Αυχενικές αλλοιώσεις σε δόντια

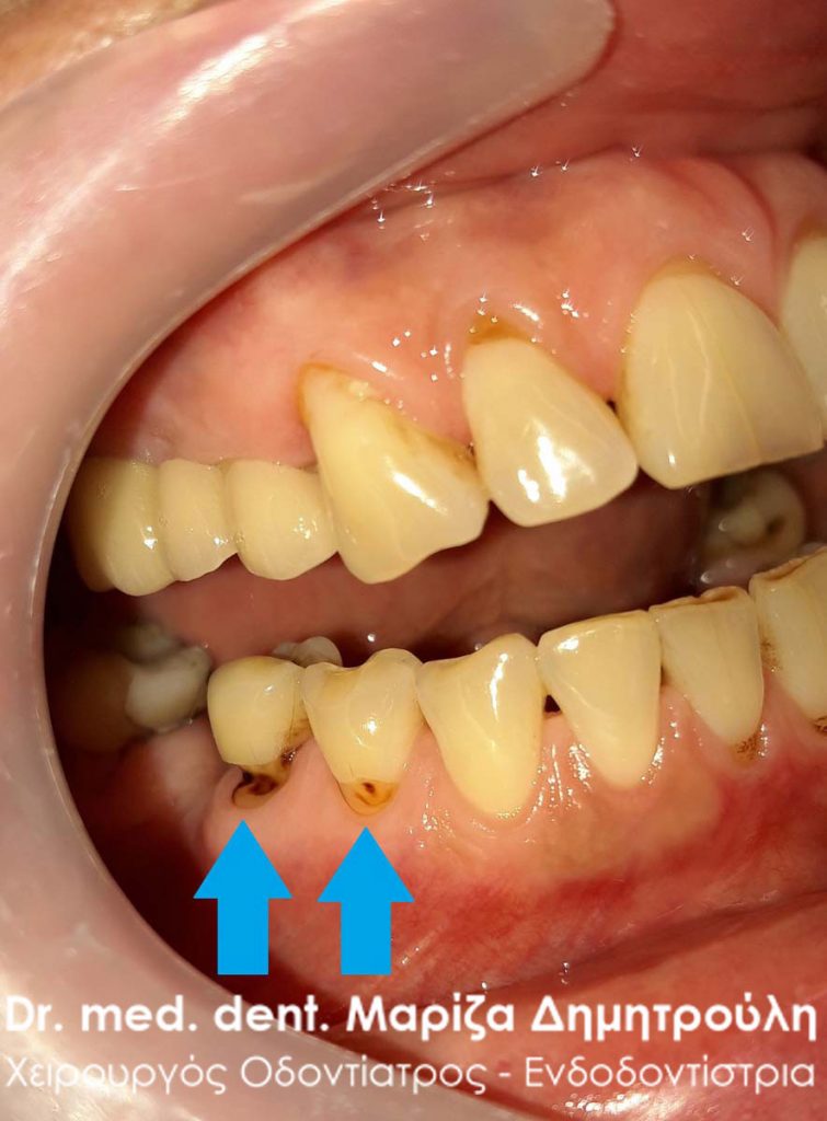
Οι αυχενικές αλλοιώσεις είναι βλάβες που εμφανίζονται στον αυχένα του δοντιού και έχουν τη χαρακτηριστική μορφή του «ξαπλωμένου» μισοφέγγαρου. Στην ουσία πρόκειται για αποτριβές του σμάλτου των δοντιών. Η πιο συχνή αιτία που προκαλεί αυτές τις αποτριβές είναι το συχνό και έντονο / νευρικό βούρτσισμα των δοντιών με σκληρή οδοντόβουρτσα. Ο ασθενής στην προσπάθεια του να καθαρίσει όσο το δυνατόν καλύτερα τα δόντια του, τα τρίβει έντονα προκαλώντας σιγά – σιγά την αποτριβή του σμάλτου των δοντιών. Καθώς ο σμάλτος των δοντιών (αδαμαντίνη) φθείρεται, αποκαλύπτεται μέσα στο στόμα η οδοντίνη του δοντιού (κατώτερο μαλακό τμήμα του δοντιού) και ο ασθενής αρχίζει να παραπονείται στον οδοντίατρο για ευαισθησία στα δόντια.

Ένας άλλος επιβαρυντικός παράγοντας, που επίσης μπορεί να προκαλέσει τις αυχενικές αλλοιώσεις των δοντιών, είναι το τρίξιμο / σφίξιμο δοντιών. Όταν ένας ασθενής σφίγγει τα δόντια του με το πέρασμα του χρόνου στο στόμα του κάνουν την εμφάνισή τους οι υφιζήσεις των ούλων. Συχνά λοιπόν οι υφιζήσεις των ούλων είναι πιθανό να συνοδεύονται με αυχενικές αλλοιώσεις, χωρίς βέβαια αυτό να αποτελεί τον κανόνα.

Η θεραπεία των αυχενικών αλλοιώσεων είναι μία οδοντιατρική πράξη ρουτίνας και πραγματοποιείται με λευκό σφράγισμα σύνθετης ρητίνης. Αισθητικά το λευκό σφράγισμα, εφόσον οι οδοντίατροι επιλέξουν το κατάλληλο χρώμα του υλικού αποκατάστασης, είναι ανεπαίσθητο και δε ξεχωρίζει από τα παρακείμενα δόντια.

Dr. Med. Dent. Μαρίζα Δημητρούλη

Dr. Med. Dent. Μαρίζα Δημητρούλη

Η Dr. med. dent. Μαρίζα Δημητρούλη είναι ειδικευμένη στο Πανεπιστήμιο Ανοβέρου Γερμανίας (ΜΗΗ) και παράλληλα Διδάκτωρ του ίδιου πανεπιστημίου. Επιπρόσθετα εργάστηκε σε οδοντιατρείο στο Βερολίνο. Ο τίτλος Ενδοδοντολόγου που κατέχει η Dr. Μ. Δημητρούλη ανανεώνεται κάθε εξαετία από την γερμανική εταιρεία Ενδοδοντίας. Διατηρεί ιδιωτικό ιατρείο στη Θεσσαλονίκη, Θέρμη.

LinkedIn
YouTube
Instagram
TikTok