγάματος, τότε ο ασθενής εισπνέει ελάχιστα και δεν καταπίνει τον υδράργυρο, που απελευθερώνεται κατά τη διαδικασία αυτή.

ΠΡΙΝ

META
Περιστατικό – Απονεύρωση και σφράγισμα δοντιού
Ο ασθενής επισκέφτηκε το ιατρείο με σκοπό την αποκατάσταση μιας “τρύπας” που αντιλήφθηκε από μόνος του. Μετά την κλινική εξέταση διαπιστώθηκε μία τερηδονική βλάβη στον αριστερό πρώτο γομφίο. Παρόλο που η κοιλότητα δεν ήταν μεγάλη σε πλάτος η τερηδόνα εκτεινόταν έφτανε σε μεγάλο βάθος στο ύψος του πολφού, δηλαδή του νεύρου του δοντιού. Ξεκίνησε η διαδικασία της απονεύρωσης δοντιού και μετά την ολοκλήρωση της πραγματοποιήθηκε λευκό σφράγισμα σύνθετης ρητίνης. Η αποκατάσταση του δοντιού πραγματοποιήθηκε με σφράγισμα και όχι με θήκη δοντιού, γιατί το έλλειμμα του δοντιού δεν ήταν τόσο μεγάλο ώστε να απαιτείται η κατασκευή στεφάνης για την προστασία του.

ΠΡΙΝ

Απονεύρωση δοντιού

Αποκατάσταση δοντιού με προσωρινό σφράγισμα μετά το τέλος της απονεύρωσης

Τελικό λευκό σφράγισμα
Περιστατικό – Αντικατάσταση μαύρου σφράγισματος αμαλγάματος με λευκό σφράγισμα δοντιού
Ο ασθενής παρατήρησε οτι έσπασε ένα παλιό μαύρο σφράγισμα που είχε στον πρώτο γομφίο στη δεξιά πλευρά της κάτω γνάθου. Μετά τη χορήγηση τοπικής αναισθησίας τοποθετήθηκε ελαστικός απομονωτήρας για την ασφαλέστερη διεξαγωγή της διαδικασίας αφαίρεσης του μαύρου σφραγίσματος αμαλγάματος. Ο ελαστικός απομονωτήρας μειώνει τον κίνδυνο κατάποσης κομματιών και υδρατμών υδραργύρου που απελευθερώνονται κατά την αφαίρεση ενός σφραγίσματος αμαλγάματος. Εφόσον το παλιό σφράγισμα αφαιρέθηκε ακολούθησε η αποκατάσταση του δοντιού με νέο λευκό σφράγισμα ρητίνης.

ΠΡΙΝ

META
Περιστατικό – Αντικατάσταση μαύρου σφράγισματος αμαλγάματος με λευκό σφράγισμα δοντιού
Η ασθενής αναφέρει οτι πονάει κατά τη μάσηση στη δεξιά πλευρά της κάτω γνάθου. Μετά την κλινική εξέταση της περιοχής διαπιστώθηκε οτι είχε σπάσει κομμάτι από τον πρώτο γομφίο στη δεξιά πλευρά της κάτω γνάθου, ο οποίος παλαιότερα είχε αποκατασταθεί με μαύρο σφράγισμα αμαλγάματος. Είναι σύνηθες φαινόμενο στα δόντια με μαύρα σφραγίσματα μετά από χρόνια να σπάει κομμάτι του δοντιού, ενώ το σφράγισμα αμαλγάματος παραμένει ανέπαφο στη θέση του. Ακολούθησε η χορήγηση τοπικής αναισθησίας στην περιοχή του σπασμένου δοντιού και η αφαίρεση τόσο του παλιού σφραγίσματος αμαλγάματος όσο και της τερηδόνας που αποκαλύφθηκε κάτω από το μαύρο σφράγισμα. Η διαδικασία ολοκληρώθηκε με την αποκατάσταση του δοντιού με νέο λευκό σφράγισμα ρητίνης.

