Dental Crown

Tooth stump

Dental impression

Final photo of the tooth

Final photo of the tooth
Dental Crown

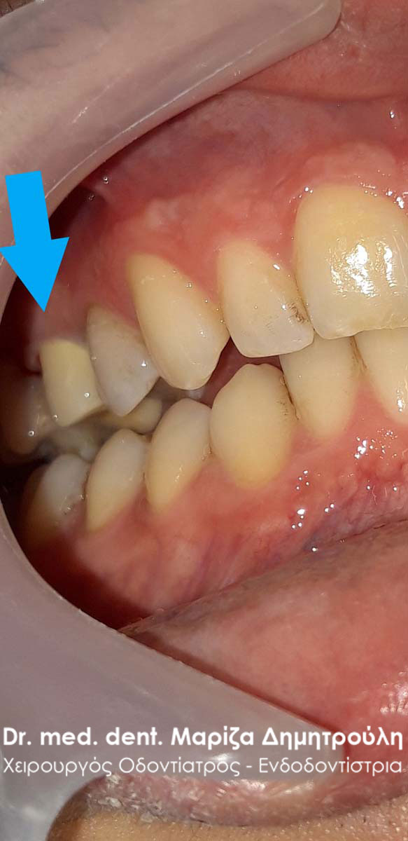
BEFORE

BEFORE

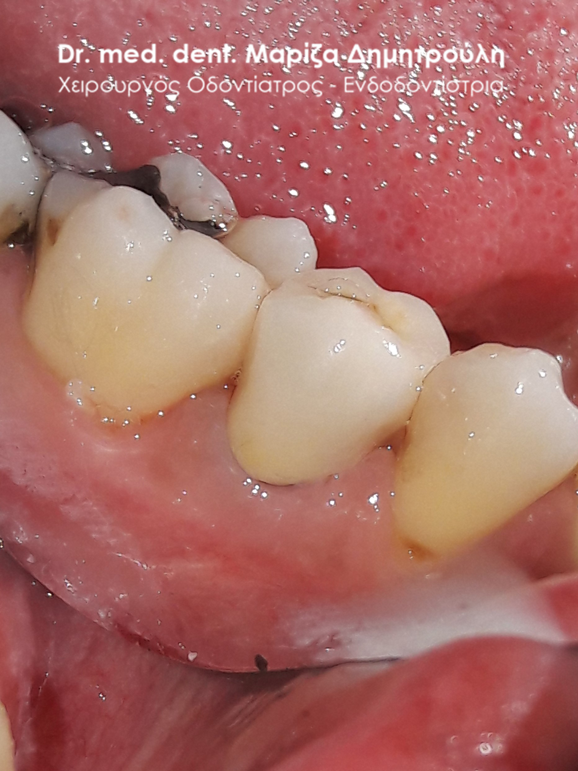
Tooth stump

AFTER

AFTER
Dental Crown

BEFORE

Tooth stump

AFTER

AFTER
Dental Crown

BEFORE

BEFORE

Photo of the tooth after removing the bridge

Tooth stump

AFTER

AFTER
Dental Crown

BEFORE

Dental impression

AFTER
Dental Crown

BEFORE

Tooth stump

AFTER

AFTER

AFTER
Dental Crown

BEFORE

Tooth stump

Tooth stump

AFTER

AFTER
Dental Crown

BEFORE

X-Ray of the root fracture

AFTER
Dental Crown

BEFORE

Temporary dental crown

AFTER

AFTER
Dental Crown

BEFORE

Clinical photo after removing the old metallic stift from the tooth

Tooth stump

AFTER

AFTER
Dental Crown

Photo of the tooth after removing the old amalgam filling and placing a temporary dental filling

Tooth stump

Tooth stump

Final photo of the dental crown

Final photo of the dental crown
Dental Crown

Initial clinical photo of the tooth

Removing of the old metallic post

Clinical photo of the root canal filling

Temporary filling of the tooth after the root canal filling

Tooth stump

Tooth stump

Final photo of the dental crown

Final photo of the dental crown
Dental Crown

BEFORE

Clinical photo after removing the old dental crown

Tooth stump

Primary dental crown

Final photo of the dental crown

Final photo of the dental crown
Dental Crown

BEFORE

Tooth stump

AFTER
Immediate prosthetic restoration of front tooth

BEFORE

Clinical photo after the tooth extraction

AFTER
Dental Crowns

BEFORE

BEFORE

Teeth stumps

Teeth stumps

AFTER

AFTER
Dental Crown

BEFORE

AFTER

BEFORE

Tooth stump

AFTER

AFTER
Conservation of dental root with a dental crown

X- Ray of the tooth

BEFORE

Tooth stump

Tooth stump

AFTER

AFTER
Adhesive cementation of extracted tooth

Dental filling and dental crown

ΠΡΙΝ

META

