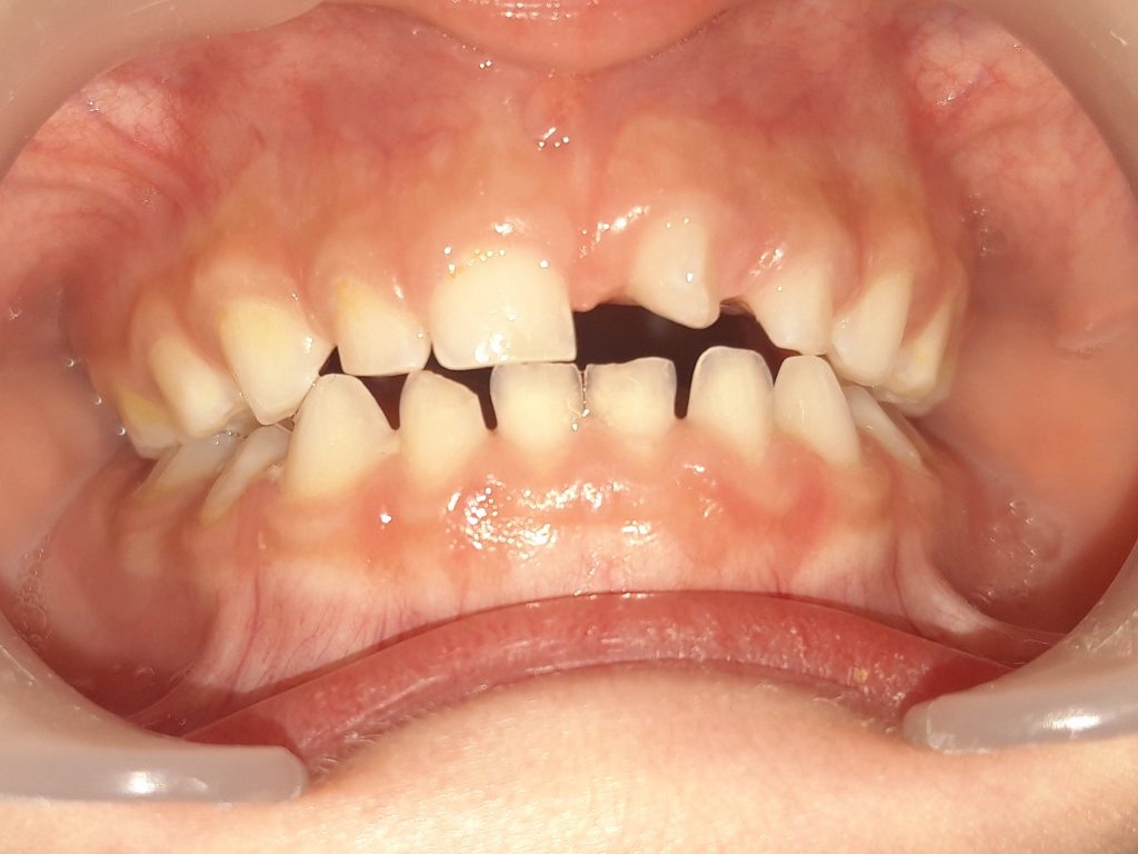
Στο στόμα των παιδιών εμφανίζονται πολλές φορές επιπλέον δόντια από το φυσιολογικό αριθμό δοντιών (παιδικών ή μόνιμων). Τα υπεράριθμα αυτά δόντια ονομάζονται μεσόδοντες και παρουσιάζονται με μεγαλύτερη συχνότητα στην άνω γνάθο, συνήθως ανάμεσα στους άνω κεντρικούς τομείς. Μορφολογικά έχουν μικρότερο μέγεθος από τα φυσιολογικά δόντια και η παρουσία τους μπορεί να προκαλέσει αισθητικά αλλά και λειτουργικά προβλήματα.
Η εμφάνιση των υπεράριθμων δοντιών έχει γενετική αιτιολογία.
Η σωστή διάγνωση ενός μεσόδοντα απαιτεί τη λήψη πανοραμικής ακτινογραφίας. Η ακτινογραφία αναδεικνύει οτι τα φυσιολογικά μόνιμα δόντια (συνήθως οι άνω κεντρικοί τομείς) υπάρχουν φυσιολογικά στη θέση τους μέσα στο οστό και ανάμεσα τους υπάρχει και ένα επιπλέον υπεράριθμο δόντι.
Ο μεσόδοντας δεν πονάει το παιδί απλά είναι ένα άσχημο αισθητικά δόντι, που ίσως να στεναχωρεί και να ενοχλεί τόσο το ίδιο το παιδί όσο και τους γονείς.
Όσον αφορά τη θεραπεία του μεσόδοντα συστήνεται η αφαίρεσή του, ώστε να εξασφαλίζεται η ανεμπόδιστη ανατολή των μόνιμων δοντιών στη φυσιολογική τους θέση. Η χρονική φάση που θα εξαχθεί ο μεσόδοντας εξαρτάται από :
- την ηλικία και τη συνεργασία του μικρού ασθενή. Υπάρχουν περιπτώσεις που ο μεσόδοντας εμφανίζεται στην ηλικία των 3- 4 ετών, οπότε τα επίπεδα συνεργασίας του παιδιού είναι περιορισμένα. Στην προκειμένη περίπτωση είναι καλό οι γονείς να περιμένουν λιγάκι για την αφαίρεση του υπεράριθμου δοντιού.
- Το βαθμό που ενοχλεί ο μεσόδοντας την εμφάνιση των αντίστοιχων μόνιμων δοντιών. Αν κανένας από τους δύο άνω κεντρικούς τομείς δεν έχει ανατείλει ακόμη, οι γονείς πάλι μπορούν να δώσουν ένα χρονικό περιθώριο για την εξαγωγή του “περίεργου δοντιού”.
Σε κάθε περίπτωση η έγκαιρη ενημέρωση των γονιών για οποιοδήποτε οδοντιατρικό πρόβλημα αφορά το στόμα του παιδιού τους προλαμβάνει τυχόν απορίες, μία τυχόν λανθασμένη αντιμετώπιση και γενικότερα ανήσυχες καταστάσεις.