ΠΡΙΝ

META
Περιστατικό – Διόρθωση λευκού σφραγίσματος δοντιού
Στον ασθενή έσπασε ένα κομμάτι από το παλιό λευκό σφράγισμα ρητίνης που είχε στο δεξιό πρώτο γομφίο της κάτω γνάθου. Εφόσον το σφράγισμα ήταν μεγάλο και ο ασθενής δεν πονούσε αποφασίστηκε η διόρθωση και αποκατάσταση μόνο του ελλείποντος τμήματος του σφραγίσματος. Αρχικά τοποθετήθηκε ελαστικός απομονωτήρας ώστε να αποφευχθεί η επαφή του σάλιου με το σημείο αποκατάστασης του δοντιού. Στη συνέχεια το σπασμένο τμήμα του σφραγίσματος αποκαταστάθηκε με νέο σφράγισμα ρητίνης.

ΠΡΙΝ

META

META
Περιστατικό – Λευκό σφράγισμα δοντιού
Ο ασθενής παρατήρησε την ύπαρξη μιας τρύπας στο δεύτερο προγόμφιο στη δεξιά πλευρά της κάτω γνάθου. Γι αυτό το λόγο επισκέφτηκε το ιατρείο με σκοπό την αποκατάσταση της τερηδονικής κοιλότητας στο συγκεκριμένο δόντι. Μετά τη διάνοιξη του δοντιού και την απομάκρυνση της τερηδόνας η αποκατάσταση της βλάβης πραγματοποιήθηκε με λευκό σφράγισμα ρητίνης.

ΠΡΙΝ

META
Περιστατικό – Λευκό σφράγισμα δοντιού
Ο ασθενής επισκέφτηκε το ιατρείο καθώς πονάει έντονα κατά τη μάσηση στην αριστερή πλευρά της άνω γνάθου. Η κλινική εξέταση της περιοχής αποκάλυψε στον αριστερό δεύτερο γομφίο της άνω γνάθου μία βαθιά τερηδονική κοιλότητα, καθώς το παλιό σφράγισμα αμαλγάματος που υπήρχε στο δόντι επανατερηδονίστηκε. Η οδοντιατρική εργασία ξεκίνησε με την αναισθητοποίηση της περιοχής, την αφαίρεση του παλιού μαύρου σφραγίσματος και την απομάκρυνση της τερηδόνας. Επειδή η τερηδόνα εκτεινόταν βαθιά, στο ύψος του νεύρου του δοντιού, τοποθετήθηκε ειδικό υλικό προστασίας πολφού. Τέλος πραγματοποιήθηκε η ανασύσταση του δοντιού με λευκό σφράγισμα ρητίνης.

ΠΡΙΝ

META
Περιστατικό – Λευκό σφράγισμα δοντιού
Η ασθενής αναφέρει οτι έχει έναν ήπιο πόνο στην αριστερή πλευρά της άνω γνάθου. Επίσης προσθέτει οτι από τον πρώτο αριστερό γομφίο της άνω γνάθου είχε φύγει κομμάτι από το παλιό μαύρο σφράγισμα, το οποίο ο οδοντίατρος έκλεισε με ένα προσωρινό σφράγισμα. Επιθυμία της ήταν η τελική αποκατάσταση του δοντιού, καθώς περιοδικά έχει ενοχλήσεις κατά τη μάσηση. Αρχικά αναισθητοποιήθηκε η περιοχή του πρώτου γομφίου και στη συνέχεια αφαιρέθηκε τόσο το προσωρινό όσο και το μαύρο σφράγισμα. Στη συνέχεια απομακρύνθηκε η τερηδόνα και το δόντι αποκαταστάθηκε με λευκό σφράγισμα ρητίνης, με το οποίο αποδόθηκε καλό σημείο επαφής με το παρακείμενο δόντι, ώστε να μη συγκεντρώνονται υπολείμματα τροφών μεταξύ των δοντιών.

