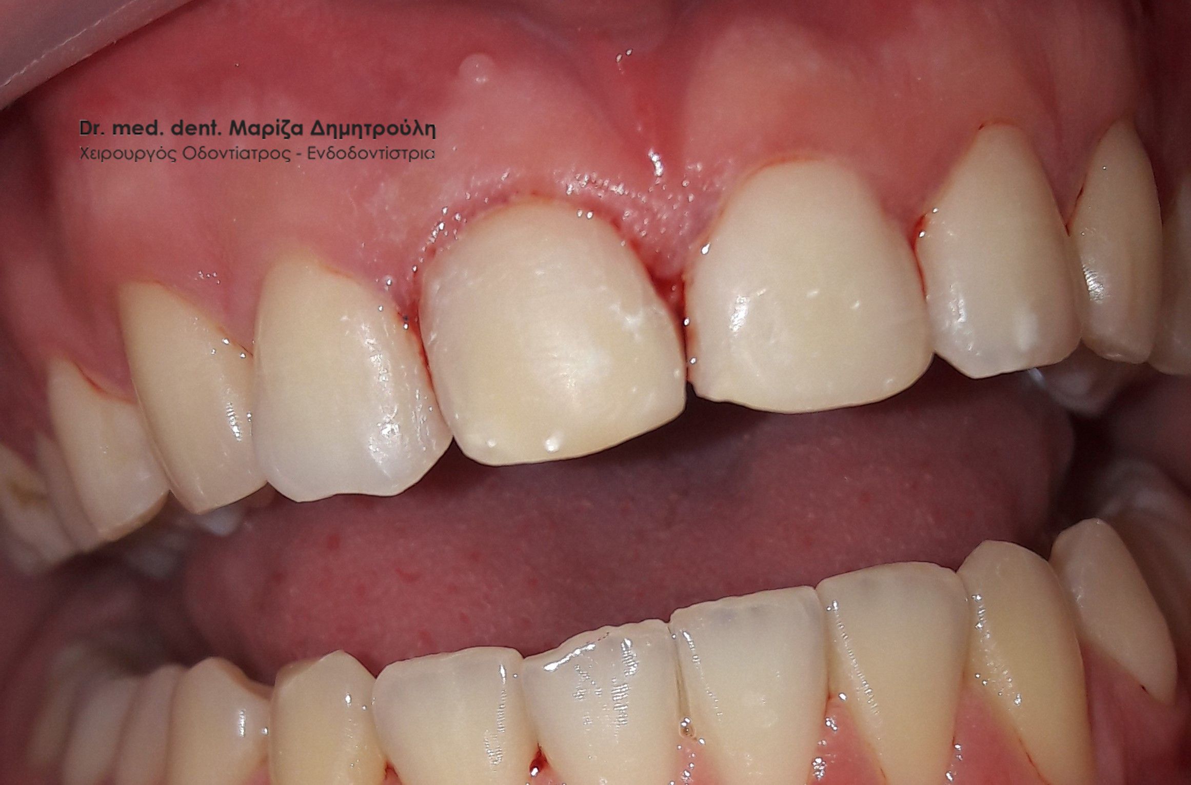
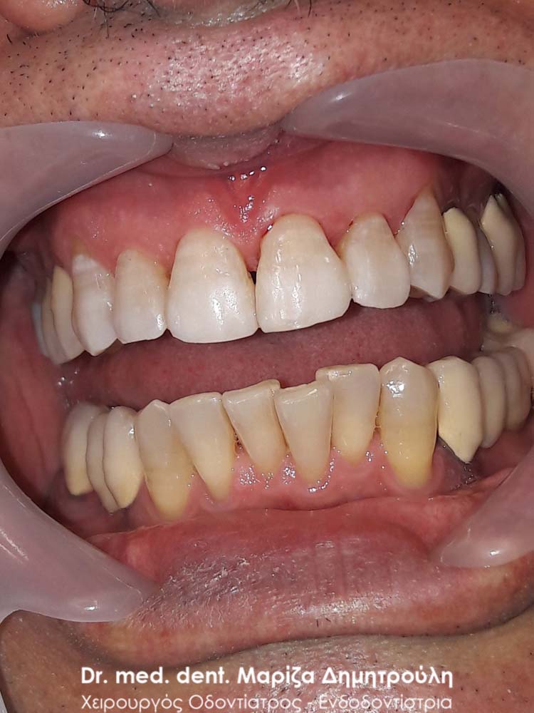
Aesthetic Dentistry

BEFORE

AFTER
Aesthetic Dentistry

BEFORE

BEFORE

Photo of the tooth after removal of temporary filling

Photo of the tooth after removal of temporary filling

AFTER

AFTER
Aesthetic Dentistry

BEFORE

AFTER

BEFORE

AFTER
Aesthetic Dentistry – Bleaching

BEFORE

AFTER
Aesthetic Dentistry

BEFORE

AFTER
Aesthetic Dentistry

BEFORE

AFTER
Aesthetic Dentistry

BEFORE

AFTER
Aesthetic Dentistry

BEFORE

BEFORE

AFTER

AFTER
Aesthetic Dentistry

BEFORE

AFTER
Aesthetic Dentistry

BEFORE

AFTER
Aesthetic Dentistry

BEFORE

AFTER
Aesthetic Dentistry

BEFORE

AFTER
Aesthetic Dentistry

BEFORE

AFTER
Aesthetic Dentistry

BEFORE

AFTER
Aesthetic Dentistry

BEFORE

AFTER
Aesthetic Dentistry

BEFORE

BEFORE


AFTER

AFTER
Aesthetic Dentistry

BEFORE

AFTER

