Extraction of double primary tooth

Extraction of double primary tooth


Extraction of double primary tooth


Extraction of double primary tooth


Extraction of double primary tooth

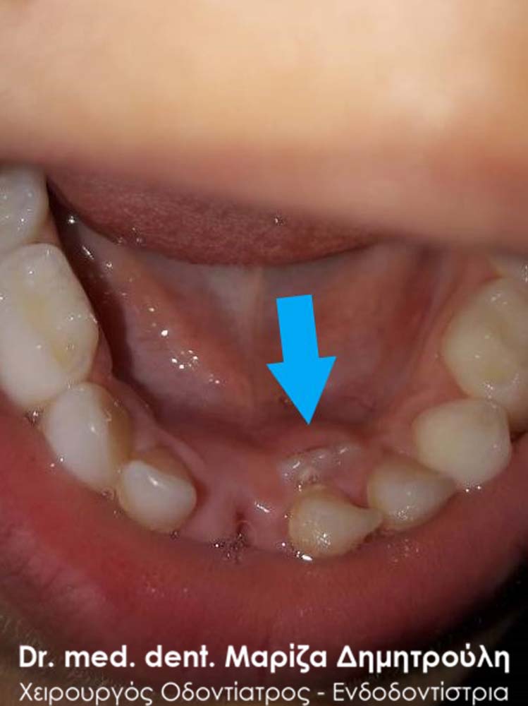
BEFORE

One week after the primary tooth extraction

One month after the primary tooth extraction
Extraction of double primary tooth

Extraction of double primary tooth

Extraction of double primary tooth

Extraction of double primary tooth

BEFORE

AFTER
Extraction of double primary tooth