ΠΡΙΝ

META

META
Περιστατικό – Λευκά σφραγίσματα δοντιών
Η ασθενής ένοιωθε τον τελευταίο καιρό μια ήπια ενόχληση κατά τη μάσηση στην αριστερή πλευρά της άνω γνάθου, χωρίς να μπορεί να προσδιορίσει αν ο πόνος προέρχεται από κάποιο συγκεκριμένο δόντι. Η κλινική εξέταση αποκάλυψε τρία παλιά σφραγίσματα, τα οποία χρειάζονταν την άμεση αποκατάστασή τους εφόσον είχαν επανατερηδονιστεί. Ο χρωματισμός των ορίων σε ένα παλιό λευκό σφράγισμα αποτελεί ένδειξη επανατερηδονισμού ενός δοντιού. Μετά την αφαίρεση των παλιών λευκών σφραγισμάτων, υπό τη χρήση τοπικής αναισθησίας στην περιοχή των δοντιών, ακολούθησε η απομάκρυνση των τερηδονισμένων οδοντικών ιστών και η αποκατάσταση των δοντιών με νέα λευκά σφραγίσματα ρητίνης.

ΠΡΙΝ

Το έλλειμμα των οδοντικών ιστών μετά τη διάνοιξη της κοιλότητας

ΠΡΙΝ
Περιστατικό – Αυχενικό λευκό σφράγισμα δοντιού
Ο ασθενής επιθυμούσε την αποκατάσταση του οδοντικού ελλείμματος στον αυχένα του δεύτερου αριστερού κάτω προγόμφιου. Το έλλειμμα οδοντικού ιστού στο σημείο εκείνο προκαλούσε στον ασθενή έντονη ευαισθησία κατά τη λήψη κρύων ερεθισμάτων (ποτών και τροφών). Μετά την ανασύσταση του δοντιού τα συμπτώματα υποχώρησαν άμεσα.

ΠΡΙΝ

ΠΡΙΝ
Περιστατικό -Αντικατάσταση παλιού λευκού σφραγίσματος δοντιού

ΠΡΙΝ

ΠΡΙΝ
Περιστατικό -Λευκό σφράγισμα δοντιού
Η ασθενής επισκέφτηκε το ιατρείο καθώς πονάει αρκετά όταν μασάει στη δεξιά πλευρά της άνω γνάθου. Μετά την κλινική και ακτινογραφική εξέταση της περιοχής διαπιστώθηκε η παρουσία μιας βαθιάς “κρυμμένης” τερηδόνας στον πρώτο άνω δεξιό γομφίο. Σε συνεννόηση με την ασθενή αποφασίστηκε η διάνοιξη του δοντιού και η αποκατάστασή του με λευκό σφράγισμα σύνθετης ρητίνης. Π
Αρχικά χορηγήθηκε τοπική αναισθησία στην περιοχή του πονεμένου δοντιού και ξεκίνησε ο εκτροχισμός του. Η διάνοιξη του δοντιού πράγματι αποκάλυψε την ύπαρξη βαθιάς τερηδόνας, όπως δείχνουν και οι φωτογραφίες. Ακολούθησε η απομάκρυνση της τερηδόνας, η τοποθέτηση ειδικού υλικού για την προστασία του νεύρου του δοντιού και τέλος το οδοντικό έλλειμμα αποκαταστάθηκε με λευκό σφράγισμα.
Το δόντι είναι πλέον ασυμπτωματικό και η ασθενής μπορεί να μασάει χωρίς ενόχληση από τη δεξιά πλευρά της άνω γνάθου.

ΠΡΙΝ

Η έκταση της τερηδόνας μετά τη διάνοιξη της κοιλότητας

ΜΕΤΑ
Περιστατικό -Λευκό σφράγισμα δοντιού

ΠΡΙΝ

Εικόνα της βαθιάς εκτεταμένης τερηδόνας μετά τη διάνοιξη του δοντιού

ΜΕΤΑ

ΠΡΙΝ

ΜΕΤΑ
Περιστατικό -Λευκό σφράγισμα δοντιού

ΠΡΙΝ

ΠΡΙΝ

Βαθιά τερηδόνα κατά τη διάνοιξη των δοντιών

ΜΕΤΑ

ΜΕΤΑ

ΜΕΤΑ
Περιστατικό -Λευκό σφράγισμα δοντιού

ΠΡΙΝ

ΜΕΤΑ

