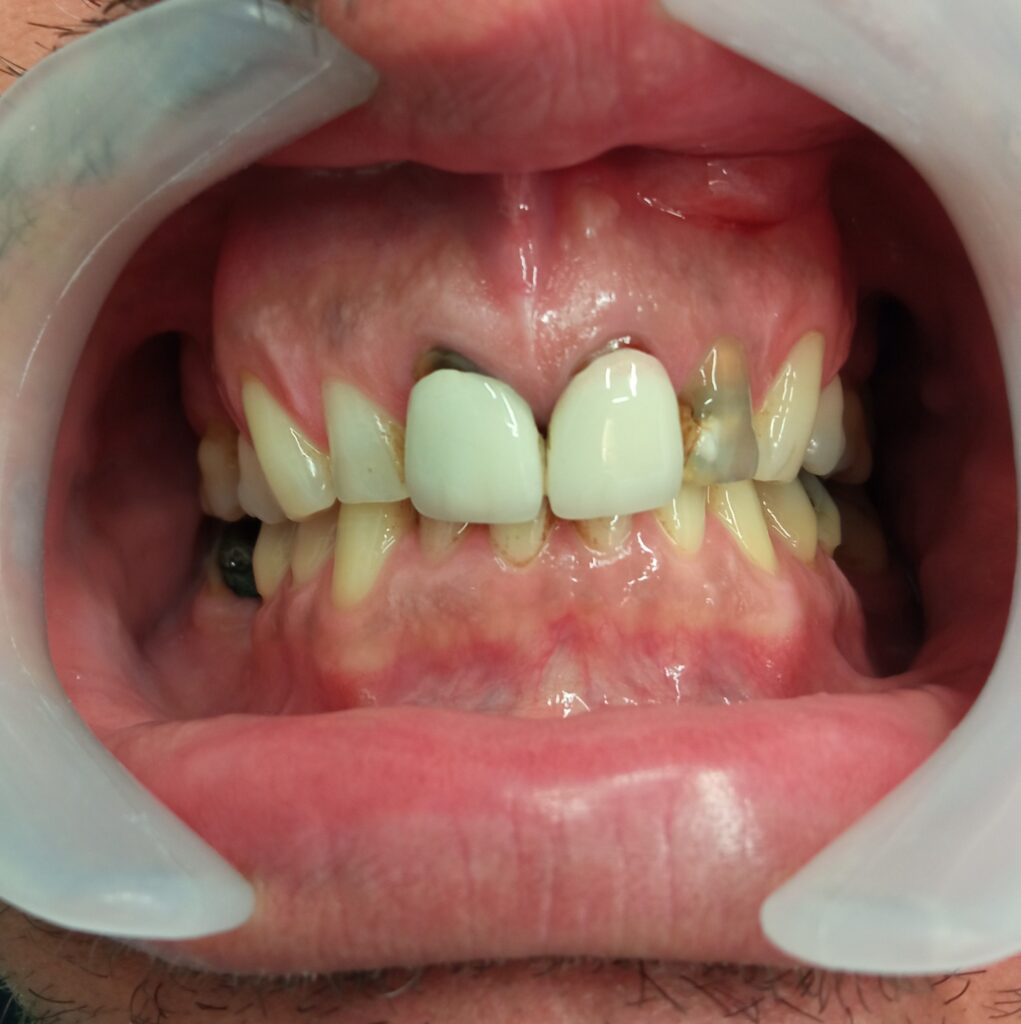
Ο ασθενής είχε μια παλιά μεταλλοκεραμική γέφυρα στην άνω πρόσθια περιοχή, την οποία θέλησε να την αντικαταστήσει με νέα προσθετική δουλειά καθώς τον ενοχλούσε πολύ αισθητικά. Μετά την αφαίρεση της παλιάς μεταλλοκεραμικής γέφυρας ακολούθησαν οι απαραίτητες οδοντιατρικές εργασίες (επανάληψη απονεύρωσης, αναδόμηση των δοντιών) στα δόντια στηρίγματα και η λήψη αποτυπώματος. Ο οδοντοτεχνίτης κατασκεύασε τη νέα ολοκεραμική γέφυρα, η οποία συγκολλήθηκε στο δόντι. Ο ασθενής είναι πλήρως ικανοποιημένος με το αισθητικό αποτέλεσμα.

ΠΡΙΝ

Τα δόντια μετά την αφαίρεση της παλιάς γέφυρας

Τα δόντια μετά την επανάληψη απονεύρωσης και την αναδόμησή τους

ΜΕΤΑ


