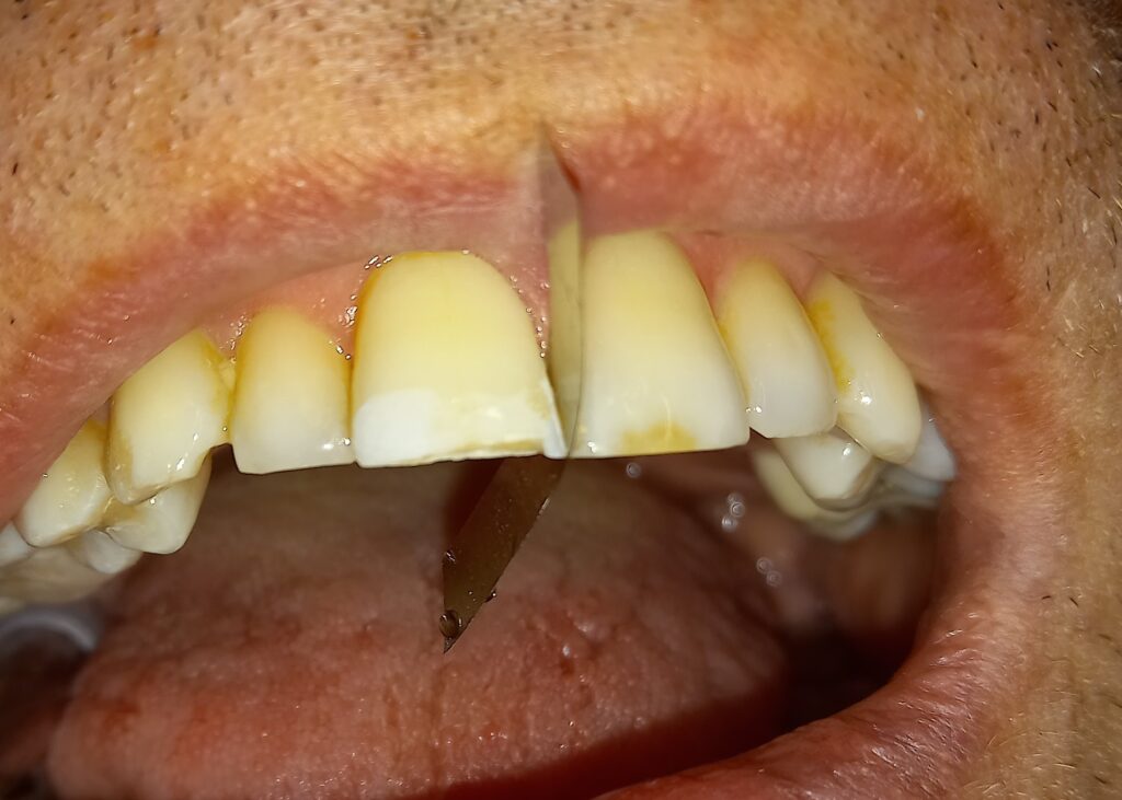
Ο ασθενής επιθυμούσε να διορθώσει το χαμόγελο του, καθώς εδώ και καιρό είχε σπάσει ο άνω δεξιός κεντρικός τομέας, λόγω της συνήθειας του να τρώει τα νύχια του. Η ονυχοφαγία αποτελεί μία δυσάρεστη έξη, η οποία δύσκολα αντιμετωπίζεται. Το συγκεκριμένο περιστατικό αποδεικνύει οτι εκτός από το αντιαισθητικό αποτέλεσμα των φαγωμένων νυχιών, το “φάγωμα” των νυχιών επιφέρει και λειτουργικά προβλήματα στο στόμα μας και πιο συγκεκριμένα στα δόντια μας.
Το σπασμένο κομμάτι αντικαταστάθηκε από λευκό αισθητικό σφράγισμα ρητίνης με άριστο αισθητικό αποτέλεσμα.

ΠΡΙΝ

ΜΕΤΑ

