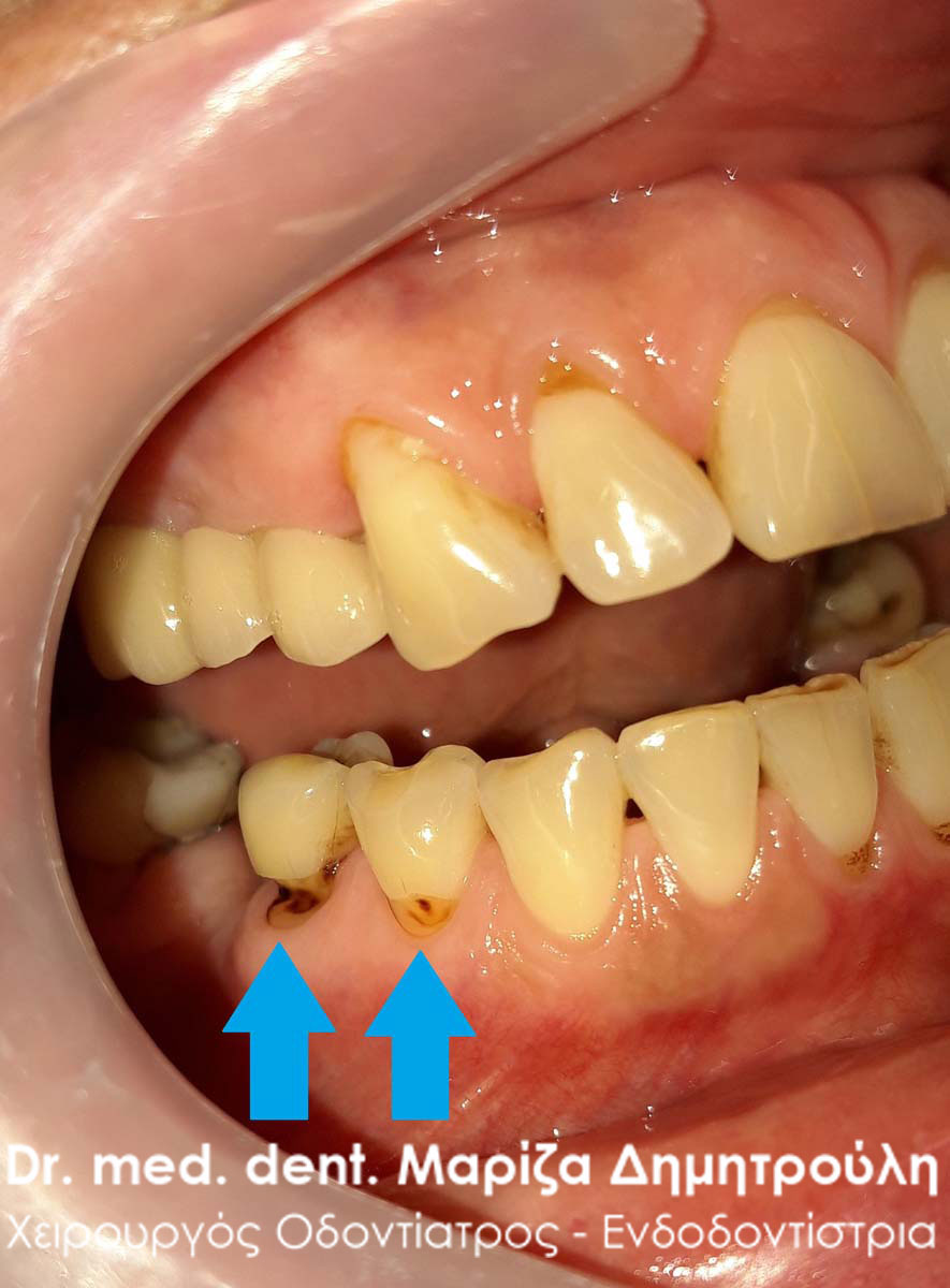
Tooth Neck Filling

BEFORE

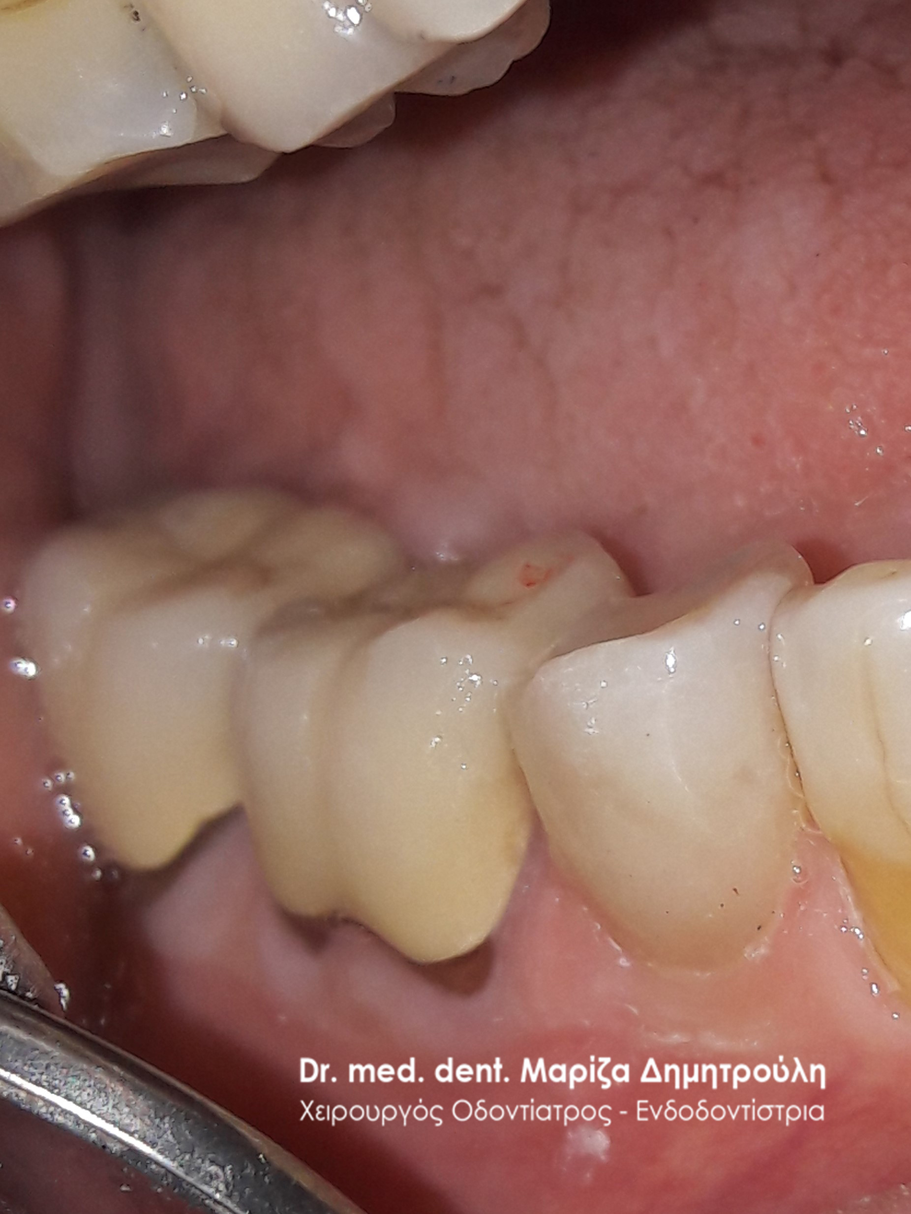
AFTER

AFTER
Tooth Neck Filling

BEFORE

AFTER
Tooth Neck Filling

BEFORE

AFTER
Tooth Neck Filling

BEFORE

AFTER
Tooth Neck Filling

BEFORE

AFTER
Widget After Content
Dr. med. dent. Mariza Dimitrouli
Dr. med. dent. Mariza Dimitrouli is a specialist at the University of Hannover, Germany (MHI) and also holds a PhD from the same university. She also worked in a dental clinic in Berlin. The title of Endodontist held by Dr. M. Dimitrouli is renewed every six years by the German Endodontics Society. She has a private practice in Thessaloniki, Thermi.

